причины, симптомы, лечение и последствия
Одна из самых распространенных стоматологических проблем – деминерализация эмали. Подобное состояние проявляется значительным потемнением и деформацией эмали, отсутствием блеска зубов и появлением на них характерных белых пятен.
Чаще всего данный процесс является первым признаком развития кариозной болезни. Однако, для точного определения причины утери минералов эмалью, необходимо обратиться к специалисту. Для того, чтобы выявить деминерализацию, важно знать, что представляет собой подобное явление.
Данным термином характеризуется процесс вымывания из зубной эмали минеральных веществ. Самые важные из них — кальций, калий, фтор, магний, хлор и фосфор – компоненты, обогащающие зубную ткань.
В здоровом организме деминерализации противостоит реминерализация, то есть регенерация минеральных структур. В норме эти процессы сбалансированы, однако у современных людей все чаще процесс вымывания веществ превышает восстановление. В следствии чего эмаль теряет свою прочность и начинает разрушаться.
Химический подтекст
Одна из главных составляющих дентина, эмали и цемента зуба – гидроксиапатит. В норме данный компонент находится в равенстве с ротовой жидкостью, насыщенной кальцием и фосфором.
Однако, если кислотность полости рта опускается ниже 5,5, ионы водорода начинают взаимодействовать с фосфатной группой. В результате реакций образуются ортофосфаты, негативно влияющие на связи гидроксиапатита и происходит процесс вымывания минералов.
Основные причины
Главные основания для того, чтобы эмаль начала чрезмерно терять необходимые минералы:
- кариозные бактерии;
- остатки углеводных продуктов.
В результате пребывания в полости рта бактерий или углеводной пищи понижается кислотно-щелочной баланс. Как следствие нарушается процесс реминерализации и происходит разрушение эмали. Помимо основных причин, специалисты выделяют ряд факторов, способствующих развитию деминерализации зубов:
Данные факторы благоприятно воздействуют на процесс вымывания, повышают риски полного разрушения эмали. Именно поэтому их следует избегать и своевременно обращаться к специалисту в случае первых подозрений.
Очаговое поражение
Самая ранняя стадия развития процесса деминерализации — очаговое поражение эмали. На данном этапе на эмали появляются белые меловидные пятна, локализующиеся на стыке или в основании, как правило, поражается 1-2 зуба.
Размер такого пятна может варьироваться от еле заметного на поверхности до занимающего большую ее часть. Чаще всего данное нарушение встречается у детей до 11 лет. Во взрослом возрасте распространена гораздо меньше.
На данном этапе кариес не имеет дополнительной симптоматики, поэтому без тщательного наблюдения за здоровьем зубов, выявить очаговую деминерализацию крайне непросто.
Характерная симптоматика
Выявить процесс деминерализации зубов достаточно просто, для этого необходимо внимательно следить за полостью рта и в случае возникновения первых симптомов обратиться к стоматологу.
На ранних этапах вымывание минеральных веществ сопровождается снижением блеска зубов, поверхность становится матовой. После чего появляются более явные симптомы, к ним относят:
- появление деформации, эмаль приобретает шероховатости;
- возникновение меловидных пятен, полосок;
- постепенно белые пятна темнеют и приобретают коричневый оттенок;
- поверхность зуба становится пористой.
Обратиться к стоматологу рекомендуется на самых первых этапах развития заболевания, поскольку в этом случае оно лучше поддается лечению.
Стоматологическая помощь
Комплекс методы лечения зависит от степени развития деминерализации. На ранних этапах достаточно процедур по реминерализации, на более поздних стадиях показано пломбирование с вычищением кариозного очага. На данный момент, самый распространенный компонент лечения – реминерализационная терапия. Подобный метод включает в себя проведение нескольких обязательных этапов:
- Профессиональное очищение ротовой полости.
- Просушивание зубной эмали.
- Восстановительный компонент – нанесение лекарственных препаратов с ионами кальция и калия.
- Нанесение защищающих и укрепляющих препаратов. При этом, чаще всего, используются специальные капы с четырехпроцентным раствором фторида натрия.

Такой способ восстановления эмали безболезнен, а весь процесс занимает 30-40 минут. Для получения максимального эффекта рекомендуется проведение минимум десяти сеансов. Не менее результативный способ борьбы с вымыванием минеральных веществ – это фторирование, однако на данный момент процедура не пользуется большой популярностью.
Превентивные мероприятия
Предупреждающий комплекс для предотвращения вымывания минералов из зубной эмали предполагает соблюдение ряда правил:
- Регулярная и правильная гигиена полости рта. Стоматологи рекомендуют чистить зубы после каждого приема пищи, чередуя при этом средства с кальцием и пасты с фтором.
- Ежегодное посещение стоматологического кабинета. Многие специалисты советуют увеличить проведение осмотров до двух раз в год.
- Соблюдение правил здорового питания. Включение в рацион обогащенной витаминами и минералами еды, сокращение употребления быстрых углеводов.
- Нормализация водно-солевого баланса.
- Использования комплексных поливитаминов.
Соблюдение данных рекомендации по профилактике – гарантия уменьшения рисков возникновения стоматологических болезней.
Деминерализация – распространенная патология, влияющая на состояние зубной эмали. Как правило, является симптомом развития кариозной болезни.
Поскольку кариес на поздних этапах может стать причиной потери зуба, необходимо обратиться к специалистам на первой стадии разрушительного процесса, поскольку в этом случае удается не только избежать удаления, но и процедур по пломбированию.
dentazone.ru
причины, симптомы, лечение и профилактика
Самой распространенной стоматологической проблемой является деминерализация эмали. Этот патологический процесс обычно характеризуется появлением потемнения структуры эмали, деформированием ткани, исчезновением блеска, который свойственен зубам. В результате происходит образование белых пятен на поверхности эмали. Этот процесс, как правило, отмечается на начальной стадии кариозного поражения. Но для того чтобы точно выявить причину, почему в организме происходит потеря эмалью солей, требуется проведения обследования у стоматолога. Но крайне важно обратиться к врачу на начальной стадии этого процесса, иначе он может перейти в более глубокие формы с образованием кариозных полостей.
Что такое деминерализация эмали?
Важно! Деминерализацией эмали – это патологический процесс в организме, при котором отмечается вымывание из эмали зубов минеральных солей. Самыми главными из них считаются кальций, калий, фтор, магний, хлор, фосфор. Эти компоненты требуются для обогащения ткани зубов.
В здоровом организме процессу деминерализации противостоит реминерализация, этот процесс характеризуется регенерацией минеральных структур. В норме считается, когда эти процессы имеют баланс между собой, однако в последнее время у многих людей часто отмечается, когда процесс вымывания во много раз выше процесса восстановления зубной ткани.

Эмаль зубов на 97% состоит из минеральных элементов, которые постоянно обновляются естественным путём. Деминерализацией зубной эмали называется исчезновение из эмали минералов, составляющих её структуру.
Главные причины
Прежде всего, стоит выделить главные факторы, которые вызывают процесс повышенной утраты важных минералов, которые содержатся в структуре эмали:
- наличие в ротовой полости кариозных организмов;
- присутствие остатков от углеводной пищи.
Внимание! Из-за того что в ротовой полости имеется большое количество бактерий или углеводной пищи, отмечается снижение кислотно-щелочного баланса. В результате этого происходит нарушение процесса реминерализации, что в конце вызывает разрушение структуры эмали.
Кроме главных причин, выделяются дополнительные факторы, которые приводят к деминерализации:
- Не соблюдение полноценного гигиенического ухода с полостью рта;
- Наличие воспалительных процессов десен;
- Патологические процессы в надпочечниках и щитовидной железе;
- Сахарный диабет;
- Расстройство или полная перестройка в гормональном фоне;
- Применение устройств ортондонтического вида;
- Деминерализация может проявиться при наличии скученного расположения зубов;
- Употребление большого количества быстрых углеводов.
Все вышеперечисленные факторы также могут быстро спровоцировать процесс деминерализации, они приводят к вымыванию минеральных солей из зубной эмали, а также провоцируют активный процесс разрушения зубной ткани. По этой причине стоит внимательно следить за своим здоровьем. При обнаружении какого-либо из вышеперечисленного факторов стоит сразу же обращаться к врачу.
Поражение очагового характера
Самым ранним этапом развития деминерализации считается очаговое поражение. На этом этапе наблюдается появление белых пятен с меловидной структурой. Обычно эти пятна проявляются на стыке или в области основания. Эти пятна могут возникать на одном или сразу на двух зубах.
Внимание! Пятна могут проявляться в виде незаметных образований небольшого размера, в последующий период их размер увеличивается и они становятся большими. Зачастую этот вид поражения проявляется у детей до 11 лет. Во взрослый период этот вид поражения проявляется очень редко.
Как правило, на этом этапе кариозное поражение не имеет дополнительных признаков, поэтому его очень сложно определить самостоятельно. Лучше всего тщательно следить за здоровьем своих зубов и регулярно обследоваться у зубного врача, только так можно своевременно определить наличие этой формы поражения эмали.

Деминерализация начинается возле шейки зуба, где он граничит с десной. Появляются маленькие трещинки и шероховатость на поверхности зуба. Эмаль утрачивает свой блеск, на ней появляются белые пятна, которые хорошо видны после высушивания зуба струёй воздуха.
Основные симптомы
Важно! Определить наличие деминерализации зубов очень легко, для этого требуется тщательно следить за состоянием ротовой полостью. Если вы вдруг обнаружите первые проявления этой формы, то необходимо сразу обратиться к стоматологу.
Но для того что выявить этот патологический процесс необходимо знать основные симптомы, которые проявляются при нем. На начальном этапе вымывание минеральных элементов проявляется в виде снижения блеска зубов, поверхность приобретает матовую структуру. После этого проявляются более явные признаки, на которые стоит обратить особое внимание:
- отмечается деформация, дополнительно эмаль становится шероховатой;
- на поверхности происходит появление пятен и полосок с меловидной структурой;
- постепенно пятна становятся темными с коричневым оттенком;
- поверхность зубов приобретает пористую структуру.

Причинами деминерализации могут быть: неправильное питание, ослабление иммунитета, нарушения в минеральном обмене и пренебрежение гигиеной ротовой полости. Появляется уязвимость эмали перед микроорганизмами, которые вызывают кариес.
К стоматологу стоит обратиться на самых ранних этапах. Все дело в том, что если промедлить, то процесс деминерализации может перейти в более глубокую стадию и на месте пятен проявятся темные поражения с полостями.
Как проводится профессиональная помощь
Обычно уровень лечебной терапии и вид комплекса мероприятий зависит от степени деминерализации. На раннем этапе достаточно будет провести только лишь лечение, которое выполняется при реминерализации.
Внимание! На поздних стадиях проводится установка материала для пломбирования, при этом дополнительно проводится кариозного очага.
Но, как правило, при деминерализации многие стоматологи выполняют все мероприятия, которые выполняются при реминерализации. Реминерализационная терапия включает в себя несколько этапов:
- На начальном этапе проводится профессиональное очищение полости рта;
- Затем делается просушка эмали зубов;
- Далее проводится нанесение элемента с восстановительным действием. Во время этого этапа на пораженную область наносятся средства с содержанием ионов кальция и калия;
- В конце на поверхность с восстанавливающим препаратом наносятся средства с защитным и укрепляющим действием. Для этого применяются специальные капы с содержанием 4-х %-ного раствора фторида натрия.

Реминерализация — это процесс восстановления структуры зубов, который может быть природным или искусственным. Искусственная реминерализация без участия профессионального стоматолога невозможна. Природная — это полноценный рацион с содержанием кальция, фтора и фосфора.
Профилактика
Для предотвращения деминерализации эмали стоит соблюдать следующие профилактические мероприятия:
- соблюдение регулярных гигиенических мероприятия полости рта – чистка зубов утром и вечером. Для чистки стоит использовать щетку с мягким ворсом, также нужно полоскать полость рта растворами с антисептическим действием;
- два раза в год нужно посещать стоматолога для обследования состояния зубного ряда;
- правильное питание;
- применение поливитаминов;
- нормализация водно-солевого баланса.
Если соблюдать тщательный уход за ротовой полостью и посещать стоматолога, то можно во время предотвратить распространение патологического процесса. Деминерализацию важно выявить на самом начальном этапе, иначе она может перейти в тяжелые стадии, при которых вместо белых пятен образуются кариозные поражения с полостями.
zubneboley.ru
Причины очаговой деминерализации эмали зубов: что делать, лечение, фото
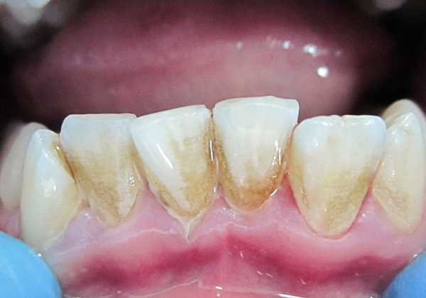
Деминерализация зубов — широко распространенная проблема как среди взрослых, так и среди детей. Она не только ухудшает внешний вид зубного ряда, но и является предпосылкой к развитию кариеса, его начальной стадией. Деминерализация эмали зубов — патологический процесс потери зубной тканью минеральных компонентов, вследствие чего возникает тусклость, гиперчувствительность, хрупкость зубов, шероховатость, пористость их поверхности, нередко наличие трещин (фото далее). Основной признак патологии — наличие на поверхности зубов матовых белых, слегка сероватых, или коричневатых пятен различной величины, которые располагаются в большинстве случаев в пришеечных областях, но могут покрывать и всю коронку (фото далее). Из-за наличия таких пятен патологию называют еще очаговая деминерализация эмали.
В данной статье расскажем, по каким причинам возникает очаговая деминерализация эмали, как она выглядит на фото, какими особенностями отличается у детей, а также познакомим с методами лечения и что нужно делать при этом заболевании.
Причины деминерализации зубов. Что делать при деминерализации
Причины деминерализации зубов связаны с жизнедеятельностью кариесогенных бактерий. Кислая среда (рН ниже 4,5) отлично подходит для их размножения. Ее обеспечивают остатки углеводной пищи, богатой на сахар. Кроме кислого рН, кариесогенные бактерии вследствие своей жизнедеятельности дополнительно выделяют кислоты. Все это повреждает эмаль. Поэтому, одной из главных причин деминерализации зубов является чрезмерное, а главное регулярное употребление сладкого.
Существую также и другие причины деминерализации зубов:

- Несоблюдение гигиены ротовой полости — одна из самых главных причин.
- Наличие стоматологической патологии.
- Преобладание в рационе мягкой пищи с высоким содержанием сахара.
- Наличие протезов или ортодонтических конструкций.
- Нарушения прикуса или другие аномалии зубного ряда.
- Изменения гормонального фона.
- Наличие обменных заболеваний (рахит, сахарный диабет, болезнь Аддисона).
- Недостаток фтора, фосфора, магния, вредные привычки.
Из-за этих и некоторых других причин возникает очаговая деминерализация эмали зубов. Что делать с этой патологией и возможно ли от нее избавиться?
Лечение должно быть своевременным, поскольку в противном случае не избежать дальнейшего развития кариеса со всеми его последствиями (фото далее). Исключение факторов риска — первое, что необходимо сделать, если у Вас, или Вашего ребенка началась деминерализация эмали зубов. Что делать в дальнейшем, какие препараты и средства использовать, может посоветовать только квалифицированный стоматолог.
Не следует заниматься самолечением, или ждать, что эмаль восстановится самостоятельно. Очаговая деминерализация — процесс обратимый, но только в том случае, если предпринимаются какие-либо терапевтические меры на ранней стадии.
Деминерализация эмали зубов у детей
Поскольку основной причиной развития данной патологии является регулярное употребление сладкого, не странно, что наиболее часто встречается деминерализация эмали зубов у детей до десяти лет (фото ниже). Развитию этой патологии способствует и отсутствие тщательной гигиены ротовой полости, что также характерно для детей этого возраста.
Деминерализация эмали зубов у детей имеет вид неправильных, различной величины пятен, или линий тусклого белого, или слегка коричневатого цвета. На начальных стадиях они не сильно бросаются в глаза и располагаются не на всей коронке, а преимущественно возле шеек зубов, или на боковых частях эмали. С прогрессированием заболевания пятна приобретают более темную окраску (фото далее) — это свидетельствует о поражении не только эмали, но и дентина. Открываются ворота для кариозной инфекции.
Следует помнить, что деминерализация эмали зубов у детей также требует лечения, даже в случае, если это молочные зубы!
Очаговая деминерализация эмали зубов, фото
Выше мы описали как выглядит очаговая деминерализация зубов. Фото пациентов с данной патологией будут представлены далее. На начальной стадии очаговая деминерализация может поражать один или небольшое количество зубов, она слабо выражена, часто и вовсе не привлекает внимание пациента.
Очаговая деминерализация у взрослых отличается обширностью процесса — нередко, что на начальной стадии может быть поражен целый зубной ряд.
Деминерализация зубов, фото которой слева, при отсутствии лечения становится все более выраженной — пятна меняют свой цвет с белого на светло-, а затем и темно-коричневый. В дальнейшем очаговая деминерализация заканчивается образованием кариозных полостей.
Деминерализация эмали зубов, лечение
При такой патологии, как деминерализация эмали, лечение должно быть немедленным, поскольку восстановить эмаль можно только на ранних стадиях поражения. В первую очередь нужно определить фактор, которым была спровоцирована деминерализация зубов. Лечение предусматривает обязательное исключение этого фактора:

- ограничение сладкого;
- тщательное соблюдение гигиены ротовой полости;
- лечение стоматологической патологии;
- тщательный уход за ортодонтическими конструкциями;
- сбалансированное питание.
Только в таких условиях может быть успешно вылечена очаговая деминерализация зубов. Лечение также предусматривает проведение реминерализации эмали при помощи специальных растворов и гелей. Зачастую они содержат в своем составе фтор, фториды, кальций.
Процедура реминерализации проводится в условиях стоматологического кабинета. После процедур можно увидеть, как полностью регрессировала деминерализация эмали. Лечение также проводится методом фторирования зубов. Для такой процедуры используются специальные каппы.
www.novodenta.ru
Реминерализация эмали зубов в домашних условиях: препараты, гели, зубные пасты
Реминерализация эмали зубов – медицинское мероприятие, направленное на ее оздоровление и насыщение укрепляющими микроэлементами. Процедуру можно провести в домашних условиях или в клинике. Перед минерализацией необходимо проконсультироваться с врачом.

Показания и противопоказания к реминерализации эмали зубов
Деминерализация – основное показание к проведению процедуры по насыщению зубной эмали и дентина кальцием, фтором, магнием и фосфором. При деминерализации зубы начинают реагировать на холодное, горячее, сладкое или соленое. Болевые ощущения могут возникать даже после приема пищи, если человек забыл прополоскать рот от остатков еды.
Эмаль быстро стирается и истончается. Зубы перестают блестеть, на них быстро образуется тяжело счищаемый налет. Десны воспаляются и начинают кровоточить, болеть. Из-за постепенного истончения эмали могут образовываться кариозные полости, через какое-то время зуб начнет разрушаться.
Начинающийся кариес, вызванный недостатком полезных веществ в зубах, не затрагивает внутренние ткани дентина. Его легко определить по небольшим белым пятнышкам на эмали. Если они начали образовываться, следует поторопиться с реминерализующей терапией, чтобы в дальнейшем не пришлось лечить зуб бором.

Врожденная повышенная чувствительность зубов также является одним из показаний для проведения реминерализирующей процедуры. Реминерализация эмали зубов показана после процедуры отбеливания. Причем ее рекомендуется сделать даже при отсутствии характерных болевых ощущений. Дело в том, что отбеливание зубов производится специальными составами, которые деминерализуют эмаль.
Реминерализующая процедура подходит не всем. Из противопоказаний к этому виду терапии можно выделить:
- индивидуальную непереносимость веществ, которые используются для насыщения тканей зуба микроэлементами;
- заболевания внутренних органов, при которых противопоказано употребление фторсодержащих препаратов: патологии поджелудочной железы, почек, сахарный диабет;
- детский возраст – для реминерализации зубов у детей выпускаются особые, более мягкие препараты.
Преимущества реминерализации зубной эмали
Реминерализирующая процедура имеет ряд характерных достоинств, она:
- укрепляет зубную эмаль;
- регрессирует развитие кариеса на ранних стадиях;
- помогает отбеливать зубы на несколько тонов;
- защищает эмаль от воздействия различных кислот;
- обеспечивает восстановление микрофлоры ротовой полости.
Разновидности и техника проведения процедуры
Реминерализация зубной эмали бывает 2 видов – естественная и искусственная. Естественный способ насыщения эмали микроэлементами предполагает изменение режима питания, чтобы все полезные вещества попадали в организм с пищей. В этом случае люди начинают употреблять следующие продукты:
- сыр;
- молоко;
- зелень;
- творог;
- овощи;
- орехи;
- бобовые.
Естественная реминерализация длится очень долго, но и эффект от нее быстро не проходит. При дальнейшем соблюдении режима питания зубы всегда будут крепкими и здоровыми.
В ходе естественной реминерализации противопоказано использовать зубную пасту, в которой содержится фтор, чтобы в организм не поступал избыток этого элемента. Перенасыщение зубных тканей фтором чревато развитием флюороза.
Искусственный способ, позволяющий реминерализировать зубы, предполагает применение специальных препаратов: гелей, кап, лаков с кальцием, фтором и прочими микроэлементами. Укрепляющие растворы используются для обработки зубной поверхности, в результате чего заполняются все микротрещины на эмали.
Естественная реминерализация зубов
Естественная реминерализация подходит тем, у кого есть аллергия на фторсодержащие средства. Для восстановления эмали данным способом нужно в течение месяца употреблять в пищу:
- свежий натуральный творог жирностью более 5%;
- термически обработанную морскую рыбу;
- богатое белком мясо;
- твердые сорта сыра;
- пастеризованное молоко жирностью от 3,2%.
Все употребляемые в пищу продукты питания должны быть натуральными, поэтому лучше приобретать их не в магазине, а на рынке или у знакомых фермеров.

Параллельно с натуральными продуктами можно употреблять витаминные и минеральные комплексы. Лучше выбрать препараты с высоким содержанием кальция, наиболее подходящие пациенту по возрасту. Для насыщения организма железом можно употреблять гематоген или специальные витамины.
В период естественной ремотерапии нельзя употреблять сахар. Единственными разрешенными к употреблению сладостями являются ненагретый мед и фрукты.
Ремотерапия в медицинском учреждении
Минерализация зубной эмали относится к платным процедурам, не оказываемым в рамках ОМС (обязательного медицинского страхования), поэтому ее можно провести и в коммерческой клинике, и в хозрасчетном отделении бюджетной поликлиники. Стоит процедура недорого, ее точная стоимость зависит от учреждения, в котором проводится сеанс, количества подвергаемых обработке зубов и их фактического состояния.
Ремотерапия проходит в несколько этапов:
- Подготовка эмали к процедуре: очистка от зубного налета, нанесение специальных абразивов, профессиональная чистка зубов ультразвуком.
- Нанесение на обрабатываемую поверхность раствора кальция глюконата.
- Аппликация минерализирующим раствором фторида натрия (2 или 4%) или надевание каппы с лечебным составом.
- Применение электрофореза с реминерализующими средствами. Электрофорез применяется в особо запущенных случаях, чтобы лечебные составы проникали в глубокие слои эмали и дентина.
Реминерализация зубной эмали в домашних условиях с применением гелей и паст
Каждый человек может провести процедуру по насыщению эмали зубов микроэлементами самостоятельно в домашних условиях, но перед этим следует посоветоваться с врачом. Стоматолог порекомендует лучшие препараты для реминерализации, а также укажет точное время, в течение которого нужно осуществлять лечение.
Реминерализирующие зубные пасты
Из наиболее известных реминерализирующих зубных паст можно отметить:
- Сплат Биокальций.
- Вивакс Дент.
- Элмекс.
- Лакалют Альпин.
- Лакалют Дуо.
После проведения курсового лечения с помощью зубной пасты эмаль зубов восстанавливается, реминерализуется и становится менее чувствительной. Лучше использовать 2 разные пасты: одну с фтором, а вторую с кальцием. Их нужно чередовать: либо через день, либо утром использовать один препарат, а вечером – другой.
Реминерализирующие пасты можно применять с целью профилактики кариеса курсами по несколько дней в год.
При проведении процедуры по насыщению эмали минералами и прочими питательными веществами посредством пасты используется обычная зубная щетка. Процесс нанесения лекарственного препарата на эмаль ничем не отличается от стандартной чистки зубов. Во время курсового лечения зубной поверхности пастой рекомендовано использовать ополаскиватели или бальзамы для полости рта, чтобы между зубами не застревали остатки пищи.
Гели и каппы
Минерализацию эмали зубов можно осуществлять с помощью специальных кап и лечебного геля с кальцием, фосфором и магнием. Капа – это специальная стоматологическая насадка, соответствующая по форме челюсти человека. Лучше, чтобы каппы были произведены по индивидуальному слепку с челюсти пациента, но для удешевления процедуры можно воспользоваться стандартными приспособлениями.
Гель для реминерализации зубов наносится внутрь кап, а сами каппы надеваются на предварительно очищенные обычной пастой зубы. Для простого очищения следует использовать пасту без фтора.
Перед началом процедуры рекомендуется провести аллергическую пробу: нанести на изгиб локтя немного лечебного вещества и подождать сутки. Если не возникнет никаких побочных эффектов, можно начинать минерализацию, но на всякий случай лучше иметь под рукой антигистаминные лекарства. В течение часа после процедуры нельзя есть и пить.
В аптеках продается несколько лечебных минерализующих гелей, которые могут использоваться в домашних условиях. К ним относятся:
- R.O.C.S. gel с магнием, фосфором, кальцием и ксилитом, необходимым для уничтожения бактерий.
- Вивакс Дент, снижающий проницаемость эмали и назначаемый при флюорозе, эрозиях и начальной стадии кариеса.
- Элмекс – реминерализующий гель, восстанавливающий минеральный состав зубов и предотвращающий образование кариеса.
Препараты для реминерализации зубов в домашних условиях
При деминерализации зубов и общем ослаблении организма врач может назначить курсовой прием таблеток фторида натрия – вещества, которое используется для профилактики кариеса и образования различных зубных отложений. Такие таблетки достаточно безвредны, если не превышать дозировку. Они могут быть назначены даже маленьким детям.
Реминерализующая терапия с помощью таблеток – один из самых простых способов вернуть зубам твердость и здоровье.
Реминерализация зубов у детей
Без предварительной консультации у дантиста реминерализация зубов детей в домашних условиях противопоказана, поскольку препараты, используемые в ходе этой процедуры, могут вызвать у малыша аллергию и существенно ухудшить состояние эмали. Все сеансы ремотерапии должны проводиться в условиях клиники профессиональным стоматологом.
Детская реминерализирующая процедура проводится так же, как взрослая: с помощью каппы с минеральным комплексом или посредством нанесения на зубки раствора фторида натрия. Она позволяет существенно уменьшить чувствительность зубов и снизить кровоточивость десен. Обычно восстановление детской эмали осуществляется с помощью кап, но с 10–12 лет допускается применение второго способа минерализации.
Реминерализующая процедура в стоматологии – отличный способ укрепить эмаль. Выбор препарата и способа минерализации зависит от индивидуальных особенностей пациента и его бюджета.
stomaget.ru
Профилактика очаговой деминерализации эмали. Проверенные методы реминерализации эмали зубов
Деминерализация эмали очаговая. Очаговая деминерализация эмали (белое кариозное пятно, начальная стадия кариеса) — самая ранняя клинически диагностируемая стадия кариеса зубов. Проявляется в виде матовых серовато-белых тусклых пятен с нечеткими границами, обычно располагающихся в области шейки зуба, жевательной поверхности фиссур. Величина пятна может колебаться от еле различимого до занимающего половину поверхности зуба.
Патоморфологическая картина очаговой деминерализации заключается в частичной потере в центре пятна минеральной фазы эмали, в основном в поверхностном ее слое. В первую очередь утрачиваются соли кальция, что ведет к изменению цвета эмали, увеличению проницаемости и электропроводности в очаге поражения. В этой стадии болезни белковая матрица эмали не изменена, что является залогом обратимости процесса. Окружающая эмаль не нарушена. Изменения проницаемости выражаются в способности очага деминерализации окрашиваться красителями. Это свойство используют как диагностический и дифференциально-диагностический признак очаговой деминерализации эмали с гипоплазией и флюорозом. С целью диагностики на поверхность эмали накладывают ватный тампон, смоченный 3 % раствором метиленового синего. Спустя 5 мин тампон снимают и краситель отмывают.
Если пятно сохраняет окраску, это свидетельствует об очаговой деминерализации эмали. Чем выше степень окраски пятна, тем более активное нарушение проницаемости наблюдается в зубе (проба Боровского —Аксамит). Очаговую деминерализацию можно диагностировать также на основании повышения электропроводности. Клинические наблюдения показывают, что чем больше пятно, выше его проницаемость, тем более активно протекает очаговая деминерализация эмали.
При далеко зашедшем процессе нарушается рисунок перикиматий на поверхности эмали, что свидетельствует о поверхностной очаговой деминерализации. Возможны три клинических исхода очаговой деминерализации. Примерно в 20 — 40 % случаев наблюдается увеличение очаговой деминерализации и на ее месте развивается поверхностный кариес. У 20 — 30 % больных отмечается самопроизвольное обрат
gamove.ru
6.2.7. Деминерализация и реминерализация
Деминерализация. Первичное разрушение эмали при кариесе — деминерализация — происходит при локальном изменении рН ниже 4,5. Однако кратковременного снижения рН недостаточно, чтобы вызвать значительные изменения в минеральном составе эмали, так как спустя примерно 30 мин рН зубной бляшки возвращается к прежнему значению (кривая Стефана) (рис. 6.3). При частом приеме сахарозы на поверхности эмали в течение длительного времени создается критическое значение рН — ниже 4,5, что и приводит к деминерализации эмали. Из этого следует, что частое поступление сахарозы приводит к критическому уровню рН на поверхности эмали под зубной бляшкой. Установлено, что выход кислот из зрелой (кариесактивной) бляшки в два раза больше, чем из незрелой (кариеснеактивной).
Рис. 6.3. Локальное снижение рН на поверхности эмали под зубной бляшкой после разового приема углеводов (кривая Стефана).
Реминерализация. Исследованиями A. Darling (1956), G. Gustafsan (1968) установлено, что первоначальное кариозное поражение, ограниченное эмалью, проявляется морфологически в виде незначительных изменений в поверхностном слое при выраженных изменениях в подлежащей эмали. Клиническим проявлением таких изменений служит мелоподобное пятно с гладкой поверхностью, выявляемое при высушивании.
Доказано, что начинающиеся поражения могут быть ре-минерализованы до нормального состояния. Для этого необходимы ограничение приема сахарозы, тщательная гигиена полости рта, а также применение фтора в любом виде. Процесс реминерализации эмали, при наличии очага деминерализации без повреждения дентина, происходит при условии поступления ионов кальция, фосфора и фтора в ее кристаллическую решетку. Очаг реминерализации характеризуется изменением цвета эмали — появлением коричневого пятна, что связывают с проникновением в очаг деминерализации кроме минеральных компонентов экзогенных пигментов.
В случае неблагоприятного развития ситуации в полости рта, когда кариесогенные факторы не устраняются, очаговая деминерализация эмали продолжается.
Скорость прогрессирования кариозного поражения варьирует в зависимости от локализации и условий в полости рта. Время формирования поражения от начальной стадии до стадии кариозной полости на гладких поверхностях составляет в среднем от 12 до 18 мес, хотя при неудовлетворительной гигиене полости рта, частом употреблении пищи, содержащей сахарозу, очаговая деминерализация (белое кариозное пятно) может возникнуть через 3—4 нед.
6.3. Современное представление о причине возникновения кариеса зубов
В настоящее время ни у кого не возникает сомнения, что кариозный процесс начинается с деминерализации. При этом наиболее выраженная убыль минеральных компонентов наблюдается в подповерхностном слое при относительно сохранившемся наружном слое. Непосредственная причина очаговой деминерализации в белом кариозном пятне заключается в воздействии органических кислот (в основном молочной), образующихся в процессе ферментации углеводов микроорганизмами зубного налета. Следует отметить, что деминерализация эмали при кариесе отличается от таковой при поступлении кислоты извне. При белом кариозном пятне имеет место подповерхностная деминерализация, а при внешнем воздействии на зубы кислот происходит убыль минеральных компонентов с поверхности, что проявляется послойным растворением эмали.
При рассмотрении механизмов возникновения кариеса зуба обращает на себя внимание многообразие различных факторов, взаимодействие которых и обусловливает возникновение очага деминерализации. Это и состав микроорганизмов полости рта, и характер питания (наличие углеводов), режим питания, количество и качество слюноотделения (реминерализирующий потенциал слюны, буферные свойства, неспецифические и специфические факторы защиты слюны), сдвиги в функциональном состоянии органов и систем организма, количество фтора, поступающего в организм человека, и, наконец, экстремальные воздействия на организм — лучевые и т. д.
Однако многообразие факторов не служит основанием причислять кариес зубов к полиэтиологическим заболеваниям. В соответствии с учением о болезни его причиной считают тот фактор, который вызывает заболевание и обусловливает специфичность проявления. С учетом общепризнанных данных, что кариозный процесс — это деминерализация, причиной его возникновения следует считать кислоту, образующуюся в зубной бляшке в результате ферментации углеводов.
Процесс этот сложный, а взаимодействие ряда факторов, в том числе разнонаправленных, и обусловливает длительность течения и возможность его стабилизации. Таким образом, кариес — это процесс многофакторный, но не полиэтиологический, как считают некоторые авторы.
Факторы, влияющие на возникновение кариеса зуба, принято делить на общие и местные. Следует отметить, что это деление чисто условное. Так, диета отражается на обменных процессах в организме. С другой стороны, остатки пищи на поверхности зуба, особенно углеводы, активно влияют на образование кислоты в зубной бляшке и приводят к локальному снижению рН. К местным факторам относят слюну. Однако количество и качество слюны, содержание в ней неспецифических и специфических факторов защиты (секреторные иммуноглобулины) зависят от общего состояния организма.
Как следует из схемы 6.1, локальное изменение рН в результате взаимодействия ряда факторов объясняет локализацию кариозного процесса с учетом роли углеводов и микроорганизмов, гигиенического ухода за полостью рта, результативности пломбирования кариозных поражений. При такой трактовке кариозного процесса четко определяются пути его профилактики.
Подтверждает правильность указанных теоретических разработок тот факт, что внедрение программы профилактики в ряде стран позволило значительно снизить распространенность и интенсивность кариеса зубов.
Схематично возникновение начального кариозного поражения можно представить следующим образом. Вследствие частого употребления углеводов и недостаточного ухода за полостью рта кариесогенные микроорганизмы (S. mutans и др.) плотно фиксируются на пелликуле, образуя зубную бляшку. Дальнейшее поступление углеводов (сахароза, фруктоза) приводит к локальному изменению рН на поверхности эмали зуба, достигая критического уровня (4,5—5,0). При длительном поддержании критического уровня водородных ионов происходит растворение апатитов наружного слоя, причем особенно интенсивно в участках наименее устойчивой эмали (линии Ретциуса, межпризменные пространства). Кислоты проникают в подповерхностный слой эмали и вызывают его деминерализацию. Менее выраженные изменения поверхностного слоя эмали, чем подлежащего, обусловлены особенностями его структуры и состава (большее содержание фторапатитов, микроэлементов), а также постоянно происходящими процессами ремине-рализации за счет поступления минеральных компонентов из ротовой жидкости. Продолжающееся образование органических кислот на поверхности эмали приводит к деминерализации и постепенному увеличению микропространств между кристаллами эмалевых призм. В результате этого создаются условия для проникновения микроорганизмов в образовавшиеся микродефекты. В итоге источник кислотообразования (микроорганизмы)-переносится внутрь эмали. На этом этапе кариозного процесса деминерализация эмали распространяется как вдоль ее поверхности, так и вглубь, с образованием конусовидного очага поражения. Длительное существование очага деминерализации приводит к растворению поверхностного, более устойчивого, слоя эмали. Следует помнить, что на любом этапе развития кариеса, вплоть до образования кариозного дефекта эмали, процесс может приостановиться или приобрести длительное течение. Клинически это проявляется образованием пигментированного (коричневого или черного) пятна, не изменяющегося в течение длительного времени (годами).
Схема 6.1. Схема взаимодействия кариесогенных факторов

Кариесрезистентность. Интенсивность поражения зубов кариесом в различных регионах нашей страны и земного шара колеблется в широких пределах. Следует отметить, что в пределах групп населения с низким и высоким уровнями интенсивности кариеса отмечаются значительные отклонения от среднего показателя. К этому можно добавить, что независимо от уровня распространенности кариеса, даже в регионах с высокой распространенностью, встречаются лица (примерно 1 % взрослых), у которых кариес не наблюдается или его интенсивность очень низкая. Тот факт, что среди проживающих в одинаковых условиях у одних лиц наблюдается множественное поражение зубов кариесом, тогда как у других его нет, дает основание для утверждения о существовании лиц, устойчивых (резистентных) и восприимчивых к кариесу.
В последние годы появился ряд сообщений по этому вопросу. В этой связи необходимо уточнить терминологию, так как употребляемые определения «резистентность зубов», «кариесрезистентность», «кислотная резистентность» иногда принимают за синонимы, хотя смысловое значение их различно.
Это важно потому, что правильное понимание сущности кариесрезистентности позволит разработать эффективные профилактические мероприятия.
В настоящее время накопилось много фактов, обусловливающих кариесрезистентность. Известно, что в молодом возрасте зубы поражаются кариесом чаще, чем в пожилом. Это связывают с накоплением минеральных компонентов (кальций, фосфор и др.) в эмали, а процесс называют «созреванием эмали». При этом происходят уплотнение эмали и снижение вариабельности структуры вследствие уменьшения микропористости.
Важная роль в повышении устойчивости к кариесу принадлежит фтору, который обусловливает устойчивость эмали, особенно его поверхностного слоя, к действию кислот за счет замещения гидроксильной группы или карбоната апатита из слюны и ингибирует микрофлору полости рта.
В формировании и поддержании резистентности к кариесу значительная роль принадлежит ротовой жидкости. Она обладает минерализующей способностью за счет содержания в ней ионов кальция, фосфора и фтора, ферментативной активностью, за счет буферной емкости нейтрализует действие кислот и щелочей, а кроме того, благодаря присутствию неспецифических и специфических (секреторные иммуноглобулины) факторов защиты, обусловливает антимикробное действие. Из представленных данных следует, что резистентность и восприимчивость к кариесу формируются при взаимодействии многих факторов и на различных уровнях: молекулярном, тканевом, органном и системном.
Молекулярный уровень рассматривает особенности химического состава апатита эмали.
Тканевый уровень — структурные особенности: полноценность органической матрицы, расположение кристаллов и призм (соотношение ионов Са2+/Р4+), наличие дефектов строения, анатомические особенности зуба; размер и форму фиссур, промежутков между зубами и др.
Системный уровень — состояние органов и систем организма, в том числе слюнных желез, характер слюноотделения, неспецифические и специфические факторы защиты.
Если «кислотная резистентность» и «резистентность эмали» определяют устойчивость эмали к действию кислоты, то «кариесрезистентность» характеризует состояние организма и полости рта, которое обусловливает устойчивость эмали зубов к действию кариесогенных факторов, в том числе и кислот, образующихся на ее поверхности.
Кариесрезистентость определяется составом и структурой эмали, факторами защиты полости рта (специфическими и неспецифическими), количественными и качественными показателями слюны, особенностями диеты, наличием вредных привычек, свойствами зубного налета и другими факторами. Это указывает на то, что кариесрезистентность отражает состояние организма.
В работах Б. В. Недосеко предпринимаются попытки прогнозировать возникновение и течение кариозного процесса. Однако показатель КПУ или КПУ+кп, на основании которого строится прогнозирование, не отражает заболеваемость в данный момент (прирост интенсивности), а может быть результатом ранее имевшихся кариозных поражений. Кроме того, показатель удаленных зубов (У) нередко свидетельствует о заболеваниях пародонта, а не кариесе.
Таким образом, указанные показатели выявляет не резистентность зубов к кариесу, а кариесогенную ситуацию в полости рта (слюноотделение, ИГ, общее состояние), которая в значительной степени характеризует риск возникновения кариеса. Ранее говорилось, что не существует возможности точного прогнозирования возникновения кариеса. Однако на основании ряда показателей можно говорить о высоком или низком риске возникновения кариеса (табл. 6.2).
Еще более кратким, хотя и не совсем точным, показателем риска возникновения кариеса являются наличие 2 и более кариозных полостей, высокий индекс гигиены и частый прием углеводов при значительном (5—6 и более) индексе КПУ.
Таблица 6.2. Оценка риска возникновения кариеса
(Pickard‘s Manual of Operative Dentistry, 1996)
|
Высокая степень риска |
Низкая степень риска |
|
Общие данные | |
|
Наличие общих заболеваний |
Отсутствие общих заболеваний |
|
Гипосаливация или ксеростомия |
Нормальное слюноотделение |
|
Систематические поражения зубов кариесом |
Редкое появление кариозных поражений |
|
Особенности диеты | |
|
Частое употребление сахара |
Редкое употребление сахара |
|
Использование препаратов фтора | |
|
Низкое содержание фтора в питьевой воде |
Нормальное содержание фтора в питьевой воде |
|
Отсутствие фторсодержащих добавок |
Использование фторсодержащих добавок по показанию |
|
Неиспользование фторсодержащей зубной пасты |
Использование фторсодержащей зубной пасты |
|
Гигиеническое состояние полости рта | |
|
Нерегулярная, неэффективная чистка зубов |
Регулярная эффективная чистка зубов |
|
Плохой контроль за качеством чистки зубов |
Хороший контроль за качеством чистки зубов |
|
Слюна | |
|
Низкое слюноотделение |
Нормальное слюноотделение |
|
Низкая буферная емкость |
Высокая буферная емкость |
|
Высокое содержание S.mutans и Lactobacillus |
Низкое содержание S.mutans и Lactobacillus |
|
Состояние зубов | |
|
Новые поражения |
Отсутствие новых поражений |
|
Удаленные зубы |
Отсутствие удаленных зубов |
|
Кариес передних зубов или наличие реставраций |
Отсутствие или единичные реставрации |
|
Наличие множественных реставраций |
Наличие реставраций, существующих длительное время |
|
Наличие повторных реставраций | |
|
Незапечатанные фиссуры |
Запечатывание фиссур |
|
Наличие ортодонтических конструкций | |
|
Наличие протезов в полости рта |
Отсутствие протезов |
studfile.net
Реминерализация зубов в домашних условиях и в клинике на Startsmile.ru
Дата обновления: 10.10.2019
Дата публикации: 15.10.2018
9
Зубная эмаль — самая прочная ткань организма, но и она уязвима, особенно когда получает недостаточно микроэлементов. Если зубы потеряли блеск и склонны к повышенной чувствительности, это может быть признаком ослабления эмали. Рассказываем, как с проблемой помогает справиться реминерализация зубов — метод восстановления количества минералов в эмали.
Как происходит реминерализация?
Ежедневно наш организм подвергается отрицательному воздействию разных факторов. Процесс ослабления эмали может быть запущен из-за неправильного питания, плохой питьевой воды, регулярного перенапряжения и общей нехватки органических веществ.
Когда в ротовой полости начинает развиваться патогенная флора, механизм естественной реминерализации зубов, работающий непрерывно в нормальных условиях, нарушается; начинается вымывание минеральных элементов. Процесс называется «деминерализацией», и если его не остановить, могут развиться кариозное заболевание и ряд других патологий.
Реминерализация эмали зубов — явление, противоположное деминерализации. Обеспечить реминерализацию можно при помощи восстановительных процедур, которые вернут зубной ткани прочность и повысят ее устойчивость к патогенным бактериям. Есть несколько вариантов восстановления:
- Естественная реминерализация зубов: восполнение баланса биологически значимых элементов за счет употребления продуктов с высоким содержанием кальция и фтора, и проведения дополнительных гигиенических процедур для полости рта.
- Искусственная реминерализация: насыщение эмали с использованием реминерализующих препаратов. Проводится как в стоматологическом кабинете, так и дома.
Кому показана процедура
Реминерализацию и фторирование зубов назначают при следующих проблемах:
- чувствительная реакция эмали на разницу температур
- патологическая стираемость зубов
- восстановление после ортодонтического лечения
- нарушенный обмен веществ в организме
- дефицит минералов при вынашивании ребенка, менопаузе или в период полового созревания
- ослабленная эмаль после профессионального отбеливания
Кому нельзя проводить процедуру: людям с непереносимостью реминерализующих препаратов, а также тем, кто имеет почечные заболевания и проблемы с поджелудочной железой.
Реминерализация эмали зубов в качестве профгигиены
Профессиональная реминерализация может проводиться с использованием различных средств:
Фторлак
Зубы покрывают концентрированным составом фторида, который насыщает твердые ткани и помогает противостоять кариозным бактериям.
Искусственная эмаль
Также служит для покрытия зубов с целью предотвращения проблем с натуральной эмалью. Но если твердая ткань уже подверглась негативным изменениям, избавиться от последствий этот метод не поможет, поэтому прибегать к нему целесообразно, чтобы не допустить заболевания в будущем.
Электрофорез
Один из самых популярных и эффективных методов глубокой реминерализации зубов. Процедура заключается в электротерапии с введением реминерализующих веществ.
Реминерализация зубов в домашних условиях
Решить проблему истончения эмали можно не только в стоматологическом кабинете, но и самостоятельно. Для этого существуют различные линейки препаратов для реминерализации зубов. Проводить подобные мероприятия без профессиональной помощи имеет смысл, только если отсутствуют видимые повреждения ткани зубов.
Важно!
Реминерализацию зубов в домашних условиях оптимально проводить двумя разными пастами с фтором и кальцием. Первой рекомендуется чистить зубы по утрам, а второй — перед сном. Следите, чтобы в составе одного средства не было обоих компонентов, поскольку вместе они создают устойчивое соединение и становятся бесполезны.
Чтобы реминерализация зубов принесла наилучший результат, предварительно нужно тщательно почистить зубы. Это позволит лекарственному средству наиболее эффективно контактировать с поверхностью зубов.
Один из популярных методов насыщения зубной эмали дома — реминерализация зубов солью. Для этого лучше всего использовать порошок из морской соли, перемешанный с несколькими каплями растительного масла до состояния кашицы. Полученную массу следует втирать с утра и в конце дня после того, как зубы почищены.
Еще можно попробовать домашний массаж десен. О том, какой массаж способствует реминерализации твердых тканей зубов, расскажет лечащий врач.
Поможет в поддержании здорового баланса минералов правильно составленный рацион. Чем больше вы употребляете продуктов, содержащих кальций, фтор и фосфор, тем меньше риск разрушения эмали. К ним относятся:
- молоко, сметана, сливки, творог;
- мясные продукты;
- капуста, шпинат, кабачки и другие зеленые овощи;
- миндаль и кунжут;
- соевые бобы, фасоль, нут, горошек.
Периодически рекомендуется добавлять витамины с содержанием минералов, но насчет конкретного выбора лучше узнать у стоматолога или терапевта.
Средства для реминерализации зубов
Для современной реминерализации зубов в домашних условиях существует множество эффективных средств, которые можно использовать не только для профилактики, но и в лечении.
Пасты:
JASON Sea Fresh с фтором — гель-паста, обладающая лечебно-профилактическим воздействием. Фтор и различные растительные экстракты защищают от патогенных бактерий и обогащают эмаль.

Biorepair Total Protection Plus — антибактериальная паста, особенно подходит тем, кто только что прошел ортодонтическое лечение брекетами. Средство гипоаллергенно. Для еще более эффективной реминерализации эмали зубов можно дополнить пастой Biorepair Night Repair, восстанавливающей эмаль в течение ночи.

Theodent Classic — в отличие от паст других брендов, это единственная, имеющая в составе уникальный запатентованный элемент теобромин. Свойства теобромина способствуют не только восстановлению, но и производству эмали. Это лучший вариант для профилактики кариеса.

Twin Lotus SENSITIVITY — паста рекомендуется людям с повышенной чувствительностью зубов, поскольку эффективно снижает болевые ощущения за счет алое и акмеллы в составе и укрепляет эмаль.

Miradent® Mirasensitive hap+ — снижает чувствительность, при этом ионы калия в составе обеспечивают защиту до самого нерва зуба.

Гели:
GLOBAL WHITE — реминерализующий гель известного американского бренда. Эффективно снижает порог чувствительности и восстанавливает ослабленную эмаль.

Гель Miradent® — интенсивное защитное средство для реминерализации зубов с фтором, рекомендуется для профилактики кариеса.

Для удобного использования гелей можно приобрести специальные капы для реминерализующих аппликаций Diamondbrite.
Муссы и пенки:
GC Tooth Mousse — мусс для реминерализации твердых тканей зубов, помогает снизить чувствительность, предотвратить образование налета и нейтрализовать кислотность в полости рта. Не подходит людям с аллергией на молочные белки.

Профессор Персин — восстанавливающая пенка для тех, кто не всегда имеет возможность почистить зубы щеткой. Помогает снизить чувствительность, укрепить эмаль и в целом благотворно воздействует на здоровье полости рта.

Ополаскиватели:
4-action BioRepair — реминерализующий ополаскиватель для людей с повышенной чувствительностью зубов. Благодаря активным частицам Microrepair® в составе восстанавливает эмаль даже в самых трудных для доступа местах, предотвращает образование зубного камня и развитие кариеса.

Перечисленными средствами реминерализации зубов можно пользоваться как самостоятельно, так и в дополнение к профессиональному лечению. По поводу выбора конкретных средств для лучшей реминерализации зубов следует проконсультироваться со специалистом.
Эффект процедуры
Эффект реминерализующей терапии состоит в нормализации минерального баланса, укреплении зубной ткани, лечении кариозного заболевания в стадии пятна и предотвращении мелких дефектов эмали. Регулярная реминерализация помогает надолго сохранить натуральный цвет и здоровый блеск зубов, а также сделать их заметно менее восприимчивыми к внешним раздражителям.
Вывод
Реминерализация зубов — простой и безболезненный способ эффективно насытить необходимыми веществами ослабленную зубную эмаль и устранить физический дискомфорт пациента, страдающего истончением ткани зубов. Обратите внимание на эту процедуру, ведь поддерживать здоровье всегда проще, комфортнее и дешевле, чем лечить уже развившиеся патологии.
www.startsmile.ru
