ΡΠ΅ΠΌ Π»Π΅ΡΠΈΡΡ ΠΈ ΠΊΠ°ΠΊ, ΡΡΠΎ Π΄Π΅Π»Π°ΡΡ, Π΅ΡΠ»ΠΈ Π²ΠΎΠ·Π½ΠΈΠΊΠ°Π»Π° ΡΡΠ° Π³Π½ΠΎΠΉΠ½Π°Ρ Π±ΠΎΠ»ΡΡΠΊΠ° Π½Π°Π΄ Π·ΡΠ±ΠΎΠΌ

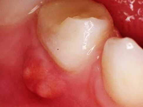
Π‘ΡΠΎΠΌΠ°ΡΠΎΠ»ΠΎΠ³Π°ΠΌ ΠΏΡΠΈΡ ΠΎΠ΄ΠΈΡΡΡ ΡΠ°ΡΡΠΎ ΡΡΠ°Π»ΠΊΠΈΠ²Π°ΡΡΡΡ Ρ ΠΆΠ°Π»ΠΎΠ±Π°ΠΌΠΈ ΠΏΠ°ΡΠΈΠ΅Π½ΡΠΎΠ² Π½Π° Π²ΠΎΠ·Π½ΠΈΠΊΠ½ΠΎΠ²Π΅Π½ΠΈΠ΅ Π²ΠΎ ΡΡΡ Π³Π½ΠΎΠΉΠ½ΡΡ ΡΠΈΡΠ΅ΠΊ Π½Π° Π΄ΡΡΠ½Π°Ρ . ΠΠ°ΠΊ ΠΏΡΠ°Π²ΠΈΠ»ΠΎ, ΠΎΠ½ΠΈ Π½Π΅Π±ΠΎΠ»ΡΡΠΈΠ΅, ΡΠ°Π·ΠΌΠ΅ΡΠΎΠΌ Ρ Π³ΠΎΡΠΎΡΠΈΠ½Ρ.
Π’Π°ΠΊΠΈΠ΅ ΡΠΈΡΠΊΠΈ Π±ΠΎΠ»ΡΡ, ΠΌΠΎΠ³ΡΡ Π·ΡΠ΄Π΅ΡΡ, ΠΈ Π΄Π°ΠΆΠ΅ ΡΡΠ°ΡΡ ΠΏΡΠΈΡΠΈΠ½ΠΎΠΉ Π½Π΅ΠΏΡΠΈΡΡΠ½ΠΎΠ³ΠΎ Π·Π°ΠΏΠ°Ρ Π° ΠΈΠ·ΠΎ ΡΡΠ°. Π‘Π°ΠΌΠΎΡΡΠΎΡΡΠ΅Π»ΡΠ½ΠΎ ΠΈΡ Π²ΡΠΊΡΡΠ²Π°ΡΡ Π½Π΅Π»ΡΠ·Ρ, Π½ΡΠΆΠ½ΠΎ ΠΎΠ±ΡΠ·Π°ΡΠ΅Π»ΡΠ½ΠΎ ΠΎΠ±ΡΠ°ΡΠΈΡΡΡΡ ΠΊ Π²ΡΠ°ΡΡ, ΡΠΎΠ»ΡΠΊΠΎ ΠΎΠ½ ΠΏΠΎΡΡΠ°Π²ΠΈΡ ΡΠΎΡΠ½ΡΠΉ Π΄ΠΈΠ°Π³Π½ΠΎΠ·, ΠΎΠΏΡΠ΅Π΄Π΅Π»ΠΈΡΡ ΡΡΠΎ ΡΡΠΎ ΠΈ Π½Π°Π·Π½Π°ΡΠΈΡ ΠΏΡΠ°Π²ΠΈΠ»ΡΠ½ΠΎΠ΅ Π»Π΅ΡΠ΅Π½ΠΈΠ΅.
Google+
Vkontakte
Odnoklassniki
Π§ΡΠΎ ΡΡΠΎ ΡΠ°ΠΊΠΎΠ΅? ΠΡΠΈΡΠΈΠ½Ρ Π²ΠΎΠ·Π½ΠΈΠΊΠ½ΠΎΠ²Π΅Π½ΠΈΡ
Π¨ΠΈΡΠΊΠ° Ρ Π³Π½ΠΎΠ΅ΠΌ ΠΌΠΎΠΆΠ΅Ρ Π²ΠΎΠ·Π½ΠΈΠΊΠ½ΡΡΡ ΠΏΠΎ ΡΡΠ΄Ρ ΠΏΡΠΈΡΠΈΠ½, Π½Π΅ΠΊΠΎΡΠΎΡΡΠ΅ ΠΈΠ· Π½ΠΈΡ Π½Π΅ Π²ΡΠ·ΡΠ²Π°ΡΡ ΠΎΠΏΠ°ΡΠ΅Π½ΠΈΠΉ ΠΈ Π»Π΅Π³ΠΊΠΎ ΠΏΠΎΠ΄Π΄Π°ΡΡΡΡ Π»Π΅ΡΠ΅Π½ΠΈΡ. ΠΠΎ Π΅ΡΡΡ ΠΈ ΡΡΠ΅Π±ΡΡΡΠΈΠ΅ ΡΠΊΠΎΡΠΎΠ³ΠΎ Π²ΠΌΠ΅ΡΠ°ΡΠ΅Π»ΡΡΡΠ²Π°, ΡΡΠΎΠ±Ρ Π·Π°Π±ΠΎΠ»Π΅Π²Π°Π½ΠΈΠ΅ Π½Π΅ ΠΏΡΠΎΠ³ΡΠ΅ΡΡΠΈΡΠΎΠ²Π°Π»ΠΎ. Π‘Π°ΠΌΡΠ΅ ΡΠ°ΡΠΏΡΠΎΡΡΡΠ°Π½ΡΠ½Π½ΡΠ΅ ΡΠ°ΠΊΡΠΎΡΡ:

- Π€Π»ΡΡ, Π΅Π³ΠΎ Π΅ΡΡ Π½Π°Π·ΡΠ²Π°ΡΡ ΠΏΠ΅ΡΠΈΠΎΡΡΠΈΡ. ΠΠ°ΡΠΈΠ½Π°Π΅ΡΡΡ Ρ ΠΏΠΎΡΠ²Π»Π΅Π½ΠΈΡ Π½Π΅Π±ΠΎΠ»ΡΡΠΎΠΉ ΡΠΈΡΠΊΠΈ Π²ΠΎΠ·Π»Π΅ Π·ΡΠ±Π° ΠΈ ΠΎΡΠ΅Π½Ρ Π±ΡΡΡΡΠΎ ΡΠ°ΡΡΡΡ ΠΈ Π±ΠΎΠ»ΠΈΡ.
- ΠΡΠ±Π½ΠΎΠΉ Π½Π°Π»ΡΡ. ΠΠ·-Π·Π° Π½Π΅Π΄ΠΎΡΡΠ°ΡΠΎΡΠ½ΠΎΠΉ Π³ΠΈΠ³ΠΈΠ΅Π½Ρ ΡΠΎΡΠΎΠ²ΠΎΠΉ ΠΏΠΎΠ»ΠΎΡΡΠΈ ΠΈΠ½ΡΠ΅ΠΊΡΠΈΡ ΡΠ°ΡΠΏΡΠΎΡΡΡΠ°Π½ΡΠ΅ΡΡΡ Π½Π΅ ΡΠΎΠ»ΡΠΊΠΎ Π½Π° Π·ΡΠ±Ρ, Π²ΡΠ·ΡΠ²Π°Ρ ΠΊΠ°ΡΠΈΠ΅Ρ, Π½ΠΎ ΠΈ Π½Π° Π΄ΡΡΠ½Ρ, ΡΡΠΎ ΠΏΡΠΈΠ²ΠΎΠ΄ΠΈΡ ΠΊ Π²ΠΎΡΠΏΠ°Π»Π΅Π½ΠΈΡ.
- ΠΠΎΡΠΏΠ°Π»Π΅Π½ΠΈΠ΅ ΠΏΠ΅ΡΠΈΠΎΠ΄ΠΎΠ½ΡΠΈΡΠ°. ΠΡΠΈ ΡΡΠΎΠΌ ΠΎΡΡΡΡΡΡΠ²ΡΠ΅Ρ Π±ΠΎΠ»Ρ, ΠΎΠ΄Π½Π°ΠΊΠΎ, ΡΠ°ΠΌΠΎ Π½ΠΎΠ²ΠΎΠΎΠ±ΡΠ°Π·ΠΎΠ²Π°Π½ΠΈΠ΅ ΠΎΡΠ΅Π½Ρ ΠΌΠ΅ΡΠ°Π΅Ρ.
- ΠΠΈΡΡΠ° Π½Π° Π΄Π΅ΡΠ½Π΅. Π₯Π°ΡΠ°ΠΊΡΠ΅ΡΠ½ΡΠΉ ΠΏΡΠΈΠ·Π½Π°ΠΊ Π·Π°Π±ΠΎΠ»Π΅Π²Π°Π½ΠΈΡ — Π½Π΅ΠΏΡΠΈΡΡΠ½ΡΠΉ Π·Π°ΠΏΠ°Ρ , ΠΈΡΡ ΠΎΠ΄ΡΡΠΈΠΉ ΠΎΡ ΡΠΈΡΠΊΠΈ.
- Π‘Π²ΠΈΡ. Π§Π°ΡΡΠ°Ρ ΠΏΡΠΈΡΠΈΠ½Π° ΠΏΠΎΠ΄ΠΎΠ±Π½ΡΡ ΠΎΠ±ΡΠ°Π·ΠΎΠ²Π°Π½ΠΈΠΉ. ΠΠ½ΠΎΠΉ ΠΈΡΠ΅Ρ Π²ΡΡ ΠΎΠ΄ ΠΈΠ· Π΄Π΅ΡΠ½Ρ, Π² ΡΠ΅Π·ΡΠ»ΡΡΠ°ΡΠ΅ ΠΎΠ±ΡΠ°Π·ΡΠ΅ΡΡΡ ΡΠ²ΠΈΡ.
- ΠΠ°ΡΠΈΠ΅Ρ. ΠΠ΅ΠΏΡΠ°Π²ΠΈΠ»ΡΠ½ΡΠΉ ΠΏΠΎΠ΄Ρ ΠΎΠ΄ ΠΊ Π»Π΅ΡΠ΅Π½ΠΈΡ Π΄Π°ΡΡ ΠΎΡΠ»ΠΎΠΆΠ½Π΅Π½ΠΈΠ΅ — Π²ΠΎΡΠΏΠ°Π»Π΅Π½ΠΈΠ΅ ΠΈ Π½Π°Π³Π½ΠΎΠ΅Π½ΠΈΠ΅ Π΄Π΅ΡΠ½Ρ Π½Π°Π΄ Π·ΡΠ±ΠΎΠΌ.
- ΠΡΠΎΡΠ΅Π·Ρ ΠΈΠ»ΠΈ Π²ΡΡΠ°Π²Π½ΡΠ΅ Π·ΡΠ±Ρ. ΠΠ½ΠΈ ΠΌΠΎΠ³ΡΡ Π±ΡΡΡ ΠΏΡΠΈΡΠΈΠ½ΠΎΠΉ Π²ΠΎΠ·Π½ΠΈΠΊΠ½ΠΎΠ²Π΅Π½ΠΈΡ ΡΠ°ΠΊΠΈΡ ΠΎΠ±ΡΠ°Π·ΠΎΠ²Π°Π½ΠΈΠΉ ΡΡΠ°Π·Ρ ΠΏΠΎΡΠ»Π΅ ΡΠΎΠ³ΠΎ, ΠΊΠ°ΠΊ ΠΈΡ ΠΏΠΎΡΡΠ°Π²ΠΈΠ»ΠΈ. ΠΡΠΈ ΡΡΡΠ°Π½ΠΎΠ²ΠΊΠ΅ Π±ΡΠ»Π° ΠΏΠ»ΠΎΡ Π°Ρ ΠΎΠ±ΡΠ°Π±ΠΎΡΠΊΠ° Π°Π½ΡΠΈΡΠ΅ΠΏΡΠΈΠΊΠΎΠΌ.
- ΠΠ΅Ρ Π°Π½ΠΈΡΠ΅ΡΠΊΠΈΠ΅ ΠΏΠΎΠ²ΡΠ΅ΠΆΠ΄Π΅Π½ΠΈΡ. ΠΠΎΠΆΠ½ΠΎ ΡΡΠ°Π²ΠΌΠΈΡΠΎΠ²Π°ΡΡ Π΄Π΅ΡΠ½Ρ Π²ΠΎ Π²ΡΠ΅ΠΌΡ ΡΠΈΡΡΠΊΠΈ Π·ΡΠ±ΠΎΠ² ΠΈΠ»ΠΈ ΠΏΡΠΈΡΠΌΠ° ΠΏΠΈΡΠΈ, Π² ΠΈΡΠΎΠ³Π΅ ΠΏΠΎΠ»ΡΡΠΈΡΡ Π²ΠΎΡΠΏΠ°Π»Π΅Π½ΠΈΠ΅ Π΄Π΅ΡΠ½Ρ ΠΈ Π²ΠΎΠ·Π½ΠΈΠΊΠ½ΠΎΠ²Π΅Π½ΠΈΠ΅ ΡΠΈΡΠΊΠΈ Ρ Π³Π½ΠΎΠ΅ΠΌ.
- ΠΠ½ΠΊΠΎΠ»ΠΎΠ³ΠΈΡ. ΠΠ΅ΡΠ°ΡΡΠ°Π·Ρ Π² ΡΠ΅Π»ΡΡΡΠΈ ΡΡΠ°Π½ΠΎΠ²ΡΡΡΡ ΠΏΡΠΈΡΠΈΠ½ΠΎΠΉ ΡΠ°Π·Π»ΠΈΡΠ½ΡΡ ΠΎΠ±ΡΠ°Π·ΠΎΠ²Π°Π½ΠΈΠΉ Π² ΡΠΎΡΠΎΠ²ΠΎΠΉ ΠΏΠΎΠ»ΠΎΡΡΠΈ.
- Π€ΠΈΠ±ΡΠΎΠΏΠ°ΠΏΠΈΠ»Π»ΠΎΠΌΠ°. ΠΡΠΎ Π΄ΠΎΠ±ΡΠΎΠΊΠ°ΡΠ΅ΡΡΠ²Π΅Π½Π½ΠΎΠ΅ ΠΎΠ±ΡΠ°Π·ΠΎΠ²Π°Π½ΠΈΠ΅.
ΠΠ°ΠΆΠ½ΠΎ! ΠΠ°ΠΆΠ΅ Π΅ΡΠ»ΠΈ ΠΎΠ±ΡΠ°Π·ΠΎΠ²Π°Π½ΠΈΠ΅ Π½Π° Π΄Π΅ΡΠ½Π΅ Π½Π΅ Π²ΡΠ·ΡΠ²Π°Π΅Ρ Π±ΠΎΠ»ΠΈ ΠΈ ΠΈΠ½ΠΎΠ³ΠΎ Π΄ΠΈΡΠΊΠΎΠΌΡΠΎΡΡΠ°, Π½ΡΠΆΠ½ΠΎ ΠΎΠ±ΡΠ·Π°ΡΠ΅Π»ΡΠ½ΠΎ ΠΎΠ±ΡΠ°ΡΠΈΡΡΡΡ ΠΊ Π²ΡΠ°ΡΡ!
Π£ Π΄Π΅ΡΠ΅ΠΉ ΡΠΈΡΠΊΠΈ Π½Π° Π΄ΡΡΠ½Π°Ρ ΡΠΎΡΠΌΠΈΡΡΡΡΡΡ ΠΈΠ·-Π·Π° ΠΏΡΠΎΡΠ΅Π·ΡΠ²Π°Π½ΠΈΡ ΠΌΠΎΠ»ΠΎΡΠ½ΡΡ Π·ΡΠ±ΠΎΠ². Π‘ΡΠΎΠΈΡ ΠΏΠΎΠΊΠ°Π·Π°ΡΡ ΡΠ΅Π±ΡΠ½ΠΊΠ° ΠΎΡΡΠΎΠ΄ΠΎΠ½ΡΡ, ΡΡΠΎΠ±Ρ ΠΈΡΠΊΠ»ΡΡΠΈΡΡ ΠΏΠ°ΡΠΎΠ»ΠΎΠ³ΠΈΠΈ.
Π§ΡΠΎ Π΄Π΅Π»Π°ΡΡ Ρ Π³Π½ΠΎΠΉΠ½ΠΎΠΉ ΡΠΈΡΠΊΠΎΠΉ Π½Π°Π΄ Π·ΡΠ±ΠΎΠΌ?
ΠΡΠ»ΠΈ Π²Ρ ΠΎΠ±Π½Π°ΡΡΠΆΠΈΠ»ΠΈ Π½Π° Π΄Π΅ΡΠ½Π΅ ΡΠΈΡΠΊΡ Ρ Π³Π½ΠΎΠ΅ΠΌ, ΡΠΎ ΡΠ»Π΅Π΄ΡΠ΅Ρ ΡΡΠ°Π·Ρ ΠΎΠ±ΡΠ°ΡΠΈΡΡΡΡ ΠΊ ΡΡΠΎΠΌΠ°ΡΠΎΠ»ΠΎΠ³Ρ. ΠΠ½Π° ΠΌΠΎΠΆΠ΅Ρ Π±ΡΡΡ ΡΠΈΠΌΠΏΡΠΎΠΌΠΎΠΌ ΡΠ΅ΡΡΡΠ·Π½ΠΎΠ³ΠΎ Π·Π°Π±ΠΎΠ»Π΅Π²Π°Π½ΠΈΡ, ΠΏΠΎΡΡΠΎΠΌΡ Π·Π°Π½ΠΈΠΌΠ°ΡΡΡ ΡΠ°ΠΌΠΎΠ»Π΅ΡΠ΅Π½ΠΈΠ΅ΠΌ ΠΌΠΎΠΆΠ½ΠΎ ΡΡΡΠ³ΡΠ±ΠΈΡΡ ΡΠ²ΠΎΡ ΡΠΎΡΡΠΎΡΠ½ΠΈΠ΅.
ΠΠ»Ρ ΠΎΠΏΡΠ΅Π΄Π΅Π»Π΅Π½ΠΈΡ ΠΏΡΠΈΡΠΈΠ½Ρ Π±ΠΎΠ»Π΅Π·Π½ΠΈ ΡΡΠΎΠΌΠ°ΡΠΎΠ»ΠΎΠ³ ΠΏΡΠΎΠ²ΠΎΠ΄ΠΈΡ Π²ΠΈΠ·ΡΠ°Π»ΡΠ½ΡΠΉ ΠΎΡΠΌΠΎΡΡ, ΠΏΠ°Π»ΡΠΏΠ°ΡΠΈΡ, ΠΊΠΎΠΌΠΏΡΡΡΠ΅ΡΠ½ΡΡ ΡΠΎΠΌΠΎΠ³Ρ
32zuba.guru
ΠΠ° Π΄Π΅ΡΠ½Π΅ ΠΏΠΎΡΠ²ΠΈΠ»Π°ΡΡ ΡΠΈΡΠΊΠ° Ρ Π³Π½ΠΎΠ΅ΠΌ: ΡΡΠΎ Π΄Π΅Π»Π°ΡΡ?
Π§Π°ΡΡΠΎ ΠΎΡΠ½ΠΎΠ²Π½ΡΠΌ ΡΠ²ΠΈΠ΄Π΅ΡΠ΅Π»ΡΡΡΠ²ΠΎΠΌ ΡΠ΅ΡΡΠ΅Π·Π½ΠΎΠ³ΠΎ Π·Π°Π±ΠΎΠ»Π΅Π²Π°Π½ΠΈΡ Π·ΡΠ±ΠΎΠ² ΡΠ²Π»ΡΠ΅ΡΡΡ Π½Π°Π³Π½ΠΎΠ΅Π½ΠΈΠ΅ Π²ΠΎ ΡΡΡ. ΠΠΎ ΡΡΠΎ ΠΆΠ΅ Π΄Π΅Π»Π°ΡΡ, Π΅ΡΠ»ΠΈ Π½Π° Π΄Π΅ΡΠ½Π΅ ΠΏΠΎΡΠ²ΠΈΠ»Π°ΡΡ ΡΠΈΡΠΊΠ° Ρ Π³Π½ΠΎΠ΅ΠΌ ΠΈ ΡΠ΅ΠΌ Π΅Π΅ Π»Π΅ΡΠΈΡΡ?
Π‘ΠΏΠ΅ΡΠ²Π° ΡΠ»Π΅Π΄ΡΠ΅Ρ ΡΠ°Π·ΠΎΠ±ΡΠ°ΡΡΡΡ Ρ ΠΏΡΠΈΡΠΈΠ½Π°ΠΌΠΈ Π²ΠΎΠ·Π½ΠΈΠΊΠ½ΠΎΠ²Π΅Π½ΠΈΡ ΡΡΠΎΠ³ΠΎ Π½Π΅Π΄ΡΠ³Π°, ΡΠ°ΠΊ ΠΊΠ°ΠΊ ΠΈΡ Π±ΠΎΠ»ΡΡΠΎΠ΅ ΠΊΠΎΠ»ΠΈΡΠ΅ΡΡΠ²ΠΎ: ΡΡΠΎ ΠΌΠΎΠΆΠ΅Ρ Π±ΡΡΡ ΠΊΠ°ΠΊ ΡΠ²ΠΈΡ, ΡΠ°ΠΊ ΠΈ ΠΏΠ΅ΡΠΈΠΎΡΡΠΈΡ, Π½Π°ΠΏΡΠΈΠΌΠ΅Ρ.
ΠΡΠΈΡΠΈΠ½Ρ
ΠΠΎΡΠ΅ΠΌΡ ΠΏΠΎΡΠ²Π»ΡΠ΅ΡΡΡ Π³Π½ΠΎΠΉΠ½Π°Ρ ΡΠΈΡΠΊΠ° Π½Π° Π΄Π΅ΡΠ½Π΅? Π§Π°ΡΠ΅ Π²ΡΠ΅Π³ΠΎ ΠΊ ΡΡΠΎΠΌΡ ΠΏΡΠΈΠ²ΠΎΠ΄ΠΈΡ Π½Π΅Π΄ΠΎΡΡΠ°ΡΠΎΡΠ½Π°Ρ Π³ΠΈΠ³ΠΈΠ΅Π½Π° ΡΠΎΡΠΎΠ²ΠΎΠΉ ΠΏΠΎΠ»ΠΎΡΡΠΈ, Π½ΠΎ ΡΠ°ΠΊΠΆΠ΅ ΠΌΠΎΠΆΠ΅Ρ Π±ΡΡΡ Π²ΡΠ·Π²Π°Π½ΠΎ ΠΈ Π±ΠΎΠ»Π΅Π΅ ΡΠ΅ΡΡΠ΅Π·Π½ΡΠΌΠΈ ΡΠ°ΠΊΡΠΎΡΠ°ΠΌΠΈ.

Π Π°ΡΠΏΡΠΎΡΡΡΠ°Π½Π΅Π½ΠΈΠ΅ Π±Π°ΠΊΡΠ΅ΡΠΈΠΉ Π²ΠΎ ΡΡΡ ΠΈΠ³ΡΠ°Π΅Ρ Π²Π°ΠΆΠ½ΡΡ ΡΠΎΠ»Ρ ΠΏΡΠΈ ΡΠΎΡΠΌΠΈΡΠΎΠ²Π°Π½ΠΈΠΈ ΡΠΈΡΠΊΠΈ Ρ Π³Π½ΠΎΠ΅ΠΌ, Π½ΠΎ ΠΎΠ½ΠΎ ΠΏΡΠΈΠ²ΠΎΠ΄ΠΈΡ ΠΈ ΠΊ Π΄ΡΡΠ³ΠΈΠΌ Π·Π°Π±ΠΎΠ»Π΅Π²Π°Π½ΠΈΡΠΌ, ΠΊΠΎΡΠΎΡΡΠ΅ Π½Π°Π½ΠΎΡΡΡ ΠΊΡΠ΄Π° Π±ΠΎΠ»ΡΡΠ΅ Π²ΡΠ΅Π΄Π° Π·Π΄ΠΎΡΠΎΠ²ΡΡ ΡΠ΅Π»ΠΎΠ²Π΅ΠΊΠ°.
ΠΡΠΎΠΈΡΡ ΠΎΠΆΠ΄Π΅Π½ΠΈΠ΅ Π³Π½ΠΎΠΉΠ½ΠΈΠΊΠ° Π½Π° Π΄Π΅ΡΠ½Π΅ Π±ΡΠ²Π°Π΅Ρ Π΄Π²ΡΡ Π²ΠΈΠ΄ΠΎΠ²:
- ΠΠ½ΡΠ΅ΠΊΡΠΈΠΎΠ½Π½ΠΎΠ΅Β β ΠΏΠΎΡΠ²Π»ΡΠ΅ΡΡΡ Π² ΡΠ²ΡΠ·ΠΈ Ρ ΠΆΠΈΠ·Π½Π΅Π΄Π΅ΡΡΠ΅Π»ΡΠ½ΠΎΡΡΡΡ Π²ΡΠ΅Π΄ΠΎΠ½ΠΎΡΠ½ΡΡ ΠΌΠΈΠΊΡΠΎΠΎΡΠ³Π°Π½ΠΈΠ·ΠΌΠΎΠ² Π² ΡΠΎΡΠΎΠ²ΠΎΠΉ ΠΏΠΎΠ»ΠΎΡΡΠΈ.
- ΠΠ΅ΠΈΠ½ΡΠ΅ΠΊΡΠΈΠΎΠ½Π½ΠΎΠ΅Β β Π²ΡΠ·Π²Π°Π½Π½ΠΎΠ΅ ΡΡΠ°Π²ΠΌΠ°ΠΌΠΈ ΡΡΠ°Β ΠΈ Π΅Π³ΠΎ ΡΠ»Π΅ΠΌΠ΅Π½ΡΠΎΠ², ΡΡΠΎ ΠΏΡΠΎΠΈΡΡ ΠΎΠ΄ΠΈΡ ΠΈΠ·-Π·Π° ΡΠΈΠ·ΠΈΡΠ΅ΡΠΊΠΎΠ³ΠΎ Π²ΠΎΠ·Π΄Π΅ΠΉΡΡΠ²ΠΈΡ Π½Π° ΡΠΊΠ°Π½ΠΈ Π΄Π΅ΡΠ½Ρ ΠΈΠ»ΠΈ Π²ΡΠ»Π΅Π΄ΡΡΠ²ΠΈΠ΅ ΠΏΡΠΈΠΌΠ΅Π½Π΅Π½ΠΈΡ Π»Π΅ΠΊΠ°ΡΡΡΠ².
Π‘ΡΠΎΠΈΡ ΠΎΡΠΌΠ΅ΡΠΈΡΡ, ΡΡΠΎΒ Π³Π½ΠΎΠΉΠ½ΠΎΠ΅ ΠΎΠ±ΡΠ°Π·ΠΎΠ²Π°Π½ΠΈΠ΅ Π½Π° Π΄Π΅ΡΠ½Π΅ ΠΏΡΠΎΡΠ΅ΠΊΠ°Π΅Ρ Π² Π΄Π²ΡΡ ΡΠΎΡΠΌΠ°Ρ :
- ΠΡΡΡΠ°Ρ βΒ Π»Π΅ΡΠ΅Π½ΠΈΠ΅ ΠΏΡΠΎΡ ΠΎΠ΄ΠΈΡ Π΄ΠΎΠ²ΠΎΠ»ΡΠ½ΠΎ Π±ΡΡΡΡΠΎ ΠΈ Π½Π΅ ΡΡΠ΅Π±ΡΠ΅Ρ Π±ΠΎΠ»ΡΡΠΈΡ ΡΠ΅ΡΡΡΡΠΎΠ².
- Π₯ΡΠΎΠ½ΠΈΡΠ΅ΡΠΊΠ°Ρ β ΠΏΡΠΈΠ΄Π΅ΡΡΡ ΠΏΡΠΈΠ»ΠΎΠΆΠΈΡΡ Π½Π°ΠΌΠ½ΠΎΠ³ΠΎ Π±ΠΎΠ»ΡΡΠ΅ ΡΡΠΈΠ»ΠΈΠΉ, Π½Π΅ ΠΈΡΠΊΠ»ΡΡΠ°Ρ Π²ΠΎΠ·ΠΌΠΎΠΆΠ½ΠΎΡΡΡ Ρ ΠΈΡΡΡΠ³ΠΈΡΠ΅ΡΠΊΠΎΠ³ΠΎ Π²ΠΌΠ΅ΡΠ°ΡΠ΅Π»ΡΡΡΠ²Π°.
Π‘ΡΡΠ΅ΡΡΠ²ΡΠ΅Ρ Π±ΠΎΠ»Π΅Π΅ Π΄Π΅ΡΠ°Π»ΡΠ½Π°Ρ ΠΊΠ»Π°ΡΡΠΈΡΠΈΠΊΠ°ΡΠΈΡ ΡΠΈΡΠ΅ΠΊ Ρ Π³Π½ΠΎΠ΅ΠΌ Π½Π° Π΄Π΅ΡΠ½Π΅, Π²ΠΎ ΠΌΠ½ΠΎΠ³ΠΎΠΌ ΠΎΠ½Π° ΠΎΠ±ΡΡΡΠ½ΡΠ΅Ρ ΠΈ ΠΏΡΠΈΡΠΈΠ½Ρ ΠΈΡ
ΠΏΠΎΡΠ²Π»Π΅Π½ΠΈΡ:
- ΠΌΡΠ³ΠΊΠ°Ρ ΡΠΈΠ±ΡΠΎΠΌΠ° β Π΄ΠΎΠ±ΡΠΎΠΊΠ°ΡΠ΅ΡΡΠ²Π΅Π½Π½ΠΎΠ΅ Π½ΠΎΠ²ΠΎΠΎΠ±ΡΠ°Π·ΠΎΠ²Π°Π½ΠΈΠ΅ Π½Π° Π΄Π΅ΡΠ½Π΅, Π²ΡΠ³Π»ΡΠ΄ΠΈΡ ΠΎΡΠ΅Π½Ρ ΠΏΠΎΡ ΠΎΠΆΠ΅ Π½Π° Π³Π½ΠΎΠΉΠ½ΡΡ ΡΠΈΡΠΊΡ ΠΈ Π½Π΅ Π²ΡΠ·ΡΠ²Π°Π΅Ρ Π±ΠΎΠ»Π΅ΠΉ ΠΈ Π΄ΠΈΡΠΊΠΎΠΌΡΠΎΡΡΠ°, Π½ΠΎ ΡΠ΄Π°Π»ΡΠ΅ΡΡΡ ΠΈΡΠΊΠ»ΡΡΠΈΡΠ΅Π»ΡΠ½ΠΎ Ρ ΠΈΡΡΡΠ³ΠΈΡΠ΅ΡΠΊΠΈΠΌ ΠΏΡΡΠ΅ΠΌ;
- Π²ΠΎΡΠΏΠ°Π»ΠΈΡΠ΅Π»ΡΠ½ΡΠ΅ ΠΏΡΠΎΡΠ΅ΡΡΡ β ΡΠΎΠΏΡΠΎΠ²ΠΎΠΆΠ΄Π°Π΅ΡΡΡ ΡΠΈΠ»ΡΠ½ΡΠΌΠΈ Π±ΠΎΠ»Π΅Π²ΡΠΌΠΈ ΠΎΡΡΡΠ΅Π½ΠΈΡΠΌΠΈ ΠΈ Ρ ΠΎΠ΄ΠΈΠ½Π°ΠΊΠΎΠ²ΠΎΠΉ ΡΠ°ΡΡΠΎΡΠΎΠΉ ΠΏΠΎΡΠ°ΠΆΠ°Π΅Ρ ΠΈ Π½ΠΈΠΆΠ½ΡΡ, ΠΈ Π²Π΅ΡΡ Π½ΡΡ ΡΠ΅Π»ΡΡΡΠΈ. Π¨ΠΈΡΠΊΠ° ΡΠ°ΡΠΏΠΎΠ»Π°Π³Π°Π΅ΡΡΡ Π½Π° Π΄Π΅ΡΠ½Π΅ ΡΠ½Π°ΡΡΠΆΠΈ ΠΈ Π²Π½ΡΡΡΠΈ. ΠΡΠ½ΠΎΠ²Π½ΠΎΠΉ ΠΏΡΠΈΡΠΈΠ½ΠΎΠΉ ΠΏΠΎΡΠ²Π»Π΅Π½ΠΈΡ Π±ΠΎΠ»Π΅Π·Π½ΠΈ ΡΠ²Π»ΡΡΡΡΡ Π²ΠΎΡΠΏΠ°Π»ΠΈΡΠ΅Π»ΡΠ½ΡΠ΅ ΠΏΡΠΎΡΠ΅ΡΡΡ Π½Π° Π·ΡΠ±Π½ΠΎΠΌ ΠΊΠΎΡΠ½Π΅. ΠΠ°Π·ΠΎΠ²ΡΠΌ ΠΌΠ΅ΡΠΎΠ΄ΠΎΠΌ ΠΎΠΏΡΠ΅Π΄Π΅Π»Π΅Π½ΠΈΡ ΡΠ΅ΡΡΠ΅Π·Π½ΠΎΡΡΠΈ Π·Π°Π±ΠΎΠ»Π΅Π²Π°Π½ΠΈΡ Π±ΡΠ΄Π΅ΡΒ ΡΠ΅Π½ΡΠ³Π΅Π½ΠΎΠ²ΡΠΊΠΈΠΉ ΡΠ½ΠΈΠΌΠΎΠΊ;
- ΠΏΠΎΡΠ»Π΅ ΡΠ΄Π°Π»Π΅Π½ΠΈΡ Π·ΡΠ±Π°Β β ΠΎΠ±ΡΠ°Π·ΠΎΠ²ΡΠ²Π°Π΅ΡΡΡ ΠΏΠΎΡΠ»Π΅ ΠΏΠΎΠΏΠ°Π΄Π°Π½ΠΈΡ ΠΈΠ½ΡΠ΅ΠΊΡΠΈΠΈ Π² Π»ΡΠ½ΠΊΡ, Π³Π΄Π΅ Π½Π°ΡΠΈΠ½Π°Π΅ΡΡΡ Π²ΠΎΡΠΏΠ°Π»ΠΈΡΠ΅Π»ΡΠ½ΡΠΉ ΠΏΡΠΎΡΠ΅ΡΡ, ΡΡΠΎ ΠΏΡΠΎΠΈΡΡ ΠΎΠ΄ΠΈΡ ΠΈΠ·-Π·Π° Π½Π΅ΠΊΠΎΡΡΠ΅ΠΊΡΠ½ΠΎΠ³ΠΎ ΡΡ ΠΎΠ΄Π° Π·Π° ΠΏΡΠΎΠ±Π»Π΅ΠΌΠ½ΡΠΌ ΡΡΠ°ΡΡΠΊΠΎΠΌ ΠΏΠΎΡΠ»Π΅ ΠΎΠΏΠ΅ΡΠ°ΡΠΈΠΈ ΠΏΠΎ ΡΠ΄Π°Π»Π΅Π½ΠΈΡ. ΠΡΠΎΠ±Π΅Π½Π½ΠΎΠ΅ Π²Π½ΠΈΠΌΠ°Π½ΠΈΠ΅ Π½Π°Π΄ΠΎ ΠΎΠ±ΡΠ°ΡΠ°ΡΡ Π½Π° ΠΏΡΠΎΡΠ΅ΡΡ ΠΏΡΠΈΠ΅ΠΌΠ° ΠΏΠΈΡΠΈ, ΠΊΠΎΡΠΎΡΠ°Ρ ΠΌΠΎΠΆΠ΅Ρ Π½Π°ΡΡΡΠΈΡΡ ΠΊΡΠΎΠ²ΡΠ½ΠΎΠΉ ΡΠ³ΡΡΡΠΎΠΊ, Π·Π°ΡΠΈΡΠ°ΡΡΠΈΠΉ Π»ΡΠ½ΠΊΡ. ΠΠΎΡΡΠΎΠΌΡ Π²ΡΠ°ΡΠΈ ΡΠ΅ΠΊΠΎΠΌΠ΅Π½Π΄ΡΡΡ Π½Π΅ ΠΊΡΡΠ°ΡΡ Π½Π° ΠΏΡΠΎΡΡΠΆΠ΅Π½ΠΈΠΈ 5-6 ΡΠ°ΡΠΎΠ² ΠΏΠΎΡΠ»Π΅ ΠΎΠΏΠ΅ΡΠ°ΡΠΈΠΈ.Β ΠΡΠΈ ΠΏΠ΅ΡΠ²ΡΡ ΠΏΡΠΈΠ·Π½Π°ΠΊΠ°Ρ ΠΏΠΎΡΠ²Π»Π΅Π½ΠΈΡ ΡΠΈΡΠΊΠΈ Ρ Π³Π½ΠΎΠ΅ΠΌ ΡΠ»Π΅Π΄ΡΠ΅Ρ Π½Π΅ΠΌΠ΅Π΄Π»Π΅Π½Π½ΠΎ ΠΎΠ±ΡΠ°ΡΠΈΡΡΡΡ ΠΊ ΡΡΠΎΠΌΠ°ΡΠΎΠ»ΠΎΠ³Ρ, ΠΊΠΎΡΠΎΡΡΠΉ ΠΏΡΠΎΠ²ΠΎΠ΄ΠΈΠ» ΠΎΠΏΠ΅ΡΠ°ΡΠΈΡ, ΡΠ°ΠΌΠΎΡΡΠΎΡΡΠ΅Π»ΡΠ½ΠΎΠ΅ Π»Π΅ΡΠ΅Π½ΠΈΠ΅ Π² Π΄Π°Π½Π½ΠΎΠΌ ΡΠ»ΡΡΠ°Π΅ ΠΊΡΠ°ΠΉΠ½Π΅ Π½Π΅ ΡΠ΅ΠΊΠΎΠΌΠ΅Π½Π΄ΡΠ΅ΡΡΡ;
- Π³Π΅ΠΌΠ°ΡΠΎΠΌΠ°Β β ΠΏΠΎΡΠ²Π»ΡΠ΅ΡΡΡ ΠΏΠΎΡΠ»Π΅ ΡΡΠ°Π²ΠΌΠΈΡΠΎΠ²Π°Π½ΠΈΡ ΡΠΊΠ°Π½Π΅ΠΉ Π΄Π΅ΡΠ½Ρ. ΠΠ°ΠΊ ΠΏΡΠ°Π²ΠΈΠ»ΠΎ, Π΄Π°Π½Π½ΠΎΠ΅ ΠΎΠ±ΡΠ°Π·ΠΎΠ²Π°Π½ΠΈΠ΅ ΡΠ°ΡΡΠ°ΡΡΠ²Π°Π΅ΡΡΡ ΡΠ°ΠΌΠΎΡΡΠΎΡΡΠ΅Π»ΡΠ½ΠΎ ΡΠΏΡΡΡΡ ΠΊΠΎΡΠΎΡΠΊΠΎΠ΅ Π²ΡΠ΅ΠΌΡ (Π½Π΅ΡΠΊΠΎΠ»ΡΠΊΠΎ Π΄Π½Π΅ΠΉ), Π½ΠΎ Π΅ΡΠ»ΠΈ ΡΡΠΎΠ³ΠΎ Π½Π΅ ΠΏΡΠΎΠΈΠ·ΠΎΡΠ»ΠΎ ΠΎΠ±ΡΠ°ΡΠΈΡΠ΅ΡΡ ΠΊ Π²ΡΠ°ΡΡ;
- ΡΠ²ΠΈΡ Π²Π½ΡΡΡΠΈ Π΄Π΅ΡΠ½ΡΒ β ΡΠΎΠΏΡΠΎΠ²ΠΎΠΆΠ΄Π°Π΅ΡΡΡ ΠΎΡΡΡΡΠΌΠΈ Π±ΠΎΠ»Π΅Π²ΡΠΌΠΈ ΠΎΡΡΡΠ΅Π½ΠΈΡΠΌΠΈ ΠΈ Π΄ΠΈΡΠΊΠΎΠΌΡΠΎΡΡΠΎΠΌ, ΠΏΡΠΈ ΡΡΠΎΠΌ Π²Π΅ΡΡ Π½ΡΡ ΡΠ΅Π»ΡΡΡΡ Π±ΠΎΠ»Π΅Π΅ ΠΏΠΎΠ΄Π²Π΅ΡΠΆΠ΅Π½Π° ΡΠΈΡΠΊΡ ΠΏΠΎΡΠ²Π»Π΅Π½ΠΈΡ Π±ΠΎΠ»Π΅Π·Π½ΠΈ. ΠΠΎ Π·Π°Π²Π΅ΡΡΠ΅Π½ΠΈΠΈ ΠΎΡΡΡΠΎΠΉ ΡΠ°Π·Ρ Π·Π°Π±ΠΎΠ»Π΅Π²Π°Π½ΠΈΡ, Π±ΠΎΠ»Π΅Π²ΡΠ΅ ΡΠΈΠΌΠΏΡΠΎΠΌΡ ΠΏΡΠΎΠΏΠ°Π΄Π°ΡΡ, Π½ΠΎ ΡΡΠΎ Π½Π΅ Π·Π½Π°ΡΠΈΡ, ΡΡΠΎ ΠΏΡΠΎΠ±Π»Π΅ΠΌΠ° ΡΠ΅ΡΠΈΠ»Π°ΡΡ ΡΠ°ΠΌΠ° ΡΠΎΠ±ΠΎΠΉ. ΠΡΠΎΡΠ΅ΡΡΡ Π³Π½ΠΎΠ΅Π½ΠΈΡ ΠΏΡΠΎΠ΄ΠΎΠ»ΠΆΠ°ΡΡΡΡ Π²Π½ΡΡΡΠΈ Π΄Π΅ΡΠ½Ρ ΠΈ ΡΠ°Π½ΠΎ ΠΈΠ»ΠΈ ΠΏΠΎΠ·Π΄Π½ΠΎ ΠΌΠΎΠ³ΡΡ ΠΏΡΠΈΠ²Π΅ΡΡΠΈ ΠΊ ΠΏΠΎΡΠ΅ΡΠ΅ Π·ΡΠ±Π°.Β ΠΠΎΡΠ»Π΅ ΠΎΠ±Π½Π°ΡΡΠΆΠ΅Π½ΠΈΡ ΡΠ²ΠΈΡΠ°Β Π½Π΅ ΡΡΠΎΠΈΡ Π·Π°ΡΡΠ³ΠΈΠ²Π°ΡΡ Ρ Π²ΠΈΠ·ΠΈΡΠΎΠΌ ΠΊ ΡΡΠΎΠΌΠ°ΡΠΎΠ»ΠΎΠ³Ρ ΠΈΠ»ΠΈ Π·Π°Π½ΠΈΠΌΠ°ΡΡΡΡ ΡΠ°ΠΌΠΎΠ»Π΅ΡΠ΅Π½ΠΈΠ΅ΠΌ. ΠΠ»Ρ ΠΏΠΎΠ΄Π°Π²Π»Π΅Π½ΠΈΡ Π±ΠΎΠ»Π΅Π²ΡΡ ΠΎΡΡΡΠ΅Π½ΠΈΠΉ ΠΈΡΠΏΠΎΠ»ΡΠ·ΡΠΉΡΠ΅ ΠΎΠ±Π΅Π·Π±ΠΎΠ»ΠΈΠ²Π°ΡΡΠΈΠ΅ ΠΏΡΠ΅ΠΏΠ°ΡΠ°ΡΡ, ΠΎ Π½ΠΈΡ ΠΌΠΎΠΆΠ΅ΡΠ΅ ΠΏΡΠΎΡΠΈΡΠ°ΡΡ Π·Π΄Π΅ΡΡ;
- ΠΊΠΈΡΡΠ° β Π²ΡΠ³Π»ΡΠ΄ΠΈΡ ΠΌΠ°ΠΊΡΠΈΠΌΠ°Π»ΡΠ½ΠΎ ΠΏΠΎΡ ΠΎΠΆΠ΅ΠΉ Π½Π° ΡΠΈΡΠΊΡ.Β ΠΠ°ΠΊ ΠΏΡΠ°Π²ΠΈΠ»ΠΎ, Ρ ΡΠ°ΠΊΠΎΠ³ΠΎ Π½ΠΎΠ²ΠΎΠΎΠ±ΡΠ°Π·ΠΎΠ²Π°Π½ΠΈΡ ΠΎΡΠ½ΠΎΡΠΈΡΠ΅Π»ΡΠ½ΠΎ Π±ΠΎΠ»ΡΡΠΈΠ΅ ΡΠ°Π·ΠΌΠ΅ΡΡ ΠΈ ΠΈΠΌΠ΅Π΅ΡΡΡ Π³Π½ΠΎΠΉΠ½ΠΎΠ΅ ΡΠΎΠ΄Π΅ΡΠΆΠΈΠΌΠΎΠ΅, Π±ΠΎΠ»Π΅Π²ΡΠ΅ ΠΎΡΡΡΠ΅Π½ΠΈΡ ΠΏΡΠ°ΠΊΡΠΈΡΠ΅ΡΠΊΠΈ ΠΎΡΡΡΡΡΡΠ²ΡΡΡ. Π‘Π°ΠΌΠ° ΡΠΈΡΠΊΠ° ΡΠ²Π΅ΡΠ΄Π°Ρ, ΡΠ°ΡΡΠΎ ΠΏΡΠΎΠ²ΠΎΡΠΈΡΡΠ΅Ρ Π½Π΅ΠΏΡΠΈΡΡΠ½ΡΠΉ Π·Π°ΠΏΠ°Ρ ΠΈΠ· ΡΠΎΡΠΎΠ²ΠΎΠΉ ΠΏΠΎΠ»ΠΎΡΡΠΈ, Π° ΡΠ΄Π°Π»ΡΡΡ Π΅Π΅ ΠΏΡΡΠ΅ΠΌ Ρ ΠΈΡΡΡΠ³ΠΈΡΠ΅ΡΠΊΠΎΠ³ΠΎ Π²ΠΌΠ΅ΡΠ°ΡΠ΅Π»ΡΡΡΠ²Π°. ΠΠΎΠΌΠ½ΠΈΡΠ΅, ΠΊΠΈΡΡΠ° ΡΡΠ°Π½ΠΎΠ²ΠΈΡΡΡ ΠΏΡΠΈΡΠΈΠ½ΠΎΠΉ ΠΏΠΎΡΠ΅ΡΠΈ Π·ΡΠ±ΠΎΠ² ΠΈΠ»ΠΈ ΡΠ΅Π·Π΅ΠΊΡΠΈΠΈ ΠΈΡ ΠΊΠΎΡΠ½Π΅ΠΉ, ΠΏΠΎΡΡΠΎΠΌΡ Π½Π΅ΠΎΠ±Ρ ΠΎΠ΄ΠΈΠΌΠΎ ΡΠ²ΠΎΠ΅Π²ΡΠ΅ΠΌΠ΅Π½Π½ΠΎΠ΅ Π»Π΅ΡΠ΅Π½ΠΈΠ΅;
- ΠΏΠ΅ΡΠΈΠΎΡΡΠΈΡΒ β Π²ΠΎΡΠΏΠ°Π»ΠΈΡΠ΅Π»ΡΠ½ΡΠΉ ΠΏΡΠΎΡΠ΅ΡΡ Π² Π½Π°Π΄ΠΊΠΎΡΡΠ½ΠΈΡΠ΅. ΠΡΠΎΠ±Π°Ρ ΠΎΠΏΠ°ΡΠ½ΠΎΡΡΡ Π·Π°ΠΊΠ»ΡΡΠ°Π΅ΡΡΡ Π² Π²ΡΡΠΎΠΊΠΎΠΌ ΡΠΈΡΠΊΠ΅ ΠΏΠΎΡΠ²Π»Π΅Π½ΠΈΡ ΡΠ»ΡΡΠ° Π²ΠΎ Π²ΡΠ΅ΠΌΡ ΠΏΡΠΎΡΠ΅ΠΊΠ°Π½ΠΈΡ Π΄Π°Π½Π½ΠΎΠΉ Π±ΠΎΠ»Π΅Π·Π½ΠΈ. Π ΡΡΠΎΠΌ ΡΠ»ΡΡΠ°Π΅ ΡΠΎΠΆΠ΅ ΡΠ΅ΠΊΠΎΠΌΠ΅Π½Π΄ΡΡΡ ΠΎΠ±ΡΠ°ΡΠΈΡΡΡΡ ΠΊ ΡΡΠΎΠΌΠ°ΡΠΎΠ»ΠΎΠ³Ρ, Π²Π΅Π΄Ρ Π²ΡΠ»Π΅ΡΠΈΡΡ ΠΏΠ΅ΡΠΈΠΎΡΡΠΈΡ Π² Π΄ΠΎΠΌΠ°ΡΠ½ΠΈΡ ΡΡΠ»ΠΎΠ²ΠΈΡΡ Π½Π΅ ΠΏΠΎΠ»ΡΡΠΈΡΡΡ.Β ΠΠ° Π½Π°ΡΠ°Π»ΡΠ½ΠΎΠΌ ΡΡΠ°ΠΏΠ΅ Π±ΠΎΠ»Π΅Π·Π½ΠΈ ΡΠΈΡΠΊΠ° ΠΎΡΠ΅Π½Ρ ΡΠ²Π΅ΡΠ΄Π°Ρ, Π½ΠΎ ΠΏΠΎΡΡΠ΅ΠΏΠ΅Π½Π½ΠΎ ΠΎΠ½Π° ΡΡΠ°Π΅Ρ ΠΌΡΠ³ΠΊΠΎΠΉ ΠΈ Π½Π°ΠΏΠΎΠ»Π½ΠΈΡΡΡ Π³Π½ΠΎΠ΅ΠΌ. ΠΠ½ ΠΈΠ½ΠΎΠ³Π΄Π° ΡΠ°ΠΌΠΎΡΡΠΎΡΡΠ΅Π»ΡΠ½ΠΎ Π²ΡΡΠ΅ΠΊΠ°Π΅Ρ Π² ΡΠΎΡΠΎΠ²ΡΡ ΠΏΠΎΠ»ΠΎΡΡΡ, Π° ΠΈΠ½ΠΎΠ³Π΄Π° Π΄Π»Ρ Π΅Π³ΠΎ ΡΠ΄Π°Π»Π΅Π½ΠΈΡ Π½Π°Π΄ΠΎ ΠΏΡΠΈΠ»ΠΎΠΆΠΈΡΡ ΡΠ΅ΡΡΠ΅Π·Π½ΡΠ΅ ΡΡΠΈΠ»ΠΈΡ;
- Ρ ΡΠΎΠ½ΠΈΡΠ΅ΡΠΊΠ°Ρ ΡΠΎΡΠΌΠ° ΠΏΠ΅ΡΠΈΠΎΠ΄ΠΎΠ½ΡΠΈΡΠ°Β β Π²ΠΎΡΠΏΠ°Π»Π΅Π½ΠΈΠ΅ ΠΎΠΊΠΎΠ»ΠΎΠ·ΡΠ±Π½ΡΡ ΡΠΊΠ°Π½Π΅ΠΉ Π² ΠΌΠ΅ΡΡΠ΅ ΠΊΡΠ΅ΠΏΠ»Π΅Π½ΠΈΡ Π·ΡΠ±Π°, ΠΏΡΠΎΠ΄ΡΠΊΡΡ Π³Π½ΠΎΠ΅Π½ΠΈΡ Π²ΡΠ²ΠΎΠ΄ΡΡΡΡ ΡΠ΅ΡΠ΅Π· ΡΠ²ΠΈΡΠ΅Π²ΠΎΠΉ ΠΊΠ°Π½Π°Π» ΠΈ ΡΠΎΠ·Π΄Π°ΡΡ ΡΠΈΡΠΊΡ Π½Π° Π΄Π΅ΡΠ½Π΅. ΠΡΠΎΡΠ΅ΠΊΠ°Π΅Ρ Π±ΠΎΠ»Π΅Π·Π½Ρ Π΄Π»Ρ ΠΏΠ°ΡΠΈΠ΅Π½ΡΠ° ΠΏΡΠ°ΠΊΡΠΈΡΠ΅ΡΠΊΠΈ Π½Π΅Π·Π°ΠΌΠ΅ΡΠ½ΠΎ, ΠΏΠΎΡΠΊΠΎΠ»ΡΠΊΡ Π³Π½ΠΎΠΉΠ½ΡΠ΅ ΠΌΠ°ΡΡΡ Π²ΡΠ²ΠΎΠ΄ΡΡΡΡ Π½Π°ΡΡΠΆΡ. Π’Π΅ΠΌ Π½Π΅ ΠΌΠ΅Π½Π΅Π΅,Β Π² Π»ΡΠ±ΠΎΠΉ ΠΌΠΎΠΌΠ΅Π½Ρ ΡΠΎΡΡΠΎΡΠ½ΠΈΠ΅ ΠΏΠΎΡΠ°ΠΆΠ΅Π½Π½ΠΎΠ³ΠΎ Π·ΡΠ±Π° ΠΌΠΎΠΆΠ΅Ρ ΡΡ ΡΠ΄ΡΠΈΡΡΡΡ ΠΈ ΠΏΡΠΈΠ²Π΅ΡΡΠΈ ΠΊ ΡΠΈΠ»ΡΠ½ΡΠΌ Π±ΠΎΠ»Π΅Π²ΡΠΌ ΠΎΡΡΡΠ΅Π½ΠΈΡΠΌ;
- ΠΏΡΠΎΡΠ΅Π·ΡΠ²Π°Π½ΠΈΠ΅ Π·ΡΠ±ΠΎΠ² β ΠΏΠΎΡΠ²Π»Π΅Π½ΠΈΠ΅ ΡΠΈΡΠΊΠΈ Π² ΡΡΠΎΠΌ ΡΠ»ΡΡΠ°Π΅ ΡΠ²Π»ΡΠ΅ΡΡΡ Π½ΠΎΡΠΌΠ°Π»ΡΠ½ΠΎΠΉ ΡΠ°ΡΡΡΡ ΠΏΡΠΎΡΠ΅ΡΡΠ° Π² ΡΠ»ΡΡΠ°Π΅ Ρ ΠΌΠΎΠ»ΠΎΡΠ½ΡΠΌΠΈ Π·ΡΠ±Π°ΠΌΠΈ. ΠΡΠ»ΠΈ ΠΎΠ½Π° ΠΎΠ±ΡΠ°Π·ΠΎΠ²ΡΠ²Π°Π΅ΡΡΡ Π²ΠΎ Π²ΡΠ΅ΠΌΡ ΡΠΎΡΡΠ° ΠΏΠΎΡΡΠΎΡΠ½Π½ΡΡ Π·ΡΠ±ΠΎΠ², ΡΠΎ ΡΠ΅ΠΊΠΎΠΌΠ΅Π½Π΄ΡΡΡ ΠΎΠ±ΡΠ°ΡΠΈΡΡΡΡ ΠΊ Π²ΡΠ°ΡΡ.
ΠΡΠΈΡΠΈΠ½Ρ ΠΏΠΎΡΠ²Π»Π΅Π½ΠΈΡ ΠΊΠ°ΠΆΠ΄ΠΎΠΉ ΠΈΠ· ΡΡΠΈΡ ΡΠΎΡΠΌ ΡΠΈΡΠ΅ΠΊ Π½Π° Π΄Π΅ΡΠ½Π΅ ΠΌΠΎΠ³ΡΡ ΠΎΡΠ»ΠΈΡΠ°ΡΡΡΡ, Π½ΠΎ Π²ΡΠ΅ ΠΎΠ½ΠΈ ΡΠ΅ΡΡΠ΅Π·Π½ΡΠΉ ΠΏΠΎΠ²ΠΎΠ΄ Π΄Π»Ρ Π²ΠΈΠ·ΠΈΡΠ° ΠΊ ΡΡΠΎΠΌΠ°ΡΠΎΠ»ΠΎΠ³Ρ. ΠΡ Π²ΠΎΠ·Π½ΠΈΠΊΠ½ΠΎΠ²Π΅Π½ΠΈΠ΅Β ΠΎΠ±ΠΎΠ·Π½Π°ΡΠ°Π΅Ρ Π½Π°Π»ΠΈΡΠΈΠ΅ ΠΏΠ°ΡΠΎΠ»ΠΎΠ³ΠΈΠΉ Π² ΡΠΎΡΠΎΠ²ΠΎΠΉ ΠΏΠΎΠ»ΠΎΡΡΠΈ, ΠΊΠΎΡΠΎΡΡΠ΅ Π½ΡΠΆΠ½ΠΎΒ ΡΡΡΡΠ°Π½ΠΈΡΡ ΠΊΠ°ΠΊ ΠΌΠΎΠΆΠ½ΠΎ Π±ΡΡΡΡΠ΅Π΅.
Π€ΠΎΡΠΎ


ΠΠ΅ΡΠ΅Π½ΠΈΠ΅ Π³Π½ΠΎΠΉΠ½ΠΎΠΉ ΡΠΈΡΠΊΠΈ ΡΡΠΎΠΌΠ°ΡΠΎΠ»ΠΎΠ³ΠΈΡΠ΅ΡΠΊΠΈΠΌΠΈ ΠΌΠ΅ΡΠΎΠ΄Π°ΠΌΠΈ
ΠΠ»Ρ ΠΏΡΠΎΠ²Π΅Π΄Π΅Π½ΠΈΡ ΡΠ΄Π°ΡΠ½ΠΎΠ³ΠΎ Π»Π΅ΡΠ΅Π½ΠΈΠ΅ ΡΡΠ΅Π±ΡΠ΅ΡΡΡΒ ΠΎΠΏΡΠ΅Π΄Π΅Π»ΠΈΡΡ ΠΏΡΠΈΡΠΈΠ½Ρ Π²ΠΎΠ·Π½ΠΈΠΊΠ½ΠΎΠ²Π΅Π½ΠΈΡ Π½Π΅Π΄ΡΠ³Π°, ΡΡΠΎ ΠΌΠΎΠΆΠ΅Ρ ΡΠ΄Π΅Π»Π°ΡΡ ΡΠΎΠ»ΡΠΊΠΎ Π²ΡΠ°Ρ Ρ ΠΏΡΠΈΠΌΠ΅Π½Π΅Π½ΠΈΠ΅ΠΌ ΡΡΠ΄Π° Π΄ΠΈΠ°Π³Π½ΠΎΡΡΠΈΡΠ΅ΡΠΊΠΈΡ ΠΏΡΠΈΠ΅ΠΌΠΎΠ².Β ΠΠ΅ΡΠ²ΡΠΌ Π΄Π΅Π»ΠΎΠΌ ΠΎΠ½ Π΄ΠΎΠ»ΠΆΠ΅Π½ ΠΎΡΠΌΠΎΡΡΠ΅ΡΡ ΠΏΡΠΎΠ±Π»Π΅ΠΌΠ½ΡΠΉ ΡΡΠ°ΡΡΠΎΠΊ, Π΅ΡΠ»ΠΈ ΠΏΠΎΡΠ»Π΅ ΡΡΠΎΠ³ΠΎ Π΅ΡΠ΅ ΠΈΠΌΠ΅ΡΡΡΡ ΡΠΎΠΌΠ½Π΅Π½ΠΈΡ, ΡΠΎ Π½Π°Π·Π½Π°ΡΠ°Π΅ΡΡΡ ΡΠ΅Π½ΡΠ³Π΅Π½ΠΎΠ³ΡΠ°ΡΠΈΡ, ΠΊΠΎΠΌΠΏΡΡΡΠ΅ΡΠ½Π°Ρ Π΄ΠΈΠ°Π³Π½ΠΎΡΡΠΈΠΊΠ°Β ΠΈΠ»ΠΈΒ ΠΊΠΎΠΌΠΏΠ»Π΅ΠΊΡΠ½ΠΎΠ΅ ΠΎΠ±ΡΠ»Π΅Π΄ΠΎΠ²Π°Π½ΠΈΠ΅ Π²ΡΠ΅Π³ΠΎ ΠΎΡΠ³Π°Π½ΠΈΠ·ΠΌΠ°.
Π‘ΡΠΎΠΌΠ°ΡΠΎΠ»ΠΎΠ³ΠΈΡΠ΅ΡΠΊΠΈΠ΅ ΠΌΠ΅ΡΠΎΠΏΡΠΈΡΡΠΈΡ Π·Π°Π²ΠΈΡΡΡ ΠΎΡ ΠΏΡΠΈΡΠΈΠ½ ΠΈ ΠΏΡΠΎΡΠ΅ΠΊΠ°Π½ΠΈΡ Π±ΠΎΠ»Π΅Π·Π½ΠΈ.
- ΠΡΠ°Ρ ΠΌΠΎΠΆΠ΅Ρ Π²ΡΠΊΡΡΡΡ Π³Π½ΠΎΠΉΠ½ΠΈΠΊ ΠΈ ΠΈΠ·Π²Π»Π΅ΡΡ ΠΏΡΠΎΠ΄ΡΠΊΡΡ Π³Π½ΠΎΠ΅Π½ΠΈΡ, ΡΡΠΎ ΠΏΡΠ΅Π΄ΠΎΡΠ²ΡΠ°ΡΠΈΡ ΡΠ°ΡΠΏΡΠΎΡΡΡΠ°Π½Π΅Π½ΠΈΠ΅ ΠΈΠ½ΡΠ΅ΠΊΡΠΈΠΈ ΠΏΠΎ ΡΠΎΡΠΎΠ²ΠΎΠΉ ΠΏΠΎΠ»ΠΎΡΡΠΈ ΠΈ Π²ΡΠ΅ΠΌΡ ΠΎΡΠ³Π°Π½ΠΈΠ·ΠΌΡ.
- ΠΡΠ»ΠΈ Π³Π½ΠΎΠΉΠ½Π°Ρ ΡΠΈΡΠΊΠ° Π±ΡΠ»Π° Π²ΡΠ·Π²Π°Π½Π° ΡΠ΅ΡΡΠ΅Π·Π½ΡΠΌ ΠΏΠΎΡΠ°ΠΆΠ΅Π½ΠΈΠ΅ΠΌ Π·ΡΠ±Π° (ΠΊΠΈΡΡΠ°, Π½Π΅ΠΊΡΠΎΡΠΈΡΠ΅ΡΠΊΠΈΠ΅ ΡΠ°Π·ΡΡΡΠ΅Π½ΠΈΡ ΠΊΠΎΡΠ½Ρ), ΡΠΎ Π²ΡΠ°Ρ ΠΏΠΎΡΠΎΠ²Π΅ΡΡΠ΅Ρ Π΅Π³ΠΎ ΡΠ΄Π°Π»ΠΈΡΡ. ΠΠΏΠ΅ΡΠ°ΡΠΈΡ ΠΏΡΠΎΡ ΠΎΠ΄ΠΈΡ Ρ ΠΏΡΠΈΠΌΠ΅Π½Π΅Π½ΠΈΠ΅ΠΌ Π²ΡΠ΅Ρ Π½Π΅ΠΎΠ±Ρ ΠΎΠ΄ΠΈΠΌΡΡ ΡΡΠ΅Π΄ΡΡΠ², Π½ΠΎ Ρ ΡΡΠ΅ΡΠΎΠΌ Π½ΡΠ°Π½ΡΠΎΠ² Π·Π°Π±ΠΎΠ»Π΅Π²Π°Π½ΠΈΡ.
- ΠΡΠ»ΠΈ ΡΠΈΡΠΊΠ° Ρ Π³Π½ΠΎΠ΅ΠΌ ΠΏΠΎΡΠ²ΠΈΠ»Π°ΡΡ ΠΏΠΎΡΠ»Π΅ ΡΠ΄Π°Π»Π΅Π½ΠΈΡ Π·ΡΠ±Π°, ΡΠΎ ΡΡΠΎΠΌΠ°ΡΠΎΠ»ΠΎΠ³ Π΄ΠΎΠ»ΠΆΠ΅Π½ ΠΎΠ±ΡΠ°Π±ΠΎΡΠ°ΡΡ Π»ΡΠ½ΠΊΡ ΡΠΏΠ΅ΡΠΈΠ°Π»ΡΠ½ΡΠΌΠΈ ΠΏΡΠ΅ΠΏΠ°ΡΠ°ΡΠ°ΠΌΠΈ ΠΈ ΡΡΡΠ°Π½ΠΎΠ²ΠΈΡΡ ΠΏΡΠΈΡΠΈΠ½Ρ Π·Π°Π±ΠΎΠ»Π΅Π²Π°Π½ΠΈΡ, Π·Π°ΡΠ΅ΠΌΒ ΠΎΠ½ Π΄Π°Π΅Ρ ΠΏΠ°ΡΠΈΠ΅Π½ΡΡ Π΄Π΅ΡΠ°Π»ΡΠ½ΡΠ΅ ΡΠΊΠ°Π·Π°Π½ΠΈΡ, ΠΏΡΠΎΠΏΠΈΡΡΠ²Π°Π΅Ρ ΠΏΡΠ΅ΠΏΠ°ΡΠ°ΡΡ, ΡΠΏΠΎΡΠΎΠ±ΡΡΠ²ΡΡΡΠΈΠ΅ ΡΠΊΠΎΡΠ΅ΠΉΡΠ΅ΠΌΡ Π·Π°ΠΆΠΈΠ²Π»Π΅Π½ΠΈΡ ΠΏΠΎΡΠ°ΠΆΠ΅Π½Π½ΠΎΠ³ΠΎ ΡΡΠ°ΡΡΠΊΠ°.
Π§Π°ΡΠ΅ Π²ΡΠ΅Π³ΠΎ ΡΠ΄Π°Π»ΡΡΡ ΠΌΠΎΠ»ΠΎΡΠ½ΡΠ΅ Π·ΡΠ±Ρ Ρ Π΄Π΅ΡΠ΅ΠΉ, Π²Π΅Π΄Ρ ΡΠ°ΡΠΏΡΠΎΡΡΡΠ°Π½Π΅Π½ΠΈΠ΅ ΠΈΠ½ΡΠ΅ΠΊΡΠΈΠΈ ΡΠΎΠ·Π΄Π°Π΅Ρ Π½Π°ΠΌΠ½ΠΎΠ³ΠΎ Π±ΠΎΠ»ΡΡΠ΅ ΡΠΈΡΠΊΠΎΠ², ΡΠ΅ΠΌ ΠΎΡΡΡΡΡΡΠ²ΠΈΠ΅ ΡΠ»Π΅ΠΌΠ΅Π½ΡΠ° Π·ΡΠ±Π½ΠΎΠ³ΠΎ ΡΡΠ΄Π°, ΠΏΠΎΡΠΎΠΌΡ ΡΡΠΎ ΠΏΡΠΎΠ΄ΠΎΠ»ΠΆΠΈΡΠ΅Π»ΡΠ½Π°Ρ Π±ΠΎΠ»Π΅Π·Π½Ρ ΠΌΠΎΠ»ΠΎΡΠ½ΠΎΠ³ΠΎ Π·ΡΠ±Π° ΠΎΡΡΠΈΡΠ°ΡΠ΅Π»ΡΠ½ΠΎ Π²Π»ΠΈΡΠ΅Ρ Π½Π° ΠΏΡΠΎΡΠ΅ΡΡ ΡΠΎΡΠΌΠΈΡΠΎΠ²Π°Π½ΠΈΡ ΠΏΠΎΡΡΠΎΡΠ½Π½ΡΡ .
Π‘ΠΊΠΎΡΠ΅ΠΉΡΠ΅Π΅ ΠΎΠ±ΡΠ°ΡΠ΅Π½ΠΈΠ΅ ΠΊ ΡΡΠΎΠΌΠ°ΡΠΎΠ»ΠΎΠ³Ρ ΡΠΏΠΎΡΠΎΠ±Π½ΠΎ ΡΠΏΠ°ΡΡΠΈ ΠΏΠΎΡΠ°ΠΆΠ΅Π½Π½ΡΠΉ Π·ΡΠ±, ΠΏΠΎΡΡΠΎΠΌΡ Π½Π΅ ΡΡΠΎΠΈΡ ΠΏΠΎΠ»Π°Π³Π°ΡΡΡΡ ΡΠΎΠ»ΡΠΊΠΎ Π½Π° ΡΠΎΠ±ΡΡΠ²Π΅Π½Π½ΡΠ΅ ΠΌΠ΅Π΄ΠΈΡΠΈΠ½ΡΠΊΠΈΠ΅ ΡΠ°Π»Π°Π½ΡΡ ΠΈ ΡΠ΅ΡΠ΅ΠΏΡΡ Π½Π°ΡΠΎΠ΄Π½ΠΎΠΉ ΠΌΠ΅Π΄ΠΈΡΠΈΠ½Ρ, ΠΊΠΎΡΠΎΡΡΠ΅ ΠΈΠ³ΡΠ°ΡΡ Π²ΡΠΏΠΎΠΌΠΎΠ³Π°ΡΠ΅Π»ΡΠ½ΡΡ ΡΠΎΠ»Ρ Π²ΠΎ Π²ΡΠ΅ΠΌΡ Π»Π΅ΡΠ΅Π½ΠΈΡ.
ΠΠ°ΡΠΎΠ΄Π½ΡΠ΅ ΡΡΠ΅Π΄ΡΡΠ²Π° ΠΏΡΠΎΡΠΈΠ² ΡΠΈΡΠΊΠΈ Ρ Π³Π½ΠΎΠ΅ΠΌ Π½Π° Π΄Π΅ΡΠ½Π΅
ΠΠ°ΡΠΎΠ΄Π½ΡΠ΅ ΠΌΠ΅ΡΠΎΠ΄Ρ Π΄Π»Ρ ΡΡΡΡΠ°Π½Π΅Π½ΠΈΡ Π³Π½ΠΎΠΉΠ½ΠΈΠΊΠΎΠ² Π½Π° Π΄Π΅ΡΠ½Π°Ρ Π½ΠΎΡΡΡ ΠΈΡΠΊΠ»ΡΡΠΈΡΠ΅Π»ΡΠ½ΠΎ Π²ΡΠΏΠΎΠΌΠΎΠ³Π°ΡΠ΅Π»ΡΠ½ΡΠΉ Ρ Π°ΡΠ°ΠΊΡΠ΅Ρ. ΠΡΡΠ°ΡΡΡ Π²ΡΠ»Π΅ΡΠΈΡΡ ΠΈΡ Π² Π΄ΠΎΠΌΠ°ΡΠ½ΠΈΡ ΡΡΠ»ΠΎΠ²ΠΈΡΡ , Π²Ρ ΠΏΠΎΠ΄Π²Π΅ΡΠ³Π°Π΅ΡΠ΅ ΡΠ²ΠΎΠ΅ Π·Π΄ΠΎΡΠΎΠ²ΡΠ΅ ΡΠ΅ΡΡΠ΅Π·Π½ΠΎΠΌΡ ΡΠΈΡΠΊΡ, ΡΡΠΎΒ ΠΌΠΎΠΆΠ΅Ρ ΠΏΡΠΈΠ²Π΅ΡΡΠΈ ΠΊΒ ΠΏΠΎΡΠ΅ΡΠ΅ Π·ΡΠ±Π°.
Π‘Π°ΠΌΡΠΌΒ ΡΠ°ΡΠΏΡΠΎΡΡΡΠ°Π½Π΅Π½Π½ΡΠΌ ΠΌΠ΅ΡΠΎΠ΄ΠΎΠΌ Π½Π°ΡΠΎΠ΄Π½ΠΎΠΉ ΠΌΠ΅Π΄ΠΈΡΠΈΠ½Ρ ΡΠ²Π»ΡΠ΅ΡΡΡ ΠΏΡΠΈΠΆΠΈΠ³Π°Π½ΠΈΠ΅ ΠΉΠΎΠ΄ΠΎΠΌ. ΠΡΠΎ Π΄Π΅Π»Π°ΡΡ Ρ ΡΠ΅Π»ΡΡ Π΄Π΅Π·ΠΈΠ½ΡΠΈΡΠΈΡΠΎΠ²Π°Π½ΠΈΡ, ΠΎΠ΄Π½Π°ΠΊΠΎ ΠΏΡΠΈ Π±ΠΎΠ»ΡΡΠΎΠΌ ΠΎΡΠ°Π³Π΅ ΠΈΠ½ΡΠ΅ΠΊΡΠΈΠΈ Π²Π½ΡΡΡΠΈ Π΄Π΅ΡΠ½Ρ, ΡΠΏΠΎΡΠΎΠ±Β Π½Π΅ Π±ΡΠ΄Π΅Ρ ΡΠ»ΠΈΡΠΊΠΎΠΌ ΡΡΡΠ΅ΠΊΡΠΈΠ²Π½ΡΠΌ.
Π’Π°ΠΊΠΆΠ΅ Π΄Π»Ρ Π±ΠΎΡΡΠ±Ρ Ρ ΡΠΈΡΠΊΠ°ΠΌΠΈ ΡΠ΅ΠΊΠΎΠΌΠ΅Π½Π΄ΡΡΡ ΠΈΡΠΏΠΎΠ»ΡΠ·ΠΎΠ²Π°ΡΡ ΡΡΠ΄ ΡΠ°ΡΡΠ²ΠΎΡΠΎΠ² Π΄Π»Ρ ΠΏΠΎΠ»ΠΎΡΠΊΠ°Π½ΠΈΡ. ΠΠ½ΠΈ ΠΎΠ±Π»Π°Π΄Π°ΡΡ Π΄Π΅Π·ΠΈΠ½ΡΠΈΡΠΈΡΡΡΡΠΈΠΌ ΠΈ ΠΏΡΠΎΡΠΈΠ²ΠΎΠ²ΠΎΡΠΏΠ°Π»ΠΈΡΠ΅Π»ΡΠ½ΡΠΌ Π΄Π΅ΠΉΡΡΠ²ΠΈΠ΅ΠΌ. Π‘ΠΏΠΈΡΠΎΠΊΒ ΡΡΡΠ΅ΠΊΡΠΈΠ²Π½ΡΡ ΡΠ΅ΡΠ΅ΠΏΡΠΎΠ²:
- ΡΠΏΠΈΡΡΠΎΠ²Π°Ρ Π½Π°ΡΡΠΎΠΉΠΊΠ° Ρ Ρ ΡΠ΅Π½ΠΎΠΌΒ β ΠΈΡΠΏΠΎΠ»ΡΠ·ΠΎΠ²Π°ΡΡ Π½Π°Π΄ΠΎ Ρ ΠΎΡΠΎΠ±ΠΎΠΉ ΠΎΡΡΠΎΡΠΎΠΆΠ½ΠΎΡΡΡΡ, ΡΡΠΎΠ±Ρ Π½Π΅ ΡΠΏΡΠΎΠ²ΠΎΡΠΈΡΠΎΠ²Π°ΡΡ ΠΎΠΆΠΎΠ³ ΠΌΡΠ³ΠΊΠΈΡ ΡΠΊΠ°Π½Π΅ΠΉ ΡΡΠ°. Π§ΡΠΎΠ±Ρ ΠΏΡΠΈΠ³ΠΎΡΠΎΠ²ΠΈΡΡ Π½Π°ΡΡΠΎΠΉΠΊΡ ΠΏΠΎΠ½Π°Π΄ΠΎΠ±ΠΈΡΡΡ ΠΏΠΎΠ»-Π»ΠΈΡΡΠ° Π²ΠΎΠ΄ΠΊΠΈ ΠΈ 400 Π³ΡΠ°ΠΌΠΌ Ρ ΡΠ΅Π½Π°. ΠΠΎΡΠ΅Π½Ρ ΡΠ°ΡΡΠ΅Π½ΠΈΡ Π½ΡΠΆΠ½ΠΎ Π½Π°ΡΠ΅ΡΠ΅ΡΡΒ Π½Π° ΠΎΡΠ΅Π½Ρ ΠΌΠ΅Π»ΠΊΠΎΠΉ ΡΠ΅ΡΠΊΠ΅ ΠΈ ΠΏΠ΅ΡΠ΅Π»ΠΎΠΆΠΈΡΡ Π² Π΅ΠΌΠΊΠΎΡΡΡ ΡΠΏΠΎΡΠΎΠ±Π½ΡΡ ΠΏΠΎΠΌΠ΅ΡΡΠΈΡΡ Π΄ΠΎ Π»ΠΈΡΡΠ° Π½Π°ΡΡΠΎΠΉΠΊΠΈ. ΠΠ°ΡΠ΅ΠΌ Π½Π°ΡΠ΅ΡΡΡΠΉ Ρ ΡΠ΅Π½ Π·Π°Π»ΠΈΠ²Π°ΡΡ Π²ΠΎΠ΄ΠΊΠΎΠΉ ΠΈ Π½Π°ΡΡΠ°ΠΈΠ²Π°ΡΡ Π½Π° ΠΏΡΠΎΡΡΠΆΠ΅Π½ΠΈΠΈ 3-4 ΡΡΡΠΎΠΊ, Π° ΠΏΠ΅ΡΠ΅Π΄ ΠΈΡΠΏΠΎΠ»ΡΠ·ΠΎΠ²Π°Π½ΠΈΠ΅ΠΌ ΡΠ°ΡΡΠ²ΠΎΡΠ° ΡΠ»Π΅Π΄ΡΠ΅Ρ ΡΠ°Π·Π±Π°Π²ΠΈΡΡ Π΅Π³ΠΎ Π²ΠΎΠ΄ΠΎΠΉ. ΠΠΎΠ»ΠΎΡΠΊΠ°ΡΡ ΡΠΎΡΠΎΠ²ΡΡ ΠΏΠΎΠ»ΠΎΡΡΡ Π½Π°ΡΡΠΎΠΉΠΊΠΎΠΉ Π²ΠΎΠ΄ΠΊΠΈ ΠΈ Ρ ΡΠ΅Π½Π° ΡΠ΅ΠΊΠΎΠΌΠ΅Π½Π΄ΡΡΡ Π½Π΅ ΡΠ°ΡΠ΅ 5 ΡΠ°Π· Π² ΡΡΡΠΊΠΈ Π½Π° ΠΏΡΠΎΡΡΠΆΠ΅Π½ΠΈΠΈ 5-6 Π΄Π½Π΅ΠΉ;
- ΡΠ΅ΡΠ½ΠΎΡΠ½Π°Ρ Π½Π°ΡΡΠΎΠΉΠΊΠ° β Π²ΠΎΠ·ΡΠΌΠΈΡΠ΅ 4-5 ΡΡΠ΅Π΄Π½ΠΈΡ Π³ΠΎΠ»ΠΎΠ²ΠΎΠΊ ΡΠ΅ΡΠ½ΠΎΠΊΠ°, 3-4 Π»ΠΈΠΌΠΎΠ½Π° ΠΈ 100 ΠΌΠΈΠ»Π»ΠΈΠ»ΠΈΡΡΠΎΠ² ΡΠΏΠΈΡΡΠ°. Π§Π΅ΡΠ½ΠΎΠΊ ΠΈ ΡΠΈΡΡΡΡΠΎΠ²ΡΠ΅ ΠΎΡΠΈΡΡΠΈΡΠ΅ ΠΎΡ ΠΊΠΎΠΆΡΡΡ, Π³ΠΎΠ»ΠΎΠ²ΠΊΠΈ ΡΠ΅ΡΠ½ΠΎΠΊΠ° ΡΠ°Π·Π΄Π°Π²ΠΈΡΠ΅, Π° Π»ΠΈΠΌΠΎΠ½Ρ ΠΌΠ΅Π»ΠΊΠΎ Π½Π°ΡΡΠΈΡΠ΅ Π½Π° ΡΠ΅ΡΠΊΠ΅. ΠΠ±Π° ΡΡΠΈ ΡΠΎΡΡΠ°Π²Π»ΡΡΡΠΈΠ΅Β ΡΡΠ°ΡΠ΅Π»ΡΠ½ΠΎ ΠΏΠ΅ΡΠ΅ΠΌΠ΅ΡΠΈΠ²Π°ΡΡ Π² ΡΠΏΠ΅ΡΠΈΠ°Π»ΡΠ½ΠΎΠΉ Π΅ΠΌΠΊΠΎΡΡΠΈ ΠΈ Π·Π°Π»ΠΈΠ²Π°ΡΡ ΡΠΏΠΈΡΡΠΎΠΌ. ΠΠ°ΡΡΠ°ΠΈΠ²Π°ΠΉΡΠ΅ ΡΡΠ΅Π΄ΡΡΠ²ΠΎ Π² ΡΠ΅ΠΌΠ½ΠΎΠΌ, ΠΏΡΠΎΡ Π»Π°Π΄Π½ΠΎΠΌ ΠΌΠ΅ΡΡΠ΅ Π½Π° ΠΏΡΠΎΡΡΠΆΠ΅Π½ΠΈΠΈ 5-6 Π΄Π½Π΅ΠΉ, ΠΏΠΎΡΠ»Π΅ ΡΠ΅Π³ΠΎ ΠΏΡΠΈΡΡΡΠΏΠ°ΠΉΡΠ΅ ΠΊ ΠΏΠΎΠ»ΠΎΡΠΊΠ°Π½ΠΈΡΠΌ. ΠΡΠΈΠΌΠ΅Π½ΡΡΡ Π½Π°ΡΡΠΎΠΉΠΊΡ ΡΠ΅ΠΊΠΎΠΌΠ΅Π½Π΄ΡΡΡ ΠΊΠ°ΠΆΠ΄ΡΠ΅ 4-5 ΡΠ°ΡΠΎΠ² Π½Π° ΠΏΡΠΎΡΡΠΆΠ΅Π½ΠΈΠΈ Π½Π΅ Π±ΠΎΠ»Π΅Π΅ 4 Π΄Π½Π΅ΠΉ;
- ΡΠ°ΡΡΠ²ΠΎΡ ΡΠΎΠ»ΠΈ β ΡΡΠΎΠ±Ρ ΠΏΡΠΈΠ³ΠΎΡΠΎΠ²ΠΈΡΡ ΡΡΠΎ ΡΡΠ΅Π΄ΡΡΠ²ΠΎ ΡΡΠ΅Π±ΡΠ΅ΡΡΡ Π²Π·ΡΡΡ Π»ΠΈΡΡ Π²ΠΎΠ΄Ρ ΠΊΠΎΠΌΠ½Π°ΡΠ½ΠΎΠΉ ΡΠ΅ΠΌΠΏΠ΅ΡΠ°ΡΡΡΡ ΠΈ Π΄ΠΎΠ±Π°Π²ΠΈΡΡ ΡΡΠ΄Π° 3-4 ΡΡΠΎΠ»ΠΎΠ²ΡΠ΅ Π»ΠΎΠΆΠΊΠΈ ΠΌΠΎΡΡΠΊΠΎΠΉ (ΠΌΠΎΠΆΠ½ΠΎ ΠΈ ΠΉΠΎΠ΄ΠΈΡΠΎΠ²Π°Π½Π½ΠΎΠΉ) ΡΠΎΠ»ΠΈ. ΠΡΠ»ΠΈ ΡΠΌΠ΅ΡΡ ΡΡΠΏΠ΅Π»Π° Π½Π΅ΠΌΠ½ΠΎΠ³ΠΎ ΠΎΡΡΡΡΡ, ΡΠΎ ΠΏΠ΅ΡΠ΅Π΄ ΠΈΡΠΏΠΎΠ»ΡΠ·ΠΎΠ²Π°Π½ΠΈΠ΅ΠΌ Π΅Π΅ ΠΎΠ±ΡΠ·Π°ΡΠ΅Π»ΡΠ½ΠΎ ΠΏΠΎΠ΄ΠΎΠ³ΡΠ΅Π²Π°ΡΡ, ΡΡΠΎΠ±Ρ ΡΡΠΈΠ»ΠΈΡΡ Π΄Π΅ΠΉΡΡΠ²ΠΈΠ΅ ΡΠ°ΡΡΠ²ΠΎΡΠ°. ΠΠΎΠ»ΠΎΡΠΊΠ°ΡΡ ΡΠΎΡ Π½Π΅ΠΎΠ±Ρ ΠΎΠ΄ΠΈΠΌΠΎΒ ΠΏΠΎΡΠ»Π΅ ΠΊΠ°ΠΆΠ΄ΠΎΠ³ΠΎ ΠΏΡΠΈΠ΅ΠΌΠ° ΠΏΠΈΡΠΈ, Π½ΠΎ Π½Π΅ ΡΠ΅ΠΆΠ΅ ΡΠ΅ΠΌ 5 ΡΠ°Π· Π½Π° ΡΡΡΠΊΠΈ. ΠΠ»Ρ Π±ΠΎΠ»ΡΡΠ΅ΠΉ ΡΡΡΠ΅ΠΊΡΠΈΠ²Π½ΠΎΡΡΠΈ Π² ΡΠ°ΡΡΠ²ΠΎΡ Π΄ΠΎΠ±Π°Π²Π»ΡΡΡ ΡΡΡΠ΅Π½ΡΠ΅ ΡΡΠ°Π²Ρ, ΠΊΠΎΡΠΎΡΡΠ΅ ΠΎΠ±Π»Π°Π΄Π°ΡΡ ΡΡΠΊΠΈΠΌ Π°Π½ΡΠΈΡΠ΅ΠΏΡΠΈΡΠ΅ΡΠΊΠΈΠΌ Π΄Π΅ΠΉΡΡΠ²ΠΈΠ΅ΠΌ, ΠΏΠΎΠ΄ΠΎΠΉΠ΄ΡΡ ΡΠ²Π΅ΡΠΊΠΈ ΡΠΎΠΌΠ°ΡΠΊΠΈ ΠΈΠ»ΠΈ Π»ΠΈΡΡΡΡ ΠΊΠ°Π»Π΅Π½Π΄ΡΠ»Ρ.
ΠΡΠΏΠΎΠ»ΡΠ·ΠΎΠ²Π°Π½ΠΈΠ΅ Π½Π°ΡΠΎΠ΄Π½ΡΡ ΡΡΠ΅Π΄ΡΡΠ² ΡΠΏΠΎΡΠΎΠ±Π½ΠΎ ΡΡΡΠ΅ΠΊΡΠΈΠ²Π½ΠΎ ΠΎΠ±Π»Π΅Π³ΡΠΈΡΡ ΡΠΈΠΌΠΏΡΠΎΠΌΡ Π·Π°Π±ΠΎΠ»Π΅Π²Π°Π½ΠΈΡ. ΠΠ΄Π½Π°ΠΊΠΎ ΠΈΠ½ΠΎΠ³Π΄Π°Β ΡΠ°ΡΡΠ²ΠΎΡΡ ΠΈ Π½Π°ΡΡΠΎΠΉΠΊΠΈ Π½Π΅ ΠΈΠΌΠ΅ΡΡ ΠΏΡΡΠΌΠΎΠ³ΠΎ ΠΊΠΎΠ½ΡΠ°ΠΊΡΠ° Ρ ΠΏΠΎΡΠ°ΠΆΠ΅Π½Π½ΡΠΌ ΡΡΠ°ΡΡΠΊΠΎΠΌ, ΠΏΠΎΡΠΊΠΎΠ»ΡΠΊΡ ΠΎΠ½ Π½Π°Ρ ΠΎΠ΄ΠΈΡΡΡ Π² Π³Π»ΡΠ±ΠΈΠ½Π΅ ΡΠΊΠ°Π½Π΅ΠΉ Π΄Π΅ΡΠ½Ρ. Π ΡΠ°ΠΊΠΎΠΌ ΡΠ»ΡΡΠ°Π΅ Π±Π΅Π· ΠΊΠ²Π°Π»ΠΈΡΠΈΡΠΈΡΠΎΠ²Π°Π½Π½ΠΎΠΉ ΠΏΠΎΠΌΠΎΡΠΈ ΡΡΠΎΠΌΠ°ΡΠΎΠ»ΠΎΠ³Π° ΠΎΠ±ΠΎΠΉΡΠΈΡΡ Π½Π΅ ΠΏΠΎΠ»ΡΡΠΈΡΡΡ.
ΠΠΈΠ΄Π΅ΠΎ: ΠΏΡΠΎΡΠ΅Π΄ΡΡΠ° ΠΏΠΎ ΡΠ΄Π°Π»Π΅Π½ΠΈΡ Π³Π½ΠΎΡ Π½Π° Π΄Π΅ΡΠ½Π΅.
infozuby.ru
ΠΠΎΡΠ²ΠΈΠ»Π°ΡΡ ΡΠΈΡΠΊΠ° Π½Π° Π΄Π΅ΡΠ½Π΅: Π±Π΅Π»Π°Ρ, ΠΊΡΠ°ΡΠ½Π°Ρ, Ρ Π³Π½ΠΎΠ΅ΠΌ ΠΈ Π±Π΅Π·
ΠΠΎΠ²Π΅ΡΡ Π½ΠΎΡΡΡ Π·Π΄ΠΎΡΠΎΠ²ΠΎΠΉ Π΄Π΅ΡΠ½Ρ ΡΠΎΠ·ΠΎΠ²Π°Ρ ΠΈ ΡΠΎΠ²Π½Π°Ρ. ΠΡΠΈ ΡΠ°Π·Π³ΠΎΠ²ΠΎΡΠ΅ ΠΈΠ»ΠΈ ΠΏΠ΅ΡΠ΅ΠΆΠ΅Π²ΡΠ²Π°Π½ΠΈΠΈ ΠΏΠΈΡΠΈ ΡΠ΅Π»ΠΎΠ²Π΅ΠΊ Π½Π΅ Π΄ΠΎΠ»ΠΆΠ΅Π½ ΠΎΡΡΡΠ°ΡΡ Π±ΠΎΠ»Ρ. ΠΡΠ»ΠΈ Π½Π° Π΄Π΅ΡΠ½Π΅ ΠΏΠΎΡΠ²ΠΈΠ»Π°ΡΡ Π±Π΅Π»Π°Ρ ΡΠΈΡΠΊΠ°, Π·Π½Π°ΡΠΈΡ, Π² Π½Π΅ΠΉ ΡΠ°Π·Π²ΠΈΠ²Π°Π΅ΡΡΡ ΠΊΠ°ΠΊΠΎΠΉ-ΡΠΎ Π²ΠΎΡΠΏΠ°Π»ΠΈΡΠ΅Π»ΡΠ½ΡΠΉ ΠΏΡΠΎΡΠ΅ΡΡ. ΠΡΠΈΡΠΈΠ½Ρ ΠΏΠΎΡΠ²Π»Π΅Π½ΠΈΡ Π½ΠΎΠ²ΠΎΠΎΠ±ΡΠ°Π·ΠΎΠ²Π°Π½ΠΈΠΉ ΠΌΠΎΠ³ΡΡ Π±ΡΡΡ ΡΠ°Π·Π½ΡΠΌΠΈ, ΠΊΠ°ΠΊ ΠΈ ΡΠΎΠΏΡΡΡΡΠ²ΡΡΡΠΈΠ΅ ΡΠΈΠΌΠΏΡΠΎΠΌΡ.

Β
ΠΠ΅ΡΠΎΡΡΠ½ΡΠ΅ ΠΏΡΠΈΡΠΈΠ½Ρ
Π‘ΡΠ΅Π΄ΠΈ ΠΏΡΠΈΡΠΈΠ½ ΠΏΠΎΡΠ²Π»Π΅Π½ΠΈΡ ΡΠΈΡΠ΅ΠΊ Π½Π° Π΄Π΅ΡΠ½Π°Ρ Ρ Π²Π·ΡΠΎΡΠ»ΡΡ ΠΈ Π΄Π΅ΡΠ΅ΠΉ Π»ΠΈΠ΄ΠΈΡΡΡΡΡΡ ΠΏΠΎΠ·ΠΈΡΠΈΡ Π·Π°Π½ΠΈΠΌΠ°Π΅Ρ Π½Π΅ΡΠΎΠ±Π»ΡΠ΄Π΅Π½ΠΈΠ΅ Π³ΠΈΠ³ΠΈΠ΅Π½Ρ.
ΠΡΠ»ΠΈ Π½Π° ΡΠ΅Π»ΡΡΡΠΈ ΠΏΠΎΡΠ²ΠΈΠ»Π°ΡΡ ΡΠΈΡΠΊΠ°, Π·Π½Π°ΡΠΈΡ, Π² ΡΠΎΡΠΎΠ²ΠΎΠΉ ΠΏΠΎΠ»ΠΎΡΡΠΈ ΡΠ°Π·Π²ΠΈΠ»ΠΎΡΡ ΠΎΠ΄Π½ΠΎ ΠΈΠ· ΡΠ»Π΅Π΄ΡΡΡΠΈΡ Π·Π°Π±ΠΎΠ»Π΅Π²Π°Π½ΠΈΠΉ:
- ΠΠ΅ΡΠΈΠΎΠ΄ΠΎΠ½ΡΠΈΡ.
- ΠΠ½ΡΡΡΠΈΠ΄Π΅ΡΠ½Π΅Π²ΠΎΠΉ ΡΠ²ΠΈΡ.
- ΠΠ°ΡΠΎΠ΄ΠΎΠ½ΡΠΈΡ.
- ΠΠ΅ΡΠΈΠΎΡΡΠΈΡ.
- ΠΠΈΠ½Π³ΠΈΠ²ΠΈΡ.
- ΠΠΏΡΠ»ΠΈΡ.
ΠΠ½ΠΎΠ³Π΄Π° ΡΠΏΠ»ΠΎΡΠ½Π΅Π½ΠΈΠ΅ Π΄Π΅ΡΠ½Π΅Π²ΡΡ ΡΠΊΠ°Π½Π΅ΠΉ ΠΎΠ±ΡΠ°Π·ΠΎΠ²ΡΠ²Π°Π΅ΡΡΡ ΠΏΠΎ Π½Π΅ΠΈΠ½ΡΠ΅ΠΊΡΠΈΠΎΠ½Π½ΡΠΌ ΠΏΡΠΈΡΠΈΠ½Π°ΠΌ:
- ΠΠΊΠ·ΠΎΡΡΠΎΠ·.
- Π’ΡΠ°Π²ΠΌΠ° ΡΠ΅Π»ΡΡΡΠΈ, Π³Π΅ΠΌΠ°ΡΠΎΠΌΠ°.
- Π₯ΠΈΠΌΠΈΡΠ΅ΡΠΊΠΈΠΉ ΠΈΠ»ΠΈ ΡΠ΅ΡΠΌΠΈΡΠ΅ΡΠΊΠΈΠΉ ΠΎΠΆΠΎΠ³.
- ΠΠΎΠ±ΠΎΡΠ½ΠΎΠ΅ Π΄Π΅ΠΉΡΡΠ²ΠΈΠ΅ Π»Π΅ΠΊΠ°ΡΡΡΠ².
- ΠΠ½ΠΊΠΎΠ»ΠΎΠ³ΠΈΡΠ΅ΡΠΊΠΈΠ΅ Π±ΠΎΠ»Π΅Π·Π½ΠΈ.
Π£ Π΄Π΅ΡΠ΅ΠΉ ΡΠΈΡΠΊΠΈ Π²ΠΎ ΡΡΡ, Π»ΠΎΠΊΠ°Π»ΠΈΠ·ΠΎΠ²Π°Π½Π½ΡΠ΅ Π½Π° Π²Π΅ΡΡ Π½Π΅ΠΉ ΠΈΠ»ΠΈ Π½ΠΈΠΆΠ½Π΅ΠΉ ΡΠ΅Π»ΡΡΡΠΈ, ΠΌΠΎΠ³ΡΡ Π±ΡΡΡ Π²ΠΏΠΎΠ»Π½Π΅ Π΅ΡΡΠ΅ΡΡΠ²Π΅Π½Π½ΡΠΌ ΡΠ²Π»Π΅Π½ΠΈΠ΅ΠΌ β ΠΏΡΠ΅Π΄Π²Π΅ΡΡΠ½ΠΈΠΊΠΎΠΌ ΠΏΡΠΎΡΠ΅Π·ΡΠ²Π°Π½ΠΈΡ ΠΌΠΎΠ»ΠΎΡΠ½ΡΡ ΠΈΠ»ΠΈ ΠΊΠΎΡΠ΅Π½Π½ΡΡ Π·ΡΠ±ΠΎΠ².
ΠΡΠ΅ΠΊ ΠΈ ΠΏΠΎΠΊΡΠ°ΡΠ½Π΅Π½ΠΈΠ΅ Π΄Π΅ΡΠ½Ρ ΠΏΡΠΈ ΠΎΡΡΡΡΡΡΠ²ΠΈΠΈ ΠΈΠ½ΡΠ΅ΠΊΡΠΈΠΈ ΡΠ²Π»ΡΠ΅ΡΡΡ ΠΏΡΠΈΠ·Π½Π°ΠΊΠΎΠΌ ΡΠ°Π±ΠΎΡΡ ΠΈΠΌΠΌΡΠ½ΠΈΡΠ΅ΡΠ°, ΠΊ ΠΏΡΠΈΠΌΠ΅ΡΡ, ΡΡΠΈΠ»ΠΈΠ·Π°ΡΠΈΠΈ Π»Π΅ΠΉΠΊΠΎΡΠΈΡΠ°ΠΌΠΈ ΠΏΠΎΠ²ΡΠ΅ΠΆΠ΄Π΅Π½Π½ΡΡ ΠΈΠ»ΠΈ ΠΏΠ΅ΡΠ΅ΡΠΎΠΆΠ΄Π΅Π½Π½ΡΡ ΠΊΠ»Π΅ΡΠΎΠΊ. ΠΠ½ΡΠ΅ΠΊΡΠΈΠΎΠ½Π½ΡΠΉ ΠΏΡΠΎΡΠ΅ΡΡ ΠΌΠΎΠΆΠ΅Ρ Π²ΠΎΠ·Π½ΠΈΠΊΠ°ΡΡ ΠΊΠ°ΠΊ ΠΎΡΠ»ΠΎΠΆΠ½Π΅Π½ΠΈΠ΅ Π½Π΅ΠΈΠ½ΡΠ΅ΠΊΡΠΈΠΎΠ½Π½ΠΎΠ³ΠΎ Π²ΠΎΡΠΏΠ°Π»Π΅Π½ΠΈΡ, ΠΏΡΠΈ ΠΏΡΠΎΠ½ΠΈΠΊΠ½ΠΎΠ²Π΅Π½ΠΈΠΈ ΠΏΠ°ΡΠΎΠ³Π΅Π½ΠΎΠ² ΡΠ΅ΡΠ΅Π· ΠΎΠΆΠΎΠ³ ΠΈΠ»ΠΈ ΡΠ°Π½Ρ.
Π¨ΠΈΡΠΊΠ° Π½Π° Π΄Π΅ΡΠ½Π΅ Ρ Π²Π½ΡΡΡΠ΅Π½Π½Π΅ΠΉ ΠΈΠ»ΠΈ Π²Π½Π΅ΡΠ½Π΅ΠΉ ΡΡΠΎΡΠΎΠ½Ρ ΠΌΠΎΠΆΠ΅Ρ Π±ΡΡΡ ΠΏΡΠΈΠ·Π½Π°ΠΊΠΎΠΌ ΡΠ»ΡΡΠ°, Π³ΠΈΠ½Π³ΠΈΠ²ΠΈΡΠ°, ΠΏΠ΅ΡΠΈΠΎΡΡΠΈΡΠ°. ΠΠΎΡΡΠΎΠΌΡ ΠΈΠ΄ΡΠΈ ΠΊ ΡΡΠΎΠΌΠ°ΡΠΎΠ»ΠΎΠ³Ρ ΠΏΡΠΈΠ΄Π΅ΡΡΡ ΠΈ Π΄Π»Ρ ΡΡΠΎΡΠ½Π΅Π½ΠΈΡ Π΄ΠΈΠ°Π³Π½ΠΎΠ·Π°, ΠΈ Π΄Π»Ρ Π±ΡΡΡΡΠΎΠ³ΠΎ ΠΊΠ°ΡΠ΅ΡΡΠ²Π΅Π½Π½ΠΎΠ³ΠΎ Π»Π΅ΡΠ΅Π½ΠΈΡ Π²ΠΎ ΠΈΠ·Π±Π΅ΠΆΠ°Π½ΠΈΠ΅ ΠΎΠΏΠ°ΡΠ½ΡΡ ΠΏΠΎΡΠ»Π΅Π΄ΡΡΠ²ΠΈΠΉ.
ΠΠ΅ΡΠΈΠΎΠ΄ΠΎΠ½ΡΠΈΡ ΠΈ ΡΠ°Π·Π²ΠΈΡΠΈΠ΅ Π²Π½ΡΡΡΠΈΠ΄Π΅ΡΠ½Π΅Π²ΠΎΠ³ΠΎ ΡΠ²ΠΈΡΠ°
Π Π°Π·ΡΡΡΠ΅Π½ΠΈΠ΅ ΠΊΠΎΠΌΠΏΠ»Π΅ΠΊΡΠ° ΡΠΊΠ°Π½Π΅ΠΉ, ΡΠ΄Π΅ΡΠΆΠΈΠ²Π°ΡΡΠΈΡ Π·ΡΠ± Π² Π΄Π΅ΡΠ½Π΅, ΡΠΎΠΏΡΠΎΠ²ΠΎΠΆΠ΄Π°ΡΡΠ΅Π΅ΡΡ ΠΎΠ±ΡΠ°Π·ΠΎΠ²Π°Π½ΠΈΠ΅ΠΌ ΡΠΈΡΠΊΠΈ Π½Π° ΡΠ΅Π»ΡΡΡΠΈ ΠΏΠΎΠ΄ Π·ΡΠ±ΠΎΠΌ, Π½Π°Π·ΡΠ²Π°Π΅ΡΡΡ ΠΏΠ΅ΡΠΈΠΎΠ΄ΠΎΠ½ΡΠΈΡΠΎΠΌ. ΠΠΎΠ»Π΅Π·Π½Ρ ΡΠΎΠΏΡΠΎΠ²ΠΎΠΆΠ΄Π°Π΅ΡΡΡ ΠΏΠΎΠ²ΡΠ΅ΠΆΠ΄Π΅Π½ΠΈΠ΅ΠΌ ΡΠ²ΡΠ·ΠΎΠΊ Π·ΡΠ±Π°, ΡΠ°ΡΡΠΈΡΠ½ΠΎΠΉ ΡΠ΅Π·ΠΎΡΠ±ΡΠΈΠ΅ΠΉ ΡΠ²Π΅ΡΠ΄ΡΡ ΡΠΊΠ°Π½Π΅ΠΉ.

ΠΠ½ΡΠ΅ΠΊΡΠΈΠΎΠ½Π½Π°Ρ ΡΠΎΡΠΌΠ° ΡΡΠΎΠ³ΠΎ Π·Π°Π±ΠΎΠ»Π΅Π²Π°Π½ΠΈΡ ΡΠ°ΡΠ΅ Π²ΡΠ΅Π³ΠΎ ΡΠ²ΡΠ·Π°Π½Π° Ρ ΠΏΡΠΎΠ³ΡΠ΅ΡΡΠΈΡΠΎΠ²Π°Π½ΠΈΠ΅ΠΌ ΠΊΠ°ΡΠΈΠ΅ΡΠ°, Ρ ΠΎΡΡ ΡΠ°ΠΊΠΈΠ΅ ΠΏΡΠΎΡΠ΅ΡΡΡ ΠΌΠΎΠ³ΡΡ ΡΠ°Π·Π²ΠΈΠ²Π°ΡΡΡΡ ΠΈ ΠΏΡΠΈ ΡΡΠ°Π²ΠΌΠ°Ρ ΠΈΠ»ΠΈ Π²ΠΎΠ·Π΄Π΅ΠΉΡΡΠ²ΠΈΠΈ ΡΠΎΠΊΡΠΈΡΠ΅ΡΠΊΠΈΡ ΠΌΠ΅Π΄ΠΈΡΠΈΠ½ΡΠΊΠΈΡ ΠΏΡΠ΅ΠΏΠ°ΡΠ°ΡΠΎΠ² Π½Π° Π·ΡΠ±ΠΎΡΠ΅Π»ΡΡΡΠ½ΠΎΠΉ Π°ΠΏΠΏΠ°ΡΠ°Ρ. ΠΡΠΎΡΠ²Π»Π΅Π½ΠΈΡ Π±ΠΎΠ»Π΅Π·Π½ΠΈ ΠΌΠΎΠ³ΡΡ Π±ΡΡΡ ΡΠ°Π·Π½ΠΎΠΎΠ±ΡΠ°Π·Π½ΡΠΌΠΈ: ΠΎΡ Π½Π΅Π±ΠΎΠ»ΡΡΠΎΠΉ Π±ΠΎΠ»Π΅Π·Π½Π΅Π½Π½ΠΎΡΡΠΈ Π΄ΠΎ ΡΠ΅Π·ΠΊΠΎΠ³ΠΎ Π±ΠΎΠ»Π΅Π²ΠΎΠ³ΠΎ ΡΠΈΠ½Π΄ΡΠΎΠΌΠ° Ρ ΡΠ°ΡΡΠ°ΡΡΠ²Π°Π½ΠΈΠ΅ΠΌ Π·ΡΠ±Π° ΠΈ ΠΏΠΎΠ²ΡΡΠ΅Π½ΠΈΠ΅ΠΌ ΡΠ΅ΠΌΠΏΠ΅ΡΠ°ΡΡΡΡ.
Π€ΠΎΡΠΎ: ΡΠ²ΠΈΡ Π½Π° Π΄Π΅ΡΠ½Π΅
ΠΠΈΠΏΠ΅ΡΠΏΠ»Π°Π·ΠΈΡ Π΄Π΅ΡΠ½Π΅Π²ΡΡ ΡΠΊΠ°Π½Π΅ΠΉ ΡΠΏΠΎΡΠΎΠ±Π½Π° ΠΏΡΠΈΠ²Π΅ΡΡΠΈ ΠΊ Π½Π°Π³Π½ΠΎΠ΅Π½ΠΈΡ. ΠΡΠ»ΠΈ Π½Π° Π΄Π΅ΡΠ½Π΅ ΠΏΠΎΡΠ²ΠΈΠ»Π°ΡΡ ΡΠΈΡΠΊΠ° Ρ Π³Π½ΠΎΠ΅ΠΌ, ΡΡΠΎ ΠΌΠΎΠΆΠ΅Ρ Π±ΡΡΡ ΡΠ²ΠΈΡ, ΠΊΠΎΡΠΎΡΡΠΉ ΠΏΡΠ΅Π΄ΡΡΠ°Π²Π»ΡΠ΅Ρ ΡΠΎΠ±ΠΎΠΉ ΠΏΡΡΡ Π³Π½ΠΎΠΉΠ½ΠΎΠ³ΠΎ ΡΠΎΠ΄Π΅ΡΠΆΠΈΠΌΠΎΠ³ΠΎ Π½Π°ΡΡΠΆΡ. ΠΡΠ»ΠΈ ΠΎΠ½ Π·Π°ΠΊΡΡΡ, ΠΈ Π³Π½ΠΎΠΉ Π½Π΅ Π²ΡΡΠ΅ΠΊΠ°Π΅Ρ, ΡΡΠ²ΡΡΠ²ΠΎ Π±ΠΎΠ»ΠΈ ΠΌΠΎΠΆΠ΅Ρ Π±ΡΡΡ Π½Π΅ΡΡΠ΅ΡΠΏΠΈΠΌΡΠΌ. ΠΠΎ ΠΌΠ΅ΡΠ΅ ΠΏΠΎΡΡΠ΅ΠΏΠ΅Π½Π½ΠΎΠ³ΠΎ Π²ΡΡΠ΅ΠΊΠ°Π½ΠΈΡ ΠΆΠΈΠ΄ΠΊΠΎΡΡΠΈ ΠΈΠ· ΠΎΡΠΊΡΡΡΠΎΠ³ΠΎ ΡΠ²ΠΈΡΠ° ΡΠ΅Π»ΠΎΠ²Π΅ΠΊ ΡΡΠ²ΡΡΠ²ΡΠ΅Ρ ΠΎΠ±Π»Π΅Π³ΡΠ΅Π½ΠΈΠ΅.
ΠΠ΅ΡΠ΅Π½ΠΈΠ΅ ΠΏΠ΅ΡΠΈΠΎΠ΄ΠΎΠ½ΡΠΈΡΠ° ΠΎΡΡΡΠ΅ΡΡΠ²Π»ΡΠ΅ΡΡΡ ΠΏΠΎΡΡΠ°ΠΏΠ½ΠΎ: Π½Π°ΡΠΈΠ½Π°Ρ Ρ ΠΏΠΎΠ»Π½ΠΎΠΉ ΠΎΡΠΈΡΡΠΊΠΈ ΡΠ΅Π»ΡΡΡΠΈ ΠΎΡ Π³Π½ΠΎΡ ΠΈ Π·Π°ΠΊΠ°Π½ΡΠΈΠ²Π°Ρ ΠΏΠ»ΠΎΠΌΠ±ΠΈΡΠΎΠ²Π°Π½ΠΈΠ΅ΠΌ Π·ΡΠ±Π½ΡΡ ΠΊΠ°Π½Π°Π»ΠΎΠ² ΠΈΠ»ΠΈ ΡΠ΄Π°Π»Π΅Π½ΠΈΠ΅ΠΌ ΡΡΠ΅Π·ΠΌΠ΅ΡΠ½ΠΎ ΡΠ°ΡΡΠ°ΡΠ°Π½Π½ΠΎΠ³ΠΎ ΠΈΠ»ΠΈ ΡΠ°Π·ΡΡΡΠ΅Π½Π½ΠΎΠ³ΠΎ Π·ΡΠ±Π°. ΠΡΠΏΠΎΠ»ΡΠ·ΡΡΡΡΡ ΠΏΡΠΎΡΠΈΠ²ΠΎΠ²ΠΎΡΠΏΠ°Π»ΠΈΡΠ΅Π»ΡΠ½ΡΠ΅ ΠΈ Π°Π½ΡΠΈΠΌΠΈΠΊΡΠΎΠ±Π½ΡΠ΅ ΡΡΠ΅Π΄ΡΡΠ²Π°, Π½Π°Π·Π½Π°ΡΠ°ΡΡΡΡ ΡΠΈΠ·ΠΈΠΎΡΠ΅ΡΠ°ΠΏΠ΅Π²ΡΠΈΡΠ΅ΡΠΊΠΈΠ΅ ΠΏΡΠΎΡΠ΅Π΄ΡΡΡ.
ΠΡΠ»ΠΈ ΠΏΠ΅ΡΠΈΠΎΠ΄ΠΎΠ½ΡΠΈΡ ΠΎΡΡΠ°Π»ΡΡ Π½Π΅Π²ΡΠ»Π΅ΡΠ΅Π½Π½ΡΠΌ ΠΈ ΠΏΠ΅ΡΠ΅ΡΠ΅Π» Π² Ρ ΡΠΎΠ½ΠΈΡΠ΅ΡΠΊΡΡ ΡΠΎΡΠΌΡ, ΠΈΠ·Π±Π°Π²ΠΈΡΡΡΡ ΠΎΡ ΡΠ²ΠΈΡΠ° ΠΌΠΎΠΆΠ½ΠΎ ΡΠΎΠ»ΡΠΊΠΎ ΠΏΠΎΡΡΠ΅Π΄ΡΡΠ²ΠΎΠΌ Ρ ΠΈΡΡΡΠ³ΠΈΡΠ΅ΡΠΊΠΎΠ³ΠΎ Π»Π΅ΡΠ΅Π½ΠΈΡ.
ΠΠ΅ΡΠΈΠΎΡΡΠΈΡ
ΠΠΎΡΠ²Π»Π΅Π½ΠΈΠ΅ ΠΊΡΠ°ΡΠ½ΠΎΠΉ ΡΠΏΠ»ΠΎΡΠ½Π΅Π½Π½ΠΎΠΉ ΡΠΈΡΠΊΠΈ Π½Π° Π΄Π΅ΡΠ½Π΅, ΠΊΠΎΡΠΎΡΠ°Ρ ΡΠΈΠ»ΡΠ½ΠΎ Π±ΠΎΠ»ΠΈΡ ΠΈ Π²ΡΠ·ΡΠ²Π°Π΅Ρ Π½Π°Π±ΡΡ Π°Π½ΠΈΠ΅ ΡΠΎΡΠ΅Π΄Π½ΠΈΡ Π»ΠΈΠΌΡΠΎΡΠ·Π»ΠΎΠ² ΠΈ ΡΠ΅ΠΊΠΈ, ΡΠ²ΠΈΠ΄Π΅ΡΠ΅Π»ΡΡΡΠ²ΡΠ΅Ρ ΠΎ ΠΏΠ΅ΡΠΈΠΎΡΡΠΈΡΠ΅ ΠΈΠ»ΠΈ ΡΠ°Π·Π²ΠΈΡΠΈΠΈ ΡΠ»ΡΡΠ°. ΠΡΠΎ Π·Π°Π±ΠΎΠ»Π΅Π²Π°Π½ΠΈΠ΅ ΠΌΠΎΠΆΠ΅Ρ ΠΏΡΠΈΠ²Π΅ΡΡΠΈ ΠΊ ΠΈΠ·Π»ΠΈΡΠΈΡ Π³Π½ΠΎΠΉΠ½ΠΎΠ³ΠΎ ΡΠΎΠ΄Π΅ΡΠΆΠΈΠΌΠΎΠ³ΠΎ Π² ΠΏΠΎΠ»ΠΎΡΡΡ ΡΡΠ°, ΠΏΡΠΈ ΠΊΠΎΡΠΎΡΠΎΠΌ ΡΠ²Π΅ΡΡ Ρ Π½Π° Π΄Π΅ΡΠ½Π΅ ΠΏΠΎΡΠ²Π»ΡΠ΅ΡΡΡ Π±Π΅Π»ΡΠΉ ΡΠ°ΡΠΈΠΊ. ΠΠΎΠΌΠΈΠΌΠΎ ΡΡΠΎΠ³ΠΎ, Π³Π½ΠΎΠΉ ΠΌΠΎΠΆΠ΅Ρ ΠΏΡΠΎΡΠ²Π°ΡΡΡΡ ΠΊ Π²Π½ΡΡΡΠ΅Π½Π½ΠΈΠΌ ΡΠΊΠ°Π½ΡΠΌ Π·ΡΠ±Π°, ΡΡΠΎ ΠΌΠΎΠΆΠ΅Ρ Π²ΡΠ·Π²Π°ΡΡ ΠΎΡΠ΅Π½Ρ Π±ΡΡΠ½ΠΎΠ΅ Π²ΠΎΡΠΏΠ°Π»Π΅Π½ΠΈΠ΅, ΡΡΠ΅Π²Π°ΡΠΎΠ΅ ΠΏΠΎΡΠ΅ΡΠ΅ΠΉ Π·ΡΠ±Π° ΠΈ ΡΠ°ΡΠΏΡΠΎΡΡΡΠ°Π½Π΅Π½ΠΈΠ΅ΠΌ ΠΈΠ½ΡΠ΅ΠΊΡΠΈΠΈ ΠΏΠΎ Π²ΡΠ΅ΠΌΡ ΠΎΡΠ³Π°Π½ΠΈΠ·ΠΌΡ.

Π’Π΅ΡΠ°ΠΏΠΈΡ ΠΏΡΠΈ ΠΏΠ΅ΡΠΈΠΎΡΡΠΈΡΠ΅ Π²ΠΊΠ»ΡΡΠ°Π΅Ρ ΡΠ½ΡΡΠΈΠ΅ Π²ΠΎΡΠΏΠ°Π»Π΅Π½ΠΈΡ ΠΈ ΠΎΠ±Π΅Π·Π·Π°ΡΠ°ΠΆΠΈΠ²Π°Π½ΠΈΠ΅ Π·ΡΠ±ΠΎΡΠ΅Π»ΡΡΡΠ½ΡΡ ΡΠΊΠ°Π½Π΅ΠΉ. Π ΡΠ°ΠΊΠΆΠ΅ Π΄Π»ΠΈΡΠ΅Π»ΡΠ½ΠΎΠ΅ (Π΄ΠΎ 2 ΠΌΠ΅ΡΡΡΠ΅Π²) ΠΏΠΎΡΡΠ°ΠΏΠ½ΠΎΠ΅ Π·Π°ΠΊΠ»Π°Π΄ΡΠ²Π°Π½ΠΈΠ΅ ΠΏΠ»ΠΎΠΌΠ± Π²ΡΠ΅ΠΌΠ΅Π½Π½ΠΎΠ³ΠΎ ΠΈ ΠΏΠΎΡΡΠΎΡΠ½Π½ΠΎΠ³ΠΎ ΡΠΈΠΏΠ°.
ΠΠ°ΡΠΎΠ΄ΠΎΠ½ΡΠΈΡ
ΠΠ½ΠΎΠΉΠ½Π°Ρ ΡΠΈΡΠΊΠ° Π½Π° Π΄Π΅ΡΠ½Π΅ Π½Π°Π΄ Π·ΡΠ±ΠΎΠΌ ΠΌΠΎΠΆΠ΅Ρ ΠΎΠΊΠ°Π·Π°ΡΡΡΡ ΠΏΡΠΈΠ·Π½Π°ΠΊΠΎΠΌ ΠΎΡΠ΅Π½Ρ ΠΊΠΎΠ²Π°ΡΠ½ΠΎΠ³ΠΎ Π·Π°Π±ΠΎΠ»Π΅Π²Π°Π½ΠΈΡ Ρ Π΄Π»ΠΈΡΠ΅Π»ΡΠ½ΡΠΌ ΡΠ΅ΡΠ΅Π½ΠΈΠ΅ΠΌ ΠΈ Π½Π΅ΠΎΠ±ΡΠ°ΡΠΈΠΌΡΠΌΠΈ ΠΏΠΎΡΠ»Π΅Π΄ΡΡΠ²ΠΈΡΠΌΠΈ β ΠΏΠ°ΡΠΎΠ΄ΠΎΠ½ΡΠΈΡΠ°. ΠΡΠΈ Π΄Π΅Π³Π΅Π½Π΅ΡΠ°ΡΠΈΠ²Π½ΠΎΠΌ ΠΈΠ·ΠΌΠ΅Π½Π΅Π½ΠΈΠΈ Π°Π»ΡΠ²Π΅ΠΎΠ»ΡΡΠ½ΠΎΠ³ΠΎ ΠΎΡΡΠΎΡΡΠΊΠ°, ΠΊΠΎΡΠΎΡΡΠΉ ΠΎΠ±Π΅ΡΠΏΠ΅ΡΠΈΠ²Π°Π΅Ρ ΡΠΈΠΊΡΠ°ΡΠΈΡ ΠΊΠΎΡΠ½Ρ Π² Π°Π»ΡΠ²Π΅ΠΎΠ»Π΅, ΠΌΠΎΠ³ΡΡ ΠΏΠΎΡΠ²Π»ΡΡΡΡΡ Π½Π°Π³Π½ΠΎΠ΅Π½ΠΈΡ Π½Π°Π΄ Π·ΡΠ±Π°ΠΌΠΈ, ΠΈΠ· ΠΊΠΎΡΠΎΡΡΡ ΠΏΠΎΡΡΠΎΡΠ½Π½ΠΎ Π²ΡΠ΄Π΅Π»ΡΠ΅ΡΡΡ Π·Π»ΠΎΠ²ΠΎΠ½Π½Π°Ρ ΠΆΠΈΠ΄ΠΊΠΎΡΡΡ. ΠΠ΅Π³ΡΠ°Π΄Π°ΡΠΈΡ ΡΠΊΠ°Π½Π΅ΠΉ ΠΌΠΎΠΆΠ΅Ρ Π±ΡΡΡ ΡΠ²ΡΠ·Π°Π½Π° ΠΈ Ρ Π½Π΅Π΄ΠΎΡΡΠ°ΡΠΎΡΠ½ΡΠΌ ΡΠΎΠ±Π»ΡΠ΄Π΅Π½ΠΈΠ΅ΠΌ Π³ΠΈΠ³ΠΈΠ΅Π½Ρ, ΠΈ Ρ Π²Π½ΡΡΡΠ΅Π½Π½ΠΈΠΌΠΈ Π±ΠΎΠ»Π΅Π·Π½ΡΠΌΠΈ ΡΠΎΠ΅Π΄ΠΈΠ½ΠΈΡΠ΅Π»ΡΠ½ΡΡ ΡΠΊΠ°Π½Π΅ΠΉ.
ΠΡΠΈ Π»Π΅ΡΠ΅Π½ΠΈΠΈ ΠΏΠ°ΡΠΎΠ΄ΠΎΠ½ΡΠΈΡΠ° Π½Π°ΡΠ°Π»ΡΠ½ΡΡ ΡΡΠ°Π΄ΠΈΠΉ Π±ΡΠ²Π°Π΅Ρ Π΄ΠΎΡΡΠ°ΡΠΎΡΠ½ΠΎ ΠΏΡΠΎΠ²Π΅ΡΡΠΈ ΠΏΡΠΎΡΠ΅ΡΡΠΈΠΎΠ½Π°Π»ΡΠ½ΡΡ ΡΠΈΡΡΠΊΡ Π·ΡΠ±ΠΎΠ² ΠΈ Π΄ΠΎΠ±ΠΈΡΡΡΡ ΠΎΡ ΠΏΠ°ΡΠΈΠ΅Π½ΡΠ° Π΄Π°Π»ΡΠ½Π΅ΠΉΡΠ΅Π³ΠΎ ΡΠ΅Π³ΡΠ»ΡΡΠ½ΠΎΠ³ΠΎ ΡΠΎΠ±Π»ΡΠ΄Π΅Π½ΠΈΡ Π³ΠΈΠ³ΠΈΠ΅Π½Ρ ΠΏΠΎΠ»ΠΎΡΡΠΈ ΡΡΠ°. ΠΠ°ΠΏΡΡΠ΅Π½Π½ΡΠ΅ ΡΡΠ°Π΄ΠΈΠΈ Π·Π°Π±ΠΎΠ»Π΅Π²Π°Π½ΠΈΡ, ΡΠΎΠΏΡΠΎΠ²ΠΎΠΆΠ΄Π°ΡΡΠΈΠ΅ΡΡ ΡΠ°ΡΡΠ°ΡΡΠ²Π°Π½ΠΈΠ΅ΠΌ Π·ΡΠ±Π½ΠΎΠ³ΠΎ ΡΡΠ΄Π° ΠΈ Π½Π°ΠΊΠ°ΠΏΠ»ΠΈΠ²Π°Π½ΠΈΠ΅ΠΌ Π³Π½ΠΎΡ, ΠΌΠΎΠ³ΡΡ Π»Π΅ΡΠΈΡΡΡΡ Π»ΠΈΡΡ ΠΏΡΡΠ΅ΠΌ ΡΠ΄Π°Π»Π΅Π½ΠΈΡ Π·ΡΠ±ΠΎΠ² ΠΈΠ»ΠΈ Ρ ΠΈΡΡΡΠ³ΠΈΡΠ΅ΡΠΊΠΎΠ³ΠΎ Π²ΠΎΡΡΡΠ°Π½ΠΎΠ²Π»Π΅Π½ΠΈΡ Π°Π»ΡΠ²Π΅ΠΎΠ»ΡΡΠ½ΡΡ ΠΎΡΡΠΎΡΡΠΊΠΎΠ².

ΠΠΈΠ½Π³ΠΈΠ²ΠΈΡ
ΠΡΠ»ΠΈ Π½Π° Π΄Π΅ΡΠ½Π΅ ΠΏΠΎΡΠ²ΠΈΠ»Π°ΡΡ ΡΠΈΡΠΊΠ°, Π½ΠΎ ΠΎΠ½Π° Π½Π΅ Π±ΠΎΠ»ΠΈΡ, Π·Π½Π°ΡΠΈΡ, Π΅Π΅ ΠΏΠΎΡΠ²Π»Π΅Π½ΠΈΠ΅ Π²ΡΠ·Π²Π°Π½ΠΎ Π³ΠΈΠ½Π³ΠΈΠ²ΠΈΡΠΎΠΌ. ΠΡΠΎ Π²ΠΎΡΠΏΠ°Π»ΠΈΡΠ΅Π»ΡΠ½ΡΠΉ ΠΏΡΠΎΡΠ΅ΡΡ, Π² ΠΊΠΎΡΠΎΡΡΠΉ Π²ΠΎΠ²Π»Π΅ΠΊΠ°Π΅ΡΡΡ ΡΠΎΠ»ΡΠΊΠΎ Π΄Π΅ΡΠ½Π°, Π° ΠΏΠ°ΡΠΎΠ΄ΠΎΠ½ΡΠ°Π»ΡΠ½ΡΠΉ Π°ΠΏΠΏΠ°ΡΠ°Ρ Π²ΠΎΠΊΡΡΠ³ Π·ΡΠ±Π° ΠΎΡΡΠ°Π΅ΡΡΡ Π½Π΅Π·Π°ΡΡΠΎΠ½ΡΡΡΠΌ.

Π€ΠΎΡΠΎ: Π³ΠΈΠ½Π³ΠΈΠ²ΠΈΡ
ΠΡΠ½ΠΎΠ²Π½ΡΠ΅ ΡΠΈΠΌΠΏΡΠΎΠΌΡ Π³ΠΈΠ½Π³ΠΈΠ²ΠΈΡΠ° β ΠΊΡΠΎΠ²ΠΎΡΠΎΡΠΈΠ²ΠΎΡΡΡ, ΠΎΡΠ΅ΠΊΠΈ, ΡΠ»ΡΡΠΈΠ²Π°Π½ΠΈΠ΅ ΡΠΏΠΈΡΠ΅Π»ΠΈΡ. ΠΠΎΠ»Π΅Π·Π½Ρ Π½Π΅ΡΠ΅Π΄ΠΊΠΎ ΡΠΎΠΏΡΠΎΠ²ΠΎΠΆΠ΄Π°Π΅ΡΡΡ Π³Π°Π»ΠΈΡΠΎΠ·ΠΎΠΌ, Π΅Π³ΠΎ ΠΏΡΠΎΠ²ΠΎΡΠΈΡΡΠ΅Ρ Π±ΠΈΠΎΠΏΠ»Π΅Π½ΠΊΠ° ΠΈΠ· ΡΠΊΠΎΠΏΠΈΠ²ΡΠΈΡ ΡΡ ΠΏΠ°ΡΠΎΠ³Π΅Π½Π½ΡΡ ΠΌΠΈΠΊΡΠΎΠ±ΠΎΠ², ΠΊΠΎΡΠΎΡΠ°Ρ ΠΌΠΎΠΆΠ΅Ρ Π±ΡΡΡ ΠΏΠ΅ΡΠ²ΠΎΠΏΡΠΈΡΠΈΠ½ΠΎΠΉ Π³ΠΈΠ½Π³ΠΈΠ²ΠΈΡΠ°. Π ΡΠ΅Π΄ΠΊΠΈΡ ΡΠ»ΡΡΠ°ΡΡ ΠΏΡΠΈΡΠΈΠ½Ρ ΠΏΠ°ΡΠΎΠ»ΠΎΠ³ΠΈΠΈ ΠΊΡΠΎΡΡΡΡ Π²ΠΎ Π²Π½ΡΡΡΠ΅Π½Π½ΠΈΡ ΡΠ±ΠΎΡΡ ΠΌΠ΅ΡΠ°Π±ΠΎΠ»ΠΈΡΠ΅ΡΠΊΠΎΠ³ΠΎ ΠΈ ΡΠ½Π΄ΠΎΠΊΡΠΈΠ½Π½ΠΎΠ³ΠΎ ΠΏΡΠΎΠΈΡΡ ΠΎΠΆΠ΄Π΅Π½ΠΈΡ.
ΠΡΠΈ Π»Π΅ΡΠ΅Π½ΠΈΠΈ Π³ΠΈΠ½Π³ΠΈΠ²ΠΈΡΠ° Π½Π΅ΠΎΠ±Ρ ΠΎΠ΄ΠΈΠΌΠΎ ΡΡΡΡΠ°Π½ΠΈΡΡ ΠΏΠ΅ΡΠ²ΠΎΠΏΡΠΈΡΠΈΠ½Ρ Π΅Π³ΠΎ Π²ΠΎΠ·Π½ΠΈΠΊΠ½ΠΎΠ²Π΅Π½ΠΈΡ. ΠΠΎΡΡΠΎΠΌΡ ΠΏΡΠΎΠ²ΠΎΠ΄ΠΈΡΡΡ ΠΏΡΠΎΡΠ΅ΡΡΠΈΠΎΠ½Π°Π»ΡΠ½Π°Ρ ΡΠΈΡΡΠΊΠ° ΡΠΎΡΠΎΠ²ΠΎΠΉ ΠΏΠΎΠ»ΠΎΡΡΠΈ, Π΄ΠΈΠ°Π³Π½ΠΎΡΡΠΈΠΊΠ° ΠΈ Π»Π΅ΡΠ΅Π½ΠΈΠ΅ Π½Π°ΡΡΡΠ΅Π½ΠΈΠΉ ΠΎΠ±ΠΌΠ΅Π½Π° Π²Π΅ΡΠ΅ΡΡΠ². Π§ΡΠΎΠ±Ρ ΡΠ½ΡΡΡ Π²ΠΎΡΠΏΠ°Π»Π΅Π½ΠΈΠ΅ ΠΈ ΠΎΠ³ΡΠ°Π½ΠΈΡΠΈΡΡ ΡΠ°ΡΠΏΡΠΎΡΡΡΠ°Π½Π΅Π½ΠΈΠ΅ ΠΏΠ°ΡΠΎΠ³Π΅Π½ΠΎΠ², Π½Π°Π·Π½Π°ΡΠ°ΡΡΡΡ Π°Π½ΡΠΈΠ±ΠΈΠΎΡΠΈΠΊΠΈ. ΠΡΠ»ΠΈ ΠΏΠΎΡΠ²Π»ΡΡΡΡΡ ΡΠΈΠ»ΡΠ½ΡΠ΅ Π±ΠΎΠ»ΠΈ, ΠΏΡΠΈΠΌΠ΅Π½ΡΡΡΡΡ Π°Π½Π°Π»ΡΠ³Π΅ΡΠΈΠΊΠΈ.
ΠΠΏΡΠ»ΠΈΡ
ΠΠΏΡΠ»ΠΈΡ β ΡΡΠΎ Π½Π΅Π±ΠΎΠ»ΡΡΠΎΠΉ ΡΠ°ΡΠΈΠΊ, ΡΠΎΠ΅Π΄ΠΈΠ½Π΅Π½Π½ΡΠΉ Ρ Π΄Π΅ΡΠ½ΠΎΠΉ Π½ΠΎΠΆΠΊΠΎΠΉ ΠΈ Π²ΠΎΠ·Π½ΠΈΠΊΠ°ΡΡΠΈΠΉ ΠΈΠ·-Π·Π° Π΄Π»ΠΈΡΠ΅Π»ΡΠ½ΠΎΠ³ΠΎ ΠΌΠ΅Ρ Π°Π½ΠΈΡΠ΅ΡΠΊΠΎΠ³ΠΎ Π²ΠΎΠ·Π΄Π΅ΠΉΡΡΠ²ΠΈΡ Π½Π° ΠΎΠ΄ΠΈΠ½ ΠΈΠ· ΡΡΠ°ΡΡΠΊΠΎΠ² Π·ΡΠ±ΠΎΡΠ΅Π»ΡΡΡΠ½ΠΎΠ³ΠΎ Π°ΠΏΠΏΠ°ΡΠ°ΡΠ°. Π§Π°ΡΠ΅ ΡΠ°ΠΊΠ°Ρ ΡΠΈΡΠΊΠ° ΠΏΠΎΡΠ²Π»ΡΠ΅ΡΡΡ Π½Π° Π½ΠΈΠΆΠ½Π΅ΠΉ ΡΠ΅Π»ΡΡΡΠΈ, Π²Π½ΡΡΡΠΈ Π½Π΅Π΅ ΠΌΠΎΠ³ΡΡ Π±ΡΡΡ ΡΠ°Π·Π½ΡΠ΅ Π³ΠΈΡΡΠΎΠ»ΠΎΠ³ΠΈΡΠ΅ΡΠΊΠΈΠ΅ ΡΠ»Π΅ΠΌΠ΅Π½ΡΡ.

Π€ΠΎΡΠΎ: ΡΠΏΡΠ»ΠΈΡ
Π£ ΠΌΠ°Π»Π΅Π½ΡΠΊΠΈΡ Π΄Π΅ΡΠ΅ΠΉ ΡΡΡ ΠΏΠ°ΡΠΎΠ»ΠΎΠ³ΠΈΡ ΠΏΡΠΎΠ²ΠΎΡΠΈΡΡΡΡ ΡΠ΅ΠΆΡΡΠΈΠ΅ΡΡ Π·ΡΠ±ΠΊΠΈ, Π° Ρ Π²Π·ΡΠΎΡΠ»ΡΡ ΠΎΠ½Π° Π²ΡΡΡΠ΅ΡΠ°Π΅ΡΡΡ ΠΏΡΠΈ Π½ΠΎΡΠ΅Π½ΠΈΠΈ Π½Π΅ΠΊΠ°ΡΠ΅ΡΡΠ²Π΅Π½Π½ΡΡ ΠΈ Π½Π΅ΡΠ΄ΠΎΠ±Π½ΡΡ ΠΏΡΠΎΡΠ΅Π·ΠΎΠ², Π½Π°Π»ΠΈΡΠΈΠΈ ΠΎΡΡΡΠΎΠΉ ΡΡΠΎΡΠΎΠ½Ρ ΠΎΠ±Π»ΠΎΠΌΠ°Π½Π½ΠΎΠ³ΠΎ Π·ΡΠ±Π°. Π‘ΡΠ΅Π΄ΠΈ ΠΏΠ°ΡΠΈΠ΅Π½ΡΠΎΠ² Ρ ΡΠ°ΠΊΠΈΠΌ Π΄ΠΈΠ°Π³Π½ΠΎΠ·ΠΎΠΌ Π³ΠΎΡΠ°Π·Π΄ΠΎ Π±ΠΎΠ»ΡΡΠ΅ ΠΆΠ΅Π½ΡΠΈΠ½.
ΠΠ΅Π·Π°Π²ΠΈΡΠΈΠΌΠΎ ΠΎΡ ΡΠΎΠ³ΠΎ, Π½Π°ΡΠΊΠΎΠ»ΡΠΊΠΎ Π±ΡΡΡΡΠΎ ΡΠ°ΡΡΠ΅Ρ ΡΠΏΡΠ»ΠΈΡ, Π΅ΡΡΡ Π»ΠΈ Π±ΠΎΠ»Ρ ΠΈ ΠΊΡΠΎΠ²ΠΎΡΠΎΡΠΈΠ²ΠΎΡΡΡ ΠΏΡΠΈ Π½Π°ΠΆΠ°ΡΠΈΠΈ, Π²ΡΠ»Π΅ΡΠΈΡΡ Π΅Π³ΠΎ ΠΌΠΎΠΆΠ½ΠΎ ΡΠΎΠ»ΡΠΊΠΎ Ρ ΠΈΡΡΡΠ³ΠΈΡΠ΅ΡΠΊΠΈΠΌ ΠΏΡΡΠ΅ΠΌ. Π‘ΠΏΠ΅ΡΠ²Π° ΠΏΡΠΎΠ²ΠΎΠ΄ΡΡ ΠΈΡΡΠ΅ΡΠ΅Π½ΠΈΠ΅ ΠΎΠ±ΡΠ°Π·ΠΎΠ²Π°Π½ΠΈΡ ΠΏΠΎΠ΄ ΠΌΠ΅ΡΡΠ½ΡΠΌ Π½Π°ΡΠΊΠΎΠ·ΠΎΠΌ, Π·Π°ΡΠ΅ΠΌ ΠΏΠΎΠ²ΡΠ΅ΠΆΠ΄Π΅Π½Π½ΡΠΉ ΡΡΠ°ΡΡΠΎΠΊ ΠΏΡΠΈΠΆΠΈΠ³Π°ΡΡ. Π ΡΠΎΠ²ΡΠ΅ΠΌΠ΅Π½Π½ΡΡ ΡΡΠΎΠΌΠ°ΡΠΎΠ»ΠΎΠ³ΠΈΡΡ ΡΡΠΎ Π΄Π΅Π»Π°ΡΡ Π»Π°Π·Π΅ΡΠΎΠΌ. ΠΡΠ΅Π½Ρ Π²Π°ΠΆΠ½ΡΠΌ ΡΡΠ»ΠΎΠ²ΠΈΠ΅ΠΌ Π»Π΅ΡΠ΅Π½ΠΈΡ ΡΠ²Π»ΡΠ΅ΡΡΡ ΡΠ΄Π°Π»Π΅Π½ΠΈΠ΅ ΡΠ°ΠΊΡΠΎΡΠ°, ΡΠΏΡΠΎΠ²ΠΎΡΠΈΡΠΎΠ²Π°Π²ΡΠ΅Π³ΠΎ ΠΏΠ°ΡΠΎΠ»ΠΎΠ³ΠΈΡ.
ΠΠΊΠ·ΠΎΡΡΠΎΠ·
Π’Π²Π΅ΡΠ΄Π°Ρ ΡΠΈΡΠΊΠ° Π½Π° Π΄Π΅ΡΠ½Π΅, ΠΏΠΎΡ ΠΎΠΆΠ°Ρ Π½Π° ΠΊΠΎΡΡΡ, ΠΌΠΎΠΆΠ΅Ρ Π±ΡΡΡ ΡΠΊΠ·ΠΎΡΡΠΎΠ·ΠΎΠΌ β ΠΏΡΠΎΠ΄ΠΎΠ»ΠΆΠ΅Π½ΠΈΠ΅ΠΌ ΠΊΠΎΡΡΠ½ΡΡ ΡΠΊΠ°Π½Π΅ΠΉ, ΡΠ»Π΅Π³ΠΊΠ° Π²ΡΠ΄Π°ΡΡΠΈΡ ΡΡ Π½Π°ΡΡΠΆΡ. ΠΡΠΎ Π»ΠΈΠ±ΠΎ Π²ΡΠΎΠΆΠ΄Π΅Π½Π½Π°Ρ Π°Π½ΠΎΠΌΠ°Π»ΠΈΡ ΠΊΠΎΡΡΠΎΡΠΊΠΈ, ΠΊΠΎΡΠΎΡΠ°Ρ Π²ΡΠ»Π΅Π·Π»Π° Π΅ΡΠ΅ ΠΏΡΠΈ ΡΠ°Π·Π²ΠΈΡΠΈΠΈ Π² ΡΡΡΠΎΠ±Π΅, Π»ΠΈΠ±ΠΎ ΠΏΡΠΈΠΎΠ±ΡΠ΅ΡΠ΅Π½Π½ΡΠΉ Π΄Π΅ΡΠ΅ΠΊΡ. Π ΡΠ΅ΡΠ΅Π½ΠΈΠ΅ ΠΆΠΈΠ·Π½ΠΈ ΡΡΠΈ Π°Π½ΠΎΠΌΠ°Π»ΡΠ½ΡΠ΅ ΠΊΠΎΡΡΠΈ ΠΌΠΎΠ³ΡΡ Π½Π°ΡΠ°ΡΡΠ°ΡΡ ΠΏΠΎΡΠ»Π΅ ΡΡΠ°Π²ΠΌ Π·ΡΠ±ΠΎΡΠ΅Π»ΡΡΡΠ½ΠΎΠ³ΠΎ Π°ΠΏΠΏΠ°ΡΠ°ΡΠ° Π² Π±ΡΡΡ ΠΈΠ»ΠΈ ΠΏΠΎΡΠ»Π΅ Π½Π΅ΡΠ΄Π°ΡΠ½ΡΡ ΡΡΠΎΠΌΠ°ΡΠΎΠ»ΠΎΠ³ΠΈΡΠ΅ΡΠΊΠΈΡ ΠΏΡΠΎΡΠ΅Π΄ΡΡ.

Π€ΠΎΡΠΎ: ΡΠΊΠ·ΠΎΡΡΠΎΠ·
Π’Π°ΠΊΠ°Ρ ΡΠ²Π΅ΡΠ΄Π°Ρ ΡΠΈΡΠΊΠ° Π½Π° Π΄Π΅ΡΠ½Π΅ (ΡΠΊΠ·ΠΎΡΡΠΎΠ·) ΠΌΠΎΠΆΠ΅Ρ Π½Π΅ Π±ΠΎΠ»Π΅ΡΡ, Π½ΠΎ Π½Π΅Ρ Π³Π°ΡΠ°Π½ΡΠΈΠΈ, ΡΡΠΎ Π² Π±ΡΠ΄ΡΡΠ΅ΠΌ ΠΎΠ½Π° Π½Π΅ ΠΏΠ΅ΡΠ΅ΡΠΎΠ΄ΠΈΡΡΡ Π² Π·Π»ΠΎΠΊΠ°ΡΠ΅ΡΡΠ²Π΅Π½Π½ΠΎΠ΅ ΠΎΠ±ΡΠ°Π·ΠΎΠ²Π°Π½ΠΈΠ΅. ΠΠΎΡΡΠΎΠΌΡ Π΅Π΅ ΠΎΠ±ΡΠ·Π°ΡΠ΅Π»ΡΠ½ΠΎ ΠΏΠΎΠΊΠ°Π·ΡΠ²Π°ΡΡ Π΄ΠΎΠΊΡΠΎΡΡ, Π»Π΅ΡΠΈΡΡ ΡΡΡ ΠΏΠ°ΡΠΎΠ»ΠΎΠ³ΠΈΡ Π΄ΠΎΠΌΠ° Π½Π΅Π»ΡΠ·Ρ. ΠΡΠ»ΠΈ ΡΡΠΎΠΌΠ°ΡΠΎΠ»ΠΎΠ³ ΠΏΠΎΡΡΠΈΡΠ°Π΅Ρ ΠΊΠΎΡΡΠΎΡΠΊΡ, ΠΊΠΎΡΠΎΡΠ°Ρ Π²ΡΠ»Π΅Π·Π»Π° Π²ΠΎΠ·Π»Π΅ Π·ΡΠ±Π°, ΠΏΠΎΠ΄ΠΎΠ·ΡΠΈΡΠ΅Π»ΡΠ½ΠΎΠΉ Π² ΠΎΠ½ΠΊΠΎΠ»ΠΎΠ³ΠΈΡΠ΅ΡΠΊΠΎΠΌ ΠΏΠ»Π°Π½Π΅, Π½ΡΠΆΠ½ΠΎ Π±ΡΠ΄Π΅Ρ Π΄Π΅Π»Π°ΡΡ ΠΎΠΏΠ΅ΡΠ°ΡΠΈΡ.
ΠΠ΅ΠΌΠ°ΡΠΎΠΌΠ° Π½Π° Π΄Π΅ΡΠ½Π΅
ΠΡΠΈ ΡΠ΄Π°ΡΠ΅ ΠΏΠΎ ΡΠ΅Π»ΡΡΡΠΈ Π½Π° Π΄Π΅ΡΠ½Π΅ ΠΎΠΊΠΎΠ»ΠΎ Π·ΡΠ±Π° ΠΌΠΎΠΆΠ΅Ρ Π²ΠΎΠ·Π½ΠΈΠΊΠ½ΡΡΡ ΡΠΈΡΠΊΠ° ΠΊΡΠ°ΡΠ½ΠΎΠ³ΠΎ ΠΈΠ»ΠΈ ΡΠΈΠ½Π΅Π³ΠΎ ΡΠ²Π΅ΡΠ°. Π’Π°ΠΊΠ°Ρ ΡΠΈΡΠΊΠ° ΠΌΠΎΠΆΠ΅Ρ Π²ΡΠΊΠΎΡΠΈΡΡ ΠΈ ΠΏΠΎΡΠ»Π΅ ΡΠ΄Π°Π»Π΅Π½ΠΈΡ Π·ΡΠ±Π°. ΠΠ½ΡΡΡΠΈ ΠΎΠ½Π° Π·Π°ΠΏΠΎΠ»Π½Π΅Π½Π° ΠΊΡΠΎΠ²ΡΡ, ΠΈΠ·Π»ΠΈΠ²ΡΠ΅ΠΉΡΡ ΠΈΠ· ΠΏΠΎΠ²ΡΠ΅ΠΆΠ΄Π΅Π½Π½ΡΡ ΠΊΡΠΎΠ²Π΅Π½ΠΎΡΠ½ΡΡ ΡΠΎΡΡΠ΄ΠΎΠ².
ΠΠ΅ΠΌΠ°ΡΠΎΠΌΠ° ΠΎΠ±ΡΡΠ½ΠΎ Π½Π΅ ΠΏΡΠ΅Π΄ΡΡΠ°Π²Π»ΡΠ΅Ρ ΠΎΡΠΎΠ±ΠΎΠΉ ΠΎΠΏΠ°ΡΠ½ΠΎΡΡΠΈ, ΠΏΠΎΡΠΎΠΌΡ ΡΡΠΎ Π² ΠΎΡΠ³Π°Π½ΠΈΠ·ΠΌΠ΅ ΡΡΡΠ΅ΡΡΠ²ΡΡΡ ΡΠΏΠ΅ΡΠΈΠ°Π»ΡΠ½ΡΠ΅ ΠΌΠ΅Ρ Π°Π½ΠΈΠ·ΠΌΡ ΠΎΡΠΈΡΠ΅Π½ΠΈΡ ΡΠΊΠ°Π½Π΅ΠΉ ΠΎΡ ΡΠ³ΡΡΡΠΊΠΎΠ² ΠΊΡΠΎΠ²ΠΈ. ΠΠΎΡΡΠΎΠΌΡ ΡΠ΅ΡΠ΅Π· Π½Π΅ΠΊΠΎΡΠΎΡΠΎΠ΅ Π²ΡΠ΅ΠΌΡ ΡΠΏΠ»ΠΎΡΠ½Π΅Π½ΠΈΠ΅ Π΄ΠΎΠ»ΠΆΠ½ΠΎ ΠΈΡΡΠ΅Π·Π½ΡΡΡ, Π½ΠΎ Π΅ΡΠ»ΠΈ ΡΠΈΡΠΊΠ° ΠΎΡΡΠ°Π»Π°ΡΡ, ΡΠ»Π΅Π΄ΡΠ΅Ρ ΠΈΠ΄ΡΠΈ ΠΊ Π²ΡΠ°ΡΡ.
ΠΠ½ΠΊΠΎΠ»ΠΎΠ³ΠΈΡΠ΅ΡΠΊΠΈΠ΅ Π±ΠΎΠ»Π΅Π·Π½ΠΈ
Π¨ΠΈΡΠΊΡ, ΠΊΠΎΡΠΎΡΠ°Ρ Π²ΡΠΊΠΎΡΠΈΠ»Π° Π½Π° Π²Π΅ΡΡ Π½Π΅ΠΉ ΠΈΠ»ΠΈ Π½ΠΈΠΆΠ½Π΅ΠΉ Π΄Π΅ΡΠ½Π΅ ΠΏΠΎΠ΄ Π·ΡΠ±ΠΎΠΌ, Π½Π΅Π»ΡΠ·Ρ Π½Π΅Π΄ΠΎΠΎΡΠ΅Π½ΠΈΠ²Π°ΡΡ, ΠΏΠΎΡΠΊΠΎΠ»ΡΠΊΡ ΡΠ°ΠΊΠΎΠ΅ ΡΠΏΠ»ΠΎΡΠ½Π΅Π½ΠΈΠ΅ ΠΌΠΎΠΆΠ΅Ρ ΠΎΠΊΠ°Π·Π°ΡΡΡΡ ΠΏΡΠΈΠ·Π½Π°ΠΊΠΎΠΌ ΡΠ°ΠΊΠ°. ΠΡΠΎΠΉ ΠΏΠ°ΡΠΎΠ»ΠΎΠ³ΠΈΠΈ ΡΠΈΠ»ΡΠ½Π΅Π΅ ΠΏΠΎΠ΄Π²Π΅ΡΠΆΠ΅Π½Ρ ΠΌΡΠΆΡΠΈΠ½Ρ, ΠΎΠ΄Π½Π°ΠΊΠΎ ΠΎΠ½Π° ΠΌΠΎΠΆΠ΅Ρ Π²ΠΎΠ·Π½ΠΈΠΊΠ½ΡΡΡ Ρ Π»ΡΠ±ΠΎΠ³ΠΎ ΡΠ΅Π»ΠΎΠ²Π΅ΠΊΠ° ΠΏΡΠΈ Π½Π°Π»ΠΈΡΠΈΠΈ ΡΠ°ΠΊΡΠΎΡΠΎΠ² ΡΠΈΡΠΊΠ°.
Π ΠΎΠ½ΠΊΠΎΠ»ΠΎΠ³ΠΈΡΠ΅ΡΠΊΠΈΠΌ Π±ΠΎΠ»Π΅Π·Π½ΡΠΌ ΠΏΡΠ΅Π΄ΡΠ°ΡΠΏΠΎΠ»Π°Π³Π°ΡΡ ΠΏΠ°Π³ΡΠ±Π½ΡΠ΅ ΠΏΡΠΈΠ²ΡΡΠΊΠΈ, ΡΠ°Π΄ΠΈΠ°ΡΠΈΡ, Ρ ΠΈΠΌΠΈΡΠ΅ΡΠΊΠΎΠ΅ Π·Π°Π³ΡΡΠ·Π½Π΅Π½ΠΈΠ΅, Π½Π΅Π΄ΠΎΡΡΠ°ΡΠΎΡΠ½ΠΎΠ΅ ΠΏΠΈΡΠ°Π½ΠΈΠ΅, Π³Π΅Π½Π΅ΡΠΈΡΠ΅ΡΠΊΠ°Ρ ΠΏΡΠ΅Π΄ΡΠ°ΡΠΏΠΎΠ»ΠΎΠΆΠ΅Π½Π½ΠΎΡΡΡ ΠΈ Π²ΠΎΠ·ΡΠ°ΡΡΠ½ΡΠ΅ ΠΈΠ·ΠΌΠ΅Π½Π΅Π½ΠΈΡ.
ΠΠ½Π°ΡΠ°Π»Π΅ ΡΠ°ΠΊΠΎΠ²Π°Ρ ΡΠΈΡΠΊΠ° Π½Π° Π΄Π΅ΡΠ½Π΅ Π½Π°Π΄ Π·ΡΠ±ΠΎΠΌ Π½Π΅ Π±ΠΎΠ»ΠΈΡ, ΠΈΠ·-Π·Π° ΡΠ΅Π³ΠΎ ΠΏΠ°ΡΠΈΠ΅Π½ΡΡ ΠΌΠΎΠ³ΡΡ Π½Π΅ ΠΎΡΠΎΠ·Π½Π°Π²Π°ΡΡ ΡΠ΅ΡΡΠ΅Π·Π½ΠΎΡΡΡ Π·Π°Π±ΠΎΠ»Π΅Π²Π°Π½ΠΈΡ ΠΈΠ»ΠΈ Π²ΠΎΠ²ΡΠ΅ Π΅Π³ΠΎ Π½Π΅ Π·Π°ΠΌΠ΅ΡΠ°ΡΡ. Π‘ΠΎ Π²ΡΠ΅ΠΌΠ΅Π½Π΅ΠΌ ΠΏΠΎΡΠ²Π»ΡΠ΅ΡΡΡ Π±ΠΎΠ»Ρ, ΠΊΠΎΡΠΎΡΠ°Ρ ΡΠ°ΡΠΏΡΠΎΡΡΡΠ°Π½ΡΠ΅ΡΡΡ Π½Π° ΡΠ·ΡΠΊ, ΡΠ΅Π»ΡΡΡΠ½ΡΠ΅ ΡΠΊΠ°Π½ΠΈ, ΡΠ΅ΠΊΠΈ, Π»ΡΠ±ΡΠ΅ ΡΡΠ°ΡΡΠΊΠΈ Π³ΠΎΠ»ΠΎΠ²Ρ. ΠΠΎΠ³ΡΡ ΠΏΠΎΡΠ²Π»ΡΡΡΡΡ Π½ΠΎΠ²ΡΠ΅ ΡΠΈΡΠ΅ΡΠΊΠΈ β ΡΠ°Π·ΡΠ°ΡΡΠ°Π½ΠΈΡ ΡΠ΅Ρ , ΡΡΠΎ ΠΈΠΌΠ΅Π»ΠΈΡΡ ΡΠ°Π½Π΅Π΅. Π’ΠΊΠ°Π½ΠΈ Π² ΡΠΎΠΉ ΠΎΠ±Π»Π°ΡΡΠΈ, Π³Π΄Π΅ ΠΎΠ±ΡΠ°Π·ΠΎΠ²Π°Π»Π°ΡΡ ΠΎΠΏΡΡ ΠΎΠ»Ρ, Π½Π°ΡΠΈΠ½Π°ΡΡ ΡΠ°Π·ΡΡΡΠ°ΡΡΡΡ.
Π¨ΠΈΡΠΊΠΈ Π½Π° Π΄Π΅ΡΠ½Π΅ ΠΎΠΊΠΎΠ»ΠΎ Π·ΡΠ±Π° ΠΌΠΎΠ³ΡΡ ΠΈΠΌΠ΅ΡΡ ΡΠ°ΠΌΠΎΠ΅ ΡΠ°Π·Π½ΠΎΠ΅ ΠΏΡΠΎΠΈΡΡ ΠΎΠΆΠ΄Π΅Π½ΠΈΠ΅, ΠΏΠΎΡΡΠΎΠΌΡ ΠΎΠΏΡΠ΅Π΄Π΅Π»ΠΈΡΡ, ΠΏΠΎΡΠ΅ΠΌΡ ΠΏΠΎΡΠ²ΠΈΠ»ΠΎΡΡ ΡΡΠΎ ΡΠΏΠ»ΠΎΡΠ½Π΅Π½ΠΈΠ΅ Π½Π° Π΄ΠΎΠΌΡ, ΠΏΡΠ°ΠΊΡΠΈΡΠ΅ΡΠΊΠΈ Π½Π΅Π²ΠΎΠ·ΠΌΠΎΠΆΠ½ΠΎ. Π ΡΡΠΎΠΌΠ°ΡΠΎΠ»ΠΎΠ³ΠΈΡΡ Π½Π΅ ΡΠΎΠ»ΡΠΊΠΎ ΠΎΡΠΌΠ°ΡΡΠΈΠ²Π°ΡΡ ΠΎΠ±ΡΠ°Π·ΠΎΠ²Π°Π½ΠΈΠ΅, Π½ΠΎ ΠΈ ΠΎΡΠ΅Π½ΠΈΠ²Π°ΡΡ Π΅Π³ΠΎ ΠΊΠΎΠ½ΡΠΈΡΡΠ΅Π½ΡΠΈΡ ΠΏΡΠΈ Π½Π°Π΄Π°Π²Π»ΠΈΠ²Π°Π½ΠΈΠΈ, ΠΊΡΠΎΠ²ΠΎΡΠΎΡΠΈΠ²ΠΎΡΡΡ ΠΏΡΠΈ Π½Π°ΠΆΠ°ΡΠΈΠΈ, ΠΏΠΎΠ΄Π²ΠΈΠΆΠ½ΠΎΡΡΡ Π·ΡΠ±ΠΎΠ².
ΠΠ΅ΠΎΠ±Ρ ΠΎΠ΄ΠΈΠΌΠΎ Π½Π°Π·Π½Π°ΡΠ΅Π½ΠΈΠ΅ Π΄ΠΎΠΏΠΎΠ»Π½ΠΈΡΠ΅Π»ΡΠ½ΡΡ ΠΎΠ±ΡΠ»Π΅Π΄ΠΎΠ²Π°Π½ΠΈΠΉ, ΠΈΠ· ΠΊΠΎΡΠΎΡΡΡ ΠΎΡΠ΅Π½Ρ ΠΈΠ½ΡΠΎΡΠΌΠ°ΡΠΈΠ²Π½Ρ ΡΠ΅Π½ΡΠ³Π΅Π½ ΠΈ ΠΠ’. ΠΡΠ»ΠΈ Π΄ΠΈΠ°Π³Π½ΠΎΡΡΠΈΡΡΠ΅ΡΡΡ Π²ΠΎΡΠΏΠ°Π»ΠΈΡΠ΅Π»ΡΠ½ΡΠΉ ΠΏΡΠΎΡΠ΅ΡΡ, Π½ΡΠΆΠ½ΠΎ Π΄ΠΎΠ±ΠΈΡΡΡΡ ΠΏΠΎΠ»Π½ΠΎΠ³ΠΎ ΠΎΠ±Π΅Π·Π·Π°ΡΠ°ΠΆΠΈΠ²Π°Π½ΠΈΡ ΠΏΠΎΠ»ΠΎΡΡΠΈ ΡΡΠ° ΠΈ ΡΠ½ΡΡΠΈΡ Π²ΠΎΡΠΏΠ°Π»Π΅Π½ΠΈΡ. ΠΡΠΈ ΠΊΠΎΡΡΠ½ΡΡ Π°Π½ΠΎΠΌΠ°Π»ΠΈΡΡ , Π½ΠΎΠ²ΠΎΠΎΠ±ΡΠ°Π·ΠΎΠ²Π°Π½ΠΈΡΡ Π² ΠΌΡΠ³ΠΊΠΈΡ ΡΠΊΠ°Π½ΡΡ ΡΠ»Π΅Π΄ΡΠ΅Ρ ΠΏΡΠΎΠ²ΠΎΠ΄ΠΈΡΡ ΠΎΡΠ΅Π½Ρ ΡΡΠ°ΡΠ΅Π»ΡΠ½ΠΎΠ΅ Π»Π΅ΡΠ΅Π½ΠΈΠ΅, ΠΊΠΎΡΠΎΡΠΎΠ΅ Π½Π΅Π΄ΠΎΡΡΡΠΏΠ½ΠΎ Π² Π΄ΠΎΠΌΠ°ΡΠ½ΠΈΡ ΡΡΠ»ΠΎΠ²ΠΈΡΡ .
stomaget.ru
ΠΠ° Π΄Π΅ΡΠ½Π΅ ΠΏΠΎΡΠ²ΠΈΠ»Π°ΡΡ ΡΠΈΡΠΊΠ° Ρ Π³Π½ΠΎΠ΅ΠΌ: Π² ΡΠ΅ΠΌ ΠΏΡΠΈΡΠΈΠ½Π°
ΠΠΎΠΊΠ° Π½Π΅Ρ Π³ΠΎΠ»ΠΎΡΠΎΠ²
Please wait…

Π ΠΎΡΠ½ΠΎΠ²Π΅ ΠΏΠΎΡΠ²Π»Π΅Π½ΠΈΡ ΡΠΈΡΠΊΠΈ Ρ Π³Π½ΠΎΠ΅ΠΌ Π² ΠΎΠ±Π»Π°ΡΡΠΈ Π΄Π΅ΡΠ½Ρ Π»Π΅ΠΆΠΈΡ ΡΠ°Π·Π²ΠΈΡΠΈΠ΅ Ρ ΡΠΎΠ½ΠΈΡΠ΅ΡΠΊΠΎΠ³ΠΎ Π³ΡΠ°Π½ΡΠ»ΠΈΡΡΡΡΠ΅Π³ΠΎ ΠΏΠ΅ΡΠΈΠΎΠ΄ΠΎΠ½ΡΠΈΡΠ°.
ΠΡΠΈ Π΄Π»ΠΈΡΠ΅Π»ΡΠ½ΠΎΠΌ ΠΎΡΡΡΡΡΡΠ²ΠΈΠΈ ΠΏΠΎΡΠ΅ΡΠ΅Π½ΠΈΡ Π²ΡΠ°ΡΠ° ΡΡΠΎΠΌΠ°ΡΠΎΠ»ΠΎΠ³Π° ΠΈΠ»ΠΈ Π² ΡΡΠ΄Π΅ ΡΠ»ΡΡΠ°Π΅Π² ΠΏΠΎΡΠ»Π΅ Π»Π΅ΡΠ΅Π½ΠΈΡ Ρ ΡΠΏΠ΅ΡΠΈΠ°Π»ΠΈΡΡΠ° Π²ΠΎΠ·Π½ΠΈΠΊΠ°Π΅Ρ Π½Π΅Π±ΠΎΠ»ΡΡΠΎΠ΅ ΠΎΡΠ»ΠΎΠΆΠ½Π΅Π½ΠΈΠ΅. ΠΠΎΠ³Π΄Π° Π½Π° Π΄Π΅ΡΠ½Π΅ ΠΏΠΎΡΠ²ΠΈΠ»Π°ΡΡ ΡΠΈΡΠΊΠ° Ρ Π³Π½ΠΎΠ΅ΠΌ Π²Π°ΠΆΠ½ΠΎ ΡΡΠ°Π·Ρ ΠΆΠ΅ ΠΎΠ±ΡΠ°ΡΠΈΡΡΡΡ ΠΊ Π²ΡΠ°ΡΡ Ρ ΡΠ΅Π»ΡΡ Π»Π΅ΡΠ΅Π½ΠΈΡ ΠΈ ΠΏΡΠΎΡΠΈΠ»Π°ΠΊΡΠΈΠΊΠΈ.
ΠΡΠ·ΡΠ²Π°ΡΡ ΠΏΠ°ΡΠΎΠ»ΠΎΠ³ΠΈΡ ΠΌΠΎΠ³ΡΡ ΡΠ°Π·Π»ΠΈΡΠ½ΡΠ΅ ΠΏΡΠΈΡΠΈΠ½Ρ, Π² ΠΎΡΠ½ΠΎΠ²Π½ΠΎΠΌ ΡΠ²ΡΠ·Π°Π½Π½ΡΠ΅ Ρ Π½Π΅ΠΏΠΎΠ»Π½ΠΎΡΠ΅Π½Π½ΡΠΌ ΠΏΡΠΎΠ²Π΅Π΄Π΅Π½ΠΈΠ΅ΠΌ ΡΡΠΎΠΌΠ°ΡΠΎΠ»ΠΎΠ³ΠΈΡΠ΅ΡΠΊΠΎΠ³ΠΎ Π²ΠΌΠ΅ΡΠ°ΡΠ΅Π»ΡΡΡΠ²Π°. ΠΡΠΈ ΠΎΡΡΡΡΡΡΠ²ΠΈΠΈ Π²Π½ΠΈΠΌΠ°Π½ΠΈΡ ΠΊ ΡΠΈΠΌΠΏΡΠΎΠΌΠ°ΡΠΈΠΊΠ΅, Π²ΠΎΠ·Π½ΠΈΠΊΠ°ΡΡΠ΅ΠΉ ΠΏΡΠΈ ΡΠΈΡΠΊΠ΅ Π½Π° Π΄Π΅ΡΠ½Π΅, ΠΏΡΠΎΡΠ΅ΡΡ ΠΌΠΎΠΆΠ΅Ρ ΠΏΡΠΎΠ³ΡΠ΅ΡΡΠΈΡΠΎΠ²Π°ΡΡ ΠΈ Π²ΡΠ·ΡΠ²Π°ΡΡ ΡΠ΅ΡΡΠ΅Π·Π½ΡΠ΅ Π²ΠΎΡΠΏΠ°Π»ΠΈΡΠ΅Π»ΡΠ½ΡΠ΅ ΠΏΡΠΎΡΠ΅ΡΡΡ Π² ΡΠ΅Π»ΡΡΡΠ½ΠΎ-Π»ΠΈΡΠ΅Π²ΠΎΠΉ ΠΎΠ±Π»Π°ΡΡΠΈ.
ΠΡΠΈΡΠΈΠ½Ρ ΠΏΠ°ΡΠΎΠ»ΠΎΠ³ΠΈΠΈ
ΠΠ° Π΄Π΅ΡΠ½Π΅ Π³Π½ΠΎΠΉΠ½Π°Ρ ΡΠΈΡΠΊΠ° ΠΏΠΎ ΡΠ°ΡΠΏΠΎΠ»ΠΎΠΆΠ΅Π½ΠΈΡ ΡΠΎΠΎΡΠ²Π΅ΡΡΡΠ²ΡΠ΅Ρ ΠΊΠΎΠ½ΡΡ ΡΠ²ΠΈΡΠ΅Π²ΠΎΠ³ΠΎ Ρ ΠΎΠ΄Π°, Π»Π΅ΠΆΠ°ΡΠ΅Π³ΠΎ ΠΌΠ΅ΠΆΠ΄Ρ ΠΊΠΎΡΠ½Π΅ΠΌ Π·ΡΠ±Π° ΠΈ ΡΠΊΠ°Π½ΡΡ ΡΠ»ΠΈΠ·ΠΈΡΡΠΎΠΉ. Π ΠΎΡΠ½ΠΎΠ²Π½ΠΎΠΌ ΠΊΠ»ΠΈΠ½ΠΈΡΠ΅ΡΠΊΠΈ Π³Π½ΠΎΠΉΠ½ΠΎΠ΅ ΠΎΠ±ΡΠ°Π·ΠΎΠ²Π°Π½ΠΈΠ΅ Π΄Π΅ΡΠ½Ρ ΡΠΎΠΎΡΠ²Π΅ΡΡΡΠ²ΡΠ΅Ρ ΡΠ΅ΡΠ΅Π½ΠΈΡ Ρ ΡΠΎΠ½ΠΈΡΠ΅ΡΠΊΠΎΠ³ΠΎ Π³ΡΠ°Π½ΡΠ»ΠΈΡΡΡΡΠ΅Π³ΠΎ ΠΏΠ΅ΡΠΈΠΎΠ΄ΠΎΠ½ΡΠΈΡΠ°.
ΠΠΎΠ·Π½ΠΈΠΊΠ½ΠΎΠ²Π΅Π½ΠΈΠ΅ Π·Π°Π±ΠΎΠ»Π΅Π²Π°Π½ΠΈΡ ΠΈ Π΅Π³ΠΎ ΡΠ΅ΡΠ΅Π½ΠΈΠ΅ Π·Π°Π²ΠΈΡΠΈΡ ΠΎΡ ΡΠΎΠΎΡΠ½ΠΎΡΠ΅Π½ΠΈΡ Π΄Π΅ΠΉΡΡΠ²ΠΈΠΉ ΠΏΠ°ΡΠΎΠ³Π΅Π½Π½ΡΡ ΡΠ°ΠΊΡΠΎΡΠΎΠ² ΠΈ ΠΎΠ±ΡΠ΅Π³ΠΎ ΡΠΎΡΡΠΎΡΠ½ΠΈΡ ΠΎΡΠ³Π°Π½ΠΈΠ·ΠΌΠ°.
ΠΡΠΎΠ²ΠΎΡΠΈΡΡΠ΅ΡΡΡ Π·Π°Π±ΠΎΠ»Π΅Π²Π°Π½ΠΈΠ΅ Π² ΡΠ΅Π·ΡΠ»ΡΡΠ°ΡΠ΅ Π΄Π΅ΠΉΡΡΠ²ΠΈΡ:
- ΡΡΠ°Π²ΠΌΡ;
- ΠΈΠ½ΡΠ΅ΠΊΡΠΈΠΈ;
- ΠΌΠ΅Π΄ΠΈΠΊΠ°ΠΌΠ΅Π½ΡΠΎΠ².
ΠΠ½ΡΠ΅ΠΊΡΠΈΡ ΠΌΠΎΠΆΠ΅Ρ ΠΏΠΎΡΡΡΠΏΠΈΡΡ ΠΊΠ°ΠΊ ΠΈΠ· ΠΌΠ΅ΡΡΠ½ΡΡ ΠΈΡΡΠΎΡΠ½ΠΈΠΊΠΎΠ² (ΡΠ²Π΅ΡΠ΄ΡΠ΅ ΠΈ ΠΌΡΠ³ΠΊΠΈΠ΅ ΡΠΊΠ°Π½ΠΈ ΠΏΠΎΠ»ΠΎΡΡΠΈ ΡΡΠ°), ΡΠ°ΠΊ ΠΈ ΠΈΠ· Π΄ΡΡΠ³ΠΈΡ ΡΠΈΡΡΠ΅ΠΌ ΠΎΡΠ³Π°Π½ΠΈΠ·ΠΌΠ°, ΡΠ΅ΡΠ΅Π· ΠΊΡΠΎΠ²Π΅Π½ΠΎΡΠ½ΡΡ ΠΈ Π»ΠΈΠΌΡΠ°ΡΠΈΡΠ΅ΡΠΊΡΡ ΡΠΈΡΡΠ΅ΠΌΡ. ΠΠΏΠΎΡΡΠ΅Π΄ΠΎΠ²Π°Π½Π½ΠΎΠ΅ Π²Π»ΠΈΡΠ½ΠΈΠ΅ Π½Π° Π³Π΅Π½Π΅Π· Π·Π°Π±ΠΎΠ»Π΅Π²Π°Π½ΠΈΡ ΠΎΠΊΠ°Π·ΡΠ²Π°ΡΡ: Π°Π²ΠΈΡΠ°ΠΌΠΈΠ½ΠΎΠ·, ΡΡΡΠ΅ΡΡ, Π½Π°ΡΡΡΠ΅Π½ΠΈΠ΅ ΠΎΠ±ΠΌΠ΅Π½Π° Π²Π΅ΡΠ΅ΡΡΠ² ΠΈ Π΄ΡΡΠ³ΠΈΠ΅ ΡΠ°ΠΊΡΠΎΡΡ.
Π’ΡΠ°Π²ΠΌΠ°
Π’ΡΠ°Π²ΠΌΠ°ΡΠΈΡΠ΅ΡΠΊΠΈΠ΅ ΠΏΠΎΡΠ°ΠΆΠ΅Π½ΠΈΡ Π² ΡΠ΅Π»ΡΡΡΠ½ΠΎ-Π»ΠΈΡΠ΅Π²ΠΎΠΉ ΠΎΠ±Π»Π°ΡΡΠΈ ΡΡΠ»ΠΎΠ²Π½ΠΎ ΠΌΠΎΠΆΠ½ΠΎ ΡΠ°Π·Π΄Π΅Π»ΠΈΡΡ Π½Π° 2 Π³ΡΡΠΏΠΏΡ:
- ΠΎΡΡΡΡΠ΅;
- Ρ ΡΠΎΠ½ΠΈΡΠ΅ΡΠΊΠΈΠ΅.
ΠΡΠΈ ΠΎΡΡΡΠΎΠΉ ΡΡΠ°Π²ΠΌΠ΅ Π·ΡΠ±Π°, Π²ΠΎΠ·Π½ΠΈΠΊΠ°ΡΡΠ΅ΠΉ ΠΏΡΠΈ ΡΡΠΈΠ±Π°Ρ , ΠΏΠ°Π΄Π΅Π½ΠΈΡΡ , ΡΠ΄Π°ΡΠ°Ρ , ΠΏΡΠΎΠΈΡΡ ΠΎΠ΄ΠΈΡ ΠΏΠΎΠ²ΡΡΠ΅Π½ΠΈΠ΅ Π΄Π°Π²Π»Π΅Π½ΠΈΡ Π² ΠΏΡΠ»ΡΠΏΠΎΠ²ΠΎΠΉ ΠΊΠ°ΠΌΠ΅ΡΠ΅ Π½Π° ΡΠΎΡΡΠ΄ΠΈΡΡΠΎ-Π½Π΅ΡΠ²Π½ΡΠΉ ΠΏΡΡΠΎΠΊ. ΠΡΠΎ ΠΏΡΠΈΠ²ΠΎΠ΄ΠΈΡ ΠΊ ΠΏΠΎΡΡΠ΅ΠΏΠ΅Π½Π½ΠΎΠΌΡ ΠΎΡΠΌΠΈΡΠ°Π½ΠΈΡ ΠΏΡΠ»ΡΠΏΡ ΠΈ ΡΠ°Π·Π²ΠΈΡΠΈΡ Ρ ΡΠΎΠ½ΠΈΡΠ΅ΡΠΊΠΎΠ³ΠΎ ΡΠΈΠ±ΡΠΎΠ·Π½ΠΎΠ³ΠΎ ΠΏΠ΅ΡΠΈΠΎΠ΄ΠΎΠ½ΡΠΈΡΠ°. Π§Π°ΡΡΡΠ΅ ΠΈΠ½ΡΠ΅ΠΊΡΠΈΠΈ Ρ Π±ΠΎΠ»ΡΠ½ΠΎΠ³ΠΎ, ΠΎΡΠ»Π°Π±Π»ΡΡΡΠΈΠ΅ ΠΈΠΌΠΌΡΠ½Π½ΡΡ ΡΠΈΡΡΠ΅ΠΌΡ, ΠΎΠ±ΠΎΡΡΡΠ΅Π½ΠΈΠ΅ Π·Π°Π±ΠΎΠ»Π΅Π²Π°Π½ΠΈΠΉ ΡΠΊΠ°Π½Π΅ΠΉ ΠΈ ΠΎΡΠ³Π°Π½ΠΎΠ² ΠΏΡΠΈΠ²ΠΎΠ΄ΠΈΡ ΠΊ ΠΏΡΠΈΡΠΎΠ΅Π΄ΠΈΠ½Π΅Π½ΠΈΡ ΠΈΠ½ΡΠ΅ΠΊΡΠΈΠΈ Π² ΠΏΡΠΎΡΠ΅ΡΡ Π²ΠΎΡΠΏΠ°Π»Π΅Π½ΠΈΡ.
Π ΠΈΡΠΎΠ³Π΅ ΠΎΡΠ³Π°Π½ΠΈΠ·ΠΌ, ΠΏΡΡΠ°ΡΡΡ ΠΎΠ³ΡΠ°Π½ΠΈΡΠΈΡΡ ΠΎΡΠ°Π³ Π½Π°ΡΠΈΠ½Π°Π΅Ρ ΡΠΎΡΠΌΠΈΡΠΎΠ²Π°ΡΡ Π³ΡΠ°Π½ΡΠ»Π΅ΠΌΡ Π² ΠΎΠ±Π»Π°ΡΡΠΈ Π°ΠΏΠ΅ΠΊΡΠ° ΠΊΠΎΡΠ½Ρ. ΠΠ°Π»ΡΠ½Π΅ΠΉΡΠ΅Π΅ Π²ΠΎΠ·Π΄Π΅ΠΉΡΡΠ²ΠΈΠ΅ ΠΏΠ°ΡΠΎΠ³Π΅Π½Π½ΡΡ ΡΠ°ΠΊΡΠΎΡΠΎΠ² ΡΡΠΈΠ»ΠΈΠ²Π°Π΅Ρ ΡΠ°Π·Π²ΠΈΡΠΈΠ΅ Π³Π½ΠΎΠΉΠ½ΡΡ ΠΏΡΠΎΡΠ΅ΡΡΠΎΠ² Π² ΠΊΠ°ΠΏΡΡΠ»Π΅. ΠΡΠΎ ΡΠΏΠΎΡΠΎΠ±ΡΡΠ²ΡΠ΅Ρ ΡΠ°Π·ΡΡΠ²Ρ ΠΎΠ±ΠΎΠ»ΠΎΡΠΊΠΈ ΠΈ Π²ΡΡ ΠΎΠ΄Ρ ΠΈΠ½ΡΠ΅ΠΊΡΠΈΠΈ Π² ΠΏΠΎΠ΄Π»Π΅ΠΆΠ°ΡΡΡ ΠΊΠΎΡΡΡΡ.
Π₯ΡΠΎΠ½ΠΈΡΠ΅ΡΠΊΠΈΠΉ Π³ΡΠ°Π½ΡΠ»ΠΈΡΡΡΡΠΈΠΉ ΠΏΠ΅ΡΠΈΠΎΠ΄ΠΎΠ½ΡΠΈΡ ΠΏΡΠΎΠ΄ΠΎΠ»ΠΆΠ°Π΅Ρ ΡΠ²ΠΎΠ΅ ΡΠ°Π·Π²ΠΈΡΠΈΠ΅, ΡΠΎΡΠΌΠΈΡΡΡ ΡΠ²ΠΈΡΠ΅Π²ΠΎΠΉ Ρ ΠΎΠ΄, ΡΠ΅ΡΠ΅Π· ΠΊΠΎΡΠΎΡΡΠΉ ΠΏΡΠΎΠΈΡΡ ΠΎΠ΄ΠΈΡ Π² Π΄Π°Π»ΡΠ½Π΅ΠΉΡΠ΅ΠΌ ΠΎΡΡΠΎΠΊ Π³Π½ΠΎΡ. Π ΡΠ°ΡΠ΅ Π²ΡΠ΅Π³ΠΎ ΡΠ°ΠΊΠΈΠ΅ ΡΠΈΡΡΡΠ»Ρ ΠΎΡΠΊΡΡΠ²Π°ΡΡΡΡ Π½Π° Π΄Π΅ΡΠ½Π΅.
Π₯ΡΠΎΠ½ΠΈΡΠ΅ΡΠΊΠ°Ρ ΡΡΠ°Π²ΠΌΠ° ΠΏΡΠΎΠ²ΠΎΡΠΈΡΡΠ΅ΡΡΡ ΡΡΠΎΡΠΌΠΈΡΠΎΠ²Π°Π½Π½ΠΎΠΉ ΠΏΠ°ΡΠΎΠ»ΠΎΠ³ΠΈΠ΅ΠΉ ΠΎΠΊΠΊΠ»ΡΠ·ΠΈΠΈ:
- Π½Π΅ΡΠ°ΡΠΈΠΎΠ½Π°Π»ΡΠ½ΠΎ ΠΏΡΠΎΠ²Π΅Π΄Π΅Π½Π½ΠΎΠ΅ ΡΠ΅ΡΠ°ΠΏΠ΅Π²ΡΠΈΡΠ΅ΡΠΊΠΎΠ΅ Π»Π΅ΡΠ΅Π½ΠΈΠ΅: Π·Π°Π²ΡΡΠ΅Π½ΠΈΠ΅ ΠΏΠ»ΠΎΠΌΠ±, Π½Π°Π»ΠΎΠΆΠ΅Π½ΠΈΠ΅ ΠΌΠ°ΡΠ΅ΡΠΈΠ°Π»Π° Π½Π° Π΄Π΅ΡΠ½Ρ;
- ΠΎΡΠΈΠ±ΠΊΠΈ ΠΏΡΠΈ ΠΎΡΡΠΎΠΏΠ΅Π΄ΠΈΡΠ΅ΡΠΊΠΎΠΌ Π²ΠΌΠ΅ΡΠ°ΡΠ΅Π»ΡΡΡΠ²Π΅.
ΠΠ°Π»ΠΎΠΆΠ΅Π½Π½ΡΠ΅ ΠΏΠ»ΠΎΠΌΠ±Ρ ΠΈ ΠΎΡΡΠΎΠΏΠ΅Π΄ΠΈΡΠ΅ΡΠΊΠΈΠ΅ ΡΡΡΡΠΎΠΉΡΡΠ²Π° Π²ΡΠ·ΡΠ²Π°ΡΡ Π΄ΠΈΡΠΊΠΎΠΌΡΠΎΡΡ ΠΏΡΠΈ ΠΈΡΠΏΠΎΠ»ΡΠ·ΠΎΠ²Π°Π½ΠΈΠΈ. Π ΡΠ΅Π·ΡΠ»ΡΡΠ°ΡΠ΅ Π·ΡΠ±Ρ Π°Π½ΡΠ°Π³ΠΎΠ½ΠΈΡΡΡ ΠΏΠ΅ΡΠ΅Π³ΡΡΠΆΠ°ΡΡΡΡ.
ΠΠΎΠ΄ Π΄Π°Π²Π»Π΅Π½ΠΈΠ΅ΠΌ ΠΏΡΠΎΠΈΡΡ ΠΎΠ΄ΠΈΡ ΠΏΠΎΡΡΠ΅ΠΏΠ΅Π½Π½ΠΎΠ΅ ΠΎΡΠΌΠΈΡΠ°Π½ΠΈΠ΅ ΡΠΎΡΡΠ΄ΠΈΡΡΠΎ-Π½Π΅ΡΠ²Π½ΠΎΠ³ΠΎ ΠΏΡΡΠΊΠ° ΠΈ ΡΠ°Π·Π²ΠΈΡΠΈΠ΅ Ρ ΡΠΎΠ½ΠΈΡΠ΅ΡΠΊΠΈΡ ΡΠΎΡΠΌ ΠΏΠ΅ΡΠΈΠΎΠ΄ΠΎΠ½ΡΠΈΡΠ°, ΠΊΠΎΡΠΎΡΡΠ΅ ΠΏΡΠΈ ΠΌΠ°ΡΡΠΈΠ²Π½ΠΎΠΌ ΠΏΡΠΈΡΠΎΠ΅Π΄ΠΈΠ½Π΅Π½ΠΈΠΈ ΠΈΠ½ΡΠ΅ΠΊΡΠΈΠΈ ΠΈ ΡΠ½ΠΈΠΆΠ΅Π½ΠΈΠΈ ΠΈΠΌΠΌΡΠ½ΠΈΡΠ΅ΡΠ° ΠΎΠΏΡΡΡ-ΡΠ°ΠΊΠΈ ΡΠΎΡΠΌΠΈΡΡΡΡΡΡ Π² Ρ ΡΠΎΠ½ΠΈΡΠ΅ΡΠΊΠΈΠΉ Π³ΡΠ°Π½ΡΠ»ΠΈΡΡΡΡΠΈΠΉ ΠΏΠ΅ΡΠΈΠΎΠ΄ΠΎΠ½ΡΠΈΡ.

ΠΠ° ΡΠΎΡΠΎ Π²ΠΈΠ΄Π½ΠΎ, ΠΊΠ°ΠΊ Π½Π°Π»ΠΈΡΠΈΠ΅ Π·Π°Π·ΠΎΡΠ° Π² ΠΎΡΡΠΎΠΏΠ΅Π΄ΠΈΡΠ΅ΡΠΊΠΎΠΉ ΠΊΠΎΠ½ΡΡΡΡΠΊΡΠΈΠΈ ΠΌΠΎΠΆΠ΅Ρ ΠΏΡΠΎΠ²ΠΎΡΠΈΡΠΎΠ²Π°ΡΡ ΡΠ°Π·Π²ΠΈΡΠΈΠ΅ Π³Π½ΠΎΠΉΠ½ΠΎΠ³ΠΎ ΠΏΡΠΎΡΠ΅ΡΡΠ° Π΄Π΅ΡΠ½Ρ.
ΠΠ½ΡΠ΅ΠΊΡΠΈΡ
ΠΠΎ Π² Π±ΠΎΠ»ΡΡΠΈΠ½ΡΡΠ²Π΅ ΡΠ»ΡΡΠ°Π΅Π² Π³Π½ΠΎΠΉΠ½ΡΠ΅ ΡΠΈΡΠΊΠΈ Π½Π° Π΄Π΅ΡΠ½Π°Ρ ΡΠΎΡΠΌΠΈΡΡΡΡΡΡ ΠΏΠΎΠ΄ Π²ΠΎΠ·Π΄Π΅ΠΉΡΡΠ²ΠΈΠ΅ΠΌ ΠΈΠ½ΡΠ΅ΠΊΡΠΈΠΈ. Π ΠΏΠΎΠ»ΠΎΡΡΠΈ ΡΡΠ° Π² Π½ΠΎΡΠΌΠ΅ ΠΏΡΠΈΡΡΡΡΡΠ²ΡΠ΅Ρ ΡΡΠ»ΠΎΠ²Π½ΠΎ-ΠΏΠ°ΡΠΎΠ³Π΅Π½Π½Π°Ρ ΠΌΠΈΠΊΡΠΎΡΠ»ΠΎΡΠ° (ΡΡΠ°ΡΠΈΠ»ΠΎΠΊΠΎΠΊΠΊΠΈ, ΡΡΡΠ΅ΠΏΡΠΎΠΊΠΎΠΊΠΊΠΈ, Π²Π΅ΠΉΠ»ΠΎΠ½Π΅Π»Π»Ρ ΠΈ Π΄ΡΡΠ³ΠΈΠ΅), ΠΊΠΎΡΠΎΡΠ°Ρ ΠΌΠΎΠΆΠ΅Ρ ΡΡΠ°Π½ΡΡΠΎΡΠΌΠΈΡΠΎΠ²Π°ΡΡΡΡ Π² ΠΏΠ°ΡΠΎΠ³Π΅Π½Π½ΡΡ ΠΏΡΠΈ ΡΠ½ΠΈΠΆΠ΅Π½ΠΈΠΈ ΠΈΠΌΠΌΡΠ½ΠΈΡΠ΅ΡΠ° ΠΈ ΠΏΡΠΈΡΠΎΠ΅Π΄ΠΈΠ½Π΅Π½ΠΈΠΈ Π΄ΡΡΠ³ΠΈΡ ΠΈΠ½ΡΠ΅ΠΊΡΠΈΠΉ.
ΠΡΠΎΠ½ΠΈΠΊΠ½ΡΡΡ ΠΌΠΎΠ³ΡΡ ΠΌΠΈΠΊΡΠΎΠ±Ρ ΡΠ΅ΡΠ΅Π· ΠΊΠΎΡΠΎΠ½ΠΊΡ Π·ΡΠ±Π°, ΠΏΠ°ΡΠΎΠ΄ΠΎΠ½ΡΠ°Π»ΡΠ½ΡΠ΅ ΠΊΠ°ΡΠΌΠ°Π½Ρ ΠΈΠ»ΠΈ Ρ ΡΠΎΠΊΠΎΠΌ ΠΊΡΠΎΠ²ΠΈ ΠΈ Π»ΠΈΠΌΡΡ:
| ΠΡΡΠΈ ΠΏΡΠΎΠ½ΠΈΠΊΠ½ΠΎΠ²Π΅Π½ΠΈΡ ΠΌΠΈΠΊΡΠΎΡΠ»ΠΎΡΡ | ΠΡΠ½ΠΎΠ²Π½ΡΠ΅ ΡΠ°Π·Π½ΠΎΠ²ΠΈΠ΄Π½ΠΎΡΡΠΈ ΠΈΡΡΠΎΡΠ½ΠΈΠΊΠΎΠ² ΠΈΠ½ΡΠ΅ΠΊΡΠΈΠΈ | ΠΠ»Π»ΡΡΡΡΠ°ΡΠΈΠΈ |
| Π§Π΅ΡΠ΅Π· ΠΊΠΎΡΠΎΠ½ΠΊΡ Π·ΡΠ±Π° | ΠΡΠΈ ΠΊΠ°ΡΠΈΠ΅ΡΠ΅, ΠΏΡΠ»ΡΠΏΠΈΡΠ΅, ΠΏΠ΅ΡΠΈΠΎΠ΄ΠΎΠ½ΡΠΈΡΠ΅ | ![]() ΠΡ ΡΡΠΎΠ²Π½Ρ ΡΠ°ΡΠΏΠΎΠ»ΠΎΠΆΠ΅Π½ΠΈΡ ΠΈΠ½ΡΠ΅ΠΊΡΠΈΠΎΠ½Π½ΠΎΠ³ΠΎ ΠΏΡΠΎΡΠ΅ΡΡΠ° Π·Π°Π²ΠΈΡΠΈΡ ΡΡΠ΅ΠΏΠ΅Π½Ρ ΡΠ°ΡΠΏΡΠΎΡΡΡΠ°Π½Π΅Π½ΠΈΡ Π·Π°Π±ΠΎΠ»Π΅Π²Π°Π½ΠΈΡ. |
| Π‘ΠΊΠ²ΠΎΠ·Ρ ΠΏΠ°ΡΠΎΠ΄ΠΎΠ½ΡΠ°Π»ΡΠ½ΡΠ΅ ΠΊΠ°ΡΠΌΠ°Π½Ρ | ΠΡΠΈ Π±ΠΎΠ»Π΅Π·Π½ΡΡ ΡΠΊΠ°Π½Π΅ΠΉ ΠΏΠ°ΡΠΎΠ΄ΠΎΠ½ΡΠ° (Π² ΠΎΡΠ½ΠΎΠ²Π½ΠΎΠΌ ΠΏΠ°ΡΠΎΠ΄ΠΎΠ½ΡΠΈΡ, ΠΏΠ°ΡΠΎΠ΄ΠΎΠ½ΡΠΎΠ·) | ![]() ΠΠΎΡΠΏΠ°Π»Π΅Π½ΠΈΠ΅ Π΄Π΅ΡΠ½Ρ Ρ Π½Π°ΡΡΡΠ΅Π½ΠΈΠ΅ΠΌ ΠΊΡΠ°Π΅Π²ΠΎΠ³ΠΎ ΠΏΡΠΈΠ»Π΅Π³Π°Π½ΠΈΡ Π² ΡΠΎΡΠ΅ΡΠ°Π½ΠΈΠΈ Ρ ΠΏΠ»ΠΎΡ ΠΎΠΉ Π³ΠΈΠ³ΠΈΠ΅Π½ΠΎΠΉ ΠΏΠΎΠ»ΠΎΡΡΠΈ ΡΡΠ° ΠΏΡΠΈΠ²ΠΎΠ΄ΠΈΡ ΠΊ Π±ΡΡΡΡΠΎΠΌΡ ΡΠ°ΡΠΏΡΠΎΡΡΡΠ°Π½Π΅Π½ΠΈΡ ΠΈΠ½ΡΠ΅ΠΊΡΠΈΠΈ Π²Π΄ΠΎΠ»Ρ ΠΊΠΎΡΠ½Ρ Π·ΡΠ±Π°. |
| Π‘ ΡΠΎΠΊΠΎΠΌ ΠΊΡΠΎΠ²ΠΈ ΠΈ Π»ΠΈΠΌΡΡ | ΠΡΠΈ ΡΠΈΡΡΠ΅ΠΌΠ½ΡΡ ΠΈΠ½ΡΠ΅ΠΊΡΠΈΠΎΠ½Π½ΡΡ Π·Π°Π±ΠΎΠ»Π΅Π²Π°Π½ΠΈΡΡ Π΄ΡΡΠ³ΠΈΡ ΠΎΡΠ³Π°Π½ΠΎΠ² ΠΈ ΡΠΈΡΡΠ΅ΠΌ ΠΎΡΠ³Π°Π½ΠΈΠ·ΠΌΠ° |
denta.help
ΠΠ½ΠΎΠΉΠ½Π°Ρ ΡΠΈΡΠΊΠ° Π½Π° Π΄Π΅ΡΠ½Π΅: ΠΏΡΠΈΡΠΈΠ½Ρ, ΡΠΈΠΌΠΏΡΠΎΠΌΡ, Π»Π΅ΡΠ΅Π½ΠΈΠ΅
ΠΠ±ΡΠ°Π·ΠΎΠ²Π°Π½ΠΈΠ΅ Π³Π½ΠΎΠΉΠ½ΠΎΠΉ ΠΌΠ°ΡΡΡ Π² Π²ΠΎΡΠΏΠ°Π»Π΅Π½Π½ΠΎΠΌ ΠΎΡΠ°Π³Π΅ ΠΏΡΠΎΡΠ΅ΡΡ Π΄ΠΎΡΡΠ°ΡΠΎΡΠ½ΠΎ Π΄Π»ΠΈΡΠ΅Π»ΡΠ½ΡΠΉ ΠΈ ΠΌΠΎΠΆΠ΅Ρ ΠΎΡΠ»ΠΈΡΠ°ΡΡΡΡ Π»Π°ΡΠ΅Π½ΡΠ½ΡΠΌ ΡΠ΅ΡΠ΅Π½ΠΈΠ΅ΠΌ. ΠΠ»ΠΈΡΠ΅Π»ΡΠ½ΠΎΠ΅ Π²ΡΠ΅ΠΌΡ ΠΏΠ°ΡΠΈΠ΅Π½Ρ Π½Π΅ ΠΈΡΠΏΡΡΡΠ²Π°Π΅Ρ Π½ΠΈΠΊΠ°ΠΊΠΎΠ³ΠΎ Π΄ΠΈΡΠΊΠΎΠΌΡΠΎΡΡΠ° ΠΏΠΎΠΊΠ° Π½Π° Π΄Π΅ΡΠ½Π΅ Π½Π΅ ΠΎΠ±ΡΠ°Π·ΠΎΠ²ΡΠ²Π°Π΅ΡΡΡ ΡΠΈΡΠΊΠ° Ρ ΠΏΡΠΈΠ·Π½Π°ΠΊΠ°ΠΌΠΈ ΡΠΊΡΡΡΠ΄Π°ΡΠ°. Π§Π°ΡΠ΅ Π²ΡΠ΅Π³ΠΎ ΠΎΠ±ΡΠ°Π·ΠΎΠ²Π°Π½ΠΈΠ΅ ΠΏΠΎΡΠ²Π»ΡΠ΅ΡΡΡ Π² Π½Π΅ΠΏΠΎΡΡΠ΅Π΄ΡΡΠ²Π΅Π½Π½ΠΎΠΉ Π±Π»ΠΈΠ·ΠΎΡΡΠΈ Ρ ΠΊΠ°ΡΠΈΠΎΠ·Π½ΡΠΌ Π·ΡΠ±ΠΎΠΌ, ΠΊΠΎΡΠΎΡΡΠΉ ΠΌΠΎΠΆΠ½ΠΎ ΠΏΠΎΡΠ΅ΡΡΡΡ, Π΅ΡΠ»ΠΈ Π²ΠΎΠ²ΡΠ΅ΠΌΡ Π½Π΅ ΠΏΠΎΡΠ΅ΡΠΈΡΡ ΡΠΏΠ΅ΡΠΈΠ°Π»ΠΈΡΡΠ°.
ΠΡΠΈΡΠΈΠ½Ρ
ΠΠ°Π³Π½ΠΎΠ΅Π½ΠΈΠ΅ — ΠΏΠ΅ΡΠΈΠΎΠ΄ΠΎΠ½ΡΠΈΡ ΠΌΠΎΠΆΠ΅Ρ ΠΏΠΎΡΠ²ΠΈΡΡΡΡ ΠΊΠ°ΠΊ Ρ Π΄Π΅ΡΠ΅ΠΉ, ΡΠ°ΠΊ ΠΈ Ρ Π²Π·ΡΠΎΡΠ»ΡΡ ΠΈ ΠΈΠΌΠ΅Π΅Ρ ΡΠ»Π΅Π΄ΡΡΡΠΈΠ΅ ΠΎΡΠ½ΠΎΠ²Π½ΡΠ΅ ΠΏΡΠΈΡΠΈΠ½Ρ:
-
ΠΠΎΡΠΏΠ°Π»Π΅Π½ΠΈΠ΅ Π² ΠΎΠ±Π»Π°ΡΡΠΈ Π°ΠΏΠΈΠΊΠ°Π»ΡΠ½ΠΎΠΉ ΡΠ°ΡΡΠΈ Π·ΡΠ±Π°.
-
ΠΠ°ΡΠΎΠ΄ΠΎΠ½ΡΠΈΡ.
-
ΠΠ°ΡΠΈΠ΅Ρ Π² Π·Π°ΠΏΡΡΠ΅Π½Π½ΠΎΠΌ Π²ΠΈΠ΄Π΅.
-
ΠΠ΅ΠΏΡΠ°Π²ΠΈΠ»ΡΠ½ΠΎ ΠΏΡΠΎΠ²Π΅Π΄Π΅Π½Π½ΠΎΠ΅ ΠΏΠ»ΠΎΠΌΠ±ΠΈΡΠΎΠ²Π°Π½ΠΈΠ΅ ΠΊΠ°Π½Π°Π»ΠΎΠ².
-
ΠΡΠ»ΡΠΏΠΈΡ.
ΠΠΎΡΠ²Π»Π΅Π½ΠΈΠ΅ Π³Π½ΠΎΠΉΠ½ΠΎΠ³ΠΎ ΡΠΊΡΡΡΠ΄Π°ΡΠ° Π²ΡΠ΅Π³Π΄Π° ΠΏΡΠΈΠ²ΠΎΠ΄ΠΈΡ ΠΊ Π±ΠΎΠ»Π΅Π·Π½Π΅Π½Π½ΡΠΌ ΠΎΡΡΡΠ΅Π½ΠΈΡΠΌ, ΠΎΡΠ΅ΠΊΠ°ΠΌ, ΠΏΠΎΠΊΡΠ°ΡΠ½Π΅Π½ΠΈΡΠΌ Π΄Π΅ΡΠ½Ρ.
Π‘ΠΈΠΌΠΏΡΠΎΠΌΡ
ΠΠ΅ΡΠ²ΠΎΠ½Π°ΡΠ°Π»ΡΠ½ΠΎ ΠΎΠ±ΡΠ°Π·ΠΎΠ²Π°Π½ΠΈΠ΅ ΡΠΈΡΠΊΠΈ Π½Π΅ ΠΈΠΌΠ΅Π΅Ρ Π½ΠΈΠΊΠ°ΠΊΠΈΡ ΠΏΡΠΈΠ·Π½Π°ΠΊΠΎΠ², ΡΠ°ΡΠ΅ Π²ΡΠ΅Π³ΠΎ ΠΏΠΎΡΠ°ΠΆΠ΅Π½ΠΈΠ΅ ΠΏΡΠΎΡΠ²Π»ΡΠ΅ΡΡΡ Π² Π²ΠΈΠ΄Π΅ Π±ΠΎΠ»ΠΈ Π² ΡΠ°ΠΌΠΎΠΌ Π·ΡΠ±Π΅ Ρ ΠΏΡΠ»ΡΠΏΠΈΡΠΎΠΌ.
ΠΡΠ½ΠΎΠ²Π½ΡΠ΅ ΡΠΈΠΌΠΏΡΠΎΠΌΡ:
-
ΡΠ²Π΅Π»ΠΈΡΠ΅Π½ΠΈΠ΅ ΡΡΠ²ΡΡΠ²ΠΈΡΠ΅Π»ΡΠ½ΠΎΡΡΠΈ Π½Π° Π³ΠΎΡΡΡΠ΅Π΅/Ρ ΠΎΠ»ΠΎΠ΄Π½ΠΎΠ΅;
-
Π΄Π΅ΡΠ½Π° ΠΌΠ΅ΡΡΠ°ΠΌΠΈ ΠΏΡΠΈΠΎΠ±ΡΠ΅ΡΠ°Π΅Ρ ΡΠΈΠ½ΠΈΠΉ ΠΎΡΡΠ΅Π½ΠΎΠΊ;
-
ΠΏΠΎΡΠ²Π»ΡΠ΅ΡΡΡ ΡΠΈΡΠΊΠ° Π½Π°ΠΏΠΎΠ»Π½Π΅Π½Π½Π°Ρ Π³Π½ΠΎΠ΅ΠΌ;
-
Π²ΡΡΠΎΠΊΠ°Ρ ΡΠ΅ΠΌΠΏΠ΅ΡΠ°ΡΡΡΠ° ΡΠ΅Π»Π°;
-
Π½Π΅ΠΏΡΠΈΡΡΠ½ΡΠΉ Π°ΡΠΎΠΌΠ°Ρ ΠΈΠ·ΠΎ ΡΡΠ°.
ΠΠ°ΠΆΠ½ΠΎ! ΠΠ΅Π»ΡΠ·Ρ ΡΠ°ΠΌΠΎΡΡΠΎΡΡΠ΅Π»ΡΠ½ΠΎ ΠΏΡΠΎΠ²ΠΎΠ΄ΠΈΡΡ Π»Π΅ΡΠ΅Π½ΠΈΠ΅ ΠΏΠΎΡΡΠ΅Π΄ΡΡΠ²ΠΎΠΌ ΠΏΡΠΎΠ³ΡΠ΅Π²Π°Π½ΠΈΡ Π²ΠΎΡΠΏΠ°Π»Π΅Π½Π½ΠΎΠΉ ΠΎΠ±Π»Π°ΡΡΠΈ ΠΈΠ»ΠΈ ΠΏΡΠΎΠΊΠ°Π»ΡΠ²Π°Π½ΠΈΡ Π½Π°Π·ΡΠ΅Π²ΡΠ΅Π³ΠΎ ΠΏΡΠ·ΡΡΡ. ΠΠ°ΠΊΡΠΈΠΌΡΠΌ ΡΡΠΎ ΠΌΠΎΠΆΠ½ΠΎ ΡΠ΄Π΅Π»Π°ΡΡ β ΡΡΠΎ ΠΏΠΎΠ»ΠΎΡΠΊΠ°ΡΡ ΡΠΎΡ Π°Π½ΡΠΈΡΠ΅ΠΏΡΠΈΡΠ΅ΡΠΊΠΈΠΌΠΈ ΡΠ°ΡΡΠ²ΠΎΡΠ°ΠΌΠΈ. ΠΡΠ΅ ΠΎΡΡΠ°Π»ΡΠ½ΡΠ΅ ΠΏΡΠΎΡΠ΅Π΄ΡΡΡ Π΄ΠΎΠ»ΠΆΠ΅Π½ Π½Π°Π·Π½Π°ΡΠ°ΡΡ ΠΊΠ²Π°Π»ΠΈΡΠΈΡΠΈΡΠΎΠ²Π°Π½Π½ΡΠΉ Π²ΡΠ°Ρ.
ΠΠ»Π°ΡΡΠΈΡΠΈΠΊΠ°ΡΠΈΡ
ΠΠ½ΠΎΠΉΠ½Π°Ρ ΡΠΈΡΠΊΠ° Π½Π° Π΄Π΅ΡΠ½Π΅ Π±ΡΠ²Π°Π΅Ρ ΡΠ»Π΅Π΄ΡΡΡΠΈΡ Π²ΠΈΠ΄ΠΎΠ²:
-
ΠΠ½ΡΠ΅ΠΊΡΠΈΠΎΠ½Π½Π°Ρ β ΡΠ°ΠΌΡΠΉ ΡΠ°ΡΠΏΡΠΎΡΡΡΠ°Π½Π΅Π½Π½ΡΠΉ ΡΠΈΠΏ Π±ΠΎΠ»Π΅Π·Π½ΠΈ, ΠΊΠΎΡΠΎΡΡΠΉ ΡΠ°Π·Π²ΠΈΠ²Π°Π΅ΡΡΡ ΠΏΠΎ ΠΎΠΏΡΠ΅Π΄Π΅Π»Π΅Π½Π½ΠΎΠΉ ΡΠ΅ΠΏΠΎΡΠΊΠ΅: ΠΊΠ°ΡΠΈΠ΅Ρ-ΠΏΡΠ»ΡΠΏΠΈΡ-ΠΏΠ΅ΡΠΈΠΎΠ΄ΠΎΠ½ΡΠΈΡ.
-
ΠΠ΅Π΄ΠΈΠΊΠ°ΠΌΠ΅Π½ΡΠΎΠ·Π½ΠΎΠ΅ Π²ΠΎΡΠΏΠ°Π»Π΅Π½ΠΈΠ΅. ΠΠΎΡΠ²Π»ΡΠ΅ΡΡΡ ΠΏΠΎ ΠΏΡΠΈΡΠΈΠ½Π΅ ΠΎΡΡΠ°Π²Π»Π΅Π½ΠΈΡ ΡΠΈΠ»ΡΠ½ΠΎΠ΄Π΅ΠΉΡΡΠ²ΡΡΡΠΈΠΌΠΈ, ΡΠ΄ΠΎΠ²ΠΈΡΡΠΌΠΈ Π»Π΅ΠΊΠ°ΡΡΡΠ²Π°ΠΌΠΈ Π²ΠΎ Π²ΡΠ΅ΠΌΡ ΡΠ΅ΡΠ°ΠΏΠΈΠΈ (ΡΠΎΡΠΌΠ°Π»ΠΈΠ½, ΠΌΡΡΡΡΠΊ).
-
Π’ΡΠ°Π²ΠΌΠ°ΡΠΈΡΠ΅ΡΠΊΠΈΠΉ ΠΏΠ΅ΡΠΈΠΎΠ΄ΠΎΠ½ΡΠΈΡ. ΠΠΎΠ·Π½ΠΈΠΊΠ°Π΅Ρ Π½Π° ΡΠΎΠ½Π΅ ΠΌΠ΅Ρ Π°Π½ΠΈΡΠ΅ΡΠΊΠΎΠ³ΠΎ ΠΏΠΎΠ²ΡΠ΅ΠΆΠ΄Π΅Π½ΠΈΡ ΠΎΠ±Π»Π°ΡΡΠΈ Π·ΡΠ±Π° ΠΈ Π²ΠΎΠΊΡΡΠ³ Π½Π΅Π³ΠΎ, ΡΠ°ΡΠ΅ Π²ΡΠ΅Π³ΠΎ ΡΡΠΎ ΡΠΎΠ²Π΅ΡΡΠ΅Π½ΠΈΠ΅ ΡΡΠ΄Π° ΠΎΡΠΈΠ±ΠΎΠΊ ΠΏΡΠΈ ΡΡΡΠ°Π½ΠΎΠ²ΠΊΠ΅ ΠΏΠ»ΠΎΠΌΠ±Ρ.
Π‘ΡΠ°Π΄ΠΈΠΈ
Π‘ΡΡΠ΅ΡΡΠ²ΡΠ΅Ρ Π½Π΅ΡΠΊΠΎΠ»ΡΠΊΠΎ ΡΡΠ°ΠΏΠΎΠ² ΡΠ°Π·Π²ΠΈΡΠΈΡ ΠΏΠ°ΡΠΎΠ»ΠΎΠ³ΠΈΠΈ:
-
ΠΡΡΡΠ°Ρ ΡΡΠ°Π΄ΠΈΡ. ΠΠΎΠ»Π΅Π·Π½Ρ ΠΏΡΠΎΠ³ΡΠ΅ΡΡΠΈΡΡΠ΅Ρ ΠΌΠ°ΠΊΡΠΈΠΌΠ°Π»ΡΠ½ΠΎ Π±ΡΡΡΡΠΎ ΠΏΡΠΈΠΌΠ΅ΡΠ½ΠΎ Π² ΡΠ΅ΡΠ΅Π½ΠΈΠ΅ 3-Ρ ΡΡΡΠΎΠΊ. ΠΡΠ± ΠΌΠ΅Π½ΡΠ΅Ρ ΠΎΠΊΡΠ°Ρ, ΡΡΠ°Π½ΠΎΠ²ΠΈΡΡΡ ΠΏΠΎΠ΄Π²ΠΈΠΆΠ½ΡΠΌ, ΠΏΠΎΡΠ²Π»ΡΠ΅ΡΡΡ ΡΠΈΠ»ΡΠ½Π°Ρ Π±ΠΎΠ»Ρ ΠΈ ΠΎΡΠ΅ΠΊ Π΄Π΅ΡΠ½Ρ.
-
Π₯ΡΠΎΠ½ΠΈΡΠ΅ΡΠΊΠ°Ρ ΡΡΠ°Π΄ΠΈΡ. ΠΡΠΎ Π±ΠΎΠ»Π΅Π΅ ΠΌΠ΅Π΄Π»Π΅Π½Π½Π°Ρ ΡΠΎΡΠΌΠ° Π·Π°Π±ΠΎΠ»Π΅Π²Π°Π½ΠΈΡ, ΠΊΠΎΡΠΎΡΠ°Ρ ΡΠ°ΡΠ΅ Π²ΡΠ΅Π³ΠΎ ΠΏΡΠΎΡΠ΅ΠΊΠ°Π΅Ρ Π±Π΅ΡΡΠΈΠΌΠΏΡΠΎΠΌΠ½ΠΎ. Π ΠΎΡΠ½ΠΎΠ²Π½ΠΎΠΌ ΠΏΡΠΎΡΠ²Π»ΡΠ΅ΡΡΡ Π½Π° Π·Π°ΠΏΡΡΠ΅Π½Π½ΠΎΠΌ ΡΡΠ°ΠΏΠ΅. ΠΠ° Π½Π°ΡΠ°Π»ΡΠ½ΡΡ ΡΡΠΎΠΊΠ°Ρ ΠΌΠΎΠΆΠ½ΠΎ ΠΎΠ±Π½Π°ΡΡΠΆΠΈΡΡ ΠΏΠΎΡΡΠ΅Π΄ΡΡΠ²ΠΎΠΌ ΡΠ΅Π½ΡΠ³Π΅Π½Π°.
ΠΠΈΠ°Π³Π½ΠΎΡΡΠΈΠΊΠ°
ΠΡΠ°ΠΊΡΠΈΡΠ΅ΡΠΊΠΈ Π²ΡΠ΅ ΡΠΏΠΎΡΠΎΠ±Ρ Π²ΡΡΠ²Π»Π΅Π½ΠΈΡ ΠΏΠ΅ΡΠΈΠΎΠ΄ΠΎΠ½ΡΠΈΡΠ° ΡΠ²ΡΠ·Π°Π½Ρ Ρ ΠΏΡΠΎΠ²Π΅Π΄Π΅Π½ΠΈΠ΅ΠΌ ΡΠ΅Π½ΡΠ³Π΅Π½ΠΎΠ»ΠΎΠ³ΠΈΡΠ΅ΡΠΊΠΈΡ ΠΈΡΡΠ»Π΅Π΄ΠΎΠ²Π°Π½ΠΈΠΉ. ΠΠΈΠ·ΡΠ°Π»ΡΠ½ΠΎ ΡΠΏΠ΅ΡΠΈΠ°Π»ΠΈΡΡ ΠΎΡΠ΅Π½ΠΈΠ²Π°Π΅Ρ ΡΠ»Π΅Π΄ΡΡΡΠΈΠ΅ ΠΏΡΠΎΡΠ²Π»Π΅Π½ΠΈΡ:
-
ΠΈΠ·ΠΌΠ΅Π½Π΅Π½ΠΈΠ΅ ΠΎΡΡΠ΅Π½ΠΊΠ° Π·ΡΠ±Π°;
-
ΠΏΠΎΡΠ²Π»Π΅Π½ΠΈΠ΅ ΡΠ²ΠΈΡΠ°;
-
Π½Π°Π»ΠΈΡΠΈΠ΅ ΠΎΠ±ΡΠ°Π·ΠΎΠ²Π°Π½ΠΈΠΉ ΠΊΠ°ΡΠΈΠΎΠ·Π½ΡΡ ΠΏΠΎΠ»ΠΎΡΡΠ΅ΠΉ;
-
Π³Π½ΠΎΠΉΠ½ΡΠ΅ Π²ΡΠ΄Π΅Π»Π΅Π½ΠΈΡ.
ΠΠ»Π°Π½ Π»Π΅ΡΠ΅Π½ΠΈΡ ΡΠ°Π·ΡΠ°Π±Π°ΡΡΠ²Π°Π΅ΡΡΡ Ρ ΡΡΠ΅ΡΠΎΠΌ ΡΠΈΠΏΠ° Π·Π°Π±ΠΎΠ»Π΅Π²Π°Π½ΠΈΡ.
ΠΠ΅ΡΠΎΠ΄Ρ ΡΠ΅ΡΠ°ΠΏΠΈΠΈ
ΠΠ»Π°Π²Π½ΡΠΉ ΠΏΡΠΈΠ½ΡΠΈΠΏ Π»Π΅ΡΠ΅Π½ΠΈΡ Π³Π½ΠΎΠΉΠ½ΠΎΠΉ ΡΠΈΡΠΊΠΈ Π½Π° Π΄Π΅ΡΠ½Π΅ β ΠΊΡΠΏΠΈΡΠΎΠ²Π°Π½ΠΈΠ΅ Π±ΠΎΠ»Π΅Π²ΠΎΠ³ΠΎ ΡΠΈΠ½Π΄ΡΠΎΠΌΠ°, ΡΡΡΡΠ°Π½Π΅Π½ΠΈΠ΅ ΠΎΡΠ°Π³Π° Π²ΠΎΡΠΏΠ°Π»Π΅Π½ΠΈΡ ΠΈ ΡΠΎΡ ΡΠ°Π½Π΅Π½ΠΈΠ΅ Π·ΡΠ±Π°.
ΠΠΎΠ½ΡΠ΅ΡΠ²Π°ΡΠΈΠ²Π½ΠΎΠ΅ Π»Π΅ΡΠ΅Π½ΠΈΠ΅
Π Π½Π΅ΠΊΠΎΡΠΎΡΡΡ ΡΠ»ΡΡΠ°ΡΡ ΠΌΠΎΠΆΠ½ΠΎ ΠΎΠ±ΠΎΠΉΡΠΈΡΡ Π±Π΅Π· Ρ ΠΈΡΡΡΠ³ΠΈΡΠ΅ΡΠΊΠΎΠ³ΠΎ Π²ΠΌΠ΅ΡΠ°ΡΠ΅Π»ΡΡΡΠ²Π° Ρ ΠΏΠΎΠΌΠΎΡΡΡ ΡΠΏΠ΅ΡΠΈΠ°Π»ΡΠ½ΡΡ Π°Π½ΡΠΈΡΠ΅ΠΏΡΠΈΠΊΠΎΠ², ΠΏΠ°ΡΡ, ΠΌΠ°Π·Π΅ΠΉ, ΡΠ°ΡΡΠ²ΠΎΡΠΎΠ² Π΄Π»Ρ ΠΏΠΎΠ»ΠΎΡΠΊΠ°Π½ΠΈΡ ΠΈ ΡΠΈΠ·ΠΈΠΎΡΠ΅ΡΠ°ΠΏΠ΅Π²ΡΠΈΡΠ΅ΡΠΊΠΈΡ ΠΏΡΠΎΡΠ΅Π΄ΡΡ. ΠΡΠ΅Π΄Π²Π°ΡΠΈΡΠ΅Π»ΡΠ½ΠΎ Π²ΡΠ°Ρ ΠΏΡΠ΅ΠΏΠ°ΡΠΈΡΡΠ΅Ρ ΠΏΠΎΡΠ°ΠΆΠ΅Π½Π½ΡΠΉ Π·ΡΠ±, ΠΎΡΠ²ΠΎΠ±ΠΎΠΆΠ΄Π°Ρ ΠΊΠ°Π½Π°Π»Ρ Π΄Π»Ρ ΠΎΡΡΠΎΠΊΠ° Π³Π½ΠΎΡ, ΠΏΠΎΡΠ»Π΅ ΡΠ΅Π³ΠΎ Π½Π°Π·Π½Π°ΡΠ°ΡΡΡΡ Π°Π½ΡΠΈΠ±ΠΈΠΎΡΠΈΠΊΠΈ ΠΈ Π΄ΡΡΠ³ΠΈΠ΅ ΠΏΡΠ΅ΠΏΠ°ΡΠ°ΡΡ. ΠΠ°Π»Π΅Π΅ ΠΊΠ°Π½Π°Π»Ρ ΠΈ ΡΠ°ΠΌ Π·ΡΠ± ΠΏΠ»ΠΎΠΌΠ±ΠΈΡΡΡΡΡΡ.
Π€ΠΈΠ·ΠΈΠΎΡΠ΅ΡΠ°ΠΏΠΈΡ Π·Π°ΠΊΠ»ΡΡΠ°Π΅ΡΡΡ Π² Π½Π°Π·Π½Π°ΡΠ΅Π½ΠΈΠΈ ΡΠ»Π΅Π΄ΡΡΡΠΈΡ ΠΏΡΠΎΡΠ΅Π΄ΡΡ:
-
Π»Π°Π·Π΅ΡΠΎΡΠ΅ΡΠ°ΠΏΠΈΡ;
-
ΡΠ»Π΅ΠΊΡΡΠΎΡΠΎΡΠ΅Π· Π²Π½ΡΡΡΠΈ ΠΊΠ°Π½Π°Π»Π° Ρ ΠΏΡΠΈΠΌΠ΅Π½Π΅Π½ΠΈΠ΅ΠΌ ΠΉΠΎΠ΄ΠΈΡΡΠΎΠ³ΠΎ ΠΊΠ°Π»ΠΈΡ;
-
Π£ΠΠ§.
ΠΡΠΎΡ ΠΌΠ΅ΡΠΎΠ΄ Π»Π΅ΡΠ΅Π½ΠΈΡ ΠΈΡΠΏΠΎΠ»ΡΠ·ΡΠ΅ΡΡΡ ΡΠΎΠ»ΡΠΊΠΎ ΠΏΡΠΈ Ρ ΡΠΎΠ½ΠΈΡΠ΅ΡΠΊΠΈΡ ΡΠΎΡΠΌΠ°Ρ Π·Π°Π±ΠΎΠ»Π΅Π²Π°Π½ΠΈΡ. ΠΡΠΈ ΠΎΡΡΡΠΎΠΌ ΡΠ΅ΡΠ΅Π½ΠΈΠΈ Π±ΠΎΠ»Π΅Π·Π½ΠΈ ΠΏΡΠΎΡΠ΅Π΄ΡΡΠ° ΠΏΠΎΠ»Π½ΠΎΡΡΡΡ ΠΏΡΠΎΡΠΈΠ²ΠΎΠΏΠΎΠΊΠ°Π·Π°Π½Π° ΡΠ°ΠΊ, ΠΊΠ°ΠΊ ΠΌΠΎΠΆΠ΅Ρ ΡΠΎΠ»ΡΠΊΠΎ ΡΡ ΡΠ΄ΡΠΈΡΡ ΡΠΎΡΡΠΎΡΠ½ΠΈΠ΅ Π±ΠΎΠ»ΡΠ½ΠΎΠ³ΠΎ.
ΠΠΏΠ΅ΡΠ°ΡΠΈΠ²Π½ΠΎΠ΅ Π²ΠΌΠ΅ΡΠ°ΡΠ΅Π»ΡΡΡΠ²ΠΎ
Π‘ΠΎΠ²ΡΠ΅ΠΌΠ΅Π½Π½Π°Ρ ΠΌΠ΅Π΄ΠΈΡΠΈΠ½Π° ΠΏΠΎΠ·Π²ΠΎΠ»ΡΠ΅Ρ Π²ΡΠ±ΠΈΡΠ°ΡΡ ΠΌΠ°ΠΊΡΠΈΠΌΠ°Π»ΡΠ½ΠΎ ΡΠ°Π΄ΡΡΠΈΠ΅, Π½ΠΎ ΠΏΡΠΈ ΡΡΠΎΠΌ ΡΡΡΠ΅ΠΊΡΠΈΠ²Π½ΡΠ΅ ΠΌΠ΅ΡΠΎΠ΄ΠΈΠΊΠΈ, ΠΊΠΎΡΠΎΡΡΠ΅ ΠΏΠΎΠΌΠΎΠ³Π°ΡΡ ΡΠΎΡ ΡΠ°Π½ΠΈΡΡ Π·ΡΠ± Π΄Π°ΠΆΠ΅ Π² ΠΎΡΠ΅Π½Ρ ΡΠ»ΠΎΠΆΠ½ΡΡ ΡΠ»ΡΡΠ°ΡΡ . Π ΠΎΡΠ½ΠΎΠ²Π½ΡΠΌ Ρ ΠΈΡΡΡΠ³ΠΈΡΠ΅ΡΠΊΠΈΠΌ ΠΌΠ΅ΡΠΎΠ΄Π°ΠΌ ΠΎΡΠ½ΠΎΡΡΡ:
ΠΠ΅ΡΠ²ΠΎΠ½Π°ΡΠ°Π»ΡΠ½ΠΎ ΡΠΏΠ΅ΡΠΈΠ°Π»ΠΈΡΡ ΠΏΠΎΡΡΠ°ΡΠ°Π΅ΡΡΡ ΡΠ΄Π΅Π»Π°ΡΡ Π²ΡΠ΅, ΡΡΠΎΠ±Ρ ΠΈΠ·Π±Π΅ΠΆΠ°ΡΡ ΠΎΠΏΠ΅ΡΠ°ΡΠΈΠ²Π½ΠΎΠ³ΠΎ Π²ΠΌΠ΅ΡΠ°ΡΠ΅Π»ΡΡΡΠ²Π°, Π΅ΡΠ»ΠΈ ΡΡΠΎ Π²ΠΎΠ·ΠΌΠΎΠΆΠ½ΠΎ.
ΠΡΠ»ΠΎΠΆΠ½Π΅Π½ΠΈΡ
ΠΠΎΡΠΏΠ°Π»ΠΈΡΠ΅Π»ΡΠ½ΡΠΉ ΠΏΡΠΎΡΠ΅ΡΡ Ρ Π³Π½ΠΎΠΉΠ½ΡΠΌΠΈ ΠΏΡΠΎΡΠ²Π»Π΅Π½ΠΈΡΠΌΠΈ ΠΌΠΎΠΆΠ΅Ρ ΠΏΡΠΈΠ²Π΅ΡΡΠΈ ΠΊ ΡΠ»Π΅Π΄ΡΡΡΠΈΠΌ Π½Π΅ΠΏΡΠΈΡΡΠ½ΡΠΌ ΠΏΠΎΡΠ»Π΅Π΄ΡΡΠ²ΠΈΡΠΌ:
-
ΡΠ°ΡΠΏΡΠΎΡΡΡΠ°Π½Π΅Π½ΠΈΠ΅ ΠΈΠ½ΡΠ΅ΠΊΡΠΈΠΈ ΠΏΠΎ Π²ΡΠ΅ΠΌΡ ΠΎΡΠ³Π°Π½ΠΈΠ·ΠΌΡ ΡΠ΅ΡΠ΅Π· ΠΊΡΠΎΠ²Ρ;
-
ΠΏΠΎΡΠ²Π»Π΅Π½ΠΈΠ΅ ΠΏΠΎΠ΄Π²ΠΈΠΆΠ½ΠΎΡΡΠΈ ΠΈ ΠΏΠΎΡΠ΅ΡΡ Π·ΡΠ±Π°;
-
ΠΊΡΠΎΠ²ΠΎΡΠ΅ΡΠ΅Π½ΠΈΠ΅;
-
ΡΠ»Π΅Π³ΠΌΠΎΠ½Π°;
-
ΡΠ΅ΡΠΈΠ΄ΠΈΠ² Π°Π±ΡΡΠ΅ΡΡΠ°.
ΠΡΠ²Π°ΡΡ ΡΠ»ΡΡΠ°ΠΈ, ΡΡΠΎ Π½Π΅Π±ΠΎΠ»ΡΡΠΎΠ΅ Π³Π½ΠΎΠΉΠ½ΠΎΠ΅ Π²ΠΎΡΠΏΠ°Π»Π΅Π½ΠΈΠ΅ Π² ΠΎΠ±Π»Π°ΡΡΠΈ Π΄Π΅ΡΠ½Ρ ΠΏΡΠΈΠ²ΠΎΠ΄ΠΈΡ ΠΊ Π³ΠΎΡΠΏΠΈΡΠ°Π»ΠΈΠ·Π°ΡΠΈΠΈ Π±ΠΎΠ»ΡΠ½ΠΎΠ³ΠΎ.
ΠΡΠΎΡΠΈΠ»Π°ΠΊΡΠΈΠΊΠ° Π·Π°ΠΊΠ»ΡΡΠ°Π΅ΡΡΡ Π² ΡΠΎΠ±Π»ΡΠ΄Π΅Π½ΠΈΠΈ Π³ΠΈΠ³ΠΈΠ΅Π½Ρ ΠΏΠΎΠ»ΠΎΡΡΠΈ ΡΡΠ°, ΠΏΠ΅ΡΠΈΠΎΠ΄ΠΈΡΠ΅ΡΠΊΠΎΠΌ ΠΏΠΎΡΠ΅ΡΠ΅Π½ΠΈΠΈ ΡΡΠΎΠΌΠ°ΡΠΎΠ»ΠΎΠ³Π°, ΠΈΡΠΊΠ»ΡΡΠ΅Π½ΠΈΠΈ ΡΡΠ°Π²ΠΌΠΈΡΡΡΡΠ΅Π³ΠΎ ΠΌΠ΅Ρ Π°Π½ΠΈΡΠ΅ΡΠΊΠΎΠ³ΠΎ Π²ΠΎΠ·Π΄Π΅ΠΉΡΡΠ²ΠΈΡ, ΡΠ²ΠΎΠ΅Π²ΡΠ΅ΠΌΠ΅Π½Π½ΠΎΠΉ ΡΠ΅ΡΠ°ΠΏΠΈΠΈ ΠΊΠ°ΡΠΈΠ΅ΡΠ°.
ΠΠ΅ ΡΡΠΎΠΈΡ Π±ΠΎΡΡΡΡΡ Π·ΡΠ±Π½ΡΡ Π²ΡΠ°ΡΠ΅ΠΉ, ΡΠΎΠ²ΡΠ΅ΠΌΠ΅Π½Π½ΡΠ΅ ΡΠ΅Ρ Π½ΠΎΠ»ΠΎΠ³ΠΈΠΈ ΠΏΠΎΠ·Π²ΠΎΠ»ΡΡΡ ΠΏΡΠΎΠ²ΠΎΠ΄ΠΈΡΡ Π΄Π°ΠΆΠ΅ ΡΠ°ΠΌΡΠ΅ ΡΠ»ΠΎΠΆΠ½ΡΠ΅ ΠΌΠ°Π½ΠΈΠΏΡΠ»ΡΡΠΈΠΈ ΠΌΠ°ΠΊΡΠΈΠΌΠ°Π»ΡΠ½ΠΎ Π±Π΅Π·Π±ΠΎΠ»Π΅Π·Π½Π΅Π½Π½ΠΎ ΠΈ Π±ΡΡΡΡΠΎ.
ΠΡΠ° ΡΡΠ°ΡΡΡ Π½ΠΎΡΠΈΡ ΠΈΠ½ΡΠΎΡΠΌΠ°ΡΠΈΠ²Π½ΡΠΉ Ρ Π°ΡΠ°ΠΊΡΠ΅Ρ, Π·Π° ΠΏΠΎΠ΄ΡΠΎΠ±Π½ΠΎΡΡΡΠΌΠΈ ΠΏΡΠΎΡΠΈΠΌ Π²Π°Ρ ΠΎΠ±ΡΠ°ΡΠ°ΡΡΡΡ ΠΊ Π²ΡΠ°ΡΡ! Π ΠΏΡΠΎΡΠΈΠ²ΠΎΠΏΠΎΠΊΠ°Π·Π°Π½ΠΈΡΡ ΠΈ ΠΏΠΎΠ±ΠΎΡΠ½ΡΡ Π΄Π΅ΠΉΡΡΠ²ΠΈΡΡ ΡΠΏΡΠ°ΡΠΈΠ²Π°ΠΉΡΠ΅ Ρ Π²ΡΠ°ΡΠ°.
dentalgu.ru
ΡΠ΅ΠΌ Π»Π΅ΡΠΈΡΡ Π³Π½ΠΎΠΉΠ½ΠΈΠΊ, ΠΏΡΠΈΡΠΈΠ½Ρ ΠΏΠΎΡΠ²Π»Π΅Π½ΠΈΡ
.Β
Π‘ΡΡΠ΅ΡΡΠ²ΡΠ΅Ρ ΠΌΠ½ΠΎΠ³ΠΎ ΡΡΠΎΠΌΠ°ΡΠΎΠ»ΠΎΠ³ΠΈΡΠ΅ΡΠΊΠΈΡ Π·Π°Π±ΠΎΠ»Π΅Π²Π°Π½ΠΈΠΉ, ΠΊΠΎΡΠΎΡΡΠ΅ ΡΡ ΡΠ΄ΡΠ°ΡΡ Π½Π°ΡΠ΅ Π·Π΄ΠΎΡΠΎΠ²ΡΠ΅ ΠΈ ΠΌΠ΅ΡΠ°ΡΡ ΠΎΠ±ΡΡΠ½ΠΎΠΉ Π΄Π΅ΡΡΠ΅Π»ΡΠ½ΠΎΡΡΠΈ. ΠΠ΄Π½ΠΎΠΉ ΠΈΠ· ΡΠ°ΠΊΠΈΡ Π±ΠΎΠ»Π΅Π·Π½Π΅ΠΉ ΡΠ²Π»ΡΠ΅ΡΡΡ Π³Π½ΠΎΠΉΠ½Π°Ρ ΡΠΈΡΠΊΠ° Π½Π° Π΄Π΅ΡΠ½Π΅. ΠΠ΅ ΠΏΠΎΡΠ²Π»Π΅Π½ΠΈΠ΅ ΠΌΠΎΠΆΠ΅Ρ Π±ΡΡΡ Π²ΡΠ·Π²Π°Π½ΠΎ ΡΠ°Π·Π½ΡΠΌΠΈ ΠΏΡΠΈΡΠΈΠ½Π°ΠΌΠΈ, ΠΎΡ ΠΊΠΎΡΠΎΡΡΡ Π±ΡΠ΄Π΅Ρ Π·Π°Π²ΠΈΡΠ΅ΡΡ ΠΏΠΎΡΡΠ°Π²Π»Π΅Π½Π½ΡΠΉ Π΄ΠΈΠ°Π³Π½ΠΎΠ· ΠΈ Π½Π°Π·Π½Π°ΡΠ΅Π½Π½ΠΎΠ΅ Π»Π΅ΡΠ΅Π½ΠΈΠ΅. ΠΡΠ»ΠΈ Π²Ρ ΡΠ²ΠΈΠ΄ΠΈΡΠ΅ ΠΈΠ»ΠΈ ΠΏΠΎΡΡΠ²ΡΡΠ²ΡΠ΅ΡΠ΅ Π³Π½ΠΎΠΉΠ½ΠΎΠ΅ ΠΎΠ±ΡΠ°Π·ΠΎΠ²Π°Π½ΠΈΠ΅ Ρ ΡΠ΅Π±Ρ Π²ΠΎ ΡΡΡ, ΡΡΠΎΡΠ½ΠΎ ΠΎΠ±ΡΠ°ΡΠΈΡΠ΅ΡΡ ΠΊ Π²ΡΠ°ΡΡ, ΡΠ°ΠΊ ΠΊΠ°ΠΊ ΡΡΠΎ ΠΌΠΎΠΆΠ΅Ρ ΡΠΈΠ³Π½Π°Π»ΠΈΠ·ΠΈΡΠΎΠ²Π°ΡΡ ΠΎ ΡΠ΅ΡΡΠ΅Π·Π½ΠΎΠΌ Π·Π°Π±ΠΎΠ»Π΅Π²Π°Π½ΠΈΠΈ.

ΠΠ½ΠΎΠΉΠ½ΠΈΠΊ Ρ ΡΠ΅Π±Π΅Π½ΠΊΠ° ΠΏΡΠΈ ΠΊΠ°ΡΠΈΠ΅ΡΠ΅
ΠΡΠΈΡΠΈΠ½Ρ ΠΏΠΎΡΠ²Π»Π΅Π½ΠΈΡ Π³Π½ΠΎΠΉΠ½ΠΈΠΊΠΎΠ² Π²ΠΎ ΡΡΡ
ΠΡΠ»ΠΈ Π½Π° Π΄Π΅ΡΠ½Π΅ ΠΏΠΎΡΠ²ΠΈΠ»Π°ΡΡ ΡΠΈΡΠΊΠ° Ρ Π³Π½ΠΎΠ΅ΠΌ, ΡΠΎ Π½Π΅ΠΎΠ±Ρ ΠΎΠ΄ΠΈΠΌΠΎ Π²ΡΡΡΠ½ΠΈΡΡ ΠΏΡΠΈΡΠΈΠ½Ρ Π΅Π΅ ΠΎΠ±ΡΠ°Π·ΠΎΠ²Π°Π½ΠΈΡ, ΡΡΠΎΠ±Ρ ΠΌΠΎΠΆΠ½ΠΎ Π±ΡΠ»ΠΎ ΡΡΡΠ°Π½ΠΎΠ²ΠΈΡΡ ΠΊΡΡΡ Π»Π΅ΡΠ΅Π½ΠΈΡ. Π§Π°ΡΠ΅ Π²ΡΠ΅Π³ΠΎ ΡΠ°ΠΊΠΎΠ΅ Π·Π°Π±ΠΎΠ»Π΅Π²Π°Π½ΠΈΠ΅ ΠΌΠΎΠΆΠ΅Ρ Π±ΡΡΡ ΡΠ²ΡΠ·Π°Π½ΠΎ Ρ ΠΏΠ»ΠΎΡ ΠΎΠΉ Π³ΠΈΠ³ΠΈΠ΅Π½ΠΎΠΉ ΡΠΎΡΠΎΠ²ΠΎΠΉ ΠΏΠΎΠ»ΠΎΡΡΠΈ. ΠΠΎΡΠ»Π΅ ΠΏΡΠΈΠ΅ΠΌΠ° ΠΏΠΈΡΠΈ Π½Π°Π»Π΅Ρ ΠΎΠ±ΡΠ°Π·ΠΎΠ²ΡΠ²Π°Π΅ΡΡΡ Π½Π΅ ΡΠΎΠ»ΡΠΊΠΎ Π½Π° ΡΠ°ΠΌΠΈΡ Π·ΡΠ±Π°Ρ , Π½ΠΎ ΠΈ Π½Π° Π΄Π΅ΡΠ½Π°Ρ . Π ΡΡΠΎΠΌ Π½Π°Π»Π΅ΡΠ΅ ΡΠ°Π·ΠΌΠ½ΠΎΠΆΠ°ΡΡΡΡ Π±Π°ΠΊΡΠ΅ΡΠΈΠΈ, ΠΊΠΎΡΠΎΡΡΠ΅ ΠΏΡΠΎΠ²ΠΎΡΠΈΡΡΡΡ ΠΏΠΎΡΠ²Π»Π΅Π½ΠΈΠ΅ ΡΠ°Π·Π½ΡΡ Π·Π°Π±ΠΎΠ»Π΅Π²Π°Π½ΠΈΠΉ, ΡΠ°ΠΊΠΈΡ ΠΊΠ°ΠΊ ΠΏΠ΅ΡΠΈΠΎΡΡΠΈΡ, Π³ΠΈΠ½Π³ΠΈΠ²ΠΈΡ, ΠΏΠ΅ΡΠΈΠΎΠ΄ΠΎΠ½ΡΠΈΡ, ΡΠ²ΠΈΡ ΠΈ Π΄ΡΡΠ³ΠΈΡ . ΠΠΎ Π³Π½ΠΎΠΉΠ½ΡΠ΅ ΡΠΈΡΠΊΠΈ ΡΠ°ΠΊΠΆΠ΅ ΠΌΠΎΠ³ΡΡ ΡΠ²ΠΈΠ΄Π΅ΡΠ΅Π»ΡΡΡΠ²ΠΎΠ²Π°ΡΡ ΠΎ ΠΏΠ°ΡΠΎΠ»ΠΎΠ³ΠΈΠΈ ΠΌΡΠ³ΠΊΠΈΡ ΡΠΊΠ°Π½Π΅ΠΉ ΡΠ»ΠΈΠ·ΠΈΡΡΠΎΠΉ ΠΎΠ±ΠΎΠ»ΠΎΡΠΊΠΈ.
ΠΠ±ΡΠ°Π·ΠΎΠ²Π°Π½ΠΈΠ΅ ΡΠΈΡΠ΅ΡΠ΅ΠΊ Π½Π° Π΄Π΅ΡΠ½Π°Ρ Ρ Π²ΡΡΠ΅ΠΊΠ°Π½ΠΈΠ΅ΠΌ Π³Π½ΠΎΡ ΠΌΠΎΠΆΠ΅Ρ Π±ΡΡΡ ΠΏΠΎΡΠ»Π΅Π΄ΡΡΠ²ΠΈΠ΅ΠΌ ΠΊΠ°ΠΊ Ρ ΡΠΎΠ½ΠΈΡΠ΅ΡΠΊΠΈΡ Π·Π°Π±ΠΎΠ»Π΅Π²Π°Π½ΠΈΠΉ ΠΏΠΎΠ»ΠΎΡΡΠΈ ΡΡΠ°, ΡΠ°ΠΊ ΠΈ ΠΎΡΡΡΡΡ ΠΏΡΠΎΠ±Π»Π΅ΠΌ. ΠΡΠΈ ΠΎΡΡΡΠΎΠΉ ΡΠΎΡΠΌΠ΅ Π»Π΅ΡΠ΅Π½ΠΈΠ΅ Π±ΡΠ΄Π΅Ρ Π±ΡΡΡΡΡΠΌ ΠΈ ΠΎΡΠ½ΠΎΡΠΈΡΠ΅Π»ΡΠ½ΠΎ Π»Π΅Π³ΠΊΠΈΠΌ. Π Π²ΠΎΡ Ρ ΡΠΎΠ½ΠΈΡΠ΅ΡΠΊΠΈΠ΅ Π±ΠΎΠ»Π΅Π·Π½ΠΈ ΠΏΠΎΡΡΠ΅Π±ΡΡΡ Π³ΠΎΡΠ°Π·Π΄ΠΎ Π±ΠΎΠ»ΡΡΠ΅ ΡΠ΅ΡΡΡΡΠΎΠ², Π° Π² ΠΎΡΠ΄Π΅Π»ΡΠ½ΡΡ ΡΠ»ΡΡΠ°ΡΡ Π΄Π°ΠΆΠ΅ Ρ ΠΈΡΡΡΠ³ΠΈΡΠ΅ΡΠΊΠΎΠ΅ Π²ΠΌΠ΅ΡΠ°ΡΠ΅Π»ΡΡΡΠ²ΠΎ. Π ΡΠ°ΠΊΠΆΠ΅ Π½Π°Π³Π½ΠΎΠ΅Π½ΠΈΠ΅ Π΄Π΅ΡΠ½Ρ ΠΈΠ»ΠΈ ΠΎΠ±ΡΠ°Π·ΠΎΠ²Π°Π½ΠΈΠ΅ ΠΎΠΏΡΡ ΠΎΠ»ΠΈ ΠΌΠΎΠ³ΡΡ ΡΡΠ°ΡΡ ΡΠ»Π΅Π΄ΡΡΠ²ΠΈΠ΅ΠΌ Π²ΠΎΠ·Π΄Π΅ΠΉΡΡΠ²ΠΈΡ Π²Π½Π΅ΡΠ½ΠΈΡ ΡΠ°ΠΊΡΠΎΡΠΎΠ². ΠΡΠΈΡΠΈΠ½Ρ ΠΎΠ±ΡΠ°Π·ΠΎΠ²Π°Π½ΠΈΡ Π³Π½ΠΎΠΉΠ½ΠΈΠΊΠ° Π±ΡΠ²Π°ΡΡ Π΄Π²ΡΡ Π²ΠΈΠ΄ΠΎΠ²: ΠΈΠ½ΡΠ΅ΠΊΡΠΈΠΎΠ½Π½ΡΠ΅ ΠΈ Π½Π΅ΠΈΠ½ΡΠ΅ΠΊΡΠΈΠΎΠ½Π½ΡΠ΅.
ΠΠ½ΡΠ΅ΠΊΡΠΈΠΎΠ½Π½ΠΎΠ΅ ΠΏΡΠΎΠΈΡΡ ΠΎΠΆΠ΄Π΅Π½ΠΈΠ΅ Π³Π½ΠΎΠΉΠ½ΠΈΠΊΠ°
ΠΠΎΡΠ²ΠΈΠ²ΡΠ΅Π΅ΡΡ Π½Π°Π³Π½ΠΎΠ΅Π½ΠΈΠ΅ Π½Π° Π΄Π΅ΡΠ½Π°Ρ ΠΌΠΎΠΆΠ΅Ρ Π±ΡΡΡ Π²ΡΠ·Π²Π°Π½ΠΎ Π°ΠΊΡΠΈΠ²Π½ΠΎΠΉ ΠΆΠΈΠ·Π½Π΅Π΄Π΅ΡΡΠ΅Π»ΡΠ½ΠΎΡΡΡΡ ΠΏΠ°ΡΠΎΠ³Π΅Π½Π½ΡΡ ΠΌΠΈΠΊΡΠΎΠΎΡΠ³Π°Π½ΠΈΠ·ΠΌΠΎΠ² Π²ΠΎ ΡΡΡ. ΠΡΠΈ ΠΈΠ½ΡΠ΅ΠΊΡΠΈΠΎΠ½Π½ΡΡ Π·Π°Π±ΠΎΠ»Π΅Π²Π°Π½ΠΈΡΡ ΠΌΠΈΠΊΡΠΎΠ±Ρ ΡΠΊΠ°ΠΏΠ»ΠΈΠ²Π°ΡΡΡΡ Π² ΠΏΠΎΠ»ΠΎΡΡΠΈ ΡΡΠ° ΠΈ Π½Π°ΡΠΈΠ½Π°ΡΡ ΡΠ°Π·ΠΌΠ½ΠΎΠΆΠ°ΡΡΡΡ. ΠΡΠ»Π΅Π΄ΡΡΠ²ΠΈΠ΅ ΡΠ΅Π³ΠΎ Π²ΠΎΡΠΏΠ°Π»ΡΡΡΡΡ ΡΠΊΠ°Π½ΠΈ Π΄Π΅ΡΠ΅Π½ ΠΈ ΠΏΠΎΡΠ²Π»ΡΠ΅ΡΡΡ Π³Π½ΠΎΠΉΠ½ΠΎΠ΅ Π²ΡΠ΄Π΅Π»Π΅Π½ΠΈΠ΅. Π‘ΠΈΠΌΠΏΡΠΎΠΌΠ°ΠΌΠΈ ΠΎΠ±ΡΠ°Π·ΠΎΠ²Π°Π½ΠΈΡ Π³Π½ΠΎΠΉΠ½ΠΈΠΊΠ° ΡΠ²Π»ΡΡΡΡΡ Π±ΠΎΠ»Π΅Π·Π½Π΅Π½Π½ΡΠ΅ ΠΎΡΡΡΠ΅Π½ΠΈΡ ΠΈ ΠΎΠ±ΡΠ°Ρ ΠΈΠ½ΡΠΎΠΊΡΠΈΠΊΠ°ΡΠΈΡ ΠΎΡΠ³Π°Π½ΠΈΠ·ΠΌΠ°.
ΠΠ΅ΠΈΠ½ΡΠ΅ΠΊΡΠΈΠΎΠ½Π½ΠΎΠ΅ ΠΎΠ±ΡΠ°Π·ΠΎΠ²Π°Π½ΠΈΠ΅ ΡΠΈΡΠΊΠΈ
Π¨ΠΈΡΠΊΠ° ΠΌΠΎΠΆΠ΅Ρ ΠΏΠΎΡΠ²ΠΈΡΡΡΡ ΡΠ°ΠΊΠΆΠ΅ ΠΈΠ·-Π·Π° ΡΡΠ°Π²ΠΌΡ Π·ΡΠ±ΠΎΠ² ΠΈΠ»ΠΈ Π΄Π΅ΡΠ΅Π½, ΠΈΠ½ΠΎΠ³Π΄Π° ΠΏΠΎΡΠ»Π΅ ΠΏΡΠΈΠΌΠ΅Π½Π΅Π½ΠΈΡ Π»Π΅ΠΊΠ°ΡΡΡΠ²Π΅Π½Π½ΡΡ ΠΏΡΠ΅ΠΏΠ°ΡΠ°ΡΠΎΠ². ΠΠΎ ΡΠΈΠ·ΠΈΡΠ΅ΡΠΊΠΎΠ΅ Π²ΠΎΠ·Π΄Π΅ΠΉΡΡΠ²ΠΈΠ΅ Π½Π° ΡΠ»Π΅ΠΌΠ΅Π½ΡΡ ΡΠΎΡΠΎΠ²ΠΎΠΉ ΠΏΠΎΠ»ΠΎΡΡΠΈ Π½Π΅ ΠΏΡΠΈΠ²ΠΎΠ΄ΠΈΡ ΠΊ ΠΎΠ±ΡΠ°Π·ΠΎΠ²Π°Π½ΠΈΡ Π³Π½ΠΎΡ. Π ΡΡΠΈΠΌ ΡΠ°ΠΊΡΠΎΡΠ°ΠΌ ΡΠ°ΠΊΠΆΠ΅ ΠΌΠΎΠΆΠ½ΠΎ ΠΎΡΠ½Π΅ΡΡΠΈ ΡΠ΅ΡΠΌΠΈΡΠ΅ΡΠΊΠΈΠΉ ΠΈΠ»ΠΈ Ρ ΠΈΠΌΠΈΡΠ΅ΡΠΊΠΈΠΉ ΠΎΠΆΠ΅Π³ ΡΠΊΠ°Π½Π΅ΠΉ Π΄Π΅ΡΠ½Ρ.
ΠΠΎΠΆΠ½ΠΎ ΡΡΠΎΡΠΌΠΈΡΠΎΠ²Π°ΡΡ ΡΠ»Π΅Π΄ΡΡΡΡΡ ΠΊΠ»Π°ΡΡΠΈΡΠΈΠΊΠ°ΡΠΈΡ ΠΏΡΠΈΡΠΈΠ½ ΠΏΠΎΡΠ²Π»Π΅Π½ΠΈΡ Π³Π½ΠΎΠΉΠ½ΠΎΠΉ ΡΠΈΡΠΊΠΈ Π½Π° Π΄Π΅ΡΠ½Π΅.
ΠΠΎΡΠΏΠ°Π»Π΅Π½ΠΈΠ΅ ΠΊΠΎΡΠ½Ρ Π·ΡΠ±Π°:
- ΠΠ΅ΡΠΈΠΎΠ΄ΠΎΠ½ΡΠΈΡ β ΠΌΠΎΠΆΠ΅Ρ ΠΎΠ±ΡΠ°Π·ΠΎΠ²Π°ΡΡΡΡ ΠΏΠΎΡΠ»Π΅ Π½Π΅ΠΊΠ°ΡΠ΅ΡΡΠ²Π΅Π½Π½ΠΎΠ³ΠΎ Π½Π°Π»ΠΎΠΆΠ΅Π½ΠΈΡ ΠΏΠ»ΠΎΠΌΠ±Ρ ΠΈΠ»ΠΈ ΠΏΠΎΡΠ²Π»Π΅Π½ΠΈΠ΅ΠΌ ΠΏΡΠ»ΡΠΏΠΈΡΠ°. Π Π·ΡΠ±Π΅ ΠΈΠ»ΠΈ ΡΡΠ΄ΠΎΠΌ Ρ Π½ΠΈΠΌ ΡΠ°Π·ΠΌΠ½ΠΎΠΆΠ°ΡΡΡΡ Π±Π°ΠΊΡΠ΅ΡΠΈΠΈ, ΠΈΠ·-Π·Π° ΠΊΠΎΡΠΎΡΡΡ Ρ ΠΊΠΎΡΠ½Ρ Π·ΡΠ±Π° ΠΏΠΎΡΠ²Π»ΡΠ΅ΡΡΡ Π³Π½ΠΎΠΉ, Π³ΡΠ°Π½ΡΠ»Π΅ΠΌΠ° ΠΈ ΠΏΠΎΡΠ»Π΅ ΠΊΠΈΡΡΠ°. Π¨ΠΈΡΠΊΠ° Π±ΡΠ΄Π΅Ρ Π΄ΠΈΠ°ΠΌΠ΅ΡΡΠΎΠΌ Π² ΠΎΠ΄ΠΈΠ½ ΡΠ°Π½ΡΠΈΠΌΠ΅ΡΡ, Π° ΠΈΠ·ΠΎ ΡΡΠ° Π±ΡΠ΄Π΅Ρ ΠΈΠ΄ΡΠΈ Π½Π΅ΠΏΡΠΈΡΡΠ½ΡΠΉ Π·Π°ΠΏΠ°Ρ .
- ΠΠ΅ΡΠΈΠΎΡΡΠΈΡ β ΠΎΡΠ»ΠΎΠΆΠ½Π΅Π½Π½Π°Ρ ΡΠΎΡΠΌΠ° ΠΏΠ΅ΡΠΈΠΎΠ΄ΠΎΠ½ΡΠΈΡΠ°. ΠΠ½ΠΎΠΉ Π½Π°ΡΠΈΠ½Π°Π΅Ρ Π²ΡΠ΄Π΅Π»ΡΡΡΡΡ ΠΈΠ·-ΠΏΠΎΠ΄ Π·ΡΠ±Π°, ΡΠ°ΠΊΠΆΠ΅ ΠΏΠΎΡΠ²Π»ΡΠ΅ΡΡΡ ΡΠΈΡΠΊΠ°, ΠΏΠΎΠ²ΡΡΠ°Π΅ΡΡΡ ΡΠ΅ΠΌΠΏΠ΅ΡΠ°ΡΡΡΠ°, ΠΏΠΎΡΠ²Π»ΡΡΡΡΡ ΡΠΈΠ»ΡΠ½ΡΠ΅ Π±ΠΎΠ»Π΅Π²ΡΠ΅ ΠΎΡΡΡΠ΅Π½ΠΈΡ, ΠΎΠΏΡΡ Π°ΡΡ Π΄Π΅ΡΠ½Ρ ΠΈ ΡΠ΅ΠΊΠ°.
- Π‘Π²ΠΈΡ β ΠΎΠ±ΡΠ°Π·ΠΎΠ²ΡΠ²Π°Π΅ΡΡΡ Π½Π΅Π±ΠΎΠ»ΡΡΠΎΠΉ ΠΏΡΡΡΠΈΠΊ Ρ ΠΌΠ°Π»Π΅Π½ΡΠΊΠΎΠΉ Π΄ΡΡΠΎΡΠΊΠΎΠΉ, ΡΠ΅ΡΠ΅Π· ΠΊΠΎΡΠΎΡΡΡ Π²ΡΡ ΠΎΠ΄ΠΈΡ Π½Π°ΡΡΠΆΡ Π³Π½ΠΎΠΉ. ΠΡΠ»Π΅Π΄ΡΡΠ²ΠΈΠ΅ ΠΏΠΎΡΠ²Π»Π΅Π½ΠΈΡ ΡΠ²ΠΈΡΠ° ΡΠ°ΠΊΠΈΠ΅ Π±ΠΎΠ»Π΅Π·Π½ΠΈ, ΠΊΠ°ΠΊ ΠΏΠ΅ΡΠΈΠΎΠ΄ΠΎΠ½ΡΠΈΡ ΠΈ ΠΏΠ΅ΡΠΈΠΎΡΡΠΈΡ, ΠΌΠΎΠ³ΡΡ ΠΏΠ΅ΡΠ΅ΡΠ°ΡΡΠΈ Π² Ρ ΡΠΎΠ½ΠΈΡΠ΅ΡΠΊΠΎΠ΅ Π·Π°Π±ΠΎΠ»Π΅Π²Π°Π½ΠΈΠ΅. ΠΡΠΎ ΡΠ²ΡΠ·Π°Π½ΠΎ Ρ ΡΠ΅ΠΌ, ΡΡΠΎ ΠΏΠΎΡΠ»Π΅ Π²ΡΠ²Π΅Π΄Π΅Π½ΠΈΡ Π³Π½ΠΎΡ, Π²ΠΎΡΠΏΠ°Π»Π΅Π½ΠΈΠ΅ Π²ΡΠ΅ ΡΠ°Π²Π½ΠΎ ΠΎΡΡΠ°Π΅ΡΡΡ ΠΈ Π½Π΅ ΠΏΡΠΎΡ ΠΎΠ΄ΠΈΡ.

Π‘Π²ΠΈΡ Π½Π° Π΄Π΅ΡΠ½Π΅
ΠΠΎΡΠΏΠ°Π»Π΅Π½ΠΈΠ΅ Π΄Π΅ΡΠ΅Π½:
- ΠΠΈΠ½Π³ΠΈΠ²ΠΈΡ β ΠΏΠΎΡΠ²Π»ΡΠ΅ΡΡΡ ΠΈΠ·-Π·Π° ΠΏΠ»ΠΎΡ ΠΎΠΉ Π³ΠΈΠ³ΠΈΠ΅Π½Ρ ΠΏΠΎΠ»ΠΎΡΡΠΈ ΡΡΠ°. ΠΡΠΎ ΠΏΠ΅ΡΠ²Π°Ρ ΡΡΠ°Π΄ΠΈΡ Π²ΠΎΡΠΏΠ°Π»Π΅Π½ΠΈΡ. Π‘ΠΈΠΌΠΏΡΠΎΠΌΠ°ΠΌΠΈ ΡΠ²Π»ΡΡΡΡΡ ΠΊΡΠΎΠ²ΠΎΡΠ΅ΡΠ΅Π½ΠΈΠ΅ ΠΈ ΠΎΡΠ΅ΠΊΠ°Π½ΠΈΠ΅ Π΄Π΅ΡΠ΅Π½, ΠΎΠ±ΡΠ°Π·ΠΎΠ²Π°Π½ΠΈΠ΅ ΡΠΈΡΠ΅ΠΊ ΠΊΡΠ°ΡΠ½ΠΎΠ³ΠΎ ΡΠ²Π΅ΡΠ°.
- ΠΠ°ΡΠΎΠ΄ΠΎΠ½ΡΠΈΡ β ΡΠ»Π΅Π΄ΡΡΡΠ°Ρ ΡΡΠ°Π΄ΠΈΡ Π²ΠΎΡΠΏΠ°Π»Π΅Π½ΠΈΡ, ΠΊΠΎΡΠΎΡΠ°Ρ Π½Π°ΡΡΡΠΏΠ°Π΅Ρ, Π΅ΡΠ»ΠΈ Π½Π΅ Π»Π΅ΡΠΈΡΡ Π³ΠΈΠ½Π³ΠΈΠ²ΠΈΡ. ΠΠ΅ΠΆΠ΄Ρ Π·ΡΠ±ΠΎΠΌ ΠΈ Π΄Π΅ΡΠ½ΠΎΠΉ ΠΎΠ±ΡΠ°Π·ΠΎΠ²ΡΠ²Π°Π΅ΡΡΡ ΠΊΠ°ΡΠΌΠ°Π½, Π² ΠΊΠΎΡΠΎΡΠΎΠΌ ΡΠΊΠ°ΠΏΠ»ΠΈΠ²Π°ΡΡΡΡ Π³Π½ΠΎΠΉΠ½ΡΠ΅ Π²ΡΠ΄Π΅Π»Π΅Π½ΠΈΡ. ΠΡ ΡΡΠΎΠ³ΠΎ Π΄Π΅ΡΠ½Π° ΡΠΈΠ»ΡΠ½ΠΎ Π½Π°ΠΏΡΡ Π°Π΅Ρ.
Π€ΠΈΠ·ΠΈΡΠ΅ΡΠΊΠΎΠ΅ Π²ΠΎΠ·Π΄Π΅ΠΉΡΡΠ²ΠΈΠ΅:
- ΠΠΏΡΠ»ΠΈΡ β Π²ΡΠ·Π²Π°Π½Π½ΡΠΉ ΠΏΠΎΡΡΠΎΡΠ½Π½ΡΠΌ ΠΌΠ΅Ρ Π°Π½ΠΈΡΠ΅ΡΠΊΠΈΠΌ Π²ΠΎΠ·Π΄Π΅ΠΉΡΡΠ²ΠΈΠ΅ΠΌ Π½Π° Π΄Π΅ΡΠ½Ρ: ΠΎΡΠΊΠΎΠ»ΠΊΠΎΠΌ ΠΏΠΎΠ»ΠΎΠΌΠ°Π½Π½ΠΎΠ³ΠΎ Π·ΡΠ±Π°, Π½Π΅ΠΏΡΠ°Π²ΠΈΠ»ΡΠ½ΠΎ ΡΡΡΠ°Π½ΠΎΠ²Π»Π΅Π½Π½ΠΎΠΉ ΠΏΠ»ΠΎΠΌΠ±ΠΎΠΉ ΠΈΠ»ΠΈ ΠΏΡΠΎΡΠ΅Π·ΠΎΠΌ. ΠΠ½Π΅ΡΠ½Π΅ ΡΠΏΡΠ»ΠΈΡ Π²ΡΠ³Π»ΡΠ΄ΠΈΡ, ΠΊΠ°ΠΊ Π½Π΅Π±ΠΎΠ»ΡΡΠΎΠΉ ΠΎΡΠ΅ΠΊ ΡΠ°ΠΊΠΎΠ³ΠΎ ΠΆΠ΅ ΡΠ²Π΅ΡΠ°, ΠΊΠ°ΠΊ ΠΈ Π΄Π΅ΡΠ½Π°. ΠΠΎ Π² ΡΠ΅Π΄ΠΊΠΈΡ ΡΠ»ΡΡΠ°ΡΡ ΡΡΠΎ ΠΎΠ±ΡΠ°Π·ΠΎΠ²Π°Π½ΠΈΠ΅ ΠΌΠΎΠΆΠ΅Ρ ΡΠΈΠ»ΡΠ½ΠΎ ΠΎΠΏΡΡ Π°ΡΡ, ΡΠΈΠ½Π΅ΡΡ ΠΈ Π΄ΠΎΡΡΠΈΠ³Π°ΡΡ ΡΡΠ΅Ρ ΡΠ°Π½ΡΠΈΠΌΠ΅ΡΡΠΎΠ² Π² Π΄ΠΈΠ°ΠΌΠ΅ΡΡΠ΅.
- ΠΠ΅ΠΌΠ°ΡΠΎΠΌΠ° β ΠΌΠΎΠΆΠ΅Ρ Π²ΠΎΠ·Π½ΠΈΠΊΠ½ΡΡΡ, Π΅ΡΠ»ΠΈ ΡΠ΄Π°Π»ΠΈΡΡ Π·ΡΠ±. ΠΠ±ΡΡΠ½ΠΎ ΠΎΠ½Π° Π½Π΅ Π²ΡΠ·ΡΠ²Π°Π΅Ρ Π½ΠΈΠΊΠ°ΠΊΠΈΡ ΠΏΡΠΎΠ±Π»Π΅ΠΌ ΠΈ Π½Π΅ ΡΠΎΠΏΡΠΎΠ²ΠΎΠΆΠ΄Π°Π΅ΡΡΡ Π±ΠΎΠ»ΡΡ ΠΈ Π΄ΠΈΡΠΊΠΎΠΌΡΠΎΡΡΠΎΠΌ. ΠΠ΅ΠΌΠ°ΡΠΎΠΌΠ° Π½Π΅ ΡΡΠ΅Π±ΡΠ΅Ρ Π»Π΅ΡΠ΅Π½ΠΈΡ, ΡΠ΅ΡΠ΅Π· Π²ΡΠ΅ΠΌΡ ΡΠΈΡΠΊΠ° ΠΏΡΠΎΡ ΠΎΠ΄ΠΈΡ ΡΠ°ΠΌΠ°.
ΠΠΎΡΠ²Π»Π΅Π½ΠΈΠ΅ Π½ΠΎΠ²ΡΡ Π·ΡΠ±ΠΎΠ²:
- Π¨ΠΈΡΠΊΠ° Π±Π΅Π»ΠΎΠ²Π°ΡΠΎΠ³ΠΎ ΡΠ²Π΅ΡΠ° β Π΅ΡΠ»ΠΈ Ρ ΠΌΠ»Π°Π΄Π΅Π½ΡΠ° ΠΏΠΎΡΠ²Π»ΡΠ΅ΡΡΡ Π±Π΅Π»ΠΎΠ΅ ΠΏΡΡΠ½ΠΎ, ΡΡΠΎ ΡΠ²ΠΈΠ΄Π΅ΡΠ΅Π»ΡΡΡΠ²ΡΠ΅Ρ ΠΎ ΡΠΊΠΎΡΠΎΠΌ ΠΏΠΎΡΠ²Π»Π΅Π½ΠΈΠΈ ΠΏΠ΅ΡΠ²ΡΡ Π·ΡΠ±ΠΈΠΊΠΎΠ². Π ΡΠ΅ΡΠ΅Π½ΠΈΠ΅ ΡΡΠ΅Ρ Π΄Π½Π΅ΠΉ Π²Ρ ΠΈΡ ΡΠΆΠ΅ ΡΠ²ΠΈΠ΄ΠΈΡΠ΅.
- Π¨ΠΈΡΠΊΠ° Π½Π°Π΄ ΠΌΠΎΠ»ΠΎΡΠ½ΡΠΌ Π·ΡΠ±ΠΎΠΌ β Π΅ΡΠ»ΠΈ ΠΏΠ΅ΡΠ²ΡΠ΅ Π·ΡΠ±Ρ Ρ ΡΠ΅Π±Π΅Π½ΠΊΠ° Π½Π΅ Π²ΡΠΏΠ°Π΄Π°ΡΡ Π² Π½ΡΠΆΠ½ΠΎΠ΅ Π²ΡΠ΅ΠΌΡ, ΡΠΎ ΡΡΠ΄ΠΎΠΌ Ρ Π½ΠΈΠΌΠΈ Π½Π° Π΄Π΅ΡΠ½Π΅ ΠΌΠΎΠΆΠ΅Ρ ΠΎΠ±ΡΠ°Π·ΠΎΠ²Π°ΡΡΡΡ ΡΠΈΡΠΊΠ°. Π’Π°ΠΊΠΈΠΌ ΠΎΠ±ΡΠ°Π·ΠΎΠΌ ΠΏΡΡΠ°ΡΡΡΡ ΠΏΡΠΎΡΠ΅Π·Π°ΡΡΡΡ ΠΊΠΎΡΠ΅Π½Π½ΡΠ΅ Π·ΡΠ±Ρ. Π ΡΡΠΎΠΌ ΡΠ»ΡΡΠ°Π΅ ΡΡΠΎΡΠ½ΠΎ Π½ΡΠΆΠ½ΠΎ ΠΎΠ±ΡΠ°ΡΠΈΡΡΡΡ ΠΊ Π²Π°ΡΠ΅ΠΌΡ Π»Π΅ΡΠ°ΡΠ΅ΠΌΡ Π²ΡΠ°ΡΡ ΠΈΠ»ΠΈ ΠΊ ΡΠΏΠ΅ΡΠΈΠ°Π»ΠΈΡΡΡ Π² ΠΎΠ±Π»Π°ΡΡΠΈ ΠΎΡΡΠΎΠ΄ΠΎΠ½ΡΠΈΠΈ. ΠΠ½Π°ΡΠ΅ Ρ ΡΠ΅Π±Π΅Π½ΠΊΠ° ΠΌΠΎΠ³ΡΡ ΠΈΡΠΊΡΠΈΠ²ΠΈΡΡΡΡ Π·ΡΠ±Ρ ΠΈΠ»ΠΈ ΡΡΠΎΡΠΌΠΈΡΠΎΠ²Π°ΡΡΡΡ Π½Π΅ΠΏΡΠ°Π²ΠΈΠ»ΡΠ½ΡΠΉ ΠΏΡΠΈΠΊΡΡ.

ΠΡΠΎΡΠ΅Π·ΡΠ²Π°Π½ΠΈΠ΅ Π·ΡΠ±ΠΎΠ² Ρ ΡΠ΅Π±Π΅Π½ΠΊΠ°
ΠΡΠ»ΠΈ Ρ Π²Π°Ρ ΠΏΠΎΡΠ²ΠΈΠ»Π°ΡΡ ΡΠΈΡΠΊΠ° Ρ Π³Π½ΠΎΠ΅ΠΌ Π½Π° Π΄Π΅ΡΠ½Π΅, ΠΈ Π²Ρ Π½Π΅ Π·Π½Π°Π΅ΡΠ΅ ΡΡΠΎ Π΄Π΅Π»Π°ΡΡ ΠΈ ΠΏΠΎ ΠΊΠ°ΠΊΠΎΠΉ ΠΏΡΠΈΡΠΈΠ½Π΅ ΠΎΠ½Π° ΠΎΠ±ΡΠ°Π·ΠΎΠ²Π°Π»Π°ΡΡ, ΡΠΎ ΡΠ΅ΡΠ°ΡΡ ΡΠ°ΠΌΠΎΡΡΠΎΡΡΠ΅Π»ΡΠ½ΠΎ ΠΏΡΠΎΠ±Π»Π΅ΠΌΡ Π½Π΅ ΡΡΠΎΠΈΡ. ΠΡΠΆΠ½ΠΎ ΠΏΠΎΡΠΏΠ΅ΡΠΈΡΡ Π½Π°Π²Π΅ΡΡΠΈΡΡ ΡΡΠΎΠΌΠ°ΡΠΎΠ»ΠΎΠ³Π°, ΠΊΠΎΡΠΎΡΡΠΉ Π²ΡΡΡΠ½ΠΈΡ ΠΈΡΡΠΎΡΠ½ΠΈΠΊ Π·Π°Π±ΠΎΠ»Π΅Π²Π°Π½ΠΈΡ ΠΈ Π½Π°Π·Π½Π°ΡΠΈΡ ΠΊΡΡΡ Π»Π΅ΡΠ΅Π½ΠΈΡ.
ΠΠ΅ΡΠ΅Π½ΠΈΠ΅ Π³Π½ΠΎΠΉΠ½ΠΈΠΊΠ°
Π’ΠΎ, ΠΊΠ°ΠΊ Π±ΡΠ΄Π΅Ρ ΠΏΡΠΎΡ ΠΎΠ΄ΠΈΡΡ Π»Π΅ΡΠ΅Π½ΠΈΠ΅ Π³Π½ΠΎΠΉΠ½ΠΎΠΉ ΡΠΈΡΠΊΠΈ, Π·Π°Π²ΠΈΡΠΈΡ ΠΎΡ ΠΏΡΠΈΡΠΈΠ½ Π΅Π΅ ΠΏΠΎΡΠ²Π»Π΅Π½ΠΈΡ. Π’ΠΎΠ»ΡΠΊΠΎ Π²ΡΠ°Ρ ΡΠΌΠΎΠΆΠ΅Ρ Π΄ΠΈΠ°Π³Π½ΠΎΡΡΠΈΡΠΎΠ²Π°ΡΡ Π·Π°Π±ΠΎΠ»Π΅Π²Π°Π½ΠΈΠ΅ ΠΈ Π²ΡΠ»Π΅ΡΠΈΡΡ Π²Π°Ρ. ΠΠ±ΡΡΠ½ΠΎ ΠΏΡΠΎΡΠ΅Π΄ΡΡΠ° Π΄ΠΈΠ°Π³Π½ΠΎΡΡΠΈΠΊΠΈ ΠΏΡΠΎΡ ΠΎΠ΄ΠΈΡ ΡΠ°ΠΊ: ΡΡΠΎΠΌΠ°ΡΠΎΠ»ΠΎΠ³ ΠΎΡΠΌΠ°ΡΡΠΈΠ²Π°Π΅Ρ Π±ΠΎΠ»ΡΠ½ΠΎΠΉ ΡΡΠ°ΡΡΠΎΠΊ, Π΅ΡΠ»ΠΈ ΡΡΠ΅Π±ΡΠ΅ΡΡΡ, Π½Π°ΠΏΡΠ°Π²Π»ΡΠ΅Ρ Π½Π° ΡΠ΅Π½ΡΠ³Π΅Π½ ΠΈΠ»ΠΈ Π΄Π΅Π»Π°Π΅Ρ ΠΊΠΎΠΌΠΏΡΡΡΠ΅ΡΠ½ΡΡ Π΄ΠΈΠ°Π³Π½ΠΎΡΡΠΈΠΊΡ.
Π‘ΡΠΎΠΌΠ°ΡΠΎΠ»ΠΎΠ³ΠΈΡΠ΅ΡΠΊΠΈΠ΅ ΠΌΠ΅ΡΠΎΠ΄Ρ Π»Π΅ΡΠ΅Π½ΠΈΡ:
- Π‘ΠΏΠ΅ΡΠΈΠ°Π»ΠΈΡΡ ΡΠ°Π·ΡΠ΅Π·Π°Π΅Ρ ΡΠΊΠ°Π»ΡΠΏΠ΅Π»Π΅ΠΌ Π³Π½ΠΎΠΉΠ½ΡΡ ΡΠΈΡΠΊΡ ΠΈ ΡΠ΄Π°Π»ΡΠ΅Ρ Π³Π½ΠΎΠΉ, ΡΡΠΎΠ±Ρ ΠΈΠ½ΡΠ΅ΠΊΡΠΈΡ Π½Π΅ ΡΠ°ΡΠΏΡΠΎΡΡΡΠ°Π½ΠΈΠ»Π°ΡΡ ΠΏΠΎ Π²ΡΠ΅ΠΌΡ ΡΡΡ.
- ΠΡΠ»ΠΈ Π³Π½ΠΎΠΉΠ½ΠΈΠΊ ΠΎΠ±ΡΠ°Π·ΠΎΠ²Π°Π»ΡΡ Π²ΡΠ»Π΅Π΄ΡΡΠ²ΠΈΠ΅ ΠΊΠΈΡΡΡ Π·ΡΠ±Π° ΠΈΠ»ΠΈ ΡΠ°Π·ΡΡΡΠ΅Π½ΠΈΡ Π΅Π³ΠΎ ΠΊΠΎΡΠ½Ρ, ΡΠΎ Π·ΡΠ± Π½Π΅ΠΎΠ±Ρ ΠΎΠ΄ΠΈΠΌΠΎ Π±ΡΠ΄Π΅Ρ ΡΠ΄Π°Π»ΠΈΡΡ.
- ΠΡΠ»ΠΈ Π³Π½ΠΎΠΉΠ½ΠΎΠ΅ ΠΎΠ±ΡΠ°Π·ΠΎΠ²Π°Π½ΠΈΠ΅ ΠΏΠΎΡΠ²ΠΈΠ»ΠΎΡΡ ΠΏΠΎΡΠ»Π΅ ΡΠΎΠ³ΠΎ, ΠΊΠ°ΠΊ Π²ΡΡΠ²Π°Π»ΠΈ Π·ΡΠ±, ΡΠΎ Π²ΡΠ°Ρ ΠΎΠ±ΡΠ°Π±ΠΎΡΠ°Π΅Ρ ΠΏΠΎΡΠ°ΠΆΠ΅Π½Π½ΡΠΉ ΡΡΠ°ΡΡΠΎΠΊ ΠΌΠ΅Π΄ΠΈΠΊΠ°ΠΌΠ΅Π½ΡΠ°ΠΌΠΈ ΠΈ Π²ΡΡΡΠ½ΠΈΡ ΠΏΡΠΈΡΠΈΠ½Ρ ΠΏΠΎΡΠ²Π»Π΅Π½ΠΈΡ ΡΠΈΡΠΊΠΈ, ΠΏΠΎΡΠ»Π΅ ΡΠ΅Π³ΠΎ Π½Π°Π·Π½Π°ΡΠΈΡ ΠΊΡΡΡ Π»Π΅ΡΠ΅Π½ΠΈΡ, Π²ΡΠΏΠΈΡΠ΅Ρ Π»Π΅ΠΊΠ°ΡΡΡΠ²Π΅Π½Π½ΡΠ΅ ΠΏΡΠ΅ΠΏΠ°ΡΠ°ΡΡ Π΄Π»Ρ ΡΠΊΠΎΡΠ΅ΠΉΡΠ΅Π³ΠΎ Π²ΡΠ·Π΄ΠΎΡΠΎΠ²Π»Π΅Π½ΠΈΡ.
ΠΠΎΠΌΠ½ΠΈΡΠ΅, ΡΠ΅ΠΌ ΡΠ°Π½ΡΡΠ΅ Π²Ρ ΠΎΠ±ΡΠ°ΡΠΈΡΠ΅ΡΡ ΠΊ ΡΠΏΠ΅ΡΠΈΠ°Π»ΠΈΡΡΡ Π·Π° ΠΏΠΎΠΌΠΎΡΡΡ, Π²ΠΌΠ΅ΡΡΠΎ ΡΠΎΠ³ΠΎ, ΡΡΠΎΠ±Ρ Π»Π΅ΡΠΈΡΡΡΡ ΡΠ°ΠΌΠΎΡΡΠΎΡΡΠ΅Π»ΡΠ½ΠΎ Π½Π°ΡΠΎΠ΄Π½ΡΠΌΠΈ ΠΌΠ΅ΡΠΎΠ΄Π°ΠΌΠΈ, ΡΠ΅ΠΌ Π±ΠΎΠ»ΡΡΠ΅ Ρ Π²Π°Ρ ΡΠ°Π½ΡΠΎΠ², ΡΡΠΎ Π·Π°Π±ΠΎΠ»Π΅Π²Π°Π½ΠΈΠ΅ Π½Π΅ Π΄Π°ΡΡ Π½ΠΈΠΊΠ°ΠΊΠΈΡ ΠΎΡΠ»ΠΎΠΆΠ½Π΅Π½ΠΈΠΉ, ΠΈ Π²Π°ΡΠΈ Π·ΡΠ±Ρ ΠΈ Π΄Π΅ΡΠ½Ρ Π½Π΅ Π±ΡΠ΄ΡΡ ΠΏΠΎΠ²ΡΠ΅ΠΆΠ΄Π΅Π½Ρ.
ΠΠ΅ΡΠ΅Π½ΠΈΠ΅ ΠΏΡΠΈ ΠΎΠ±ΡΠ°Π·ΠΎΠ²Π°Π½ΠΈΠΈ ΡΠ²ΠΈΡΠ°
Π§ΡΠΎΠ±Ρ ΠΏΠΎΠ½ΡΡΡ, ΡΠ²Π»ΡΠ΅ΡΡΡ Π»ΠΈ ΠΏΠΎΡΠ²Π»Π΅Π½ΠΈΠ΅ ΡΠ²ΠΈΡΠ° ΠΏΡΠΈΡΠΈΠ½ΠΎΠΉ ΠΎΠ±ΡΠ°Π·ΠΎΠ²Π°Π½ΠΈΡ Π³Π½ΠΎΠΉΠ½ΠΈΠΊΠ°, Π½Π΅ΠΎΠ±Ρ ΠΎΠ΄ΠΈΠΌΠΎ ΡΠ΄Π΅Π»Π°ΡΡ ΡΠ΅Π½ΡΠ³Π΅Π½ΠΎΠ²ΡΠΊΠΈΠΉ ΡΠ½ΠΈΠΌΠΎΠΊ. ΠΠ° ΠΎΡΠ½ΠΎΠ²Π΅ ΡΠ΅Π½ΡΠ³Π΅Π½Π° Π²ΡΠ°Ρ ΡΠ΅ΡΠΈΡ, ΡΡΠΎΠΈΡ Π»ΠΈ Π²Π°ΠΌ ΡΠ΄Π°Π»ΡΡΡ Π·ΡΠ±, ΠΈΠ»ΠΈ ΠΌΠΎΠΆΠ½ΠΎ ΡΡΠΎΠ³ΠΎ ΠΈΠ·Π±Π΅ΠΆΠ°ΡΡ. ΠΠ»Ρ ΡΠΎΠ³ΠΎ ΡΡΠΎΠ±Ρ ΠΈΠ·Π±Π°Π²ΠΈΡΡΡΡ ΠΎΡ ΡΠ²ΠΈΡΠ°, Π½ΡΠΆΠ½ΠΎ Π²ΡΠΏΠΎΠ»Π½ΠΈΡΡ ΡΠ»Π΅Π΄ΡΡΡΠΈΠ΅ Π΄Π΅ΠΉΡΡΠ²ΠΈΡ:
- ΠΠ²Π°ΠΆΠ΄Ρ Π² Π΄Π΅Π½Ρ ΠΏΠΎΠ»ΠΎΡΠΊΠ°ΡΡ ΡΠΎΡΠΎΠ²ΡΡ ΠΏΠΎΠ»ΠΎΡΡΡ ΡΠΎΠ»Π΅Π²ΡΠΌ ΡΠ°ΡΡΠ²ΠΎΡΠΎΠΌ β ΡΡΠΎ ΠΏΠΎΠΌΠΎΠΆΠ΅Ρ ΡΠΌΠ΅Π½ΡΡΠΈΡΡ Π²ΠΎΡΠΏΠ°Π»ΠΈΡΠ΅Π»ΡΠ½ΡΠ΅ ΠΏΡΠΎΡΠ΅ΡΡΡ ΠΈ Π²ΡΠ²Π΅ΡΡΠΈ Π³Π½ΠΎΠΉΠ½ΠΎΠ΅ Π½Π°ΠΊΠΎΠΏΠ»Π΅Π½ΠΈΠ΅.
- Π‘ΠΏΠ΅ΡΠΈΠ°Π»ΠΈΡΡ ΠΎΡΠΈΡΡΠΈΡ Π²ΡΠ΅ ΠΊΠ°Π½Π°Π»Ρ Π²ΠΎ ΡΡΡ ΠΈ ΠΎΠ±ΡΠ°Π±ΠΎΡΠ°Π΅Ρ ΠΈΡ ΡΠΏΠ΅ΡΠΈΠ°Π»ΡΠ½ΡΠΌΠΈ ΠΏΡΠ΅ΠΏΠ°ΡΠ°ΡΠ°ΠΌΠΈ, ΠΊΠΎΡΠΎΡΡΠ΅ Π½Π΅ Π΄Π°ΡΡ ΡΠ°Π·Π²ΠΈΠ²Π°ΡΡΡΡ ΠΈΠ½ΡΠ΅ΠΊΡΠΈΠΈ.
- Π‘ΡΠΎΠΌΠ°ΡΠΎΠ»ΠΎΠ³ ΠΌΠΎΠΆΠ΅Ρ Π½Π°Π·Π½Π°ΡΠΈΡΡ Π°Π½ΡΠΈΠ±ΠΈΠΎΡΠΈΠΊΠΈ Π΄Π»Ρ ΠΏΡΠ΅Π΄ΠΎΡΠ²ΡΠ°ΡΠ΅Π½ΠΈΡ ΡΠ°Π·ΠΌΠ½ΠΎΠΆΠ΅Π½ΠΈΡ Π±Π°ΠΊΡΠ΅ΡΠΈΠΉ.
- ΠΠΎΡΠ»Π΅ ΡΠΎΠ³ΠΎ ΠΊΠ°ΠΊ Π²ΡΠ΅ Π»ΡΠ½ΠΊΠΈ Π² Π·ΡΠ±Π°Ρ Π±ΡΠ»ΠΈ ΠΎΡΠΈΡΠ΅Π½Ρ ΠΈ ΠΎΠ±ΡΠ°Π±ΠΎΡΠ°Π½Ρ, Π²ΡΠ°Ρ Π·Π°ΠΏΠ»ΠΎΠΌΠ±ΠΈΡΡΠ΅Ρ ΠΈΡ .

ΠΡΠΊΡΡΡΠΈΠ΅ ΡΠ²ΠΈΡΠ° ΠΈ ΡΠ΄Π°Π»Π΅Π½ΠΈΠ΅ Π³Π½ΠΎΡ
ΠΠΎΡΠ»Π΅ Π²ΡΠ΅Ρ ΡΡΠΈΡ ΠΌΠ΅ΡΠΎΠΏΡΠΈΡΡΠΈΠΉ ΡΠ²ΠΈΡ Π±ΡΡΡΡΠΎ Π·Π°ΠΆΠΈΠ²Π΅Ρ. ΠΡΠ»ΠΈ ΠΆΠ΅ ΠΎΠ½ ΠΏΠΎΡΠ²Π»ΡΠ΅ΡΡΡ ΠΏΠΎΠ²ΡΠΎΡΠ½ΠΎ ΡΡΠ΄ΠΎΠΌ Ρ Π·Π°ΠΏΠ»ΠΎΠΌΠ±ΠΈΡΠΎΠ²Π°Π½Π½ΡΠΌ Π·ΡΠ±ΠΎΠΌ, ΡΠΎ Π²ΡΠ°Ρ Π²ΡΠΊΡΠΎΠ΅Ρ ΠΏΠ»ΠΎΠΌΠ±Ρ ΠΈ ΠΏΡΠΎΠ΄Π΅Π»Π°Π΅Ρ Π²ΡΡ ΠΏΡΠΎΡΠ΅Π΄ΡΡΡ Π·Π°Π½ΠΎΠ²ΠΎ. Π Π·Π°ΡΠ΅ΠΌ ΠΏΠΎΡΡΠ°Π²ΠΈΡ Π½Π° Π·ΡΠ± Π½ΠΎΠ²ΡΠΉ ΠΌΠ°ΡΠ΅ΡΠΈΠ°Π».
ΠΠ΅ΡΠ΅Π½ΠΈΠ΅ ΠΏΡΠΈ ΠΎΠ±ΡΠ°Π·ΠΎΠ²Π°Π½ΠΈΠΈ ΠΊΠΈΡΡΡ
ΠΡΠ»ΠΈ Π½Π° Π΄Π΅ΡΠ½Π΅ ΠΎΠ±ΡΠ°Π·ΠΎΠ²Π°Π»Π°ΡΡ ΠΊΠΈΡΡΠ°, ΡΠΎ ΠΈΠ·Π±Π°Π²ΠΈΡΡΡΡ ΠΎΡ Π½Π΅Π΅ ΠΌΠΎΠΆΠ½ΠΎ Π½Π΅ ΡΠΎΠ»ΡΠΊΠΎ Ρ ΠΈΡΡΡΠ³ΠΈΡΠ΅ΡΠΊΠΈΠΌ Π²ΠΌΠ΅ΡΠ°ΡΠ΅Π»ΡΡΡΠ²ΠΎΠΌ, Π½ΠΎ ΠΈ Ρ ΠΏΠΎΠΌΠΎΡΡΡ Π»Π΅ΡΠ΅Π½ΠΈΡ ΡΠΏΠ΅ΡΠΈΠ°Π»ΡΠ½ΡΠΌΠΈ ΠΏΡΠ΅ΠΏΠ°ΡΠ°ΡΠ°ΠΌΠΈ. Π Π±ΠΎΠ»Π΅Π΅ ΡΡΠΆΠ΅Π»ΡΡ ΡΠ»ΡΡΠ°ΡΡ Π²ΡΠ°Ρ ΠΌΠΎΠΆΠ΅Ρ ΠΏΡΠΈΠ±Π΅Π³Π½ΡΡΡ ΠΊ ΠΏΠΎΠ²Π΅ΡΡ Π½ΠΎΡΡΠ½ΠΎΠΉ Ρ ΠΈΡΡΡΠ³ΠΈΠΈ. Π Π΄Π°Π½Π½ΠΎΠΌ ΡΠ»ΡΡΠ°Π΅ Π΄Π΅Π»Π°Π΅ΡΡΡ ΠΌΠ΅ΡΡΠ½ΡΠΉ Π½Π°ΡΠΊΠΎΠ·, ΡΠΊΠ°Π»ΡΠΏΠ΅Π»Π΅ΠΌ ΡΠ°Π·ΡΠ΅Π·Π°Π΅ΡΡΡ ΠΊΠΈΡΡΠ° ΠΈ ΠΎΡΠΈΡΠ°Π΅ΡΡΡ ΠΎΡ Π³Π½ΠΎΠΉΠ½ΠΎΠ³ΠΎ Π½Π°ΠΊΠΎΠΏΠ»Π΅Π½ΠΈΡ. ΠΡΠΈ Π±ΠΎΠ»ΡΡΠΎΠΌ ΡΠ°Π·ΡΠ΅Π·Π΅ Ρ ΠΈΡΡΡΠ³-ΡΡΠΎΠΌΠ°ΡΠΎΠ»ΠΎΠ³ ΠΌΠΎΠΆΠ΅Ρ Π½Π°Π»ΠΎΠΆΠΈΡΡ ΡΠ²Ρ.

ΠΠΈΡΡΠ° Π½Π° Π΄Π΅ΡΠ½Π΅
ΠΡΠ»ΠΈ ΠΊΠΈΡΡΠ° Π½Π°Ρ ΠΎΠ΄ΠΈΡΡΡ Π² Π·Π°ΠΏΡΡΠ΅Π½Π½ΠΎΠΉ ΡΠΎΡΠΌΠ΅, ΡΠΎ ΠΏΠΎΠ½Π°Π΄ΠΎΠ±ΠΈΡΡΡ ΠΎΠΏΠ΅ΡΠ°ΡΠΈΡ:
- Π§ΡΠΎΠ±Ρ ΠΏΠΎΠ»Π½ΠΎΡΡΡΡ ΡΠ΄Π°Π»ΠΈΡΡ ΠΊΠΈΡΡΡ Π΄Π΅Π»Π°Π΅ΡΡΡ ΡΠΈΡΡΡΠΊΡΠΎΠΌΠΈΡ ΠΈ ΡΠ΄Π°Π»ΡΠ΅ΡΡΡ Π²Π΅ΡΡ Π½ΡΡ ΡΠ°ΡΡΡ ΠΊΠΎΡΠ½Ρ ΠΏΠΎΠ²ΡΠ΅ΠΆΠ΄Π΅Π½Π½ΠΎΠ³ΠΎ Π·ΡΠ±Π°.
- ΠΡΠ»ΠΈ ΡΠ΄Π°Π»Π΅Π½ΠΈΡ ΠΊΠΈΡΡΡ ΠΈ Π·ΡΠ±Π½ΠΎΠ³ΠΎ ΠΊΠΎΡΠ½Ρ Π½Π΅Π΄ΠΎΡΡΠ°ΡΠΎΡΠ½ΠΎ Π΄Π»Ρ Π»Π΅ΡΠ΅Π½ΠΈΡ ΠΏΡΠΎΠ±Π»Π΅ΠΌΡ, ΡΠΎ ΡΠ΄Π°Π»ΡΠ΅ΡΡΡ ΡΠ°ΡΡΡ Π±ΠΎΠ»ΡΠ½ΠΎΠ³ΠΎ Π·ΡΠ±Π°. ΠΡΠ° ΠΏΡΠΎΡΠ΅Π΄ΡΡΠ° Π½Π°Π·ΡΠ²Π°Π΅ΡΡΡ Π³Π΅ΠΌΠΈΡΠ΅ΠΊΡΠΈΠ΅ΠΉ. ΠΠΎΡΠ»Π΅ Π½Π΅Π΅ ΠΏΠΎΠ½Π°Π΄ΠΎΠ±ΠΈΡΡΡ ΡΠ΅ΡΡΠ°Π²ΡΠ°ΡΠΈΡ Π·ΡΠ±Π° ΠΏΡΡΠ΅ΠΌ Π½Π°Π»ΠΎΠΆΠ΅Π½ΠΈΡ ΠΊΠΎΡΠΎΠ½ΠΊΠΈ.
ΠΡΠ»ΠΈ Π²Ρ Π·Π°ΠΌΠ΅ΡΠΈΠ»ΠΈ ΠΏΠ΅ΡΠ²ΡΠ΅ ΠΏΡΠΈΠ·Π½Π°ΠΊΠΈ ΠΎΠ±ΡΠ°Π·ΠΎΠ²Π°Π½ΠΈΡ ΠΊΠΈΡΡΡ, ΡΠΎ ΠΌΠΎΠΆΠ½ΠΎ ΠΎΠ±Π»Π΅Π³ΡΠΈΡΡ ΡΠΎΡΡΠΎΡΠ½ΠΈΠ΅, ΠΈΡΠΏΠΎΠ»ΡΠ·ΡΡ Π½Π°ΡΠΎΠ΄Π½ΡΠ΅ ΠΌΠ΅ΡΠΎΠ΄Ρ Π»Π΅ΡΠ΅Π½ΠΈΡ:
- ΡΠ΄Π΅Π»Π°ΡΡ ΡΠ°ΡΡΠ²ΠΎΡ ΠΈΠ· ΠΊΡΠ½ΠΆΡΡΠ½ΠΎΠ³ΠΎ ΠΌΠ°ΡΠ»Π° ΠΈ ΠΊΠΈΠΏΡΡΠ΅Π½ΠΎΠΉ Π²ΠΎΠ΄Ρ ΠΈ ΠΏΠΎΠ»ΠΎΡΠΊΠ°ΡΡ ΡΠΎΡ 10 ΠΌΠΈΠ½ΡΡ;
- ΠΌΠ°ΡΠ»Ρ ΡΠ»ΠΎΠΆΠΈΡΡ Π² Π½Π΅ΡΠΊΠΎΠ»ΡΠΊΠΎ ΡΠ°Π· ΠΈ ΡΠ»Π΅Π³ΠΊΠ° Π½Π°ΠΌΠΎΡΠΈΡΡ ΠΊΡΠ½ΠΆΡΡΠ½ΡΠΌ ΠΌΠ°ΡΠ»ΠΎΠΌ, ΠΏΡΠΈΠΊΠ»Π°Π΄ΡΠ²Π°ΡΡ ΠΊ Π±ΠΎΠ»ΡΠ½ΠΎΠΌΡ ΡΡΠ°ΡΡΠΊΡ Π½Π΅ΡΠΊΠΎΠ»ΡΠΊΠΎ ΡΠ°Π· Π² Π΄Π΅Π½Ρ;
- ΡΠ΄Π΅Π»Π°ΡΡ ΡΠ°ΡΡΠ²ΠΎΡ Ρ ΠΏΡΠΎΠΏΠΎΠ»ΠΈΡΠΎΠΌ ΠΈ ΡΠ΅ΠΏΠ»ΠΎΠΉ Π²ΠΎΠ΄ΠΎΠΉ ΠΈ ΠΏΠΎΠ»ΠΎΡΠΊΠ°ΡΡ ΡΠΎΡ 10 ΠΌΠΈΠ½ΡΡ.
ΠΠΎ ΡΡΠΎΠΈΡ ΠΏΠΎΠ½ΠΈΠΌΠ°ΡΡ, ΡΡΠΎ ΡΡΠΈ ΠΌΠ΅ΡΠΎΠ΄Ρ Π½Π΅ ΠΏΠΎΠΌΠΎΠ³ΡΡ Π²Π°ΠΌ ΠΏΠΎΠ»Π½ΠΎΡΡΡΡ Π²ΡΠ»Π΅ΡΠΈΡΡ ΠΊΠΈΡΡΡ. Π§ΡΠΎΠ±Ρ ΠΏΠΎΡΠΊΠΎΡΠ΅Π΅ Π²ΡΠ·Π΄ΠΎΡΠΎΠ²Π΅ΡΡ Π½Π΅ΠΎΠ±Ρ ΠΎΠ΄ΠΈΠΌΠΎ ΠΊΠ°ΠΊ ΠΌΠΎΠΆΠ½ΠΎ ΡΠ°Π½ΡΡΠ΅ ΠΎΠ±ΡΠ°ΡΠΈΡΡΡΡ Π·Π° ΠΏΠΎΠΌΠΎΡΡΡ ΠΊ ΡΡΠΎΠΌΠ°ΡΠΎΠ»ΠΎΠ³Ρ.
zubnoimir.ru
ΡΡΠΎ ΡΡΠΎ ΠΈ ΡΡΠΎ Π΄Π΅Π»Π°ΡΡ?
Π¨ΠΈΡΠΊΠ° Π½Π° Π΄Π΅ΡΠ½Π΅ ΠΌΠΎΠΆΠ΅Ρ ΠΏΠΎΡΠ²ΠΈΡΡΡΡ ΠΏΠΎ ΡΠ°Π·Π½ΡΠΌ ΠΏΡΠΈΡΠΈΠ½Π°ΠΌ. Π Π·Π°Π²ΠΈΡΠΈΠΌΠΎΡΡΠΈ ΠΎΡ Π½ΠΈΡ Π±ΡΠ΄Π΅Ρ Π½Π°Π·Π½Π°ΡΠ΅Π½ΠΎ ΠΏΡΠ°Π²ΠΈΠ»ΡΠ½ΠΎΠ΅ Π»Π΅ΡΠ΅Π½ΠΈΠ΅. ΠΠ³Π½ΠΎΡΠΈΡΠΎΠ²Π°ΡΡ ΠΏΠΎΡΠ²Π»Π΅Π½ΠΈΠ΅ ΡΠ°ΠΊΠΎΠ³ΠΎ ΠΎΠ±ΡΠ°Π·ΠΎΠ²Π°Π½ΠΈΡ Π½Π° Π΄Π΅ΡΠ½Π°Ρ Π½Π΅ ΡΡΠΎΠΈΡ β ΡΠ°ΠΊΠΎΠ΅ ΠΏΡΠΎΡΠ²Π»Π΅Π½ΠΈΠ΅ ΠΈΠ½ΠΎΠ³Π΄Π° ΠΌΠΎΠΆΠ΅Ρ ΡΠ²ΠΈΠ΄Π΅ΡΠ΅Π»ΡΡΡΠ²ΠΎΠ²Π°ΡΡ ΠΎ ΡΡΠΆΠ΅Π»ΠΎΠΌ Π·Π°Π±ΠΎΠ»Π΅Π²Π°Π½ΠΈΠΈ.
ΠΠ°ΡΠΎΡΡ ΠΌΠΎΠΆΠ΅Ρ Π±ΡΡΡ Π½Π΅Π±ΠΎΠ»ΡΡΠΈΡ ΡΠ°Π·ΠΌΠ΅ΡΠΎΠ² ΠΈ Π½Π΅ Π²ΡΠ·ΡΠ²Π°ΡΡ Π΄ΠΈΡΠΊΠΎΠΌΡΠΎΡΡΠ° ΠΈ Π±ΠΎΠ»Π΅ΠΉ. ΠΡΠ²Π°ΡΡ ΡΠΈΡΠΊΠΈ Ρ Π±Π΅Π»ΠΎΠΉ ΡΠΎΡΠΊΠΎΠΉ ΠΏΠΎ ΡΠ΅Π½ΡΡΡ, ΠΊΠΎΡΠΎΡΡΠ΅ Π±ΠΎΠ»ΡΡ ΠΈ ΠΎΡ Π½ΠΈΡ ΠΈΡΡ ΠΎΠ΄ΠΈΡ Π½Π΅ΠΏΡΠΈΡΡΠ½ΡΠΉ Π·Π°ΠΏΠ°Ρ . ΠΠΎ ΡΠΎΡΠΌΠ΅ ΠΎΠ½ΠΈ ΠΌΠΎΠ³ΡΡ Π½Π°ΠΏΠΎΠΌΠΈΠ½Π°ΡΡ Π³ΠΎΡΠΎΡΠΈΠ½Ρ ΠΈΠ»ΠΈ Π΄Π°ΠΆΠ΅ Π±ΠΎΠ±ΠΎΠ²ΡΠ΅ Π·Π΅ΡΠ½Π°.
Π¨Π°ΡΠΈΠΊΠΈ ΠΌΠΎΠ³ΡΡ Π±ΡΡΡ ΡΠΏΡΡΠ³ΠΈΠΌΠΈ ΠΈΠ»ΠΈ ΠΌΡΠ³ΠΊΠΈΠΌΠΈ. ΠΡΠ»ΠΈ Π½Π° Π΄Π΅ΡΠ½Π΅ ΠΏΠΎΡΠ²ΠΈΠ»Π°ΡΡ ΡΠΈΡΠΊΠ° Ρ Π³Π½ΠΎΠ΅ΠΌ, ΡΠΎ ΡΠ°ΠΊΠΈΠ΅ Π½Π°ΡΠΎΡΡΡ Π½Π°Π·ΡΠ²Π°ΡΡ Π³Π½ΠΎΠΉΠ½ΠΈΠΊ.
ΠΠΎΡΠ΅ΠΌΡ Π²ΡΡΠ°ΡΡΠ°ΡΡ ΡΠΈΡΠΊΠΈ ΡΠ°ΠΌ, Π³Π΄Π΅ ΠΈΠΌ Π½Π΅ΡΠ²ΠΎΠΉΡΡΠ²Π΅Π½Π½ΠΎ?
ΠΠΎΡΠ²Π»Π΅Π½ΠΈΠ΅ ΡΠΈΡΠΊΠΈ Π½Π° Π΄Π΅ΡΠ½Π΅ ΠΌΠΎΠΆΠ΅Ρ Π±ΡΡΡ ΡΠ²ΡΠ·Π°Π½ΠΎ Ρ Π½Π΅Π΄ΠΎΡΡΠ°ΡΠΎΡΠ½ΠΎΠΉ Π³ΠΈΠ³ΠΈΠ΅Π½ΠΎΠΉ ΡΠΎΡΠΎΠ²ΠΎΠΉ ΠΏΠΎΠ»ΠΎΡΡΠΈ ΠΈΠ»ΠΈ ΠΆΠ΅ Ρ ΠΊΠ°ΠΊΠΈΠΌ-Π»ΠΈΠ±ΠΎ Π·Π°Π±ΠΎΠ»Π΅Π²Π°Π½ΠΈΠ΅ΠΌ:
- Π‘Π°ΠΌΠΎΠΉ ΡΠ°ΡΡΠΎΠΉ ΠΏΡΠΈΡΠΈΠ½ΠΎΠΉ ΡΡΠΎΠ³ΠΎ ΡΠΈΠΌΠΏΡΠΎΠΌΠ° ΡΠ²Π»ΡΠ΅ΡΡΡ Π·ΡΠ±Π½ΠΎΠΉ Π½Π°Π»Π΅Ρ, ΠΊΠΎΡΠΎΡΡΠΉ ΠΎΠ±ΡΡΠ½ΠΎ Π½Π΅ ΡΠΎΠ»ΡΠΊΠΎ Π²ΡΠ·ΡΠ²Π°Π΅Ρ ΠΊΠ°ΡΠΈΠ΅Ρ Π½Π° Π·ΡΠ±Π°Ρ , Π½ΠΎ ΠΈ ΡΠ°ΡΠΏΡΠΎΡΡΡΠ°Π½ΡΠ΅Ρ ΠΈΠ½ΡΠ΅ΠΊΡΠΈΡ Π² Π΄Π΅ΡΠ½Π°Ρ . ΠΡΠΎΡΠ΅ΡΡ ΠΈΠ½ΡΠΈΡΠΈΡΠΎΠ²Π°Π½ΠΈΡ ΠΏΡΠΈΠ²ΠΎΠ΄ΠΈΡ ΠΊ Π²ΠΎΡΠΏΠ°Π»Π΅Π½ΠΈΡ Π΄Π΅ΡΠ΅Π½.
- ΠΠ΅ΠΏΡΠ°Π²ΠΈΠ»ΡΠ½ΠΎΠ΅ Π»Π΅ΡΠ΅Π½ΠΈΠ΅ ΠΊΠ°ΡΠΈΠ΅ΡΠ° ΠΌΠΎΠΆΠ΅Ρ Π΄Π°ΡΡ ΠΎΡΠ»ΠΎΠΆΠ½Π΅Π½ΠΈΠ΅, Π² ΡΠ΅Π·ΡΠ»ΡΡΠ°ΡΠ΅ ΡΠ΅Π³ΠΎ ΠΏΠΎΡΠ²ΠΈΡΡΡ Π²ΠΎΡΠΏΠ°Π»ΠΈΡΠ΅Π»ΡΠ½ΡΠΉ ΠΏΡΠΎΡΠ΅ΡΡ Π½Π° Π΄Π΅ΡΠ½Π΅.
- Π₯ΡΠΎΠ½ΠΈΡΠ΅ΡΠΊΠΈΠΉ ΠΏΠ΅ΡΠΈΠΎΠ΄ΠΎΠ½ΡΠΈΡ Π²Π΅Π΄Π΅Ρ Π·Π° ΡΠΎΠ±ΠΎΠΉ ΠΏΠ΅ΡΠΈΠΎΠ΄ΠΈΡΠ΅ΡΠΊΠΎΠ΅ ΠΎΠ±ΠΎΡΡΡΠ΅Π½ΠΈΠ΅, ΠΊΠΎΡΠΎΡΠΎΠ΅ Π²ΡΠ·ΡΠ²Π°Π΅Ρ ΠΏΠΎΡΠ²Π»Π΅Π½ΠΈΠ΅ Π½Π°ΡΠΎΡΡΠΎΠ² Π½Π° Π΄Π΅ΡΠ½Π°Ρ .
- ΠΡΡΠ°Π²Π½ΡΠ΅ Π·ΡΠ±Ρ ΠΈΠ»ΠΈ ΠΏΡΠΎΡΠ΅Π·Ρ ΡΠ΅ΡΠ΅Π· Π½Π΅Π±ΠΎΠ»ΡΡΠΎΠΉ ΠΏΡΠΎΠΌΠ΅ΠΆΡΡΠΎΠΊ Π²ΡΠ΅ΠΌΠ΅Π½ΠΈ ΠΏΠΎΡΠ»Π΅ ΡΡΡΠ°Π½ΠΎΠ²ΠΊΠΈ ΠΌΠΎΠ³ΡΡ Π΄Π°Π²Π°ΡΡ ΡΠ°ΠΊΠΎΠΉ ΡΠΈΠΌΠΏΡΠΎΠΌ. ΠΠΎΡΠΏΠ°Π»ΠΈΡΠ΅Π»ΡΠ½ΡΠΉ ΠΏΡΠΎΡΠ΅ΡΡ Π² Π΄Π΅ΡΠ½Π΅ Π²ΠΎΠ·Π½ΠΈΠΊΠ°Π΅Ρ ΠΈΠ·-Π·Π° ΠΏΠ»ΠΎΡ ΠΎΠΉ Π°Π½ΡΠΈΡΠ΅ΠΏΡΠΈΡΠ΅ΡΠΊΠΎΠΉ ΠΎΠ±ΡΠ°Π±ΠΎΡΠΊΠΈ ΠΈΠ½ΡΡΡΡΠΌΠ΅Π½ΡΠΎΠ² ΠΈΠ»ΠΈ ΡΠΎΡΠΎΠ²ΠΎΠΉ ΠΏΠΎΠ»ΠΎΡΡΠΈ Π²ΠΎ Π²ΡΠ΅ΠΌΡ Π»Π΅ΡΠ΅Π±Π½ΠΎΠ³ΠΎ ΠΏΡΠΎΡΠ΅ΡΡΠ°.
- ΠΠ°ΡΠΈΠ½Π°ΡΡΠ΅ΠΉΡΡ ΡΠ»ΡΡ ΠΏΡΠΎΡΠ²Π»ΡΠ΅ΡΡΡ ΠΏΠΎΡΠ²Π»Π΅Π½ΠΈΠ΅ΠΌ Π½Π΅Π±ΠΎΠ»ΡΡΠΎΠΉ ΡΠΈΡΠΊΠΈ Π½Π° Π΄Π΅ΡΠ½Π΅ Π²ΠΎΠ·Π»Π΅ Π·ΡΠ±Π°, ΠΊΠΎΡΠΎΡΠ°Ρ ΠΎΡΠ΅Π½Ρ Π±ΡΡΡΡΠΎ ΡΠ°ΡΡΠ΅Ρ ΠΈ Π²ΠΎΡΠΏΠ°Π»ΡΠ΅ΡΡΡ.
- ΠΠΈΡΡΠ° Π½Π° Π΄Π΅ΡΠ½Π΅ ΠΏΡΠΎΡΠ²Π»ΡΠ΅ΡΡΡ ΡΠ°ΠΊΠΈΠΌ ΡΠΈΠΌΠΏΡΠΎΠΌΠΎΠΌ.
- Π‘Π²ΠΈΡ β ΡΠ°ΡΡΠ°Ρ ΠΏΡΠΈΡΠΈΠ½Π° ΠΏΠΎΡΠ²Π»Π΅Π½ΠΈΡ Π½Π°ΡΠΎΡΡΠΎΠ². ΠΠ½ΠΎΠΉΠ½ΠΎΠ΅ ΠΎΠ±ΡΠ°Π·ΠΎΠ²Π°Π½ΠΈΠ΅ Π² Π΄Π΅ΡΠ½Π΅ ΠΈΡΠ΅Ρ Π²ΡΡ ΠΎΠ΄ Π½Π°ΡΡΠΆΡ ΠΈ ΡΠΎΡΠΌΠΈΡΡΠ΅ΡΡΡ ΡΠΈΡΠΊΠ°. Π Π½Π΅ΠΉ ΠΏΠΎ ΡΠ΅Π½ΡΡΡ ΠΎΠ±ΡΠ°Π·ΡΠ΅ΡΡΡ ΡΠ²ΠΈΡ, ΡΠ΅ΡΠ΅Π· ΠΊΠΎΡΠΎΡΡΠΉ Π³Π½ΠΎΠΉ Π²ΡΡ ΠΎΠ΄ΠΈΡ Π½Π°ΡΡΠΆΡ.
- Π‘Π»Π΅Π΄ΡΡΠ²ΠΈΠ΅ ΡΡΠ°Π²ΠΌΡ. Π’Π°ΠΊΠΎΠΉ ΡΠΈΠΌΠΏΡΠΎΠΌ ΠΏΡΠΎΡ ΠΎΠ΄ΠΈΡ ΡΠΎ Π²ΡΠ΅ΠΌΠ΅Π½Π΅ΠΌ ΡΠ°ΠΌΠΎΡΡΠΎΡΡΠ΅Π»ΡΠ½ΠΎ.
- ΠΠ½ΠΊΠΎΠ»ΠΎΠ³ΠΈΡΠ΅ΡΠΊΠΈΠ΅ Π·Π°Π±ΠΎΠ»Π΅Π²Π°Π½ΠΈΡ ΠΏΡΠΈΠ²ΠΎΠ΄ΡΡ ΠΊ ΠΌΠ΅ΡΠ°ΡΡΠ°Π·Π°ΠΌ Π² ΡΠ΅Π»ΡΡΡΠΈ ΠΈ ΠΏΠΎΡΠ²Π»Π΅Π½ΠΈΡ Π²ΡΠΏΡΠΊΠ»ΡΡ ΠΎΠ±ΡΠ°Π·ΠΎΠ²Π°Π½ΠΈΠΉ.
- Π€ΠΈΠ±ΡΠΎΠΏΠ°ΠΏΠΈΠ»Π»ΠΎΠΌΠ° (Π΄ΠΎΠ±ΡΠΎΠΊΠ°ΡΠ΅ΡΡΠ²Π΅Π½Π½Π°Ρ ΠΎΠΏΡΡ ΠΎΠ»Ρ).
ΠΡΠΎΠ±Π΅Π½Π½ΠΎΡΡΠΈ ΠΊΠ»ΠΈΠ½ΠΈΡΠ΅ΡΠΊΠΎΠΉ ΠΊΠ°ΡΡΠΈΠ½Ρ
ΠΠΎΡΠ²Π»Π΅Π½ΠΈΠ΅ ΡΠ°ΡΠΈΠΊΠΎΠ² Π½Π° Π΄Π΅ΡΠ½Π΅ ΠΌΠΎΠΆΠ΅Ρ ΡΠΎΠΏΡΠΎΠ²ΠΎΠΆΠ΄Π°ΡΡΡΡ ΠΎΠΏΡΠ΅Π΄Π΅Π»Π΅Π½Π½ΠΎΠΉ ΡΠΈΠΌΠΏΡΠΎΠΌΠ°ΡΠΈΠΊΠΎΠΉ ΠΈΠ»ΠΈ ΠΆΠ΅ Π²ΠΎΠΎΠ±ΡΠ΅ Π½Π΅ ΠΏΡΠΈΠ½ΠΎΡΠΈΡΡ Π΄ΠΈΡΠΊΠΎΠΌΡΠΎΡΡΠ°. ΠΠ°ΠΆΠ΅ Π΅ΡΠ»ΠΈ Π½Π°ΡΠΎΡΡ Π½Π° Π΄Π΅ΡΠ½Π΅ Π½Π΅ Π±Π΅ΡΠΏΠΎΠΊΠΎΠΈΡ, ΡΠΎ Π΅Π³ΠΎ ΠΎΠ±ΡΠ·Π°ΡΠ΅Π»ΡΠ½ΠΎ Π½ΡΠΆΠ½ΠΎ Π»Π΅ΡΠΈΡΡ.
Π§Π°ΡΠ΅ ΡΠ²Π΅ΡΠ΄Π°Ρ ΡΠΈΡΠΊΠ° Π½Π° Π΄Π΅ΡΠ½Π΅ Π΄Π°Π΅Ρ ΠΎ ΡΠ΅Π±Π΅ Π·Π½Π°ΡΡ ΠΈ ΠΏΡΠΈΡΠΈΠ½ΡΠ΅Ρ Π±ΠΎΠ»ΠΈ ΡΠ°Π·Π½ΠΎΠΉ ΡΡΠ΅ΠΏΠ΅Π½ΠΈ ΠΈΠ½ΡΠ΅Π½ΡΠΈΠ²Π½ΠΎΡΡΠΈ. ΠΠ½Π° ΠΌΠΎΠΆΠ΅Ρ Π΄Π°Π²Π°ΡΡ Π½Π΅ΠΏΡΠΈΡΡΠ½ΡΠΉ Π·Π°ΠΏΠ°Ρ ΠΈΠ·ΠΎ ΡΡΠ°.
Π’Π°ΠΊΠΆΠ΅ ΡΠ°ΠΊΠΎΠ΅ ΠΎΠ±ΡΠ°Π·ΠΎΠ²Π°Π½ΠΈΠ΅ Π½Π° Π΄Π΅ΡΠ½Π΅ ΠΌΠΎΠΆΠ΅Ρ ΠΌΠ΅ΡΠ°ΡΡ ΠΏΡΠΈΠ΅ΠΌΡ ΠΏΠΈΡΠΈ. Π ΡΠ»ΡΡΠ°Π΅ ΡΠΈΠ»ΡΠ½ΠΎΠ³ΠΎ Π½Π°Π³Π½ΠΎΠ΅Π½ΠΈΡ ΡΠΈΡΠΊΠ° Π΄Π°Π΅Ρ Π²ΡΡΠΎΠΊΡΡ ΡΠ΅ΠΌΠΏΠ΅ΡΠ°ΡΡΡΡ ΠΈ ΠΎΠ±ΡΠ΅Π΅ Π½Π°ΡΡΡΠ΅Π½ΠΈΠ΅ Π² ΡΠΎΡΡΠΎΡΠ½ΠΈΠΈ ΡΠ΅Π»ΠΎΠ²Π΅ΠΊΠ°.
ΠΡΠ»ΠΈ Π½Π° Π΄Π΅ΡΠ½Π΅ ΠΏΠΎΡΠ²ΠΈΠ»ΡΡ ΡΠ²ΠΈΡ, ΡΠΎ Π³Π»Π°Π²Π½ΡΠΌ Π΅Π³ΠΎ ΡΠΈΠΌΠΏΡΠΎΠΌΠΎΠΌ Π±ΡΠ΄Π΅Ρ Π²ΡΠ΄Π΅Π»Π΅Π½ΠΈΠ΅ Π³Π½ΠΎΡ, ΠΊΠΎΡΠΎΡΡΠΉ ΠΏΡΠΎΡΡΠΎ Π½Π΅Π²ΠΎΠ·ΠΌΠΎΠΆΠ½ΠΎ Π½Π΅ Π·Π°ΠΌΠ΅ΡΠΈΡΡ. ΠΠΈΡΡΠ° Π΄Π°Π΅Ρ ΠΏΠΎΠΊΠ°Π»ΡΠ²Π°Π½ΠΈΠ΅ Π² ΠΌΠ΅ΡΡΠ΅ Π΅Π΅ ΠΎΠ±ΡΠ°Π·ΠΎΠ²Π°Π½ΠΈΡ ΠΈ Π΄Π°ΠΆΠ΅ Π½Π΅ ΠΎΡΠ΅Π½Ρ ΡΠΈΠ»ΡΠ½ΡΡ Π³ΠΎΠ»ΠΎΠ²Π½ΡΡ Π±ΠΎΠ»Ρ.
ΠΠ΅ΡΠ²ΡΠΌΠΈ ΠΏΡΠΎΡΠ²Π»Π΅Π½ΠΈΡΠΌΠΈ ΠΈ ΠΏΡΠ΅Π΄Π²Π΅ΡΡΠ½ΠΈΠΊΠ°ΠΌΠΈ ΠΎΠ±ΡΠ°Π·ΠΎΠ²Π°Π½ΠΈΠΉ Π½Π° Π΄Π΅ΡΠ½Π΅ ΠΌΠΎΠΆΠ΅Ρ Π±ΡΡΡ ΠΏΠΎΠΊΡΠ°ΡΠ½Π΅Π½ΠΈΠ΅ Π΄Π΅ΡΠ΅Π½ ΠΈ ΠΈΡ ΠΊΡΠΎΠ²ΠΎΡΠΎΡΠΈΠ²ΠΎΡΡΡ. Π Π°ΡΡΠ°ΡΡΠ²Π°Π½ΠΈΠ΅ Π·ΡΠ±ΠΎΠ² ΡΠ°ΠΊΠΆΠ΅ ΠΌΠΎΠΆΠ΅Ρ Π½Π°ΡΠ°ΡΡΡΡ Π² ΠΌΠ΅ΡΡΠ΅ ΠΏΠΎΡΠ²Π»Π΅Π½ΠΈΡ Π½Π°ΡΠΎΡΡΠ°.
ΠΡΠ΅ ΡΡΠΈ ΡΠΈΠΌΠΏΡΠΎΠΌΡ ΡΠΈΠ³Π½Π°Π»ΠΈΠ·ΠΈΡΡΡΡ ΠΎ ΡΠΎΠΌ, ΡΡΠΎ Π½Π΅ΠΎΠ±Ρ ΠΎΠ΄ΠΈΠΌΠΎ Π² ΠΊΠΎΡΠΎΡΠΊΠΈΠ΅ ΡΡΠΎΠΊΠΈ ΠΎΠ±ΡΠ°ΡΠΈΡΡΡΡ ΠΊ ΡΡΠΎΠΌΠ°ΡΠΎΠ»ΠΎΠ³Ρ, ΡΡΠΎΠ±Ρ ΠΈΠ·Π±Π΅ΠΆΠ°ΡΡ ΠΎΡΠ»ΠΎΠΆΠ½Π΅Π½ΠΈΠΉ.
ΠΠΎΠ΄Ρ ΠΎΠ΄ ΠΊ Π»Π΅ΡΠ΅Π½ΠΈΡ
ΠΠ΅ΡΠ΅Π½ΠΈΠ΅ ΡΠΈΡΠ΅ΠΊ Π½Π° Π΄Π΅ΡΠ½Π΅ Π±ΡΠ΄Π΅Ρ Π·Π°Π²ΠΈΡΠ΅ΡΡ ΠΎΡ ΠΏΡΠΈΡΠΈΠ½Ρ ΠΈΡ ΠΏΠΎΡΠ²Π»Π΅Π½ΠΈΡ.
Π’ΡΠ°Π²ΠΌΠ°, ΠΊΠ°ΠΊ ΡΠ°ΠΊΡΠΎΡ-ΠΏΡΠΎΠ²ΠΎΠΊΠ°ΡΠΎΡ
ΠΡΠΈ ΡΡΠ°Π²ΠΌΠ°ΡΠΈΡΠ΅ΡΠΊΠΈΡ Π³Π΅ΠΌΠ°ΡΠΎΠΌΠ°Ρ ΠΎΡΠΎΠ±Π΅Π½Π½ΠΎΠ³ΠΎ Π»Π΅ΡΠ΅Π½ΠΈΡ Π½Π΅ ΡΡΠ΅Π±ΡΠ΅ΡΡΡ, Π΅ΡΠ»ΠΈ Π½Π΅ ΠΏΠΎΠ²ΡΠ΅ΠΆΠ΄Π΅Π½ ΡΠ°ΠΌ Π·ΡΠ±. Π§Π°ΡΠ΅ Π²ΡΠ΅Π³ΠΎ ΡΠ°ΠΊΠΎΠ΅ ΠΎΠ±ΡΠ°Π·ΠΎΠ²Π°Π½ΠΈΠ΅ ΠΏΡΠΎΡ ΠΎΠ΄ΠΈΡ ΠΏΠΎΡΡΠ΅ΠΏΠ΅Π½Π½ΠΎ ΡΠ°ΠΌΠΎΡΡΠΎΡΡΠ΅Π»ΡΠ½ΠΎ.
ΠΠ°Π»ΠΈΡΠΈΠ΅ ΡΠ²ΠΈΡΠ°
ΠΠ° ΡΠΎΡΠΎ Π½Π°ΡΡΠΆΠ½ΡΠΉ ΡΠ²ΠΈΡ β ΡΠΈΡΠΊΠ° Π½Π° Π΄Π΅ΡΠ½Π΅
ΠΠΈΠ°Π³Π½ΠΎΡΡΠΈΡΠΎΠ²Π°ΡΡ ΡΠ²ΠΈΡ ΠΌΠΎΠΆΠ½ΠΎ Ρ ΠΏΠΎΠΌΠΎΡΡΡ ΡΠ΅Π½ΡΠ³Π΅Π½ΠΎΠ²ΡΠΊΠΎΠ³ΠΎ ΡΠ½ΠΈΠΌΠΊΠ°.
ΠΠΎΠΊΡΠΎΡ ΡΠΌΠΎΠΆΠ΅Ρ ΠΎΡΠ΅Π½ΠΈΡΡ ΡΠΈΡΡΠ°ΡΠΈΡ ΠΈ ΠΏΡΠΈΠ½ΡΡΡ ΡΠ΅ΡΠ΅Π½ΠΈΠ΅ ΠΏΠΎ ΠΏΠΎΠ²ΠΎΠ΄Ρ ΡΠΎΡ ΡΠ°Π½Π΅Π½ΠΈΡ ΠΈΠ»ΠΈ ΡΠ΄Π°Π»Π΅Π½ΠΈΡ Π·ΡΠ±Π°.
ΠΠ°ΡΠ°Π²Π½Π΅ Ρ Π»Π΅ΡΠ΅Π½ΠΈΠ΅ΠΌ ΠΊΠ°ΡΠΈΠ΅ΡΠ° Π½Π΅ΠΎΠ±Ρ ΠΎΠ΄ΠΈΠΌΠΎ ΠΏΡΠΈΠΌΠ΅Π½ΡΡΡ ΠΌΠ΅ΡΡ ΠΏΠΎ ΡΠΌΠ΅Π½ΡΡΠ΅Π½ΠΈΡ ΡΠ²ΠΈΡΠ°, Π»Π΅ΡΠ΅Π½ΠΈΠ΅ Π·Π°ΠΊΠ»ΡΡΠ°Π΅ΡΡΡ Π² Π½Π΅ΡΠΊΠΎΠ»ΡΠΊΠΈΡ ΠΎΠ±ΡΠ·Π°ΡΠ΅Π»ΡΠ½ΡΡ ΠΌΠ΅ΡΠΎΠΏΡΠΈΡΡΠΈΡΡ :
- ΡΠ°ΡΡΠΎΠ΅ ΠΏΠΎΠ»ΠΎΡΠΊΠ°Π½ΠΈΠ΅ Π΄ΠΎΡΡΠ°ΡΠΎΡΠ½ΠΎ ΡΠ΅ΠΏΠ»ΡΠΌ ΡΠΎΠ»Π΅Π²ΡΠΌ ΡΠ°ΡΡΠ²ΠΎΡΠΎΠΌ β ΠΎΡΠ½ΠΎΠ²Π½ΠΎΠ΅ ΡΡΠ΅Π΄ΡΡΠ²ΠΎ ΡΠΌΠ΅Π½ΡΡΠΈΡΡ Π²ΠΎΡΠΏΠ°Π»Π΅Π½ΠΈΠ΅ Π² Π΄Π΅ΡΠ½Π΅ ΠΈ Π°ΠΊΡΠΈΠ²Π½ΠΎ Π²ΡΠ²ΠΎΠ΄ΠΈΡ Π³Π½ΠΎΠΉ Π½Π°ΡΡΠΆΡ;
- ΡΡΠΎΠΌΠ°ΡΠΎΠ»ΠΎΠ³ ΠΎΠ±ΡΠ·Π°ΡΠ΅Π»ΡΠ½ΠΎ Π΄ΠΎΠ»ΠΆΠ΅Π½ ΠΎΡΠ΅Π½Ρ ΡΡΠ°ΡΠ΅Π»ΡΠ½ΠΎ Π²ΡΡΠΈΡΡΠΈΡΡ ΠΊΠ°Π½Π°Π»Ρ ΠΈ ΠΎΠ±ΡΠ°Π±ΠΎΡΠ°ΡΡ ΠΏΠΎΠ»ΠΎΡΡΡ ΡΠΏΠ΅ΡΠΈΠ°Π»ΡΠ½ΡΠΌ ΡΡΠ΅Π΄ΡΡΠ²ΠΎΠΌ, ΠΊΠΎΡΠΎΡΠΎΠ΅ ΡΠ½ΠΈΡΡΠΎΠΆΠ°Π΅Ρ Π±Π°ΠΊΡΠ΅ΡΠΈΠΈ ΠΈ Π½Π΅ Π΄Π°Π΅Ρ ΡΠ°Π·Π²ΠΈΠ²Π°ΡΡΡΡ Π²ΠΎΡΠΏΠ°Π»Π΅Π½ΠΈΡ;
- ΠΈΠ½ΠΎΠ³Π΄Π° Π½Π°Π·Π½Π°ΡΠ°Π΅ΡΡΡ ΡΠ΅ΡΠ°ΠΏΠΈΡ Π°Π½ΡΠΈΠ±ΠΈΠΎΡΠΈΠΊΠ°ΠΌΠΈ, ΡΡΠΎΠ±Ρ ΠΈΠ·Π±Π΅ΠΆΠ°ΡΡ Π΄Π°Π»ΡΠ½Π΅ΠΉΡΠ΅Π³ΠΎ Π·Π°ΡΠ°ΠΆΠ΅Π½ΠΈΡ;
- ΠΏΠΎΡΠ»Π΅ ΠΏΠΎΠ»Π½ΠΎΠΉ ΠΎΠ±ΡΠ°Π±ΠΎΡΠΊΠΈ ΠΈ ΡΠΈΡΡΠΊΠΈ ΠΊΠ°Π½Π°Π»ΠΎΠ² ΠΈΡ ΠΏΠ»ΠΎΠΌΠ±ΠΈΡΡΡΡ, ΠΈ ΡΠ΅ΡΠ΅Π· Π½Π΅ΡΠΊΠΎΠ»ΡΠΊΠΎ Π΄Π½Π΅ΠΉ ΡΡΠ°Π²ΠΈΡΡΡ ΠΏΠΎΡΡΠΎΡΠ½Π½Π°Ρ ΠΏΠ»ΠΎΠΌΠ±Π°.
ΠΠΎΡΠ»Π΅ Π²ΡΠ΅Ρ Π»Π΅ΡΠ΅Π±Π½ΡΡ ΠΏΡΠΎΡΠ΅Π΄ΡΡ Π΄ΠΎΡΡΠ°ΡΠΎΡΠ½ΠΎ Π±ΡΡΡΡΠΎ ΠΏΡΠΎΠΈΡΡ ΠΎΠ΄ΠΈΡ Π·Π°ΠΆΠΈΠ²Π»Π΅Π½ΠΈΠ΅ ΡΠ²ΠΈΡΠ°. ΠΡΠ»ΠΈ ΡΠ°ΠΊΠΎΠΉ ΡΠΈΠΌΠΏΡΠΎΠΌ Π²ΠΎΠ·Π½ΠΈΠΊΠ°Π΅Ρ Π²ΠΎΠ·Π»Π΅ ΡΠΆΠ΅ Π·Π°ΠΏΠ»ΠΎΠΌΠ±ΠΈΡΠΎΠ²Π°Π½Π½ΠΎΠ³ΠΎ Π·ΡΠ±Π°, ΡΠΎ ΡΡΠΎΠΌΠ°ΡΠΎΠ»ΠΎΠ³ ΠΎΠ±ΡΠ·Π°ΡΠ΅Π»ΡΠ½ΠΎ Π΄ΠΎΠ»ΠΆΠ΅Π½ Π΅Π΅ Π²ΡΠΊΡΡΡΡ ΠΈ ΠΏΡΠΎΠ΄Π΅Π»Π°ΡΡ Π²ΡΠ΅ Π½Π΅ΠΎΠ±Ρ ΠΎΠ΄ΠΈΠΌΡΠ΅ ΠΌΠ΅ΡΠΎΠΏΡΠΈΡΡΠΈΡ. ΠΠΎΡΠ»Π΅ ΡΠ΅Π³ΠΎ Π½Π°Π»Π°ΠΆΠΈΠ²Π°Π΅ΡΡΡ Π½ΠΎΠ²Π°Ρ ΠΏΠ»ΠΎΠΌΠ±Π°.
ΠΠ΅ΡΠ΅Π½ΠΈΠ΅ ΠΊΠΈΡΡΡ
ΠΡΠ»ΠΈ ΠΊ Π²ΡΠ°ΡΡ Π½Π΅Ρ Π²ΠΎΠ·ΠΌΠΎΠΆΠ½ΠΎΡΡΠΈ ΠΎΠ±ΡΠ°ΡΠΈΡΡΡΡ ΡΡΠ°Π·Ρ ΠΏΠΎΡΠ»Π΅ ΠΏΠΎΡΠ²Π»Π΅Π½ΠΈΡ ΠΊΠΈΡΡΡ Π½Π° Π΄Π΅ΡΠ½Π΅, ΡΠΎ ΠΌΠΎΠΆΠ½ΠΎ ΠΈΠ·Π±Π΅ΠΆΠ°ΡΡ Ρ ΠΈΡΡΡΠ³ΠΈΡΠ΅ΡΠΊΠΎΠ³ΠΎ Π²ΠΌΠ΅ΡΠ°ΡΠ΅Π»ΡΡΡΠ²Π° ΠΈ ΠΈΡΠΏΠΎΠ»ΡΠ·ΠΎΠ²Π°ΡΡ ΠΌΠ΅Π΄ΠΈΠΊΠ°ΠΌΠ΅Π½ΡΠΎΠ·Π½ΠΎΠ΅ Π»Π΅ΡΠ΅Π½ΠΈΠ΅ ΠΈΠ»ΠΈ ΠΆΠ΅ ΠΏΠΎΠ²Π΅ΡΡ Π½ΠΎΡΡΠ½ΡΡ Ρ ΠΈΡΡΡΠ³ΠΈΡ.
ΠΠ»Ρ ΡΡΠΎΠ³ΠΎ ΠΏΠΎΠ΄ ΠΌΠ΅ΡΡΠ½ΡΠΌ ΠΎΠ±Π΅Π·Π±ΠΎΠ»ΠΈΠ²Π°Π½ΠΈΠ΅ΠΌ Π½Π°Π΄ΡΠ΅Π·Π°Π΅ΡΡΡ ΠΊΠΈΡΡΠ° ΠΈ ΡΠ±ΠΈΡΠ°Π΅ΡΡΡ ΠΎΡΡΡΠ΄Π° Π²Π΅ΡΡ Π³Π½ΠΎΠΉ. ΠΡΠ»ΠΈ Π²ΠΎΠ·Π½ΠΈΠΊΠ°Π΅Ρ Π½Π΅ΠΎΠ±Ρ ΠΎΠ΄ΠΈΠΌΠΎΡΡΡ, ΡΠΎ Π½Π°Π»Π°ΠΆΠΈΠ²Π°Π΅ΡΡΡ ΡΠΎΠ².
ΠΡΠΈ Π·Π°ΠΏΡΡΠ΅Π½Π½ΠΎΠΉ ΡΠΎΡΠΌΠ΅ Π·Π°Π±ΠΎΠ»Π΅Π²Π°Π½ΠΈΡ ΡΡΠ΅Π±ΡΠ΅ΡΡΡ Π±ΠΎΠ»Π΅Π΅ ΡΠ΅ΡΡΠ΅Π·Π½ΠΎΠ΅ Π»Π΅ΡΠ΅Π½ΠΈΠ΅ β ΠΎΠΏΠ΅ΡΠ°ΡΠΈΠΈ:
- Π¦ΠΈΡΡΡΠΊΡΠΎΠΌΠΈΡ ΠΏΡΠΎΠ²ΠΎΠ΄ΠΈΡΡΡ Π΄Π»Ρ ΡΠ΄Π°Π»Π΅Π½ΠΈΡ ΠΊΠΈΡΡΡ ΠΏΠΎΠ»Π½ΠΎΡΡΡΡ ΠΈ ΠΎΠ΄Π½ΠΎΠ²ΡΠ΅ΠΌΠ΅Π½Π½ΠΎ ΠΈΡΡΠ΅ΠΊΠ°Π΅ΡΡΡ ΡΠ°ΡΡΡ Π²Π΅ΡΡ ΡΡΠΊΠΈ ΠΊΠΎΡΠ½Ρ Π±ΠΎΠ»ΡΠ½ΠΎΠ³ΠΎ Π·ΡΠ±Π°.
- ΠΠ΅ΠΌΠΈΡΠ΅ΠΊΡΠΈΡ ΠΏΠΎΠ΄ΡΠ°Π·ΡΠΌΠ΅Π²Π°Π΅Ρ ΡΠ΄Π°Π»Π΅Π½ΠΈΠ΅ Π½Π΅ ΡΠΎΠ»ΡΠΊΠΎ ΠΊΠΈΡΡΡ ΠΈ Π²Π΅ΡΡ ΡΡΠΊΠΈ Π·ΡΠ±Π°, Π½ΠΎ ΠΈ ΠΊΠ°ΠΊΠΎΠΉ-ΡΠΎ ΡΠ°ΡΡΠΈ ΡΠ°ΠΌΠΎΠ³ΠΎ ΠΏΠΎΠ²ΡΠ΅ΠΆΠ΄Π΅Π½Π½ΠΎΠ³ΠΎ Π·ΡΠ±Π°. ΠΠΎΡΠ»Π΅ ΡΠ°ΠΊΠΎΠ³ΠΎ Π²ΠΌΠ΅ΡΠ°ΡΠ΅Π»ΡΡΡΠ²Π° Π½Π΅ΠΎΠ±Ρ ΠΎΠ΄ΠΈΠΌΠΎ ΠΏΡΠΎΠ²Π΅ΡΡΠΈ ΡΠ΅ΡΡΠ°Π²ΡΠ°ΡΠΈΡ Π·ΡΠ±Π° ΠΈΡΠΏΠΎΠ»ΡΠ·ΡΡ ΠΊΠΎΡΠΎΠ½ΠΊΡ.
ΠΡΠΈΠ½ΡΡΡ ΡΠ΅ΡΠ΅Π½ΠΈΠ΅ ΠΎ ΡΠΏΠΎΡΠΎΠ±Π΅ Π»Π΅ΡΠ΅Π½ΠΈΡ ΠΊΠΈΡΡΡ ΠΌΠΎΠΆΠ΅Ρ Π²ΡΠ°Ρ ΠΏΠΎΡΠ»Π΅ ΠΏΡΠΎΠ²Π΅Π΄Π΅Π½Π½ΠΎΠ³ΠΎ ΡΠ΅Π½ΡΠ³Π΅Π½Π° ΠΈ Π΄ΠΎΠΏΠΎΠ»Π½ΠΈΡΠ΅Π»ΡΠ½ΡΡ Π°Π½Π°Π»ΠΈΠ·ΠΎΠ². ΠΠ»Ρ ΠΎΠ±Π»Π΅Π³ΡΠ΅Π½ΠΈΡ ΡΠΎΡΡΠΎΡΠ½ΠΈΡ ΠΏΡΠΈ ΠΏΠ΅ΡΠ²ΡΡ ΠΏΡΠΈΠ·Π½Π°ΠΊΠ°Ρ ΠΏΠΎΡΠ²Π»Π΅Π½ΠΈΡ ΠΊΠΈΡΡΡ ΠΌΠΎΠΆΠ½ΠΎ ΠΈΡΠΏΠΎΠ»ΡΠ·ΠΎΠ²Π°ΡΡ Π½Π΅ΡΠΊΠΎΠ»ΡΠΊΠΎ Π½Π°ΡΠΎΠ΄Π½ΡΡ ΠΌΠ΅ΡΠΎΠ΄ΠΎΠ² Π΅Π΅ Π»Π΅ΡΠ΅Π½ΠΈΡ:
- ΠΏΠΎΠ΄Π΅ΡΠΆΠ°ΡΡ Π½Π΅Π±ΠΎΠ»ΡΡΠΎΠ΅ ΠΊΠΎΠ»ΠΈΡΠ΅ΡΡΠ²ΠΎ ΠΊΡΠ½ΠΆΡΡΠ½ΠΎΠ³ΠΎ ΠΌΠ°ΡΠ»Π° Π²ΠΎ ΡΡΡ Π² ΡΠ΅ΡΠ΅Π½ΠΈΠ΅ 5-10 ΠΌΠΈΠ½ΡΡ;
- ΠΏΡΠΈΠΊΠ»Π°Π΄ΡΠ²Π°Π½ΠΈΠ΅ ΡΠ°ΠΌΠΏΠΎΠ½Π° ΠΈΠ· ΠΌΠ°ΡΠ»ΠΈ, ΠΏΡΠΎΠΏΠΈΡΠ°Π½Π½ΠΎΠ³ΠΎ Π½Π΅ΡΠΊΠΎΠ»ΡΠΊΠΈΠΌΠΈ ΠΊΠ°ΠΏΠ»ΡΠΌΠΈ ΠΊΡΠ½ΠΆΡΡΠ½ΠΎΠ³ΠΎ ΠΌΠ°ΡΠ»Π°;
- ΠΏΠΎΠ»ΠΎΡΠΊΠ°Π½ΠΈΠ΅ ΡΠ°ΡΡΠ²ΠΎΡΠΎΠΌ Ρ Π΄ΠΎΠ±Π°Π²Π»Π΅Π½ΠΈΠ΅ΠΌ ΠΏΡΠΎΠΏΠΎΠ»ΠΈΡΠ°.
Π’Π΅ΡΠ°ΠΏΠΈΡ Ρ ΡΠΎΠ½ΠΈΡΠ΅ΡΠΊΠΎΠ³ΠΎ ΠΈ ΠΎΡΡΡΠΎΠ³ΠΎ ΠΏΠ΅ΡΠΈΠΎΠ΄ΠΎΠ½ΡΠΈΡΠ°
ΠΡΠ±ΡΡ ΡΠΎΡΠΌΡ ΠΏΠ΅ΡΠΈΠΎΠ΄ΠΎΠ½ΡΠΈΡΠ° Π½Π΅ΠΎΠ±Ρ ΠΎΠ΄ΠΈΠΌΠΎ Π»Π΅ΡΠΈΡΡ ΡΠΎΠ»ΡΠΊΠΎ Ρ ΡΡΠΎΠΌΠ°ΡΠΎΠ»ΠΎΠ³Π°. Π Π΄ΠΎΠΌΠ°ΡΠ½ΠΈΡ ΡΡΠ»ΠΎΠ²ΠΈΡΡ ΠΌΠΎΠΆΠ½ΠΎ ΡΠΎΠ»ΡΠΊΠΎ ΡΠ½ΡΡΡ ΠΎΡΡΡΡΡ Π±ΠΎΠ»Ρ ΠΈΠ»ΠΈ ΠΆΠ΅ Π²ΠΎ Π²ΡΠ΅ΠΌΡ ΠΏΡΠΎΡ ΠΎΠΆΠ΄Π΅Π½ΠΈΡ Π»Π΅ΡΠ΅Π½ΠΈΡ Ρ Π΄ΠΎΠΊΡΠΎΡΠ° ΠΏΠ°ΡΠ°Π»Π»Π΅Π»ΡΠ½ΠΎ Π² Π΄ΠΎΠΌΠ°ΡΠ½ΠΈΡ ΡΡΠ»ΠΎΠ²ΠΈΡΡ ΠΏΠΎΠ»ΠΎΡΠΊΠ°ΡΡ ΡΠΎΡΠΎΠ²ΡΡ ΠΏΠΎΠ»ΠΎΡΡΡ ΠΎΡΠ²Π°ΡΠ°ΠΌΠΈ ΠΈΠ· Π»Π΅ΠΊΠ°ΡΡΡΠ²Π΅Π½Π½ΡΡ ΡΡΠ°Π².
ΠΡΠ΅ΠΆΠ΄Π΅ Π²ΡΠ΅Π³ΠΎ, Π½Π΅ΠΎΠ±Ρ ΠΎΠ΄ΠΈΠΌΠΎ ΠΏΡΠΎΡΠΈΡΡΠΈΡΡ ΠΊΠ°Π½Π°Π»Ρ. ΠΡΠΈΡΠ΅ΠΌ ΡΡΠΎΡ ΠΏΡΠΎΡΠ΅ΡΡ ΠΏΡΠΎΠΈΡΡ ΠΎΠ΄ΠΈΡ ΠΏΠΎΡΡΠ°ΠΏΠ½ΠΎ. ΠΠ°ΠΆΠ΄ΡΠΉ ΡΠ°Π· Π½ΡΠΆΠ½ΠΎ ΡΠ°ΡΡΠΈΡΡΡΡ ΠΊΠ°Π½Π°Π»Ρ, ΡΠΈΡΡΠΈΡΡ ΠΈΡ ΠΈ Π·Π°ΠΊΠ»Π°Π΄ΡΠ²Π°ΡΡ Π°Π½ΡΠΈΡΠ΅ΠΏΡΠΈΠΊ.
ΠΠ½ΠΎΠ³Π΄Π° ΠΏΠΎΡΠ»Π΅ ΡΠ°ΠΊΠΎΠ³ΠΎ Π»Π΅ΡΠ΅Π½ΠΈΡ ΡΡΠ΅Π±ΡΠ΅ΡΡΡ ΠΎΡΡΠ°Π²ΠΈΡΡ Π·ΡΠ± Π±Π΅Π· ΠΏΠΎΡΡΠΎΡΠ½Π½ΠΎΠΉ ΠΏΠ»ΠΎΠΌΠ±Ρ Π½Π° 3-6 ΠΌΠ΅ΡΡΡΠ΅Π². ΠΡΠΎ Π΄Π΅Π»Π°Π΅ΡΡΡ Π΄Π»Ρ ΡΠΎΠ³ΠΎ ΡΡΠΎΠ±Ρ ΠΏΠΎΡΠΌΠΎΡΡΠ΅ΡΡ Π½Π΅ Π±ΡΠ΄Π΅Ρ Π»ΠΈ ΠΎΠΏΡΡΡ Π²ΠΎΡΠΏΠ°Π»ΡΡΡΡΡ ΠΏΠΎΡΠ°ΠΆΠ΅Π½Π½ΡΠΉ Π·ΡΠ±.
ΠΠ»Ρ ΠΊΠ°ΡΠ΅ΡΡΠ²Π΅Π½Π½ΠΎΠ³ΠΎ Π»Π΅ΡΠ΅Π½ΠΈΡ ΠΏΠ΅ΡΠΈΠΎΠ΄ΠΎΠ½ΡΠΈΡΠ° Π² ΠΎΡΠΊΡΡΡΡΠ΅ ΠΊΠ°Π½Π°Π»Ρ Π·Π°ΠΊΠ»Π°Π΄ΡΠ²Π°Π΅ΡΡΡ Π»Π΅ΠΊΠ°ΡΡΡΠ²Π° Π½Π° ΠΎΡΠ½ΠΎΠ²Π΅ Π°Π½ΡΠΈΠ±ΠΈΠΎΡΠΈΠΊΠ°. ΠΠ΅Π½ΡΡΡ ΡΡΠΎ Π»Π΅ΠΊΠ°ΡΡΡΠ²ΠΎ Π² ΠΊΠ°Π½Π°Π»Π΅ Π½Π΅ΠΎΠ±Ρ ΠΎΠ΄ΠΈΠΌΠΎ ΠΎΠ΄ΠΈΠ½ ΡΠ°Π· Π² Π½Π΅ΡΠΊΠΎΠ»ΡΠΊΠΎ Π΄Π½Π΅ΠΉ.
Π€Π»ΡΡ β ΠΊΡΠ°ΠΉΠ½Π΅ Π½Π΅ΠΏΡΠΈΡΡΠ½ΠΎΠ΅ ΡΠ²Π»Π΅Π½ΠΈΠ΅
ΠΡΠΈ ΠΏΠΎΡΠ²Π»Π΅Π½ΠΈΠΈ ΡΠ»ΡΡΠ° ΠΎΠ±ΡΠ°ΡΠ΅Π½ΠΈΠ΅ ΠΊ ΡΡΠΎΠΌΠ°ΡΠΎΠ»ΠΎΠ³Ρ Π΄ΠΎΠ»ΠΆΠ½ΠΎ Π±ΡΡΡ ΠΏΠ΅ΡΠ²ΡΠΌ Π΄Π΅ΠΉΡΡΠ²ΠΈΠ΅ΠΌ.
ΠΡΠ»ΠΈ Π½Π΅ΠΎΠ±Ρ ΠΎΠ΄ΠΈΠΌΠΎ Π΄ΠΎΠΆΠ΄Π°ΡΡΡΡ ΡΡΡΠ° ΠΈΠ»ΠΈ ΡΠ°Π±ΠΎΡΠ΅Π³ΠΎ Π΄Π½Ρ, ΡΠΎ ΠΏΡΠΈ ΡΠΈΠ»ΡΠ½ΡΡ Π±ΠΎΠ»ΡΡ ΠΌΠΎΠΆΠ½ΠΎ ΠΏΡΠΈΠ½ΡΡΡ ΠΎΠ±Π΅Π·Π±ΠΎΠ»ΠΈΠ²Π°ΡΡΠ΅Π΅ ΡΡΠ΅Π΄ΡΡΠ²ΠΎ ΠΈ ΠΊΠ°ΠΊ ΠΌΠΎΠΆΠ½ΠΎ ΡΠ°ΡΠ΅ ΠΏΠΎΠ»ΠΎΡΠΊΠ°ΡΡ ΠΏΠΎΠ»ΠΎΡΡΡ ΡΡΠ° ΡΠΎΠ»Π΅Π²ΡΠΌ ΡΠ°ΡΡΠ²ΠΎΡΠΎΠΌ.
ΠΠ΅ΡΠ²Π°Ρ ΠΏΠΎΠΌΠΎΡΡ Π² Π΄ΠΎΠΌΠ°ΡΠ½ΠΈΡ ΡΡΠ»ΠΎΠ²ΠΈΡΡ
ΠΡΠ»ΠΈ ΠΏΠΎΡΠ²Π»Π΅Π½ΠΈΠ΅ ΡΠΈΡΠΊΠΈ Π½Π° Π΄Π΅ΡΠ½Π΅ ΠΏΡΠΈΡΠ»ΠΎΡΡ Π½Π° Π²ΡΡ ΠΎΠ΄Π½ΠΎΠΉ Π΄Π΅Π½Ρ ΠΈΠ»ΠΈ Π² Π²Π΅ΡΠ΅ΡΠ½Π΅Π΅ Π²ΡΠ΅ΠΌΡ, ΡΠΎ ΡΡΠΎΠ±Ρ ΡΠ±ΡΠ°ΡΡ Π±ΠΎΠ»Ρ ΠΈ Π½Π΅ΠΌΠ½ΠΎΠ³ΠΎ ΡΠ½ΡΡΡ Π²ΠΎΡΠΏΠ°Π»Π΅Π½ΠΈΠ΅ ΠΌΠΎΠΆΠ½ΠΎ ΠΈΡΠΏΠΎΠ»ΡΠ·ΠΎΠ²Π°ΡΡ Π½Π΅ΡΠΊΠΎΠ»ΡΠΊΠΎ ΠΌΠ΅ΡΠΎΠ΄ΠΎΠ²:
- ΠΡΠΈΠ½ΡΡΡ ΠΎΠ±Π΅Π·Π±ΠΎΠ»ΠΈΠ²Π°ΡΡΠ΅Π΅ ΡΡΠ΅Π΄ΡΡΠ²ΠΎ. ΠΠΎ Π²ΡΠ΅ΠΌΡ Π΅Π³ΠΎ ΠΈΡΠΏΠΎΠ»ΡΠ·ΠΎΠ²Π°Π½ΠΈΡ Π½Π΅ΠΎΠ±Ρ ΠΎΠ΄ΠΈΠΌΠΎ ΡΠ΅ΡΠΊΠΎ ΡΠΎΠ±Π»ΡΠ΄Π°ΡΡ Π²ΡΠ΅ΠΌΠ΅Π½Π½ΡΠ΅ ΠΏΡΠΎΠΌΠ΅ΠΆΡΡΠΊΠΈ ΠΏΠΎ ΠΈΠ½ΡΡΡΡΠΊΡΠΈΠΈ ΠΌΠ΅ΠΆΠ΄Ρ ΠΏΡΠΈΠ΅ΠΌΠ°ΠΌΠΈ Π²ΠΎ ΠΈΠ·Π±Π΅ΠΆΠ°Π½ΠΈΠ΅ ΠΏΠ΅ΡΠ΅Π΄ΠΎΠ·ΠΈΡΠΎΠ²ΠΊΠΈ.
- ΠΠΎΠ»ΠΎΡΠΊΠ°Π½ΠΈΠ΅ ΡΠΎΠ΄ΠΎΠ²ΡΠΌ ΡΠ°ΡΡΠ²ΠΎΡΠΎΠΌ Ρ Π΄ΠΎΠ±Π°Π²Π»Π΅Π½ΠΈΠ΅ΠΌ ΠΉΠΎΠ΄Π° Π·Π°ΠΌΠ΅ΡΠ½ΠΎ ΡΡΠΏΠΎΠΊΠΎΠΈΡ Π±ΠΎΠ»Ρ ΠΈ Π²ΠΎΡΠΏΠ°Π»Π΅Π½ΠΈΠ΅ Π½Π° Π΄Π΅ΡΠ½Π΅. Π’Π°ΠΊΠΆΠ΅ ΡΠ°ΠΊΠΎΠΉ ΡΠ°ΡΡΠ²ΠΎΡ
ΠΏΠΎΠΌΠΎΠΆΠ΅Ρ Π²ΡΡΡΠ½ΡΡΡ Π³Π½ΠΎΠΉ ΠΈΠ· ΡΠ²ΠΈΡΠ°. - ΠΠΎΠ»ΠΎΡΠΊΠ°Π½ΠΈΠ΅ Ρ Π½Π°ΡΡΠΎΠΉΠΊΠΎΠΉ ΠΏΡΠΎΠΏΠΎΠ»ΠΈΡΠ° ΠΏΠΎΠ»Π΅Π·Π½ΠΎ ΠΏΡΠΈ Π²ΡΠ΅Ρ Π²ΠΈΠ΄Π°Ρ ΡΠΈΡΠ΅ΠΊ Π½Π° Π΄Π΅ΡΠ½Π΅ ΠΈ Π·Π°ΠΌΠ΅ΡΠ½ΠΎ ΡΠ»ΡΡΡΠ°Π΅Ρ ΡΠΎΡΡΠΎΡΠ½ΠΈΠ΅ Π·ΡΠ±Π½ΠΎΠ³ΠΎ ΡΡΠ΄Π°.
- ΠΠ»ΡΠΊΠ²Π΅Π½Π½ΡΠΉ ΡΠΎΠΊ ΠΌΠΎΠΆΠ΅Ρ ΠΏΠΎΠΌΠΎΡΡ Π²ΡΠ΅ΠΌΠ΅Π½Π½ΠΎ ΠΎΠ±Π»Π΅Π³ΡΠΈΡΡ ΡΠΈΡΡΠ°ΡΠΈΡ β ΡΠΌΠ΅Π½ΡΡΠΈΡΡ Π±ΠΎΠ»Ρ ΠΈ ΡΠ½ΡΡΡ ΡΠΈΠ»ΡΠ½ΠΎΠ΅ Π²ΠΎΡΠΏΠ°Π»Π΅Π½ΠΈΠ΅.
- ΠΡΠΏΠΎΠ»ΡΠ·ΠΎΠ²Π°Π½ΠΈΠ΅ Π·ΡΠ±Π½ΡΡ ΠΊΠ°ΠΏΠ΅Π»Ρ Π΄ΠΎΠΏΡΡΡΠΈΠΌΠΎ Π² ΠΊΡΠ°ΠΉΠ½ΠΈΡ ΡΠ»ΡΡΠ°ΡΡ . ΠΡΠ΅Π½Ρ ΡΠ°ΡΡΠΎ ΠΈΠΌΠΈ ΠΏΠΎΠ»ΡΠ·ΠΎΠ²Π°ΡΡΡΡ Π½Π΅Π»ΡΠ·Ρ, ΠΈΠ½Π°ΡΠ΅ ΠΌΠΎΠΆΠ½ΠΎ ΡΠΆΠ΅ΡΡ ΡΠ»ΠΈΠ·ΠΈΡΡΡΡ ΡΠΎΡΠΎΠ²ΠΎΠΉ ΠΏΠΎΠ»ΠΎΡΡΠΈ.
ΠΠΎΠΆΠ½ΠΎ ΠΏΠΎΠΏΡΠΎΠ±ΠΎΠ²Π°ΡΡ ΠΏΡΠΈΠ»ΠΎΠΆΠΈΡΡ ΠΊΠΎΠΌΠΏΡΠ΅ΡΡ ΠΈΠ· ΠΊΡΠ±ΠΈΠΊΠΎΠ² Π»ΡΠ΄Π°, Π΅ΡΠ»ΠΈ Ρ ΠΎΠ»ΠΎΠ΄ Π½Π΅ ΠΏΡΠΈΡΠΈΠ½ΡΠ΅Ρ ΡΠΈΠ»ΡΠ½ΠΎΠΉ Π±ΠΎΠ»ΠΈ ΠΈ ΠΏΡΠ»ΡΡΠ°ΡΠΈΠΈ Π·ΡΠ±Π°.
Π‘Π°ΠΌΠΎΡΡΠΎΡΡΠ΅Π»ΡΠ½ΠΎ Π²ΡΠΊΡΡΠ²Π°ΡΡ ΠΈ Π²ΡΡΠΈΡΠ°ΡΡ ΡΠΈΡΠΊΠΈ Π·Π°ΠΏΡΠ΅ΡΠ°Π΅ΡΡΡ ΠΈΠ½Π°ΡΠ΅ ΠΌΠΎΠΆΠ½ΠΎ Π·Π°Π½Π΅ΡΡΠΈ ΠΈΠ½ΡΠ΅ΠΊΡΠΈΡ Π² ΠΊΡΠΎΠ²Ρ ΠΈ ΠΏΠΎΠ»ΡΡΠΈΡΡ Π΅Π΅ Π·Π°ΡΠ°ΠΆΠ΅Π½ΠΈΠ΅.
ΠΡΠΎΡΠΈΠ»Π°ΠΊΡΠΈΠΊΠ° ΠΈ ΠΎΡΠ»ΠΎΠΆΠ½Π΅Π½ΠΈΠ΅ Π·Π°Π±ΠΎΠ»Π΅Π²Π°Π½ΠΈΡ
ΠΡΠ»ΠΈ Π²ΠΎΠ²ΡΠ΅ΠΌΡ Π½Π΅ ΠΎΠ±ΡΠ°ΡΠΈΡΡΡΡ ΠΊ ΡΡΠΎΠΌΠ°ΡΠΎΠ»ΠΎΠ³Ρ, ΡΠΎ ΠΌΠΎΠΆΠ½ΠΎ ΠΏΠΎΠ»ΡΡΠΈΡΡ ΡΠ΅ΡΡΠ΅Π·Π½ΡΠ΅ ΠΎΡΠ»ΠΎΠΆΠ½Π΅Π½ΠΈΡ. ΠΡΠ΅Π½Ρ ΠΎΠΏΠ°ΡΠ½Ρ Π³Π½ΠΎΠΉΠ½ΡΠ΅ ΡΠΈΡΠΊΠΈ.
ΠΡΠ»ΠΈ ΠΈΡ Π²ΠΎΠ²ΡΠ΅ΠΌΡ Π½Π΅ Π»Π΅ΡΠΈΡΡ, ΡΠΎ Π³Π½ΠΎΠΉ ΠΌΠΎΠΆΠ΅Ρ Π½Π°ΡΠ°ΡΡ ΡΠ°Π·ΡΡΡΠ°ΡΡ ΠΊΠΎΡΡΡ ΡΠ΅Π»ΡΡΡΠΈ. Π’Π°ΠΊΠΆΠ΅ ΠΏΡΠΈ ΠΏΠΎΠΏΠ°Π΄Π°Π½ΠΈΠΈ Π³Π½ΠΎΡ Π² ΠΊΡΠΎΠ²Ρ ΠΌΠΎΠΆΠ΅Ρ ΠΏΠΎΠΉΡΠΈ Π΅Π΅ Π·Π°ΡΠ°ΠΆΠ΅Π½ΠΈΠ΅.
ΠΡΠ»ΠΈ Π½Π΅ Π»Π΅ΡΠΈΡΡ ΠΏΠ΅ΡΠΈΠΎΠ΄ΠΎΠ½ΡΠΈΡ, ΡΠΎ ΠΎΠ½ ΠΏΠ΅ΡΠ΅ΡΠ°ΡΡΠ΅Ρ Π² Ρ ΡΠΎΠ½ΠΈΡΠ΅ΡΠΊΡΡ ΡΠΎΡΠΌΡ. ΠΡΠ΅ ΠΏΠΎΡΠ²ΠΈΠ²ΡΠΈΠ΅ΡΡ Π½Π°ΡΠΎΡΡΡ ΠΏΡΠΈ Π½Π΅ΠΏΡΠ°Π²ΠΈΠ»ΡΠ½ΠΎΠΌ ΠΈΡ Π»Π΅ΡΠ΅Π½ΠΈΠΈ ΠΈΠ»ΠΈ Π΅Π³ΠΎ ΠΎΡΡΡΡΡΡΠ²ΠΈΠΈ, ΠΏΡΠΈΠ²ΠΎΠ΄ΡΡ ΠΊ ΠΏΠΎΡΠ΅ΡΠ΅ Π·ΡΠ±Π°.
ΠΠ»Ρ ΠΏΡΠΎΡΠΈΠ»Π°ΠΊΡΠΈΠΊΠΈ ΡΡΠΈΡ ΠΎΡΠ»ΠΎΠΆΠ½Π΅Π½ΠΈΠΉ ΠΈ ΡΠ°Π·Π²ΠΈΡΠΈΡ ΡΡΠΆΠ΅Π»ΡΡ Π·Π°Π±ΠΎΠ»Π΅Π²Π°Π½ΠΈΠΉ ΡΠ»Π΅Π΄ΡΠ΅Ρ ΡΠ΅ΡΠΊΠΎ Π²ΡΠΏΠΎΠ»Π½ΡΡΡ Π½Π΅ΡΠΊΠΎΠ»ΡΠΊΠΎ ΠΏΡΠ°Π²ΠΈΠ»:
- ΠΠ»Π°Π²Π½ΠΎΠ΅, ΡΠΎΠ±Π»ΡΠ΄Π°ΡΡ Π³ΠΈΠ³ΠΈΠ΅Π½Ρ ΡΠΎΡΠΎΠ²ΠΎΠΉ ΠΏΠΎΠ»ΠΎΡΡΠΈ: ΡΠΈΡΡΠΊΠ° Π·ΡΠ±ΠΎΠ² 2 ΡΠ°Π·Π° Π² Π΄Π΅Π½Ρ, ΠΈΡΠΏΠΎΠ»ΡΠ·ΠΎΠ²Π°Π½ΠΈΠ΅ Π½ΠΈΡΠ΅ΠΉ Π΄Π»Ρ Π·ΡΠ±ΠΎΠ² ΠΈ ΠΆΠΈΠ΄ΠΊΠΎΡΡΠ΅ΠΉ Π΄Π»Ρ ΠΏΠΎΠ»ΠΎΡΠΊΠ°Π½ΠΈΡ.
- ΠΡΠ±Π½ΡΡ ΡΠ΅ΡΠΊΡ Π½Π΅ΠΎΠ±Ρ ΠΎΠ΄ΠΈΠΌΠΎ ΠΌΠ΅Π½ΡΡΡ Π½Π΅ ΡΠ΅ΠΆΠ΅ ΠΎΠ΄Π½ΠΎΠ³ΠΎ ΡΠ°Π·Π° Π² ΠΏΠΎΠ»Π³ΠΎΠ΄Π° ΠΈ ΠΆΠ΅Π»Π°ΡΠ΅Π»ΡΠ½ΠΎ ΠΈΡΠΏΠΎΠ»ΡΠ·ΠΎΠ²Π°ΡΡ ΡΠ»Π΅ΠΊΡΡΠΈΡΠ΅ΡΠΊΡΡ ΡΠ΅ΡΠΊΡ. ΠΠ΅ ΠΈΡΠΏΠΎΠ»ΡΠ·ΠΎΠ²Π°Π½ΠΈΠ΅ ΡΠΌΠ΅Π½ΡΡΠ°Π΅Ρ ΡΠΈΡΠΊ ΡΠ°Π·Π²ΠΈΡΠΈΡ ΠΎΠ±ΡΠ°Π·ΠΎΠ²Π°Π½ΠΈΠΉ Π½Π° Π΄Π΅ΡΠ½Π°Ρ .
- ΠΠ΅ΡΠΈΠΎΠ΄ΠΈΡΠ΅ΡΠΊΠΎΠ΅ ΠΏΠΎΠ»ΠΎΡΠΊΠ°Π½ΠΈΠ΅ ΡΠΎΡΠΎΠ²ΠΎΠΉ ΠΏΠΎΠ»ΠΎΡΡΠΈ ΠΎΡΠ²Π°ΡΠ°ΠΌΠΈ ΡΡΠ°Π² ΡΠΌΠΎΠΆΠ΅Ρ Π²ΠΎΡΡΡΠ°Π½ΠΎΠ²ΠΈΡΡ Π½ΠΎΡΠΌΠ°Π»ΡΠ½ΡΠΉ Π±Π°ΠΊΡΠ΅ΡΠΈΠ°Π»ΡΠ½ΡΠΉ Π±Π°Π»Π°Π½Ρ. ΠΡΠΏΠΎΠ»ΡΠ·ΠΎΠ²Π°Π½ΠΈΠ΅ ΠΏΡΠΎΠΏΠΎΠ»ΠΈΡΠ° Π² ΠΏΡΠΎΡΠΈΠ»Π°ΠΊΡΠΈΡΠ΅ΡΠΊΠΈΡ ΡΠ΅Π»ΡΡ ΠΌΠΎΠΆΠ΅Ρ ΠΏΠΎΠΌΠΎΡΡ ΠΈΠ·Π±Π΅ΠΆΠ°ΡΡ Π²ΠΎΠ·Π½ΠΈΠΊΠ½ΠΎΠ²Π΅Π½ΠΈΡ Π²ΠΎΡΠΏΠ°Π»ΠΈΡΠ΅Π»ΡΠ½ΡΡ ΠΏΡΠΎΡΠ΅ΡΡΠΎΠ² Π½Π° Π΄Π΅ΡΠ½Π°Ρ .
- ΠΠΎΡΠ΅ΡΠ΅Π½ΠΈΠ΅ ΡΡΠΎΠΌΠ°ΡΠΎΠ»ΠΎΠ³Π° Π΄ΠΎΠ»ΠΆΠ½ΠΎ Π±ΡΡΡ ΡΠ΅Π³ΡΠ»ΡΡΠ½ΡΠΌ, Ρ ΠΎΡΡ Π±Ρ ΡΠ°Π· Π² ΠΏΠΎΠ»Π³ΠΎΠ΄Π°. Π‘Π»Π΅Π΄ΡΠ΅Ρ Π²Π·ΡΡΡ Π·Π° ΠΏΡΠ°Π²ΠΈΠ»ΠΎ Ρ ΠΎΠ΄ΠΈΡΡ ΠΊ Π²ΡΠ°ΡΡ, Π΄Π°ΠΆΠ΅ Π΅ΡΠ»ΠΈ Π½ΠΈΡΠ΅Π³ΠΎ Π½Π΅ Π±Π΅ΡΠΏΠΎΠΊΠΎΠΈΡ. Π’Π°ΠΊΠ°Ρ ΠΌΠ΅ΡΠ° ΠΏΡΠΎΡΠΈΠ»Π°ΠΊΡΠΈΠΊΠΈ ΠΏΠΎΠΌΠΎΠΆΠ΅Ρ Π²ΡΡΠ²ΠΈΡΡ ΡΠ°Π·Π»ΠΈΡΠ½ΡΠ΅ ΠΏΡΠΎΠ±Π»Π΅ΠΌΡ Π² ΡΠΎΡΠΎΠ²ΠΎΠΉ ΠΏΠΎΠ»ΠΎΡΡΠΈ Π½Π° ΡΠ°Π½Π½ΠΈΡ ΡΡΠ°Π΄ΠΈΡΡ . Π’ΠΎΠ³Π΄Π° Π»Π΅ΡΠ΅Π½ΠΈΠ΅ Π±ΡΠ΄Π΅Ρ ΠΏΡΠΎΠΈΡΡ ΠΎΠ΄ΠΈΡΡ ΠΌΠ΅Π½Π΅Π΅ Π±ΠΎΠ»Π΅Π·Π½Π΅Π½Π½ΠΎ ΠΈ Ρ Π½Π°ΠΈΠΌΠ΅Π½ΡΡΠΈΠΌΠΈ ΡΠΈΠ½Π°Π½ΡΠΎΠ²ΡΠΌΠΈ ΠΈ Π½Π΅ΡΠ²Π½ΡΠΌΠΈ Π·Π°ΡΡΠ°ΡΠ°ΠΌΠΈ.
ΠΡΠ±ΡΠ΅ ΠΎΠ±ΡΠ°Π·ΠΎΠ²Π°Π½ΠΈΡ Π½Π° Π΄Π΅ΡΠ½Π°Ρ ΡΡΠ΅Π±ΡΡΡ ΠΏΡΠΈΡΡΠ°Π»ΡΠ½ΠΎΠ³ΠΎ Π²Π½ΠΈΠΌΠ°Π½ΠΈΡ ΠΈ ΡΠ²ΠΎΠ΅Π²ΡΠ΅ΠΌΠ΅Π½Π½ΠΎΠ³ΠΎ Π»Π΅ΡΠ΅Π½ΠΈΡ. Π Π΄ΠΎΠΌΠ°ΡΠ½ΠΈΡ ΡΡΠ»ΠΎΠ²ΠΈΡΡ ΠΌΠΎΠΆΠ½ΠΎ ΡΠΎΠ»ΡΠΊΠΎ ΠΏΡΠ΅Π΄ΠΏΡΠΈΠ½ΡΡΡ Π½Π΅ΠΊΠΎΡΠΎΡΡΠ΅ ΠΌΠ΅ΡΡ, ΠΊΠΎΡΠΎΡΡΠ΅ Π΄Π°Π΄ΡΡ Π²ΠΎΠ·ΠΌΠΎΠΆΠ½ΠΎΡΡΡ ΠΎΠ±Π»Π΅Π³ΡΠΈΡΡ ΡΠΎΡΡΠΎΡΠ½ΠΈΠ΅ Π΄ΠΎ ΠΏΠΎΡΠ΅ΡΠ΅Π½ΠΈΡ ΡΡΠΎΠΌΠ°ΡΠΎΠ»ΠΎΠ³Π°.
dentazone.ru



ΠΏΠΎΠΌΠΎΠΆΠ΅Ρ Π²ΡΡΡΠ½ΡΡΡ Π³Π½ΠΎΠΉ ΠΈΠ· ΡΠ²ΠΈΡΠ°.